• 文献检索
  • 文档翻译
  • 深度研究
  • 学术资讯
  • Suppr Zotero 插件Zotero 插件
  • 邀请有礼
  • 套餐&价格
  • 历史记录
应用&插件
Suppr Zotero 插件Zotero 插件浏览器插件Mac 客户端Windows 客户端微信小程序
定价
高级版会员购买积分包购买API积分包
服务
文献检索文档翻译深度研究API 文档MCP 服务
关于我们
关于 Suppr公司介绍联系我们用户协议隐私条款
关注我们

Suppr 超能文献

核心技术专利:CN118964589B侵权必究
粤ICP备2023148730 号-1Suppr @ 2026

文献检索

告别复杂PubMed语法,用中文像聊天一样搜索,搜遍4000万医学文献。AI智能推荐,让科研检索更轻松。

立即免费搜索

文件翻译

保留排版,准确专业,支持PDF/Word/PPT等文件格式,支持 12+语言互译。

免费翻译文档

深度研究

AI帮你快速写综述,25分钟生成高质量综述,智能提取关键信息,辅助科研写作。

立即免费体验

与塞来昔布相关的药物超敏反应伴嗜酸性粒细胞增多和全身症状(DRESS)综合征:1例罕见病例报告

Drug Reaction With Eosinophilia and Systemic Symptoms (DRESS) Syndrome Associated With Celecoxib: A Case Report of a Rare Entity.

作者信息

Henriques Adriana, Guerra Mariana, Correia Isabel, Nunes Ana Luísa, Lima Jandira

机构信息

Internal Medicine, Centro Hospitalar e Universitário de Coimbra, Coimbra, PRT.

Internal Medicine, Hospital Pedro Hispano, Matosinhos, PRT.

出版信息

Cureus. 2025 Jan 3;17(1):e76840. doi: 10.7759/cureus.76840. eCollection 2025 Jan.

DOI:10.7759/cureus.76840
PMID:39897313
原文链接:https://pmc.ncbi.nlm.nih.gov/articles/PMC11787628/
Abstract

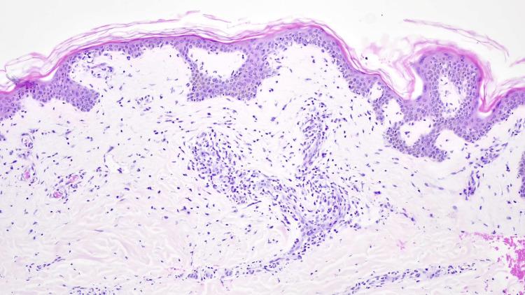
Drug reaction with eosinophilia and systemic symptoms (DRESS) syndrome is a severe, drug-induced hypersensitivity reaction characterized by widespread skin rash, multi-system involvement, and often eosinophilia. While anticonvulsants, allopurinol, and antibiotics are the most implicated agents, non-steroidal anti-inflammatory drugs (NSAIDs) such as celecoxib can be triggers in rare cases. We report the case of a 63-year-old female presenting with a 10-day history of jaundice, nausea, and right upper quadrant pain following repeated use of celecoxib. Initially diagnosed with acute hepatitis of unknown origin, she subsequently developed fever, respiratory failure, pancytopenia, and a maculopapular rash by the 20th day of hospitalization. The clinical diagnosis of DRESS syndrome was confirmed through a skin biopsy. Systemic corticosteroid therapy (methylprednisolone 0.5 mg/kg/day) led to progressive resolution of symptoms, leading to hospital discharge on day 28. This report highlights the diagnostic challenges of DRESS syndrome, particularly in the absence of eosinophilia and with rare triggers such as celecoxib.

摘要

药物超敏反应伴嗜酸性粒细胞增多和全身症状(DRESS)综合征是一种严重的药物诱导的超敏反应,其特征为广泛皮疹、多系统受累,且常伴有嗜酸性粒细胞增多。虽然抗惊厥药、别嘌醇和抗生素是最常涉及的药物,但塞来昔布等非甾体抗炎药(NSAIDs)在罕见情况下也可能引发该综合征。我们报告了一例63岁女性患者,在反复使用塞来昔布后出现黄疸、恶心和右上腹疼痛10天的病史。最初被诊断为不明原因的急性肝炎,随后在住院第20天时出现发热、呼吸衰竭、全血细胞减少和斑丘疹。通过皮肤活检确诊为DRESS综合征。全身用糖皮质激素治疗(甲泼尼龙0.5mg/kg/天)使症状逐渐缓解,患者于第28天出院。本报告强调了DRESS综合征的诊断挑战,尤其是在无嗜酸性粒细胞增多且由塞来昔布等罕见触发因素引起的情况下。

