Suppr超能文献

孤立性呼吸衰竭作为早期核周型抗中性粒细胞胞浆抗体相关性血管炎的一种表现

Isolated Respiratory Failure as a Presentation for Early Perinuclear Antineutrophil Cytoplasmic Antibody-Associated Vasculitis.

作者信息

Mowafy Ahmed, Latif Asnia, Jesani Shruti, Saeed Hasham

机构信息

Internal Medicine, Trinitas Regional Medical Center RWJBarnabas Health, Elizabeth, USA.

Internal Medicine, Rutgers Health/Trinitas Regional Medical Center, Elizabeth, USA.

出版信息

Cureus. 2022 Jul 9;14(7):e26698. doi: 10.7759/cureus.26698. eCollection 2022 Jul.

Abstract

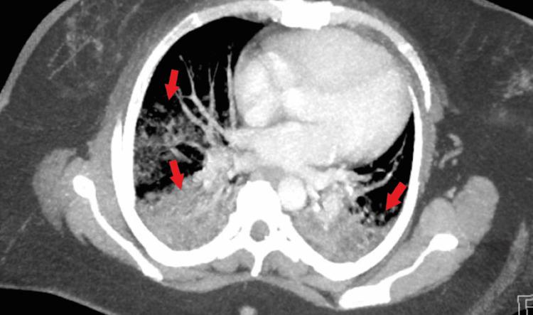
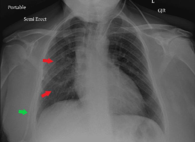
Antineutrophil cytoplasmic antibody (ANCA)-associated vasculitis is an autoimmune inflammatory disease that usually affects the small-sized vasculature, most notably of the lungs and kidneys. One of the challenges of suspecting and diagnosing the condition lies in the insidious and unclear symptoms of presentation. In this case report, we discuss the case of a patient who initially presented with solely unclear pulmonary symptoms, without other organ system dysfunction.

摘要

抗中性粒细胞胞浆抗体(ANCA)相关性血管炎是一种自身免疫性炎症性疾病,通常累及小血管,最显著的是肺部和肾脏的血管。怀疑和诊断该病的挑战之一在于其症状隐匿且不明确。在本病例报告中,我们讨论了一名患者的病例,该患者最初仅表现为不明确的肺部症状,而无其他器官系统功能障碍。

https://cdn.ncbi.nlm.nih.gov/pmc/blobs/d89f/9359714/ec49b2ea7a82/cureus-0014-00000026698-i01.jpg

文献检索

告别复杂PubMed语法,用中文像聊天一样搜索,搜遍4000万医学文献。AI智能推荐,让科研检索更轻松。

立即免费搜索

文件翻译

保留排版,准确专业,支持PDF/Word/PPT等文件格式,支持 12+语言互译。

免费翻译文档

深度研究

AI帮你快速写综述,25分钟生成高质量综述,智能提取关键信息,辅助科研写作。

立即免费体验