Suppr超能文献

难治性特发性嗜酸性粒细胞增多综合征合并心肌炎及对伊马替尼治疗有效的病例报告

Refractory Idiopathic Hypereosinophilic Syndrome Presenting with Myocarditis and Responding to Imatinib: A Case Report.

作者信息

Albayyat Rasha Ali, AlQahtani Shaya Yaanallah, Sharofna Khalid Abdulaziz

机构信息

Department of Internal Medicine, College of Medicine, Imam Abdulrahman Bin Faisal University, Al Khobar, Saudi Arabia.

出版信息

Saudi J Med Med Sci. 2025 Jan-Mar;13(1):68-72. doi: 10.4103/sjmms.sjmms_503_23. Epub 2025 Jan 11.

Abstract

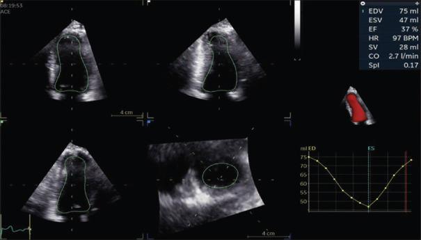
Idiopathic hypereosinophilic syndrome (HES) is a rare disorder characterized by persistent hypereosinophilia leading to multi-organ dysfunction. Its clinical manifestations vary widely; however, cardiac and neurological involvement are the leading causes of morbidity and mortality. Corticosteroids are the initial treatment of choice, but in idiopathic HES resistant to corticosteroids, second-line therapy should be considered. Imatinib is usually reserved for patients with a positive platelet-derived growth factor receptor A (PDGFR-A) mutation; however, its use in idiopathic HES with a negative PDGFR mutation is debatable given that such patients usually respond well to high doses of corticosteroids. Here, we present a case of a young male with corticosteroid-refractory idiopathic HES successfully treated with imatinib. The patient presented with features suggestive of acute coronary syndrome and confusion. A coronary angiogram was normal. Echocardiography showed an ejection fraction of 37%, and brain imaging showed evidence of multifocal cerebral thromboembolic infarcts. During the hospital stay, the patient developed diffuse alveolar hemorrhage. Biochemically, it was noted that the patient had hypereosinophilia. Through thorough workup, a diagnosis of idiopathic HES was established. The patient was started on high-dose corticosteroid (500 mg intravenous methylprednisolone daily) followed by a maintenance dose of prednisolone (0.5 mg/kg/day), but had no response. Second-line therapy with imatinib (400 mg per oral daily for 4 days and then down-titrated to 100 mg daily) was initiated, which resulted in drastic biochemical and clinical improvements. This case report supports the efficacy of imatinib as a second-line agent in corticosteroid-resistant idiopathic HES with a negative PDGFR mutation.

摘要

特发性嗜酸性粒细胞增多综合征(HES)是一种罕见疾病,其特征为持续性嗜酸性粒细胞增多并导致多器官功能障碍。其临床表现差异很大;然而,心脏和神经系统受累是发病和死亡的主要原因。皮质类固醇是初始治疗的首选药物,但对于对皮质类固醇耐药的特发性HES,应考虑二线治疗。伊马替尼通常用于血小板衍生生长因子受体A(PDGFR-A)突变阳性的患者;然而,鉴于此类患者通常对高剂量皮质类固醇反应良好,其在PDGFR突变阴性的特发性HES中的应用存在争议。在此,我们报告一例年轻男性皮质类固醇难治性特发性HES患者,经伊马替尼成功治疗。该患者表现出提示急性冠状动脉综合征和意识模糊的症状。冠状动脉造影正常。超声心动图显示射血分数为37%,脑部影像学显示有多灶性脑血栓栓塞性梗死的证据。住院期间,患者出现弥漫性肺泡出血。生化检查发现患者有嗜酸性粒细胞增多。通过全面检查,确诊为特发性HES。患者开始接受高剂量皮质类固醇治疗(每日静脉注射500 mg甲泼尼龙),随后给予泼尼松龙维持剂量(0.5 mg/kg/天),但无反应。启动伊马替尼二线治疗(每日口服400 mg,共4天,然后减至每日100 mg),这导致了生化和临床方面的显著改善。本病例报告支持伊马替尼作为二线药物在PDGFR突变阴性的皮质类固醇耐药性特发性HES中的疗效。

https://cdn.ncbi.nlm.nih.gov/pmc/blobs/80c5/11809760/044b031bdd49/SJMMS-13-68-g001.jpg

文献AI研究员

20分钟写一篇综述,助力文献阅读效率提升50倍。

立即体验

用中文搜PubMed

大模型驱动的PubMed中文搜索引擎

马上搜索

文档翻译

学术文献翻译模型,支持多种主流文档格式。

立即体验