• 文献检索
  • 文档翻译
  • 深度研究
  • 学术资讯
  • Suppr Zotero 插件Zotero 插件
  • 邀请有礼
  • 套餐&价格
  • 历史记录
应用&插件
Suppr Zotero 插件Zotero 插件浏览器插件Mac 客户端Windows 客户端微信小程序
定价
高级版会员购买积分包购买API积分包
服务
文献检索文档翻译深度研究API 文档MCP 服务
关于我们
关于 Suppr公司介绍联系我们用户协议隐私条款
关注我们

Suppr 超能文献

核心技术专利:CN118964589B侵权必究
粤ICP备2023148730 号-1Suppr @ 2026

文献检索

告别复杂PubMed语法,用中文像聊天一样搜索,搜遍4000万医学文献。AI智能推荐,让科研检索更轻松。

立即免费搜索

文件翻译

保留排版,准确专业,支持PDF/Word/PPT等文件格式,支持 12+语言互译。

免费翻译文档

深度研究

AI帮你快速写综述,25分钟生成高质量综述,智能提取关键信息,辅助科研写作。

立即免费体验

腹腔镜子宫切除术后播散性腹膜平滑肌瘤病的罕见表现及其多学科管理

A Rare Presentation of Disseminated Peritoneal Leiomyomatosis Following Laparoscopic Hysterectomy and Its Multidisciplinary Management.

作者信息

Balaji Adhithya N, Balasubramanian Balaji, Arora Simran, Shetty Panna

机构信息

Internal Medicine, Università Cattolica Del Sacro Cuore, Rome, ITA.

Surgery and Oncology, New Medical Centre Specialty Hospital, Abu Dhabi, ARE.

出版信息

Cureus. 2024 Dec 16;16(12):e75829. doi: 10.7759/cureus.75829. eCollection 2024 Dec.

DOI:10.7759/cureus.75829
PMID:39822433
原文链接:https://pmc.ncbi.nlm.nih.gov/articles/PMC11738093/
Abstract

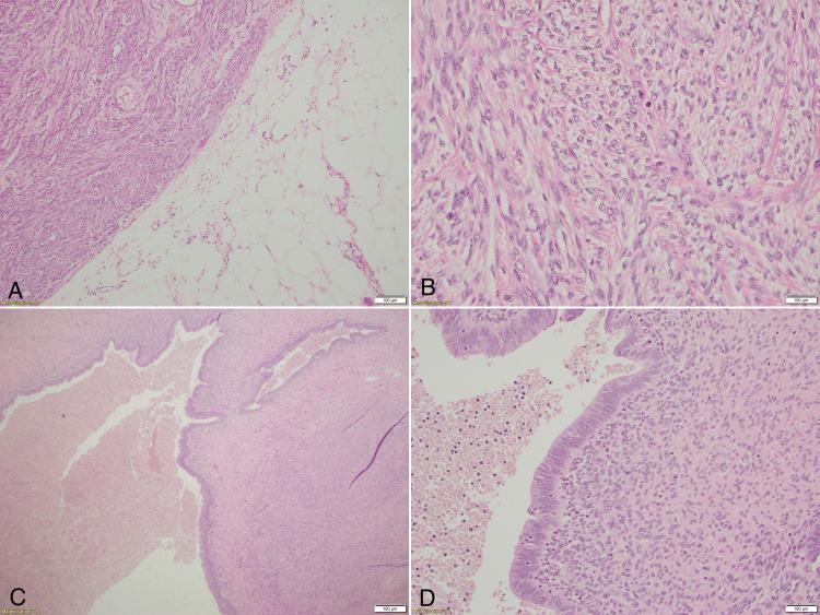
Disseminated peritoneal leiomyomatosis (DPL) is a rare entity. It is a benign disease but can mimic disseminated malignancy with extensive disease at multiple sites within the abdominopelvic cavity. The primary contributing factor is postulated to be peritoneal spillage of benign leiomyoma, especially after laparoscopic intervention, although hormonal influences might also play a role. It primarily affects females of childbearing age. Cross-sectional imaging studies offer guidance regarding the extensive nature of the disease and surgery is the primary treatment modality. Complete resection, personalized according to the extent of the disease, has to be planned through a multidisciplinary approach. The diagnosis can only be confirmed by histopathology. Hormone suppression might have a role in selected cases.

