• 文献检索
  • 文档翻译
  • 深度研究
  • 学术资讯
  • Suppr Zotero 插件Zotero 插件
  • 邀请有礼
  • 套餐&价格
  • 历史记录
应用&插件
Suppr Zotero 插件Zotero 插件浏览器插件Mac 客户端Windows 客户端微信小程序
定价
高级版会员购买积分包购买API积分包
服务
文献检索文档翻译深度研究API 文档MCP 服务
关于我们
关于 Suppr公司介绍联系我们用户协议隐私条款
关注我们

Suppr 超能文献

核心技术专利:CN118964589B侵权必究
粤ICP备2023148730 号-1Suppr @ 2026

文献检索

告别复杂PubMed语法,用中文像聊天一样搜索,搜遍4000万医学文献。AI智能推荐,让科研检索更轻松。

立即免费搜索

文件翻译

保留排版,准确专业,支持PDF/Word/PPT等文件格式,支持 12+语言互译。

免费翻译文档

深度研究

AI帮你快速写综述,25分钟生成高质量综述,智能提取关键信息,辅助科研写作。

立即免费体验

中性粒细胞胞外诱捕网通过介导m6A修饰的SLC2A3 mRNA所诱导的铁死亡抗性和CD8(+) T细胞抑制的稳定性来促进肺腺癌生长。

Neutrophil extracellular traps promote growth of lung adenocarcinoma by mediating the stability of m6A-mediated SLC2A3 mRNA-induced ferroptosis resistance and CD8(+) T cell inhibition.

作者信息

Xu Li, Kong Yi, Li Kang, Li Jia, Xu Fang, Xu Yan, Liang Shuzhi, Chen Bolin

机构信息

The Second Department of Thoracic Oncology, The Affiliated Cancer Hospital of Xiangya School of Medicine, Central South University/Hunan Cancer Hospital, Changsha, Hunan Province, P.R. China.

出版信息

Clin Transl Med. 2025 Feb;15(2):e70192. doi: 10.1002/ctm2.70192.

DOI:10.1002/ctm2.70192
PMID:39865544
原文链接:https://pmc.ncbi.nlm.nih.gov/articles/PMC11769710/
Abstract