https://cdn.ncbi.nlm.nih.gov/pmc/blobs/fe42/11787628/928fd00585ba/cureus-0017-00000076840-i04.jpg
https://cdn.ncbi.nlm.nih.gov/pmc/blobs/fe42/11787628/136cf551f4f6/cureus-0017-00000076840-i01.jpg
https://cdn.ncbi.nlm.nih.gov/pmc/blobs/fe42/11787628/65a24da6c564/cureus-0017-00000076840-i02.jpg
https://cdn.ncbi.nlm.nih.gov/pmc/blobs/fe42/11787628/2190c4a7fb05/cureus-0017-00000076840-i03.jpg
https://cdn.ncbi.nlm.nih.gov/pmc/blobs/fe42/11787628/928fd00585ba/cureus-0017-00000076840-i04.jpg
https://cdn.ncbi.nlm.nih.gov/pmc/blobs/fe42/11787628/136cf551f4f6/cureus-0017-00000076840-i01.jpg
https://cdn.ncbi.nlm.nih.gov/pmc/blobs/fe42/11787628/65a24da6c564/cureus-0017-00000076840-i02.jpg
https://cdn.ncbi.nlm.nih.gov/pmc/blobs/fe42/11787628/2190c4a7fb05/cureus-0017-00000076840-i03.jpg
https://cdn.ncbi.nlm.nih.gov/pmc/blobs/fe42/11787628/928fd00585ba/cureus-0017-00000076840-i04.jpg

相似文献

1
Drug Reaction With Eosinophilia and Systemic Symptoms (DRESS) Syndrome Associated With Celecoxib: A Case Report of a Rare Entity.与塞来昔布相关的药物超敏反应伴嗜酸性粒细胞增多和全身症状(DRESS)综合征:1例罕见病例报告
Cureus. 2025 Jan 3;17(1):e76840. doi: 10.7759/cureus.76840. eCollection 2025 Jan.
2
Drug Rash with Eosinophilia and Systemic Symptoms (DRESS) syndrome induced by celecoxib and anti-tuberculosis drugs.塞来昔布和抗结核药物诱发的药物性皮疹伴嗜酸性粒细胞增多和系统症状(DRESS)综合征
J Korean Med Sci. 2008 Jun;23(3):521-5. doi: 10.3346/jkms.2008.23.3.521.
3
Antiepileptic drug-induced hypersensitivity syndrome with liver function abnormality and fever as the first manifestation: A case report.以肝功能异常和发热为首发表现的抗癫痫药物诱导的超敏反应综合征:1 例报告。
Medicine (Baltimore). 2023 Jan 20;102(3):e32657. doi: 10.1097/MD.0000000000032657.
4
Sulthiame-induced drug reaction with eosinophilia and systemic symptoms (DRESS) syndrome.舒噻美诱发的药物反应伴嗜酸性粒细胞增多和全身症状(DRESS)综合征。
Eur J Paediatr Neurol. 2016 Nov;20(6):957-961. doi: 10.1016/j.ejpn.2016.07.023. Epub 2016 Aug 1.
5
Levetiracetam-induced drug reaction with eosinophilia and systemic symptoms syndrome.左乙拉西坦致药物反应伴嗜酸性粒细胞增多和全身症状综合征。
Ann Pharmacother. 2012 Jul-Aug;46(7-8):e20. doi: 10.1345/aph.1R084. Epub 2012 Jul 3.
6
Drug Reaction with Eosinophilia and Systemic Symptoms (DRESS) syndrome associated with cefotaxime and clindamycin use in a 6 year-old boy: a case report.一名6岁男孩使用头孢噻肟和克林霉素后出现伴有嗜酸性粒细胞增多和全身症状的药物反应(DRESS)综合征:病例报告
Pan Afr Med J. 2017 Nov 9;28:218. doi: 10.11604/pamj.2017.28.218.10828. eCollection 2017.
7
The DRESS syndrome: the great clinical mimicker.DRESS 综合征:伟大的临床伪装者。
Pharmacotherapy. 2011 Mar;31(3):332. doi: 10.1592/phco.31.3.332.
8
DRESS syndrome in the setting of oxacillin therapy-a call for better patient preparedness: a case report.苯唑西林治疗相关的药物反应综合征-呼吁更好的患者准备:病例报告。
J Med Case Rep. 2021 Dec 27;15(1):613. doi: 10.1186/s13256-021-03202-9.
9
Phenytoin-induced drug reaction with eosinophilia and systemic symptoms (DRESS) syndrome: a case report from the emergency department.苯妥英钠诱发的伴有嗜酸性粒细胞增多和全身症状的药物反应(DRESS)综合征:来自急诊科的病例报告
J Emerg Med. 2013 Jan;44(1):75-8. doi: 10.1016/j.jemermed.2011.05.052.
10
Myocarditis Associated with Drug Reaction with Eosinophilia and Systemic Symptoms (DRESS) Syndrome: A Case Report and Review of the Literature.药物超敏反应伴嗜酸性粒细胞增多和全身症状(DRESS)综合征相关的心肌炎:一例报告及文献复习
Am J Case Rep. 2018 Aug 20;19:978-984. doi: 10.12659/AJCR.909569.

