• 文献检索
  • 文档翻译
  • 深度研究
  • 学术资讯
  • Suppr Zotero 插件Zotero 插件
  • 邀请有礼
  • 套餐&价格
  • 历史记录
应用&插件
Suppr Zotero 插件Zotero 插件浏览器插件Mac 客户端Windows 客户端微信小程序
定价
高级版会员购买积分包购买API积分包
服务
文献检索文档翻译深度研究API 文档MCP 服务
关于我们
关于 Suppr公司介绍联系我们用户协议隐私条款
关注我们

Suppr 超能文献

核心技术专利:CN118964589B侵权必究
粤ICP备2023148730 号-1Suppr @ 2026

文献检索

告别复杂PubMed语法,用中文像聊天一样搜索,搜遍4000万医学文献。AI智能推荐,让科研检索更轻松。

立即免费搜索

文件翻译

保留排版,准确专业,支持PDF/Word/PPT等文件格式,支持 12+语言互译。

免费翻译文档

深度研究

AI帮你快速写综述,25分钟生成高质量综述,智能提取关键信息,辅助科研写作。

立即免费体验

T细胞依赖性双特异性IgG可保护老年小鼠免受致死性SARS-CoV-2感染。

T-Cell-Dependent Bispecific IgGs Protect Aged Mice From Lethal SARS-CoV-2 Infection.

作者信息

Fu Wenyan, Zhang Wei, You Zhongshuai, Li Guangyao, Wang Chuqi, Lei Changhai, Zhao Jian, Hou Jin, Hu Shi

机构信息

Department of Assisted Reproduction, Shanghai Ninth People's Hospital, Shanghai Jiao Tong University School of Medicine, Shanghai, 200011, China.

Department of Biomedical Engineering, College of Basic Medical Sciences, Second Military Medical University, Shanghai, 200433, China.

出版信息

Adv Sci (Weinh). 2025 Apr;12(15):e2406980. doi: 10.1002/advs.202406980. Epub 2025 Feb 20.

DOI:10.1002/advs.202406980
PMID:39976129
原文链接:https://pmc.ncbi.nlm.nih.gov/articles/PMC12005765/
Abstract

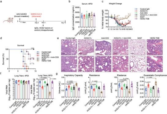
T-cell ageing may be a key factor in the disproportionate severity of coronavirus disease 2019 (COVID-19) in older populations. For hospitalized COVID-19 patients, treatment involving the use of monoclonal antibodies with the ability to neutralize SARS-CoV-2 usually involves the administration of high doses but has not been very effective at preventing complications or fatality, highlighting the need for additional research into anti-SARS-CoV-2 therapies, particularly for older populations. In this study, it is discovered that older persons with a severe SARS-CoV-2 infection has weaker T-cell responses. Therefore the development and characterization of spike-targeting T-cell-dependent bispecific (TDB) full-length human immunoglobulin Gs with enhanced efficacy in the treatment of COVID-19 is described. Using S-targeting TDBs, polyclonal T cells are guided to target and destroy S-expressing cells, preventing the cell-to-cell transmission of SARS-CoV-2 and thereby eliminating the need for SARS-CoV-2-specific immunity. Using animal models of COVID-19, it is shown that the selective activation of T cells improves the efficiency of treatment in preinfected mice by attenuating disease-induced weight loss and death. The significance of T-cell-based immunity during infection is highlighted by the findings. These results have implications for better clinical effectiveness of therapies for COVID-19 and the development of T-cell-dependent medicines for the elderly population.

摘要

T细胞衰老可能是2019冠状病毒病(COVID-19)在老年人群中严重程度不成比例的关键因素。对于住院的COVID-19患者,使用具有中和严重急性呼吸综合征冠状病毒2(SARS-CoV-2)能力的单克隆抗体进行治疗通常需要高剂量给药,但在预防并发症或死亡方面效果并不理想,这凸显了对针对SARS-CoV-2的治疗方法进行更多研究的必要性,尤其是针对老年人群。在这项研究中,发现严重感染SARS-CoV-2的老年人T细胞反应较弱。因此,本文描述了在治疗COVID-19方面具有更高疗效的靶向刺突蛋白的T细胞依赖性双特异性(TDB)全长人免疫球蛋白G的研发和特性。使用靶向刺突蛋白的TDB,多克隆T细胞被引导靶向并破坏表达刺突蛋白的细胞,防止SARS-CoV-2在细胞间传播,从而无需SARS-CoV-2特异性免疫。利用COVID-19动物模型表明,T细胞的选择性激活可通过减轻疾病引起的体重减轻和死亡来提高对预先感染小鼠的治疗效果。这些发现凸显了感染期间基于T细胞的免疫的重要性。这些结果对提高COVID-19治疗的临床效果以及为老年人群开发T细胞依赖性药物具有重要意义。

