Suppr超能文献

1D与3D体积测量技术在NF2相关前庭神经鞘瘤监测中的比较。

Comparison of 1D and 3D volume measurement techniques in NF2-associated vestibular schwannoma monitoring.

作者信息

Gugel Isabel, Aboutaha Nuran, Pfluegler Bianca, Ernemann Ulrike, Schuhmann Martin Ulrich, Tatagiba Marcos, Grimm Florian

机构信息

Department of Neurosurgery, Centre of Neurofibromatosis and Schwannomatosis, Centre for Rare Diseases, University Hospital Tübingen, Tübingen, Germany.

Department of Neurosurgery, University Hospital Tübingen, Tübingen, Germany.

出版信息

Sci Rep. 2025 Jan 17;15(1):2313. doi: 10.1038/s41598-025-85386-4.

Abstract

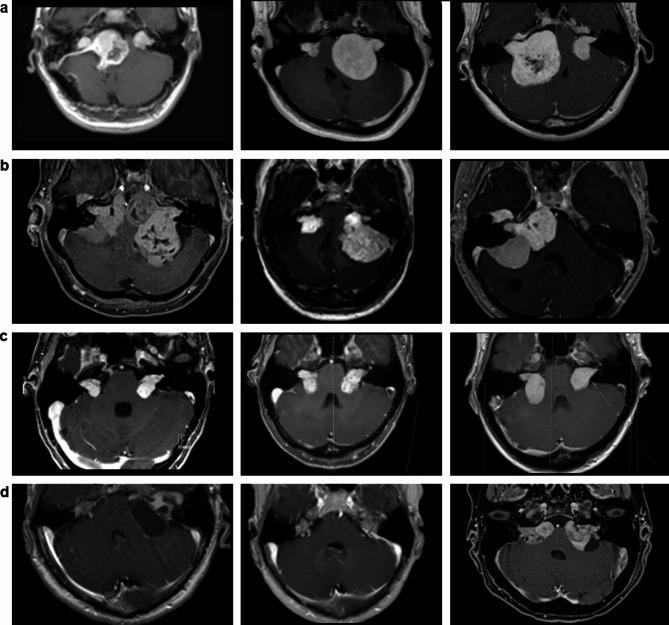
To compare 1D (linear) tumor volume calculations and classification systems with 3D-segmented volumetric analysis (SVA), focusing specifically on their effectiveness in the evaluation and management of NF2-associated vestibular schwannomas (VS). VS were clinically followed every 6 months with cranial, thin-sliced (< 3 mm) MRI. We retrospectively reviewed and used T1-weighted post-contrast enhanced (gadolinium) images for both SVA and linear measurements. 3D-SVA was performed manually or combined with semiautomated segmentation by using axial planes. The maximum linear dimensions (MLD) were determined in three dimensions (anteroposterior, transverse, and craniocaudal planes) using axial and coronal planes. The MLD was cubed (MLD), and orthogonal analysis (OA) was derived to establish comparability with the SVA. The Hannover and Koos classification was used to depict the size ratio in each MRI and tumor. A linear regression model was performed to compare 1D/classification systems to SVA, and the percentage deviation change of MLD and OA to SVA was established using a one-way multivariate variance analysis. 2586 SVA and 10344 linear measurements were performed in a cohort of 149 NF2 patients and 292 associated VS. All measurement techniques (MLD, OA, KOOS, and Hannover) significantly (and strongly, r > 0.5) correlated with SVA (p < 0.001). The OA showed an even stronger positive correlation than the MLD to SVA. Smaller classified tumors (T1/T2, K1/K2) exhibited a low-moderate positive correlation (r = 0.23-0.44) compared to medium-sized (T3, K2/3) and large tumors (T4, K4; r = 0.54-0.76). Pre- and postoperative MLD and OA statistically significantly predict SVA (p < 0.001), but the postoperative correlation was weaker, particularly for MLD to SVA values. All analyses showed a large scatter range. In the percentage deviation analysis of MLD and OA from SVA, small tumors (K1/K2, T1/T2) were overestimated. Compared to the SVA, the MLD and especially the OA are a time-saving alternative for monitoring the tumor volume of NF2-associated VS. However, the scatter range in small/surgically reduced tumors is enormous. For this reason, they are not recommended for monitoring off-label therapy with Bevacizumab or for treatment decisions depending on a precise assessment of tumor volume and growth. Developing deep learning-based volume determinations in the future is essential to reduce SVA's time intensity.

摘要

为了将一维(线性)肿瘤体积计算和分类系统与三维分割体积分析(SVA)进行比较,特别关注它们在评估和管理神经纤维瘤病2型(NF2)相关前庭神经鞘瘤(VS)中的有效性。对VS患者每6个月进行一次头颅薄层(<3mm)MRI临床随访。我们回顾性地审查并使用T1加权对比增强(钆)图像进行SVA和线性测量。三维SVA通过轴向平面手动进行或与半自动分割相结合。使用轴向和冠状平面在三个维度(前后、横向和头尾平面)确定最大线性尺寸(MLD)。将MLD进行立方运算(MLD³),并进行正交分析(OA)以建立与SVA的可比性。使用汉诺威和库斯分类来描述每个MRI和肿瘤中的大小比例。进行线性回归模型以比较一维/分类系统与SVA,并使用单向多变量方差分析确定MLD和OA相对于SVA的百分比偏差变化。在149例NF2患者和292个相关VS的队列中进行了2586次SVA和10344次线性测量。所有测量技术(MLD、OA、库斯和汉诺威)与SVA均具有显著(且强,r>0.5)相关性(p<0.001)。OA与SVA的正相关性比MLD更强。与中等大小(T3,K2/3)和大肿瘤(T4,K4;r=0.54-0.76)相比,较小分类的肿瘤(T1/T2,K1/K2)表现出低至中等的正相关性(r=0.23-0.44)。术前和术后的MLD和OA在统计学上显著预测SVA(p<0.001),但术后相关性较弱,尤其是MLD与SVA值之间。所有分析均显示出较大的离散范围。在MLD和OA相对于SVA的百分比偏差分析中,小肿瘤(K1/K2,T1/T2)被高估。与SVA相比,MLD尤其是OA是监测NF2相关VS肿瘤体积的一种省时替代方法。然而,小/手术切除后肿瘤的离散范围非常大。因此,不建议使用它们来监测贝伐单抗的超适应症治疗或根据肿瘤体积和生长的精确评估进行治疗决策。未来开发基于深度学习的体积测定对于降低SVA的时间强度至关重要。

https://cdn.ncbi.nlm.nih.gov/pmc/blobs/26fd/11742393/05b81904c215/41598_2025_85386_Fig2_HTML.jpg

文献AI研究员

20分钟写一篇综述,助力文献阅读效率提升50倍。

立即体验

用中文搜PubMed

大模型驱动的PubMed中文搜索引擎

马上搜索

文档翻译

学术文献翻译模型,支持多种主流文档格式。

立即体验