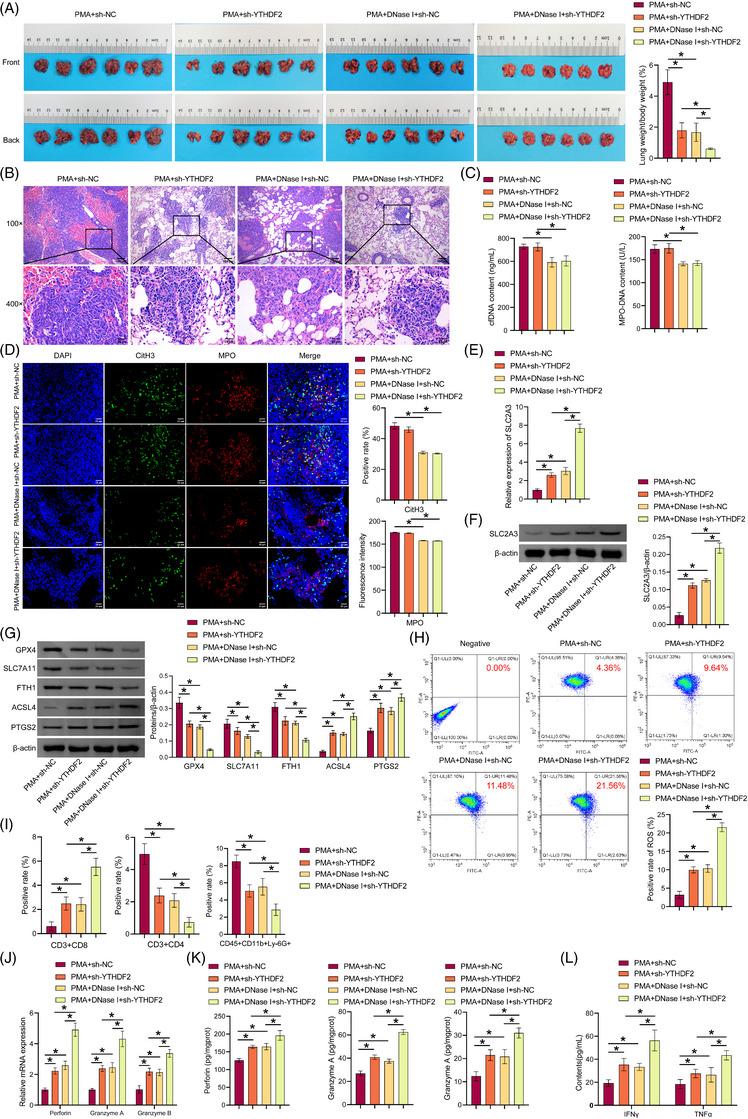
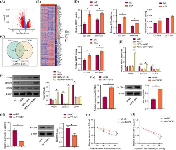
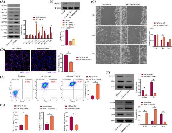
To investigate the potential mechanisms underlying neutrophil extracellular traps (NETs) confer ferroptosis resistance and CD8(+) T cell inhibition in lung adenocarcinoma (LUAD). By the intravenous injection of LLC cells into the tail vein, a LUAD mouse model was created. Phorbol-12-myristate-13-acetate (PMA) stimulated neutrophils to facilitate NETs formation and combined with NETs inhibitor DNase I to explore NETs mechanism on LLC cell proliferation, migration, ferroptosis resistance, and CD8(+) T cell activity. CitH3, myeloperoxidase (MPO), cell-free DNA, and MPO-DNA levels in LUAD were increased, indicating an increase in NETs formation in LUAD. PMA promoted NETs formation in tumours of mice, increased the number of CD3(+)CD4(+) T cells, decreased perforin, granzyme A, granzyme B, IFNγ, and TNF-α levels, and promoted LUAD growth and the number of lung tumour nodules, indicating that PMA promoted NETs formation, reduced the activity of CD8(+)T cells, and promoted LUAD growth. DNase I partially reversed the effects of PMA. NETs promoted LLC cell proliferation and migration, while DNase I reversed NETs effects. Erastin inhibited LLC cell proliferation and migration and promoted ferroptosis. NETs partially reversed Erastin effects. Further results showed that NETs promoted LLC cell proliferation and migration and inhibited ferroptosis by promoting YTHDF2-mediated SLC2A3 mRNA degradation. Sh-YTHDF2 partially reversed the effect of NETs on LLC cells, whereas si-SLC2A3 partially reversed sh-YTHDF2 effects on LLC cells. In addition, NETs inhibited LLC cell ferroptosis by inhibiting CD8(+) T cell activity. Sh-YTHDF2 and DNase I inhibited NETs formation in tumours, increased the activity of CD8(+) T cells and inhibited LUAD growth. Our results suggested that NETs promoted the growth of LUAD through inhibiting ferroptosis and CD8(+) T cell activity by promoting YTHDF2-mediated SLC2A3 mRNA degradation.

摘要

为了探究中性粒细胞胞外陷阱(NETs)赋予肺腺癌(LUAD)铁死亡抗性和抑制CD8(+) T细胞的潜在机制。通过将LLC细胞尾静脉注射,建立了LUAD小鼠模型。佛波酯-12-肉豆蔻酸酯-13-乙酸酯(PMA)刺激中性粒细胞以促进NETs形成,并与NETs抑制剂脱氧核糖核酸酶I联合使用,以探讨NETs对LLC细胞增殖、迁移、铁死亡抗性和CD8(+) T细胞活性的作用机制。LUAD中瓜氨酸化组蛋白H3(CitH3)、髓过氧化物酶(MPO)、游离DNA和MPO-DNA水平升高,表明LUAD中NETs形成增加。PMA促进小鼠肿瘤中NETs形成,增加CD3(+)CD4(+) T细胞数量,降低穿孔素、颗粒酶A、颗粒酶B、干扰素γ(IFNγ)和肿瘤坏死因子-α(TNF-α)水平,并促进LUAD生长和肺肿瘤结节数量增加,表明PMA促进NETs形成,降低CD8(+) T细胞活性,并促进LUAD生长。脱氧核糖核酸酶I部分逆转了PMA的作用。NETs促进LLC细胞增殖和迁移,而脱氧核糖核酸酶I逆转了NETs的作用。艾拉司丁抑制LLC细胞增殖和迁移并促进铁死亡。NETs部分逆转了艾拉司丁的作用。进一步结果表明,NETs通过促进YTHDF2介导的SLC2A3 mRNA降解促进LLC细胞增殖和迁移并抑制铁死亡。短发夹RNA干扰YTHDF2(Sh-YTHDF2)部分逆转了NETs对LLC细胞的作用,而小干扰RNA干扰SLC2A3(si-SLC2A3)部分逆转了Sh-YTHDF2对LLC细胞的作用。此外,NETs通过抑制CD8(+) T细胞活性抑制LLC细胞铁死亡。Sh-YTHDF2和脱氧核糖核酸酶I抑制肿瘤中NETs形成,增加CD8(+) T细胞活性并抑制LUAD生长。我们的结果表明,NETs通过促进YTHDF2介导的SLC2A3 mRNA降解抑制铁死亡和CD8(+) T细胞活性,从而促进LUAD生长。

