Suppr超能文献

伏立西尼在非强化复发性中枢神经系统WHO 3级少突胶质细胞瘤中的扩大应用

Expanded Use of Vorasidenib in Non-Enhancing Recurrent CNS WHO Grade 3 Oligodendroglioma.

作者信息

Himstead Alexander S, Chen Jefferson W, Chu Eleanor, Perez-Rosendahl Mari A, Zheng Michelle, Mathew Sherin, Yuen Carlen A

机构信息

Department of Neurological Surgery, University of California, Irvine, CA 92697, USA.

Department of Radiological Sciences, University of California, Irvine, CA 92697, USA.

出版信息

Biomedicines. 2025 Jan 15;13(1):201. doi: 10.3390/biomedicines13010201.

Abstract

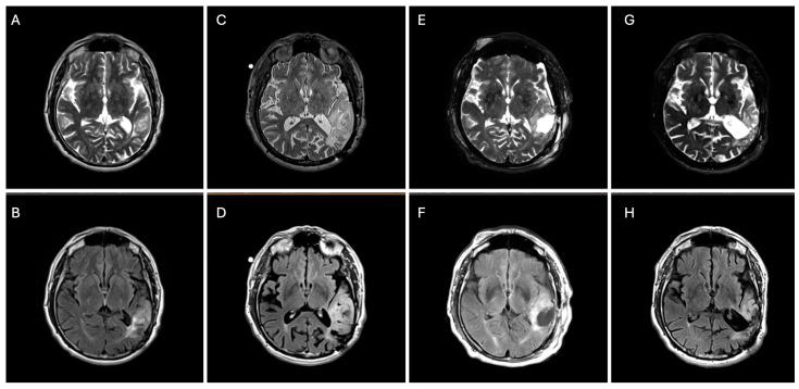
: Anaplastic oligodendrogliomas (AOs) are central nervous system (CNS) World Health Organization (WHO) grade 3 gliomas characterized by isocitrate dehydrogenase (IDH) mutation (m)IDH and 1p/19q codeletion. AOs are typically treated with surgery and chemoradiation. However, chemoradiation can cause detrimental late neurocognitive morbidities and an accelerated disease course. The recently regulatory-approved vorasidenib, a brain-penetrating oral inhibitor of IDH1/2, has altered the treatment paradigm for recurrent/residual non-enhancing surgically resected CNS WHO grade 2 mIDH gliomas. Though vorasidenib can delay the time to chemoradiation for grade 2 gliomas, the implications for vorasidenib in non-grade 2 mIDH gliomas are not well understood. We present a case of a 71-year-old male with a grade 3 non-enhancing oligodendroglioma successfully treated with vorasidenib with an 11% reduction in residual tumor volume. Vorasidenib was well tolerated in our patient with a mild elevation in his liver transaminases that resolved following a brief interruption in treatment. Our case suggests that vorasidenib may impart therapeutic benefits in this setting. This case illustrates the need for further investigation into these less commonly addressed scenarios and treatment strategies that extend beyond current guidelines.

摘要

间变性少突胶质细胞瘤(AO)是世界卫生组织(WHO)3级中枢神经系统(CNS)胶质瘤,其特征为异柠檬酸脱氢酶(IDH)突变(mIDH)和1p/19q共缺失。AO通常采用手术及放化疗进行治疗。然而,放化疗会导致有害的迟发性神经认知并发症以及疾病进程加速。最近获得监管批准的伏立西尼是一种可穿透血脑屏障的IDH1/2口服抑制剂,它改变了复发性/残留性非强化型手术切除的WHO 2级CNS mIDH胶质瘤的治疗模式。虽然伏立西尼可以延迟2级胶质瘤的放化疗时间,但对于非2级mIDH胶质瘤中伏立西尼的影响尚不清楚。我们报告了一例71岁男性3级非强化型少突胶质细胞瘤患者,使用伏立西尼成功治疗,残余肿瘤体积减少了11%。我们的患者对伏立西尼耐受性良好,仅出现轻度肝转氨酶升高,在短暂中断治疗后恢复正常。我们的病例表明伏立西尼在这种情况下可能具有治疗益处。该病例说明有必要对这些较少涉及的情况以及超出当前指南的治疗策略进行进一步研究。

https://cdn.ncbi.nlm.nih.gov/pmc/blobs/c316/11762706/eecfd8a2d294/biomedicines-13-00201-g001.jpg

文献检索

告别复杂PubMed语法,用中文像聊天一样搜索,搜遍4000万医学文献。AI智能推荐,让科研检索更轻松。

立即免费搜索

文件翻译

保留排版,准确专业,支持PDF/Word/PPT等文件格式,支持 12+语言互译。

免费翻译文档

深度研究

AI帮你快速写综述,25分钟生成高质量综述,智能提取关键信息,辅助科研写作。

立即免费体验