本文引用的文献

1
Demystifying drug reaction with eosinophilia and systemic symptoms (DRESS): a review of the literature and guidelines for management.揭开药物反应伴嗜酸性粒细胞增多和全身症状(DRESS)的神秘面纱:文献复习与管理指南。
Arch Dermatol Res. 2024 Sep 26;316(9):644. doi: 10.1007/s00403-024-03389-z.
2
Drug-induced hypersensitivity syndrome/drug reaction with eosinophilia and systemic symptoms. Part I. Epidemiology, pathogenesis, clinicopathological features, and prognosis.药物诱导的超敏反应/伴有嗜酸性粒细胞增多和全身症状的药物反应。第一部分。流行病学、发病机制、临床病理特征和预后。
J Am Acad Dermatol. 2024 May;90(5):885-908. doi: 10.1016/j.jaad.2023.02.072. Epub 2023 Jul 27.
3
Drug-induced hypersensitivity syndrome/drug reaction with eosinophilia and systemic symptoms. Part II diagnosis and management.
药物诱导的超敏反应/伴有嗜酸性粒细胞增多和全身症状的药物反应。第二部分 诊断与管理。
J Am Acad Dermatol. 2024 May;90(5):911-926. doi: 10.1016/j.jaad.2023.02.073. Epub 2023 Jul 28.
4
DRESS syndrome: A literature review and treatment algorithm.药物超敏反应伴嗜酸性粒细胞增多和系统症状(DRESS)综合征:文献综述与治疗方案
World Allergy Organ J. 2023 Apr 8;16(3):100673. doi: 10.1016/j.waojou.2022.100673. eCollection 2023 Mar.
5
Non-steroidal anti-inflammatory drugs (NSAIDs): A current insight into its molecular mechanism eliciting organ toxicities.非甾体抗炎药(NSAIDs):对其引发器官毒性的分子机制的最新见解。
Food Chem Toxicol. 2023 Feb;172:113598. doi: 10.1016/j.fct.2022.113598. Epub 2023 Jan 3.
6
Drug-Induced Hypersensitivity Syndrome (DIHS)/Drug Reaction With Eosinophilia and Systemic Symptoms (DRESS): Clinical Features and Pathogenesis.药物诱导的超敏反应综合征(DIHS)/伴嗜酸性粒细胞增多和全身症状的药物反应(DRESS):临床特征和发病机制。
J Allergy Clin Immunol Pract. 2022 May;10(5):1155-1167.e5. doi: 10.1016/j.jaip.2022.02.004. Epub 2022 Feb 15.
7
Current Perspective Regarding the Immunopathogenesis of Drug-Induced Hypersensitivity Syndrome/Drug Reaction with Eosinophilia and Systemic Symptoms (DIHS/DRESS).当前对药物诱导的超敏反应综合征/药物伴嗜酸性粒细胞增多和全身症状(DIHS/DRESS)的免疫发病机制的看法。
Int J Mol Sci. 2021 Feb 21;22(4):2147. doi: 10.3390/ijms22042147.
8
Antibacterial antibiotic-induced drug reaction with eosinophilia and systemic symptoms (DRESS) syndrome: a literature review.抗菌抗生素引起的伴嗜酸性粒细胞增多和全身症状(DRESS)综合征:文献综述。
Eur J Clin Pharmacol. 2021 Mar;77(3):275-289. doi: 10.1007/s00228-020-03005-9. Epub 2020 Oct 6.
9
Spanish Guidelines for Diagnosis, Management, Treatment, and Prevention of DRESS Syndrome.西班牙诊断、管理、治疗和预防 DRESS 综合征指南。
J Investig Allergol Clin Immunol. 2020;30(4):229-253. doi: 10.18176/jiaci.0480. Epub 2020 Jan 14.
10
Progress in understanding hypersensitivity reactions to nonsteroidal anti-inflammatory drugs.非甾体抗炎药超敏反应的认识进展
Allergy. 2020 Mar;75(3):561-575. doi: 10.1111/all.14032. Epub 2019 Oct 28.