Suppr超能文献

帕博利珠单抗的双重不良影响:一例大疱性类天疱疮合并肺炎的病例报告

An Adverse Double-Hit by Pembrolizumab: A Case Report of Bullous Pemphigoid and Pneumonitis.

作者信息

Chatzigrigoriadis Christodoulos, Avramidis Prodromos, Davoulos Christos, Dimitrakopoulos Foteinos-Ioannis, Eleftherakis George, Petropoulou Christina, Sperdouli Despoina, Stergiopoulos Georgios Marios, Galiatsatos Panagis, Assimakopoulos Stelios

机构信息

School of Medicine, University of Patras, Patras, Greece.

Department of Internal Medicine, University General Hospital of Patras, 26504 Rio, Greece.

出版信息

J Med Cases. 2025 Feb;16(2):69-76. doi: 10.14740/jmc5089. Epub 2025 Feb 2.

Abstract

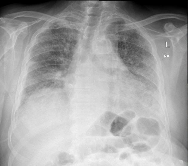
Immune checkpoint inhibitors like pembrolizumab represent a modern approach to the management of various malignancies, including non-small cell lung cancer. The therapeutic activity of immunotherapy is exerted by the activation of immune cells against the tumor cells. However, systemic activation of the immune system can lead to the development of autoimmune complications known as immune-related adverse events. A combination of rare immune-related adverse events is occasionally observed simultaneously in the same patient. We present the case of a 66-year-old male with squamous non-small cell lung carcinoma who presented to the emergency department with dyspnea and respiratory failure. Imaging findings were consistent with pulmonary embolism and nonspecific interstitial pneumonitis. One month before this event, he was diagnosed with bullous pemphigoid following 21 cycles of treatment with pembrolizumab. The radiological findings, the lack of response to antibiotics, the negative microbiological workup, and the excellent response to corticosteroids established the diagnosis of pembrolizumab-induced pneumonitis. The combination of bullous pemphigoid and pneumonitis secondary to pembrolizumab is rare; only a few case reports exist in the literature. Hence, this case highlights the possibility of multiple immune-related adverse events in the same patient. The exclusion of infectious diseases and other immunologic disorders with a similar clinical presentation is necessary to make the final diagnosis of immune-related adverse events and start the appropriate treatment. Serology, histopathology, and direct immunofluorescence aid to the diagnosis of immune-related bullous pemphigoid; the differential diagnosis includes other pemphigoid or lichenoid diseases, Stevens-Johnson syndrome/toxic epidermal necrolysis, and drug reaction with eosinophilia and systemic symptoms. Imaging, microbiological testing, and bronchoscopy (if possible) confirm the diagnosis of immune-related pneumonitis, which should be differentiated from acute coronary syndrome, cardiogenic pulmonary edema, pulmonary embolism, tumor progression, and lower respiratory tract infections (especially pneumonia in immunocompromised patients). An interdisciplinary approach is necessary for the management of these cases.

摘要

像派姆单抗这样的免疫检查点抑制剂代表了一种治疗包括非小细胞肺癌在内的各种恶性肿瘤的现代方法。免疫疗法的治疗活性是通过激活免疫细胞对抗肿瘤细胞来发挥作用的。然而,免疫系统的全身激活可导致被称为免疫相关不良事件的自身免疫并发症的发生。在同一患者中偶尔会同时观察到罕见的免疫相关不良事件的组合。我们报告一例66岁男性鳞状非小细胞肺癌患者,他因呼吸困难和呼吸衰竭就诊于急诊科。影像学检查结果与肺栓塞和非特异性间质性肺炎相符。在此事件发生前一个月,他在接受21个周期的派姆单抗治疗后被诊断为大疱性类天疱疮。影像学检查结果、对抗生素无反应、微生物学检查阴性以及对皮质类固醇的良好反应确立了派姆单抗诱发肺炎的诊断。派姆单抗继发大疱性类天疱疮和肺炎的组合很罕见;文献中仅有少数病例报告。因此,该病例凸显了同一患者发生多种免疫相关不良事件的可能性。为了最终诊断免疫相关不良事件并开始适当治疗,有必要排除具有相似临床表现的感染性疾病和其他免疫性疾病。血清学、组织病理学和直接免疫荧光有助于免疫相关大疱性类天疱疮的诊断;鉴别诊断包括其他类天疱疮或苔藓样疾病、史蒂文斯 - 约翰逊综合征/中毒性表皮坏死松解症以及伴有嗜酸性粒细胞增多和全身症状的药物反应。影像学检查、微生物学检测和支气管镜检查(如果可能)可确诊免疫相关肺炎,应将其与急性冠脉综合征、心源性肺水肿、肺栓塞、肿瘤进展以及下呼吸道感染(尤其是免疫功能低下患者的肺炎)相鉴别。对于这些病例的管理,采用多学科方法是必要的。

https://cdn.ncbi.nlm.nih.gov/pmc/blobs/5e81/11809608/cda6bd835f74/jmc-16-069-g001.jpg

文献检索

告别复杂PubMed语法,用中文像聊天一样搜索,搜遍4000万医学文献。AI智能推荐,让科研检索更轻松。

立即免费搜索

文件翻译

保留排版,准确专业,支持PDF/Word/PPT等文件格式,支持 12+语言互译。

免费翻译文档

深度研究

AI帮你快速写综述,25分钟生成高质量综述,智能提取关键信息,辅助科研写作。

立即免费体验