Suppr超能文献

蛋白酶3(PR3)阳性核周抗中性粒细胞胞浆抗体(pANCA)血管炎并发侵袭性曲霉感染

Proteinase 3 (PR3)-Positive Perinuclear Anti-neutrophil Cytoplasmic Antibodies (pANCA) Vasculitis With Concurrent Invasive Aspergillosis Infection.

作者信息

Smith David, Herminie Venessa, Priya Shiv, Shehata Mario Zaghar A

机构信息

Adult Critical Care, St George's University Hospitals NHS Foundation Trust, London, GBR.

出版信息

Cureus. 2025 Jan 29;17(1):e78169. doi: 10.7759/cureus.78169. eCollection 2025 Jan.

Abstract

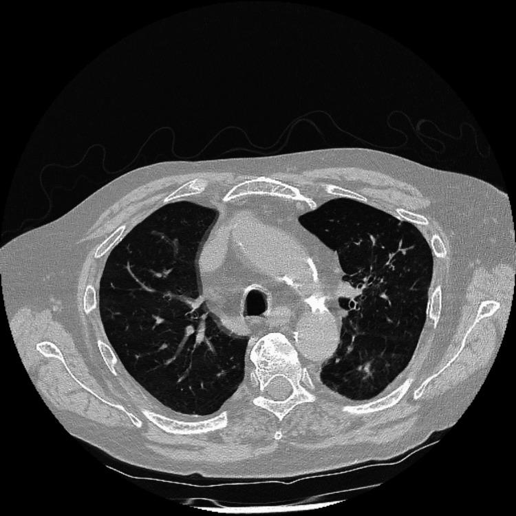
Anti-neutrophil cytoplasmic antibodies (ANCA)-associated vasculitides are a group of rare diseases that cause inflammation of small to medium vessels. They comprise granulomatosis with polyangiitis (GPA), microscopic polyangiitis (MPA), and eosinophilic granulomatosis with polyangiitis (EGPA). As the signs and symptoms are varied, the diagnosis of vasculitis is complex and challenging; however, there are type-specific clinical presentations that can be factored into the existing classification criteria. The difficulty faced in diagnosis is compounded due to ANCA being present in other chronic illnesses. While ANCA vasculitis may be triggered by infection, it is rarely associated with invasive aspergillosis. We present a case of proteinase 3 (PR3)-positive vasculitis with concurrent invasive aspergillosis in a 68-year-old male in whom both the clinical presentation and immunochemical picture were atypical. However, he responded well to treatment with immunosuppression. This report highlights the complexities in the diagnosis of vasculitis and the limitations of existing diagnosis and inclusion criteria.

摘要

抗中性粒细胞胞浆抗体(ANCA)相关血管炎是一组导致中小血管炎症的罕见疾病。它们包括肉芽肿性多血管炎(GPA)、显微镜下多血管炎(MPA)和嗜酸性肉芽肿性多血管炎(EGPA)。由于体征和症状各不相同,血管炎的诊断复杂且具有挑战性;然而,存在一些特定类型的临床表现可纳入现有的分类标准。由于ANCA也存在于其他慢性疾病中,诊断面临的困难更加复杂。虽然ANCA血管炎可能由感染引发,但它很少与侵袭性曲霉病相关。我们报告一例68岁男性患者,患有蛋白酶3(PR3)阳性血管炎并并发侵袭性曲霉病,其临床表现和免疫化学表现均不典型。然而,他对免疫抑制治疗反应良好。本报告强调了血管炎诊断的复杂性以及现有诊断和纳入标准的局限性。

https://cdn.ncbi.nlm.nih.gov/pmc/blobs/f45c/11775635/2a0a87428814/cureus-0017-00000078169-i01.jpg

文献检索

告别复杂PubMed语法,用中文像聊天一样搜索,搜遍4000万医学文献。AI智能推荐,让科研检索更轻松。

立即免费搜索

文件翻译

保留排版,准确专业,支持PDF/Word/PPT等文件格式,支持 12+语言互译。

免费翻译文档

深度研究

AI帮你快速写综述,25分钟生成高质量综述,智能提取关键信息,辅助科研写作。

立即免费体验