https://cdn.ncbi.nlm.nih.gov/pmc/blobs/0f81/11769710/f482b8ac868d/CTM2-15-e70192-g003.jpg
https://cdn.ncbi.nlm.nih.gov/pmc/blobs/0f81/11769710/91fe8975179d/CTM2-15-e70192-g004.jpg
https://cdn.ncbi.nlm.nih.gov/pmc/blobs/0f81/11769710/17a09932e5d7/CTM2-15-e70192-g009.jpg
https://cdn.ncbi.nlm.nih.gov/pmc/blobs/0f81/11769710/d09a2cf067d2/CTM2-15-e70192-g006.jpg
https://cdn.ncbi.nlm.nih.gov/pmc/blobs/0f81/11769710/a2acc4d12689/CTM2-15-e70192-g008.jpg
https://cdn.ncbi.nlm.nih.gov/pmc/blobs/0f81/11769710/c63186d8f1f0/CTM2-15-e70192-g005.jpg
https://cdn.ncbi.nlm.nih.gov/pmc/blobs/0f81/11769710/060442d57e2f/CTM2-15-e70192-g001.jpg
https://cdn.ncbi.nlm.nih.gov/pmc/blobs/0f81/11769710/992385c2afad/CTM2-15-e70192-g007.jpg
https://cdn.ncbi.nlm.nih.gov/pmc/blobs/0f81/11769710/f482b8ac868d/CTM2-15-e70192-g003.jpg
https://cdn.ncbi.nlm.nih.gov/pmc/blobs/0f81/11769710/91fe8975179d/CTM2-15-e70192-g004.jpg
https://cdn.ncbi.nlm.nih.gov/pmc/blobs/0f81/11769710/17a09932e5d7/CTM2-15-e70192-g009.jpg
https://cdn.ncbi.nlm.nih.gov/pmc/blobs/0f81/11769710/d09a2cf067d2/CTM2-15-e70192-g006.jpg
https://cdn.ncbi.nlm.nih.gov/pmc/blobs/0f81/11769710/a2acc4d12689/CTM2-15-e70192-g008.jpg
https://cdn.ncbi.nlm.nih.gov/pmc/blobs/0f81/11769710/c63186d8f1f0/CTM2-15-e70192-g005.jpg
https://cdn.ncbi.nlm.nih.gov/pmc/blobs/0f81/11769710/060442d57e2f/CTM2-15-e70192-g001.jpg
https://cdn.ncbi.nlm.nih.gov/pmc/blobs/0f81/11769710/992385c2afad/CTM2-15-e70192-g007.jpg
https://cdn.ncbi.nlm.nih.gov/pmc/blobs/0f81/11769710/f482b8ac868d/CTM2-15-e70192-g003.jpg

