Suppr超能文献

某些海藻提取物对化学诱导的小鼠肝损伤的治疗性抗炎免疫潜力。

Therapeutic anti-inflammatory immune potentials of some seaweeds extracts on chemically induced liver injury in mice.

作者信息

Bases Eman, El-Sheekh Mostafa M, El Shafay Shimaa M, El-Shenody Rania, Nassef Mohamed

机构信息

Botany Department, Faculty of Science, Tanta University, Tanta, Egypt.

Zoology Department, Faculty of Science, Tanta University, Tanta, Egypt.

出版信息

Sci Rep. 2025 Feb 5;15(1):4370. doi: 10.1038/s41598-025-87379-9.

Abstract

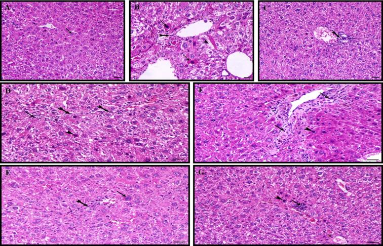
Carbon tetrachloride (CCl) is a well-known hepatotoxin. This work aimed to assess the therapeutic anti-inflammatory immune potentials of the seaweeds Padina pavonia and Jania rubens extracts on carbon tetrachloride (CCL)-caused liver damage in mice. Our experimentation included two testing regimens: pre-treatment and post-treatment of P. pavonia and J. rubens extracts in CCL/mice. Pre-treatment and post-treatment of P. pavonia and J. rubens extracts in CCL/mice increased WBCs count and lymphocytes relative numbers and reduced the neutrophils and monocytes relative numbers. Pre-treatment and post-treatment of /mice with P. pavonia and J. rubens extracts significantly reduced the release amounts of pro-inflammatory cytokines TNF-α and IL-6 and significantly inhibited the increased CRP level. Furthermore, pre-treatment and post-treatment of CCL/mice with P. pavonia and J. rubens extracts recovered the activities of GSH, and significantly decreased MDA level. CCL4/mice pre-treated and post-treated with P. pavonia and J. rubens extracts decreased alanine aminotransferase (ALT) and aspartate aminotransferase (AST) levels. Pre- and post-treatment of CCL/mice with the P. pavonia and J. rubens extracts ameliorated the liver damages caused by CCl and significantly inhibited the necrotic area, indicating hepatic cell death and decreased periportal hepatic degeneration, fibrosis, and inflammation.

摘要

四氯化碳(CCl)是一种著名的肝毒素。这项工作旨在评估海藻帕氏藻(Padina pavonia)和红藻(Jania rubens)提取物对四氯化碳(CCL)诱导的小鼠肝损伤的治疗抗炎免疫潜力。我们的实验包括两种测试方案:在CCL/小鼠中对帕氏藻和红藻提取物进行预处理和后处理。在CCL/小鼠中对帕氏藻和红藻提取物进行预处理和后处理可增加白细胞计数和淋巴细胞相对数量,并减少中性粒细胞和单核细胞相对数量。用帕氏藻和红藻提取物对小鼠进行预处理和后处理可显著降低促炎细胞因子TNF-α和IL-6的释放量,并显著抑制CRP水平的升高。此外,在CCL/小鼠中用帕氏藻和红藻提取物进行预处理和后处理可恢复谷胱甘肽(GSH)的活性,并显著降低丙二醛(MDA)水平。用帕氏藻和红藻提取物对CCL4/小鼠进行预处理和后处理可降低丙氨酸转氨酶(ALT)和天冬氨酸转氨酶(AST)水平。用帕氏藻和红藻提取物对CCL/小鼠进行预处理和后处理可改善由CCl引起的肝损伤,并显著抑制坏死区域,表明肝细胞死亡减少,门周肝变性、纤维化和炎症减轻。

https://cdn.ncbi.nlm.nih.gov/pmc/blobs/6592/11799325/91b5a9ca86d8/41598_2025_87379_Fig1_HTML.jpg

文献检索

告别复杂PubMed语法,用中文像聊天一样搜索,搜遍4000万医学文献。AI智能推荐,让科研检索更轻松。

立即免费搜索

文件翻译

保留排版,准确专业,支持PDF/Word/PPT等文件格式,支持 12+语言互译。

免费翻译文档

深度研究

AI帮你快速写综述,25分钟生成高质量综述,智能提取关键信息,辅助科研写作。

立即免费体验