• 文献检索
  • 文档翻译
  • 深度研究
  • 学术资讯
  • Suppr Zotero 插件Zotero 插件
  • 邀请有礼
  • 套餐&价格
  • 历史记录
应用&插件
Suppr Zotero 插件Zotero 插件浏览器插件Mac 客户端Windows 客户端微信小程序
定价
高级版会员购买积分包购买API积分包
服务
文献检索文档翻译深度研究API 文档MCP 服务
关于我们
关于 Suppr公司介绍联系我们用户协议隐私条款
关注我们

Suppr 超能文献

核心技术专利:CN118964589B侵权必究
粤ICP备2023148730 号-1Suppr @ 2026

文献检索

告别复杂PubMed语法,用中文像聊天一样搜索,搜遍4000万医学文献。AI智能推荐,让科研检索更轻松。

立即免费搜索

文件翻译

保留排版,准确专业,支持PDF/Word/PPT等文件格式,支持 12+语言互译。

免费翻译文档

深度研究

AI帮你快速写综述,25分钟生成高质量综述,智能提取关键信息,辅助科研写作。

立即免费体验

嵌合抗原受体(CAR)T细胞、CAR自然杀伤(NK)细胞和CAR巨噬细胞在胶质瘤模型中表现出不同的特性,但与细胞因子联合使用时同样会得到增强。

CAR T cells, CAR NK cells, and CAR macrophages exhibit distinct traits in glioma models but are similarly enhanced when combined with cytokines.

作者信息

Look Thomas, Sankowski Roman, Bouzereau Manon, Fazio Serena, Sun Miaomiao, Buck Alicia, Binder Niklas, Mastall Maximilian, Prisco Francesco, Seehusen Frauke, Frei Julia, Wyss Conrad, Snijder Berend, Nombela Arrieta Cesar, Weller Michael, Pascolo Steve, Weiss Tobias

机构信息

Department of Neurology, Clinical Neuroscience Center, University Hospital and University of Zurich, 8091 Zurich, Switzerland.

Institute of Neuropathology, Faculty of Medicine, University of Freiburg, 79106 Freiburg, Germany.

出版信息

Cell Rep Med. 2025 Feb 18;6(2):101931. doi: 10.1016/j.xcrm.2025.101931. Epub 2025 Jan 30.

DOI:10.1016/j.xcrm.2025.101931
PMID:39889712
原文链接:https://pmc.ncbi.nlm.nih.gov/articles/PMC11866521/
Abstract