相似文献

1
Neutrophil extracellular traps promote growth of lung adenocarcinoma by mediating the stability of m6A-mediated SLC2A3 mRNA-induced ferroptosis resistance and CD8(+) T cell inhibition.中性粒细胞胞外诱捕网通过介导m6A修饰的SLC2A3 mRNA所诱导的铁死亡抗性和CD8(+) T细胞抑制的稳定性来促进肺腺癌生长。
Clin Transl Med. 2025 Feb;15(2):e70192. doi: 10.1002/ctm2.70192.
2
Machine learning framework develops neutrophil extracellular traps model for clinical outcome and immunotherapy response in lung adenocarcinoma.机器学习框架开发中性粒细胞胞外陷阱模型,用于肺腺癌的临床结局和免疫治疗反应。
Apoptosis. 2024 Aug;29(7-8):1090-1108. doi: 10.1007/s10495-024-01947-4. Epub 2024 Mar 22.
3
Neutrophil Extracellular Traps Promote T Cell Exhaustion in the Tumor Microenvironment.中性粒细胞胞外陷阱促进肿瘤微环境中的 T 细胞耗竭。
Front Immunol. 2021 Nov 24;12:785222. doi: 10.3389/fimmu.2021.785222. eCollection 2021.
4
HSYA ameliorates venous thromboembolism by depleting the formation of TLR4/NF-κB pathway-dependent neutrophil extracellular traps.羟基红花黄色素A通过减少TLR4/NF-κB通路依赖性中性粒细胞胞外诱捕网的形成来改善静脉血栓栓塞。
Int Immunopharmacol. 2024 Dec 25;143(Pt 3):113534. doi: 10.1016/j.intimp.2024.113534. Epub 2024 Nov 5.
5
IGF2BP3 suppresses ferroptosis in lung adenocarcinoma by m6A-dependent regulation of TFAP2A to transcriptionally activate SLC7A11/GPX4.IGF2BP3通过m6A依赖的TFAP2A调控转录激活SLC7A11/GPX4来抑制肺腺癌中的铁死亡。
Mol Cell Biochem. 2025 Apr;480(4):2361-2375. doi: 10.1007/s11010-024-05068-z. Epub 2024 Jul 18.
6
FOXA1/UBE2T Inhibits CD8T Cell Activity by Inducing Mediates Glycolysis in Lung Adenocarcinoma.FOXA1/UBE2T 通过诱导肺腺癌中的糖酵解来抑制 CD8T 细胞的活性。
Front Biosci (Landmark Ed). 2024 Apr 1;29(4):134. doi: 10.31083/j.fbl2904134.
7
Lenvatinib-activated NDUFA4L2/IL33/PADI4 pathway induces neutrophil extracellular traps that inhibit cuproptosis in hepatocellular carcinoma.乐伐替尼激活的NDUFA4L2/IL33/PADI4通路诱导中性粒细胞胞外诱捕网,抑制肝细胞癌中的铜死亡。
Cell Oncol (Dordr). 2025 Apr;48(2):487-504. doi: 10.1007/s13402-024-01013-w. Epub 2024 Nov 25.
8
CircSCUBE3 promoted ferroptosis to inhibit lung adenocarcinoma progression.环状 RNA SCUBE3 通过促进铁死亡抑制肺腺癌进展。
Cell Mol Biol (Noisy-le-grand). 2024 Feb 29;70(2):161-168. doi: 10.14715/cmb/2024.70.2.23.
9
Exenatide enhanced the antitumor efficacy on PD-1 blockade by the attenuation of neutrophil extracellular traps.艾塞那肽通过减少中性粒细胞胞外诱捕网增强了对程序性死亡受体1(PD-1)阻断的抗肿瘤疗效。
Biochem Biophys Res Commun. 2022 Sep 3;619:97-103. doi: 10.1016/j.bbrc.2022.06.052. Epub 2022 Jun 18.
10
A combined model of serum neutrophil extracellular traps, CD8 T cells, and tumor proportion score provides better prediction of PD-1 inhibitor efficacy in patients with NSCLC.中性粒细胞胞外诱捕网、CD8 T 细胞与肿瘤比例评分的联合模型可更好地预测 NSCLC 患者对 PD-1 抑制剂的疗效。
FEBS J. 2024 Aug;291(15):3403-3416. doi: 10.1111/febs.17144. Epub 2024 Apr 25.

引用本文的文献

1
mA-driven transcriptomic rewiring in tumor immune surveillance.毫安驱动的肿瘤免疫监视中的转录组重排
J Immunother Cancer. 2025 Sep 3;13(9):e012744. doi: 10.1136/jitc-2025-012744.
2
Target neutrophil heterogeneity and plasticity in cancer.癌症中目标中性粒细胞的异质性和可塑性。
J Hematol Oncol. 2025 Aug 12;18(1):79. doi: 10.1186/s13045-025-01731-0.
3
Ginsenoside Rb1 mitigates atherosclerosis in part through modulating FTO-mediated mA RNA modification in NETs-induced endothelial activation.人参皂苷Rb1部分通过调节FTO介导的NETs诱导的内皮细胞活化中的m⁶A RNA修饰来减轻动脉粥样硬化。

