Suppr超能文献

OM85通过抑制Notch表达和调节IFN-γ/IL-4比值改善博来霉素诱导的小鼠肺纤维化。

OM85 ameliorates bleomycin-induced pulmonary fibrosis in mice by inhibiting Notch expression and modulating the IFN-γ/IL-4 ratio.

作者信息

Yu Yaling, Li Zhuanyun, Hu Zhenghao, Peng Tianfeng, Niu Ruijie, Sun Peng, Wang Xiaorong, Zhang Jinnong

机构信息

Department of Emergency Medicine, Union Hospital, Tongji Medical College, Huazhong University of Science and Technology, Wuhan, China.

Department of Respiratory and Critical Care Medicine, Union Hospital, Tongji Medical College, Huazhong University of Science and Technology, Wuhan, China.

出版信息

Sci Rep. 2025 Feb 13;15(1):5436. doi: 10.1038/s41598-025-89874-5.

Abstract

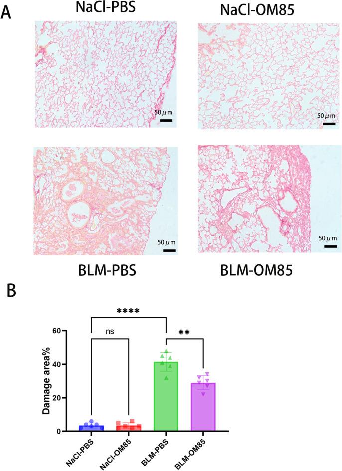
Th1/Th2 balances may play a vital role in the processes of inflammation and fibrosis. The Th1/Th2 paradigm can be evaluated by representing IFN-γ for Th1 and IL-4 for Th2. OM-85 BV encouraged preferential development of the Th1-type immunity characterized by amplified IFN-γ and decreased IL-4 production. This study aimed to evaluate the inhibitory effect of OM85 on bleomycin (BLM)-induced pulmonary fibrosis in C57 and its possible mechanisms. In vitro experiments demonstrated that OM85 exhibited no significant toxicity to HELF cells. OM-85 inhibited the TGF-β1-induced protein expression of Notch1 and Hes1 and reduced the fibrosis-related marker profiles, such as collagen I, collagen III, fibronectin, P21, and α-SMA, following TGF-β1 treatment of these cells. Immunofluorescence also revealed that OM-85 decreased the expression of α-SMA induced by TGF-β1 in HELF cells. In the vivo experiments, a pulmonary fibrosis model was established by administering three intratracheal doses of BLM (1 mg/kg). The BLM-OM85 group was exposed to an aerosol containing 10.5 mg of OM-85 dissolved in 10 mL of sterile PBS on days 42, 44, 46, 49, 51, and 53. BLM-induced pulmonary fibrosis, leading to increased levels of lung hydroxyproline, total cell count, macrophages, neutrophils, lymphocytes, and the expression of TGF-β1 as well as Notch1 and Hes1 in lung tissue, along with fibrosis-associated proteins such as collagen I, collagen III, fibronectin, P21, and α-SMA. Additionally, the Th1 response was suppressed, as evidenced by decreased IFN-γ in the bronchoalveolar lavage fluid (BALF), while the Th2 response was amplified, marked by increased IL-4 levels in BALF. Moreover, morphological assessments showed that BLM caused increased Ashcroft scores, relative collagen content, and an expanded damaged area, as well as an increased optical density (OD) of collagen I. The administration of OM-85 significantly mitigated these effects. These findings suggest that OM-85 holds therapeutic potential for BLM-induced pulmonary fibrosis in female C57 mice, partly due to the inhibition of Notch1 and Hes1 expression and the modulation of the IFN-γ/IL-4 ratio.

摘要

Th1/Th2平衡可能在炎症和纤维化过程中发挥至关重要的作用。Th1/Th2模式可通过用IFN-γ代表Th1、IL-4代表Th2来进行评估。OM-85 BV促进了以IFN-γ增加和IL-4产生减少为特征的Th1型免疫的优先发展。本研究旨在评估OM85对博来霉素(BLM)诱导的C57小鼠肺纤维化的抑制作用及其可能机制。体外实验表明,OM85对人胚肺成纤维细胞(HELF细胞)无明显毒性。在这些细胞经转化生长因子-β1(TGF-β1)处理后,OM-85抑制了TGF-β1诱导的Notch1和Hes1蛋白表达,并降低了纤维化相关标志物水平,如I型胶原、III型胶原、纤连蛋白、P21和α-平滑肌肌动蛋白(α-SMA)。免疫荧光还显示,OM-85降低了TGF-β1在HELF细胞中诱导的α-SMA表达。在体内实验中,通过气管内给予三次剂量的BLM(1mg/kg)建立肺纤维化模型。在第42、44、46、49、51和53天,BLM-OM85组暴露于含有溶解于10mL无菌磷酸盐缓冲液(PBS)中的10.5mg OM-85的气雾剂中。BLM诱导肺纤维化,导致肺羟脯氨酸水平、总细胞计数、巨噬细胞、中性粒细胞、淋巴细胞增加,肺组织中TGF-β1以及Notch1和Hes1的表达增加,同时伴有纤维化相关蛋白如I型胶原、III型胶原、纤连蛋白、P21和α-SMA的增加。此外,支气管肺泡灌洗液(BALF)中IFN-γ降低表明Th1反应受到抑制,而BALF中IL-4水平升高表明Th2反应增强。此外,形态学评估显示,BLM导致阿什克罗夫特评分增加、相对胶原含量增加、损伤面积扩大以及I型胶原光密度(OD)增加。给予OM-85可显著减轻这些影响。这些发现表明,OM-85对BLM诱导的雌性C57小鼠肺纤维化具有治疗潜力,部分原因是其抑制了Notch1和Hes1的表达并调节了IFN-γ/IL-4比值。

https://cdn.ncbi.nlm.nih.gov/pmc/blobs/f136/11825818/8eae5d380d3f/41598_2025_89874_Fig1_HTML.jpg

文献AI研究员

20分钟写一篇综述,助力文献阅读效率提升50倍。

立即体验

用中文搜PubMed

大模型驱动的PubMed中文搜索引擎

马上搜索

文档翻译

学术文献翻译模型,支持多种主流文档格式。

立即体验