Suppr超能文献

透过表象:在乳腺钼靶筛查中发现的一例罕见的靠近乳腺间沟的乳腺癌

Looking Beyond the Obvious: An Uncommon Intermammary Groove-Adjacent Breast Cancer Found on Screening Mammography.

作者信息

Constantino Rita C, Almeida Sara, Junqueira Bárbara, Carreira Patrícia C, Coutinho Mariana

机构信息

Planalto Family Health Unit, Leziria Local Health Unit, Santarém, PRT.

Terra Viva Family Health Unit, Leziria Local Health Unit, Cartaxo, PRT.

出版信息

Cureus. 2025 Jan 13;17(1):e77367. doi: 10.7759/cureus.77367. eCollection 2025 Jan.

Abstract

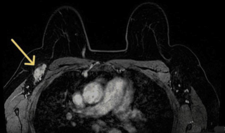
Breast cancer exhibits a high prevalence among women and represents a significant contributor to cancer-related mortality. Routine screening substantially reduces mortality rates by enabling the early detection of tumors. This report describes an uncommon case of breast cancer located deep near the intermammary groove in a 63-year-old woman. The tumor's asymptomatic presentation, small size, and atypical location posed a diagnostic challenge. However, screening mammography revealed a suspicious axillary adenopathy, prompting further evaluation. MRI identified a 6 mm intermammary groove-adjacent lesion, and a biopsy confirmed the cancer diagnosis. Staging excluded metastasis. The patient underwent neoadjuvant chemotherapy, and nearly a year later, MRI imaging showed total remission. Sentinel lymph node biopsy was negative for breast cancer, suggesting a favorable prognosis. This case highlights the importance of primary care, promoting screening programs, and early detection in improving prognosis. Enhanced access to screening and meticulous radiological interpretation are critical to optimizing patient outcomes.

摘要

乳腺癌在女性中具有很高的发病率,是癌症相关死亡率的重要促成因素。常规筛查通过早期发现肿瘤,大幅降低了死亡率。本报告描述了一例罕见的乳腺癌病例,该病例发生在一名63岁女性乳房间沟深处。肿瘤无症状、体积小且位置不典型,给诊断带来了挑战。然而,乳腺钼靶筛查发现可疑的腋窝淋巴结肿大,促使进一步评估。磁共振成像(MRI)发现一个与乳房间沟相邻的6毫米病变,活检确诊为癌症。分期检查排除了转移。患者接受了新辅助化疗,近一年后,MRI成像显示完全缓解。前哨淋巴结活检结果为乳腺癌阴性,提示预后良好。该病例突出了初级保健、推广筛查项目以及早期发现对改善预后的重要性。加强筛查途径和细致的影像学解读对于优化患者治疗效果至关重要。

https://cdn.ncbi.nlm.nih.gov/pmc/blobs/4cb3/11816821/4ba0f0d4c864/cureus-0017-00000077367-i01.jpg

文献AI研究员

20分钟写一篇综述,助力文献阅读效率提升50倍。

立即体验

用中文搜PubMed

大模型驱动的PubMed中文搜索引擎

马上搜索

文档翻译

学术文献翻译模型,支持多种主流文档格式。

立即体验