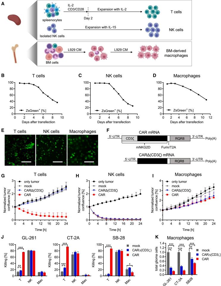
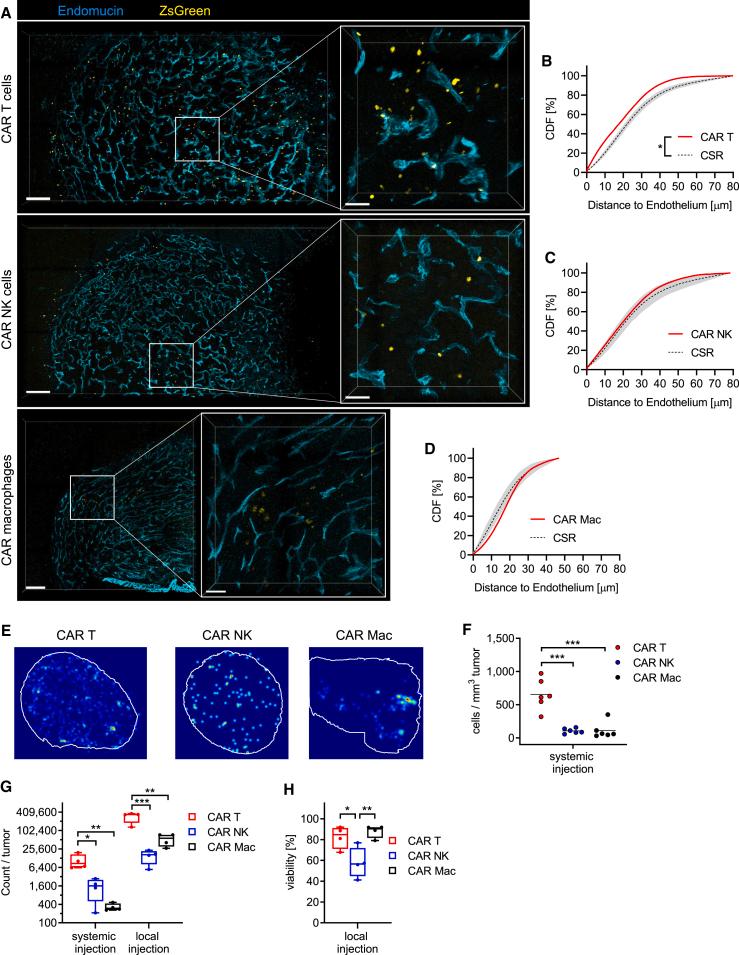
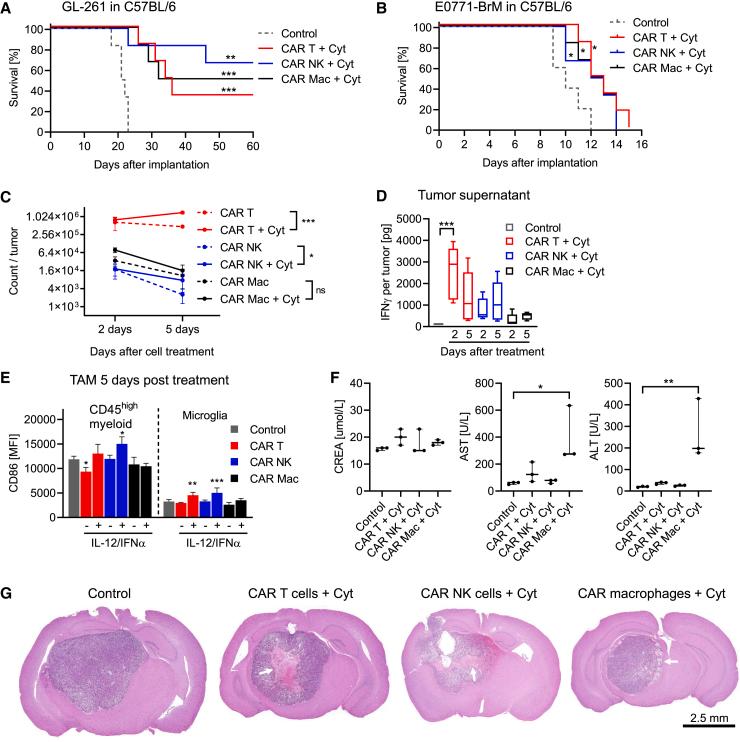
Chimeric antigen receptor (CAR) T cell therapy is a promising immunotherapy against cancer. Although there is a growing interest in other cell types, a comparison of CAR immune effector cells in challenging solid tumor contexts is lacking. Here, we compare mouse and human NKG2D-CAR-expressing T cells, natural killer (NK) cells, and macrophages against glioblastoma, the most aggressive primary brain tumor. In vitro we show that T cell cancer killing is CAR dependent, whereas intrinsic cytotoxicity overrules CAR dependence for NK cells, and CAR macrophages reduce glioma cells in co-culture assays. In orthotopic immunocompetent glioma mouse models, systemically administered CAR T cells demonstrate superior accumulation in the tumor, and each immune cell type induces distinct changes in the tumor microenvironment. An otherwise low therapeutic efficacy is significantly enhanced by co-expression of pro-inflammatory cytokines in all CAR immune effector cells, underscoring the necessity for multifaceted cell engineering strategies to overcome the immunosuppressive solid tumor microenvironment.

