Suppr超能文献

表现为布加综合征的肝淀粉样变性:一种不寻常的表现。

Hepatic Amyloidosis Manifesting as Budd-Chiari Syndrome: An Unusual Presentation.

作者信息

Das Pritam, Thakur Dhruv, Borah Gourav Jyoti, Wodeyar Naganath K, Mohindra Samir

机构信息

Gastroenterology and Hepatology, King George's Medical University, Lucknow, IND.

Gastroenterology, Ganesh Shankar Vidyarthi Memorial Medical College, Kanpur, IND.

出版信息

Cureus. 2025 Jan 1;17(1):e76719. doi: 10.7759/cureus.76719. eCollection 2025 Jan.

Abstract

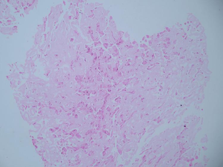
Amyloidosis is a rare infiltrative multisystemic disorder characterized by protein misfolding, leading to progressive organ failure. It can be either acquired or hereditary. Very few case reports regarding hepatic amyloidosis with Budd-Chiari syndrome have been reported up to date. We report the case of a 45-year-old man presenting with abdominal distension, pain in the abdomen, and jaundice. Through right hepatic vein cannulation, HVPG (hepatic venous pressure gradient) was found to be 10 mmHg. The liver biopsy revealed near-total replacement of hepatic parenchyma by amorphous congophilic deposits with obliteration of sinusoids. Hepatic amyloidosis with hepatic venous occlusion is a rare entity.

摘要

淀粉样变性是一种罕见的浸润性多系统疾病,其特征为蛋白质错误折叠,可导致进行性器官衰竭。它可分为获得性或遗传性。迄今为止,关于肝淀粉样变性合并布加综合征的病例报告极少。我们报告一例45岁男性患者,表现为腹胀、腹痛和黄疸。通过右肝静脉插管发现肝静脉压力梯度(HVPG)为10 mmHg。肝脏活检显示肝实质几乎完全被无定形嗜刚果红沉积物替代,肝血窦闭塞。肝淀粉样变性合并肝静脉闭塞是一种罕见的病症。

https://cdn.ncbi.nlm.nih.gov/pmc/blobs/ef91/11785456/14bf6a1563b3/cureus-0017-00000076719-i01.jpg

文献检索

告别复杂PubMed语法,用中文像聊天一样搜索,搜遍4000万医学文献。AI智能推荐,让科研检索更轻松。

立即免费搜索

文件翻译

保留排版,准确专业,支持PDF/Word/PPT等文件格式,支持 12+语言互译。

免费翻译文档

深度研究

AI帮你快速写综述,25分钟生成高质量综述,智能提取关键信息,辅助科研写作。

立即免费体验