摘要

播散性腹膜平滑肌瘤病(DPL)是一种罕见疾病。它是一种良性疾病,但可在腹腔盆腔内多个部位出现广泛病变,类似播散性恶性肿瘤。据推测,主要促成因素是良性平滑肌瘤的腹膜播散,尤其是在腹腔镜干预后,不过激素影响可能也起作用。它主要影响育龄女性。横断面成像研究可为疾病的广泛程度提供指导,手术是主要治疗方式。必须通过多学科方法,根据疾病范围规划个体化的完整切除。诊断只能通过组织病理学确诊。在特定病例中,激素抑制可能起作用。

https://cdn.ncbi.nlm.nih.gov/pmc/blobs/ab04/11738093/f0800f36c9b6/cureus-0016-00000075829-i03.jpg
https://cdn.ncbi.nlm.nih.gov/pmc/blobs/ab04/11738093/a8ee08272892/cureus-0016-00000075829-i01.jpg
https://cdn.ncbi.nlm.nih.gov/pmc/blobs/ab04/11738093/8a1ded73da42/cureus-0016-00000075829-i02.jpg
https://cdn.ncbi.nlm.nih.gov/pmc/blobs/ab04/11738093/f0800f36c9b6/cureus-0016-00000075829-i03.jpg
https://cdn.ncbi.nlm.nih.gov/pmc/blobs/ab04/11738093/a8ee08272892/cureus-0016-00000075829-i01.jpg
https://cdn.ncbi.nlm.nih.gov/pmc/blobs/ab04/11738093/8a1ded73da42/cureus-0016-00000075829-i02.jpg
https://cdn.ncbi.nlm.nih.gov/pmc/blobs/ab04/11738093/f0800f36c9b6/cureus-0016-00000075829-i03.jpg

相似文献

1
A Rare Presentation of Disseminated Peritoneal Leiomyomatosis Following Laparoscopic Hysterectomy and Its Multidisciplinary Management.腹腔镜子宫切除术后播散性腹膜平滑肌瘤病的罕见表现及其多学科管理
Cureus. 2024 Dec 16;16(12):e75829. doi: 10.7759/cureus.75829. eCollection 2024 Dec.
2
Disseminated peritoneal leiomyomatosis: a devastating sequelae of unconfined laparoscopic morcellation.播散性腹膜平滑肌瘤病:不受限制的腹腔镜旋切术的灾难性后果。
Singapore Med J. 2019 Dec;60(12):652-654. doi: 10.11622/smedj.2019159.
3
Disseminated peritoneal leiomyomatosis postmorcellated resection of uterine leiomyomatous tissue.子宫平滑肌瘤组织碎切术后的播散性腹膜平滑肌瘤病
APMIS. 2016 Dec;124(12):1063-1071. doi: 10.1111/apm.12601. Epub 2016 Sep 20.
4
Laparoscopic Dissection of Extensive Secondary Disseminated Peritoneal Leiomyomatosis.腹腔镜广泛继发性播散性腹膜平滑肌瘤病的解剖。
J Minim Invasive Gynecol. 2018 May-Jun;25(4):580-581. doi: 10.1016/j.jmig.2017.10.009. Epub 2017 Oct 12.
5
Laparoscopic Management of Disseminated Peritoneal Leiomyomatosis.腹腔镜治疗播散性腹膜平滑肌瘤病。
J Minim Invasive Gynecol. 2023 Jun;30(6):443-444. doi: 10.1016/j.jmig.2023.03.006. Epub 2023 Mar 17.
6
Disseminated peritoneal leiomyomatosis after laparoscopic supracervical hysterectomy with characteristic molecular cytogenetic findings of uterine leiomyoma.腹腔镜子宫次全切除术后播散性腹膜平滑肌瘤伴子宫平滑肌瘤特征性分子细胞遗传学发现。
Genes Chromosomes Cancer. 2010 Dec;49(12):1152-60. doi: 10.1002/gcc.20824.
7
Disseminated peritoneal leiomyomatosis mimicking carcinomatosis: A case report.酷似癌性腹膜炎的播散性腹膜平滑肌瘤病:一例报告。
Int J Surg Case Rep. 2024 Jul;120:109908. doi: 10.1016/j.ijscr.2024.109908. Epub 2024 Jun 13.
8
Disseminated peritoneal leiomyomatosis after hysterectomy: a case report.子宫切除术后播散性腹膜平滑肌瘤病:一例报告
J Reprod Med. 2011 Sep-Oct;56(9-10):456-60.
9
A clinicopathological and molecular analysis in uterine leiomyomas and concurrent/metachronous peritoneal nodules: New insights into disseminated peritoneal leiomyomatosis.子宫平滑肌瘤及其并发/异时性腹膜结节的临床病理和分子分析:播散性腹膜平滑肌瘤病的新见解。
Pathol Res Pract. 2020 May;216(5):152938. doi: 10.1016/j.prp.2020.152938. Epub 2020 Mar 24.
10
A case of disseminated peritoneal leiomyomatosis after two laparoscopic procedures due to uterine fibroids.一例因子宫肌瘤行两次腹腔镜手术后发生的播散性腹膜平滑肌瘤病。
Wideochir Inne Tech Maloinwazyjne. 2017;12(1):110-114. doi: 10.5114/wiitm.2017.66045. Epub 2017 Feb 15.