摘要

嵌合抗原受体(CAR)T细胞疗法是一种很有前景的抗癌免疫疗法。尽管人们对其他细胞类型的兴趣日益浓厚,但在具有挑战性的实体瘤环境中,缺乏对CAR免疫效应细胞的比较。在这里,我们比较了表达小鼠和人类NKG2D-CAR的T细胞、自然杀伤(NK)细胞和巨噬细胞对胶质母细胞瘤(最具侵袭性的原发性脑肿瘤)的作用。在体外,我们表明T细胞对癌症的杀伤依赖于CAR,而NK细胞的内在细胞毒性则优先于对CAR的依赖性,并且在共培养试验中,CAR巨噬细胞可减少胶质瘤细胞。在原位免疫活性胶质瘤小鼠模型中,全身给药的CAR T细胞在肿瘤中显示出更好的聚集,并且每种免疫细胞类型都会在肿瘤微环境中诱导不同的变化。在所有CAR免疫效应细胞中共表达促炎细胞因子可显著提高原本较低的治疗效果,这强调了采用多方面细胞工程策略来克服免疫抑制性实体瘤微环境的必要性。

https://cdn.ncbi.nlm.nih.gov/pmc/blobs/b6e0/11866521/0d917d7881df/gr6.jpg
https://cdn.ncbi.nlm.nih.gov/pmc/blobs/b6e0/11866521/9c4f1121757f/fx1.jpg
https://cdn.ncbi.nlm.nih.gov/pmc/blobs/b6e0/11866521/90348ab48a9e/gr1.jpg
https://cdn.ncbi.nlm.nih.gov/pmc/blobs/b6e0/11866521/fb734d14f17a/gr2.jpg
https://cdn.ncbi.nlm.nih.gov/pmc/blobs/b6e0/11866521/1123d7a031df/gr3.jpg
https://cdn.ncbi.nlm.nih.gov/pmc/blobs/b6e0/11866521/c85738e6dc8e/gr4.jpg
https://cdn.ncbi.nlm.nih.gov/pmc/blobs/b6e0/11866521/461ac80eb46e/gr5.jpg
https://cdn.ncbi.nlm.nih.gov/pmc/blobs/b6e0/11866521/0d917d7881df/gr6.jpg
https://cdn.ncbi.nlm.nih.gov/pmc/blobs/b6e0/11866521/9c4f1121757f/fx1.jpg
https://cdn.ncbi.nlm.nih.gov/pmc/blobs/b6e0/11866521/90348ab48a9e/gr1.jpg
https://cdn.ncbi.nlm.nih.gov/pmc/blobs/b6e0/11866521/fb734d14f17a/gr2.jpg
https://cdn.ncbi.nlm.nih.gov/pmc/blobs/b6e0/11866521/1123d7a031df/gr3.jpg
https://cdn.ncbi.nlm.nih.gov/pmc/blobs/b6e0/11866521/c85738e6dc8e/gr4.jpg
https://cdn.ncbi.nlm.nih.gov/pmc/blobs/b6e0/11866521/461ac80eb46e/gr5.jpg
https://cdn.ncbi.nlm.nih.gov/pmc/blobs/b6e0/11866521/0d917d7881df/gr6.jpg

