Suppr超能文献

狼疮性肠炎作为系统性红斑狼疮的早期表现,使用贝利尤单抗成功治疗:一例报告

Lupus Enteritis as the Early Manifestation of Systemic Lupus Erythematosus Successfully Managed With Belimumab: A Case Report.

作者信息

Almutairi Rawan, Alkhudair Dalal, Aldei Ali

机构信息

Dermatology, Farwaniya Hospital, Ministry of Health, Farwaniya, KWT.

Rheumatology, Amiri Hospital, Kuwait City, KWT.

出版信息

Cureus. 2025 Jan 4;17(1):e76926. doi: 10.7759/cureus.76926. eCollection 2025 Jan.

Abstract

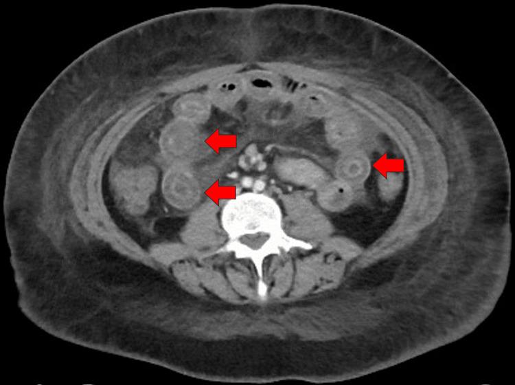
Lupus enteritis (LE) is an uncommon cause of abdominal pain in individuals with systemic lupus erythematosus (SLE). This condition is explained by the inflammation of the intestinal wall caused by the accumulation of immune complexes and activation of the complement system. A 19-year-old previously healthy Kuwaiti woman arrived at the emergency department (ED) complaining of diffuse abdominal pain, non-bloody diarrhea, and nausea. The symptoms started two days before presentation. The patient described the abdominal pain as sudden, sharp, and stabbing in nature, with a severity of 10 out of 10, and mainly located in the suprapubic area. On examination, the patient's vital signs were normal. She had no skin rash, oral ulcers, arthritis, or palpable lymphadenopathy. Her abdomen was soft on palpation, with diffuse tenderness. Her initial laboratory investigations showed a normal hemoglobin level and WBC count but lymphopenia (0.6 x 10/L; normal, 1-3 x 10/L). A computed tomography (CT) scan of the abdomen showed small bowel loops with diffuse edematous wall thickening with target signs. The descending and sigmoid colon, and the rectum walls were also thickened and edematous. Significant pericolonic fat stranding and free fluid with preserved enhancement suggested an active systemic inflammatory process. Anti-nuclear antibody and anti-double stranded DNA antibody test results were positive. Acute abdominal pain was managed with IV corticosteroids, and 10 mg/kg IV belimumab was initiated. The patient was followed up in OPD after one, three, and six months, where she did not mention any relapse of LE nor any side effects from belimumab. The diagnosis of LE in this case was challenging because of the absence of a prior diagnosis of SLE. Clinical manifestations of this condition, which include abdominal discomfort, vomiting, and diarrhea, are non-specific and can be mistaken for several chronic gastrointestinal disorders, posing a diagnostic problem. Although belimumab is not commonly used to treat LE, we were able to successfully manage the patient using it, making it a promising new method for treating LE.

摘要

狼疮性肠炎(LE)是系统性红斑狼疮(SLE)患者腹痛的罕见原因。这种情况是由免疫复合物的积累和补体系统的激活导致肠壁炎症所解释的。一名19岁、此前健康的科威特女性因弥漫性腹痛、非血性腹泻和恶心来到急诊科(ED)。症状在就诊前两天开始。患者将腹痛描述为突发性、尖锐性和刺痛性,严重程度为10分(满分10分),主要位于耻骨上区域。检查时,患者生命体征正常。她没有皮疹、口腔溃疡、关节炎或可触及的淋巴结肿大。触诊时她的腹部柔软,有弥漫性压痛。她最初的实验室检查显示血红蛋白水平和白细胞计数正常,但淋巴细胞减少(0.6×10⁹/L;正常范围为1 - 3×10⁹/L)。腹部计算机断层扫描(CT)显示小肠肠袢肠壁弥漫性水肿增厚,呈靶征。降结肠、乙状结肠和直肠壁也增厚且水肿。结肠周围明显的脂肪条索影和游离液体且强化良好提示存在活跃的全身炎症过程。抗核抗体和抗双链DNA抗体检测结果呈阳性。急性腹痛采用静脉注射皮质类固醇进行治疗,并开始静脉注射10mg/kg贝利尤单抗。患者在1个月、3个月和6个月后在门诊接受随访,她未提及狼疮性肠炎有任何复发,也未提及贝利尤单抗有任何副作用。由于该患者之前没有系统性红斑狼疮的诊断,所以此次狼疮性肠炎的诊断具有挑战性。这种疾病的临床表现包括腹部不适、呕吐和腹泻,不具有特异性,可能会被误诊为几种慢性胃肠道疾病,从而带来诊断难题。尽管贝利尤单抗通常不用于治疗狼疮性肠炎,但我们能够成功地用它治疗该患者,使其成为一种有前景的治疗狼疮性肠炎的新方法。

https://cdn.ncbi.nlm.nih.gov/pmc/blobs/cd95/11791376/d3c0265c142f/cureus-0017-00000076926-i01.jpg

文献AI研究员

20分钟写一篇综述,助力文献阅读效率提升50倍。

立即体验

用中文搜PubMed

大模型驱动的PubMed中文搜索引擎

马上搜索

文档翻译

学术文献翻译模型,支持多种主流文档格式。

立即体验