本文引用的文献

1
MAFF confers vulnerability to cisplatin-based and ionizing radiation treatments by modulating ferroptosis and cell cycle progression in lung adenocarcinoma.MAFF 通过调节肺腺癌中的铁死亡和细胞周期进程,使顺铂类药物和电离辐射治疗变得脆弱。
Drug Resist Updat. 2024 Mar;73:101057. doi: 10.1016/j.drup.2024.101057. Epub 2024 Jan 19.
2
FBXO38 mediates FGL1 ubiquitination and degradation to enhance cancer immunity and suppress inflammation.FBXO38 介导 FGL1 的泛素化和降解,以增强癌症免疫并抑制炎症。
Cell Rep. 2023 Nov 28;42(11):113362. doi: 10.1016/j.celrep.2023.113362. Epub 2023 Nov 7.
3
Construction of an m6A- and neutrophil extracellular traps-related lncRNA model to predict hepatocellular carcinoma prognosis and immune landscape.
Front Pharmacol. 2025 Jul 23;16:1631076. doi: 10.3389/fphar.2025.1631076. eCollection 2025.
4
Neutrophil extracellular traps in cancer: From mechanisms to treatments.癌症中的中性粒细胞胞外诱捕网:从机制到治疗
Clin Transl Med. 2025 Jun;15(6):e70368. doi: 10.1002/ctm2.70368.
5
Summary of the mechanism of ferroptosis regulated by m6A modification in cancer progression.m6A修饰调控癌症进展中细胞铁死亡的机制综述。
Front Cell Dev Biol. 2025 Apr 9;13:1507171. doi: 10.3389/fcell.2025.1507171. eCollection 2025.
构建 m6A 和中性粒细胞胞外诱捕网相关 lncRNA 模型预测肝细胞癌预后和免疫图谱。
Front Immunol. 2023 Oct 5;14:1231543. doi: 10.3389/fimmu.2023.1231543. eCollection 2023.
4
Formate Supplementation Enhances Antitumor CD8+ T-cell Fitness and Efficacy of PD-1 Blockade.补充甲酸盐可增强抗肿瘤 CD8+T 细胞的适应性和 PD-1 阻断的疗效。
Cancer Discov. 2023 Dec 12;13(12):2566-2583. doi: 10.1158/2159-8290.CD-22-1301.
5
MiRNAs in Lung Adenocarcinoma: Role, Diagnosis, Prognosis, and Therapy.肺腺癌中的 miRNAs:作用、诊断、预后和治疗。
Int J Mol Sci. 2023 Aug 27;24(17):13302. doi: 10.3390/ijms241713302.
6
Neutrophil extracellular traps mediate TLR9/Merlin axis to resist ferroptosis and promote triple negative breast cancer progression.中性粒细胞胞外诱捕网通过 TLR9/Merlin 轴抵抗铁死亡并促进三阴性乳腺癌进展。
Apoptosis. 2023 Oct;28(9-10):1484-1495. doi: 10.1007/s10495-023-01866-w. Epub 2023 Jun 27.
7
Downregulation of N6-methyladenosine-modified LINC00641 promotes EMT, but provides a ferroptotic vulnerability in lung cancer.下调 N6-甲基腺苷修饰的 LINC00641 促进 EMT,但在肺癌中提供铁死亡易感性。
Cell Death Dis. 2023 Jun 13;14(6):359. doi: 10.1038/s41419-023-05880-3.
8
HRG inhibits liver cancer lung metastasis by suppressing neutrophil extracellular trap formation.HRG 通过抑制中性粒细胞胞外诱捕网形成抑制肝癌肺转移。
Clin Transl Med. 2023 Jun;13(6):e1283. doi: 10.1002/ctm2.1283.
9
Effect of NETs/COX-2 pathway on immune microenvironment and metastasis in gastric cancer.NETs/COX-2 通路对胃癌免疫微环境和转移的影响。
Front Immunol. 2023 Apr 20;14:1177604. doi: 10.3389/fimmu.2023.1177604. eCollection 2023.
10
Mesenchymal stem cell-derived extracellular vesicles protect against abdominal aortic aneurysm formation by inhibiting NET-induced ferroptosis.间质干细胞衍生的细胞外囊泡通过抑制 NET 诱导的铁死亡来防止腹主动脉瘤形成。
Exp Mol Med. 2023 May;55(5):939-951. doi: 10.1038/s12276-023-00986-2. Epub 2023 May 1.