相似文献

1
CAR T cells, CAR NK cells, and CAR macrophages exhibit distinct traits in glioma models but are similarly enhanced when combined with cytokines.嵌合抗原受体(CAR)T细胞、CAR自然杀伤(NK)细胞和CAR巨噬细胞在胶质瘤模型中表现出不同的特性,但与细胞因子联合使用时同样会得到增强。
Cell Rep Med. 2025 Feb 18;6(2):101931. doi: 10.1016/j.xcrm.2025.101931. Epub 2025 Jan 30.
2
NK Cells Expressing a Chimeric Activating Receptor Eliminate MDSCs and Rescue Impaired CAR-T Cell Activity against Solid Tumors.嵌合激活受体表达的自然杀伤细胞消除髓系抑制细胞并挽救针对实体瘤的嵌合抗原受体 T 细胞活性受损。
Cancer Immunol Res. 2019 Mar;7(3):363-375. doi: 10.1158/2326-6066.CIR-18-0572. Epub 2019 Jan 16.
3
Sodium valproate enhances efficacy of NKG2D CAR-T cells against glioblastoma.丙戊酸钠增强NKG2D嵌合抗原受体T细胞对胶质母细胞瘤的疗效。
Front Immunol. 2025 Jan 14;15:1519777. doi: 10.3389/fimmu.2024.1519777. eCollection 2024.
4
Bispecific antibody-mediated redirection of NKG2D-CAR natural killer cells facilitates dual targeting and enhances antitumor activity.双特异性抗体介导的 NKG2D-CAR 自然杀伤细胞重定向促进双重靶向并增强抗肿瘤活性。
J Immunother Cancer. 2021 Oct;9(10). doi: 10.1136/jitc-2021-002980.
5
Chimeric Antigen Receptor T Cells With Modified Interleukin-13 Preferentially Recognize IL13Rα2 and Suppress Malignant Glioma: A Preclinical Study.嵌合抗原受体 T 细胞修饰的白细胞介素 13 优先识别白细胞介素 13Rα2 并抑制恶性脑胶质瘤:一项临床前研究。
Front Immunol. 2021 Nov 8;12:715000. doi: 10.3389/fimmu.2021.715000. eCollection 2021.
6
Purinergic targeting enhances immunotherapy of CD73 solid tumors with piggyBac-engineered chimeric antigen receptor natural killer cells.嘌呤能靶向增强猪源 Bac 工程嵌合抗原受体自然杀伤细胞治疗 CD73 实体瘤的免疫疗法。
J Immunother Cancer. 2018 Dec 4;6(1):136. doi: 10.1186/s40425-018-0441-8.
7
NKG2D-Based CAR T Cells and Radiotherapy Exert Synergistic Efficacy in Glioblastoma.基于 NKG2D 的嵌合抗原受体 T 细胞与放射疗法在胶质母细胞瘤中发挥协同疗效。
Cancer Res. 2018 Feb 15;78(4):1031-1043. doi: 10.1158/0008-5472.CAN-17-1788. Epub 2017 Dec 8.
8
CD19 CAR-expressing iPSC-derived NK cells effectively enhance migration and cytotoxicity into glioblastoma by targeting to the pericytes in tumor microenvironment.CD19 CAR 表达的 iPSC 衍生 NK 细胞通过靶向肿瘤微环境中的周细胞,有效增强了对神经胶质瘤的迁移和细胞毒性。
Biomed Pharmacother. 2024 May;174:116436. doi: 10.1016/j.biopha.2024.116436. Epub 2024 Mar 19.
9
Adoptive Transfer of IL13Rα2-Specific Chimeric Antigen Receptor T Cells Creates a Pro-inflammatory Environment in Glioblastoma.嵌合抗原受体 T 细胞过继转移 IL13Rα2 特异性受体可在胶质母细胞瘤中创造促炎环境。
Mol Ther. 2018 Apr 4;26(4):986-995. doi: 10.1016/j.ymthe.2018.02.001. Epub 2018 Feb 8.
10
Multifunctional mRNA-Based CAR T Cells Display Promising Antitumor Activity Against Glioblastoma.多功能基于 mRNA 的 CAR T 细胞对胶质母细胞瘤显示出有前景的抗肿瘤活性。
Clin Cancer Res. 2022 Nov 1;28(21):4747-4756. doi: 10.1158/1078-0432.CCR-21-4384.

引用本文的文献

1
Emerging CAR immunotherapies: broadening therapeutic horizons beyond cancer.新兴的嵌合抗原受体免疫疗法:拓展癌症以外的治疗视野。
Clin Exp Med. 2025 Aug 4;25(1):274. doi: 10.1007/s10238-025-01820-x.
2
Engineering Innate Immunity: Recent Advances and Future Directions for CAR-NK and CAR-Macrophage Therapies in Solid Tumors.工程化先天免疫:实体瘤中CAR-NK和CAR-巨噬细胞疗法的最新进展与未来方向
Cancers (Basel). 2025 Jul 19;17(14):2397. doi: 10.3390/cancers17142397.
3
Clustered macrophages cooperate to eliminate tumors via coordinated intrudopodia.