本文引用的文献

1
Disseminated peritoneal leiomyomatosis: A benign condition with diagnostic and therapeutic challenges.播散性腹膜平滑肌瘤病:一种具有诊断和治疗挑战的良性疾病。
Qatar Med J. 2024 Sep 24;2024(3):40. doi: 10.5339/qmj.2024.40. eCollection 2024.
2
Disseminated Peritoneal Leiomyomatosis-A Challenging Diagnosis-Mimicking Malignancy Scoping Review of the Last 14 Years.播散性腹膜平滑肌瘤病——一项具有挑战性的诊断——过去14年模仿恶性肿瘤的范围综述
Biomedicines. 2024 Aug 3;12(8):1749. doi: 10.3390/biomedicines12081749.
3
A Case of Cotyledonoid Dissecting Leiomyoma With Associated Disseminated Peritoneal Leiomyomatosis: The Significance of Frozen Section in Identification of This Unusual Entity.
1例伴有播散性腹膜平滑肌瘤病的叶状分割性平滑肌瘤病例:冰冻切片在识别这一罕见实体中的意义
Cureus. 2024 Mar 8;16(3):e55781. doi: 10.7759/cureus.55781. eCollection 2024 Mar.
4
Disseminated peritoneal leiomyomatosis: A case report.播散性腹膜平滑肌瘤病:一例报告。
Radiol Case Rep. 2023 Apr 14;18(6):2237-2240. doi: 10.1016/j.radcr.2023.03.022. eCollection 2023 Jun.
5
Iatrogenic Parasitic Leiomyomas: A Late and Uncommon Complication After Laparoscopic Morcellation.医源性寄生性平滑肌瘤:腹腔镜碎瘤术后一种罕见的晚期并发症
Cureus. 2022 May 4;14(5):e24718. doi: 10.7759/cureus.24718. eCollection 2022 May.
6
Leiomyomatosis Peritonealis Disseminata Following Laparoscopic Surgery With Uncontained Morcellation: 13 Cases From One Institution.腹腔镜手术中未加控制的碎瘤术导致的播散性腹膜平滑肌瘤病:来自同一机构的13例病例
Front Surg. 2021 Dec 9;8:788749. doi: 10.3389/fsurg.2021.788749. eCollection 2021.
7
Disseminated peritoneal leiomyomatosis: a case report and review of the literature.播散性腹膜平滑肌瘤病:病例报告及文献复习。
J Int Med Res. 2021 Aug;49(8):3000605211033194. doi: 10.1177/03000605211033194.
8
Disseminated peritoneal leiomyomatosis: a devastating sequelae of unconfined laparoscopic morcellation.播散性腹膜平滑肌瘤病:不受限制的腹腔镜旋切术的灾难性后果。
Singapore Med J. 2019 Dec;60(12):652-654. doi: 10.11622/smedj.2019159.
9
Simultaneously occurring disseminated peritoneal leiomyomatosis and multiple extrauterine adenomyomas following hysterectomy.子宫切除术后同时发生的播散性腹膜平滑肌瘤病和多发性子宫外子宫腺肌瘤。
Proc (Bayl Univ Med Cent). 2019 Jan 7;32(1):126-128. doi: 10.1080/08998280.2018.1520555. eCollection 2019 Jan.
10
Disseminated peritoneal leiomyomatosis: a rare cause of enigmatic peritoneal masses.播散性腹膜平滑肌瘤病:一种导致腹膜肿物病因不明的罕见疾病。
BJR Case Rep. 2016 Jul 28;2(3):20150252. doi: 10.1259/bjrcr.20150252. eCollection 2016.