本文引用的文献

1
Safety, efficacy and determinants of response of allogeneic CD19-specific CAR-NK cells in CD19 B cell tumors: a phase 1/2 trial.同种异体 CD19 特异性 CAR-NK 细胞治疗 CD19 B 细胞肿瘤的安全性、有效性和反应决定因素:一项 1/2 期试验。
Nat Med. 2024 Mar;30(3):772-784. doi: 10.1038/s41591-023-02785-8. Epub 2024 Jan 18.
2
Advancing CAR-based immunotherapies in solid tumors: CAR- macrophages and neutrophils.推进实体瘤中的基于嵌合抗原受体(CAR)的免疫疗法:CAR-巨噬细胞和中性粒细胞。
Front Immunol. 2023 Nov 28;14:1291619. doi: 10.3389/fimmu.2023.1291619. eCollection 2023.
3
Protocol for the expansion of mouse immune effector cells for in vitro and in vivo studies.
聚集的巨噬细胞通过协调的侵入伪足协同作用以消除肿瘤。
Proc Natl Acad Sci U S A. 2025 Jul 8;122(27):e2425452122. doi: 10.1073/pnas.2425452122. Epub 2025 Jul 1.
4
CAR-NK cells: harnessing the power of natural killers for advanced cancer therapy.嵌合抗原受体自然杀伤细胞(CAR-NK细胞):利用自然杀伤细胞的力量进行晚期癌症治疗。
Front Immunol. 2025 May 30;16:1603757. doi: 10.3389/fimmu.2025.1603757. eCollection 2025.
用于体外和体内研究的小鼠免疫效应细胞扩增方案。
STAR Protoc. 2023 Dec 15;4(4):102700. doi: 10.1016/j.xpro.2023.102700. Epub 2023 Nov 9.
4
CAR T cell therapy for patients with solid tumours: key lessons to learn and unlearn.嵌合抗原受体 T 细胞疗法治疗实体瘤患者:需要汲取和摒弃的关键经验。
Nat Rev Clin Oncol. 2024 Jan;21(1):47-66. doi: 10.1038/s41571-023-00832-4. Epub 2023 Oct 30.
5
CBTRUS Statistical Report: Primary Brain and Other Central Nervous System Tumors Diagnosed in the United States in 2016-2020.美国 2016-2020 年诊断的原发性脑和其他中枢神经系统肿瘤 CBTRUS 统计报告。
Neuro Oncol. 2023 Oct 4;25(12 Suppl 2):iv1-iv99. doi: 10.1093/neuonc/noad149.
6
Targeting the Siglec-sialic acid axis promotes antitumor immune responses in preclinical models of glioblastoma.靶向 Siglec-唾液酸轴可增强胶质母细胞瘤临床前模型中的抗肿瘤免疫反应。
Sci Transl Med. 2023 Jul 19;15(705):eadf5302. doi: 10.1126/scitranslmed.adf5302.
7
Dictionary learning for integrative, multimodal and scalable single-cell analysis.基于字典学习的综合、多模态和可扩展的单细胞分析。
Nat Biotechnol. 2024 Feb;42(2):293-304. doi: 10.1038/s41587-023-01767-y. Epub 2023 May 25.
8
Targeted delivery of tumor necrosis factor in combination with CCNU induces a T cell-dependent regression of glioblastoma.靶向递送肿瘤坏死因子联合 CCNU 诱导胶质母细胞瘤的 T 细胞依赖性消退。
Sci Transl Med. 2023 May 24;15(697):eadf2281. doi: 10.1126/scitranslmed.adf2281.
9
CAR immune cells: design principles, resistance and the next generation.嵌合抗原受体(CAR)免疫细胞:设计原理、抗性与下一代产品
Nature. 2023 Feb;614(7949):635-648. doi: 10.1038/s41586-023-05707-3. Epub 2023 Feb 22.
10
Multifunctional mRNA-Based CAR T Cells Display Promising Antitumor Activity Against Glioblastoma.多功能基于 mRNA 的 CAR T 细胞对胶质母细胞瘤显示出有前景的抗肿瘤活性。
Clin Cancer Res. 2022 Nov 1;28(21):4747-4756. doi: 10.1158/1078-0432.CCR-21-4384.