https://cdn.ncbi.nlm.nih.gov/pmc/blobs/2dc5/12005765/b5c1a76908ac/ADVS-12-2406980-g006.jpg
https://cdn.ncbi.nlm.nih.gov/pmc/blobs/2dc5/12005765/6e1a518d45ab/ADVS-12-2406980-g002.jpg
https://cdn.ncbi.nlm.nih.gov/pmc/blobs/2dc5/12005765/cf80fcf37df3/ADVS-12-2406980-g004.jpg
https://cdn.ncbi.nlm.nih.gov/pmc/blobs/2dc5/12005765/df9392c51fc3/ADVS-12-2406980-g005.jpg
https://cdn.ncbi.nlm.nih.gov/pmc/blobs/2dc5/12005765/b89611778ffe/ADVS-12-2406980-g007.jpg
https://cdn.ncbi.nlm.nih.gov/pmc/blobs/2dc5/12005765/c015da128ceb/ADVS-12-2406980-g003.jpg
https://cdn.ncbi.nlm.nih.gov/pmc/blobs/2dc5/12005765/b5c1a76908ac/ADVS-12-2406980-g006.jpg
https://cdn.ncbi.nlm.nih.gov/pmc/blobs/2dc5/12005765/6e1a518d45ab/ADVS-12-2406980-g002.jpg
https://cdn.ncbi.nlm.nih.gov/pmc/blobs/2dc5/12005765/cf80fcf37df3/ADVS-12-2406980-g004.jpg
https://cdn.ncbi.nlm.nih.gov/pmc/blobs/2dc5/12005765/df9392c51fc3/ADVS-12-2406980-g005.jpg
https://cdn.ncbi.nlm.nih.gov/pmc/blobs/2dc5/12005765/b89611778ffe/ADVS-12-2406980-g007.jpg
https://cdn.ncbi.nlm.nih.gov/pmc/blobs/2dc5/12005765/c015da128ceb/ADVS-12-2406980-g003.jpg
https://cdn.ncbi.nlm.nih.gov/pmc/blobs/2dc5/12005765/b5c1a76908ac/ADVS-12-2406980-g006.jpg

相似文献

1
T-Cell-Dependent Bispecific IgGs Protect Aged Mice From Lethal SARS-CoV-2 Infection.T细胞依赖性双特异性IgG可保护老年小鼠免受致死性SARS-CoV-2感染。
Adv Sci (Weinh). 2025 Apr;12(15):e2406980. doi: 10.1002/advs.202406980. Epub 2025 Feb 20.
2
Bispecific IgG neutralizes SARS-CoV-2 variants and prevents escape in mice.双特异性 IgG 中和 SARS-CoV-2 变体并防止小鼠逃逸。
Nature. 2021 May;593(7859):424-428. doi: 10.1038/s41586-021-03461-y. Epub 2021 Mar 25.
3
Bispecific VH/Fab antibodies targeting neutralizing and non-neutralizing Spike epitopes demonstrate enhanced potency against SARS-CoV-2.双特异性 VH/Fab 抗体针对中和和非中和 Spike 表位,显示出对 SARS-CoV-2 的增强效力。
MAbs. 2021 Jan-Dec;13(1):1893426. doi: 10.1080/19420862.2021.1893426.
4
High prevalence of long COVID in anti-TPO positive euthyroid individuals with strongly elevated SARS-CoV-2-specific T cell responses and moderately raised anti-spike IgG levels 23 months post-infection.抗 TPO 阳性甲状腺功能正常个体中 COVID-19 长期后遗症的高发生率与强烈升高的 SARS-CoV-2 特异性 T 细胞反应和中度升高的抗刺突 IgG 水平相关,这些个体在感染后 23 个月。
Front Immunol. 2024 Oct 10;15:1448659. doi: 10.3389/fimmu.2024.1448659. eCollection 2024.
5
mRNA vaccine-induced T cells respond identically to SARS-CoV-2 variants of concern but differ in longevity and homing properties depending on prior infection status.mRNA 疫苗诱导的 T 细胞对 SARS-CoV-2 关切变异株的反应完全相同,但根据先前的感染状态,其持久性和归巢特性存在差异。
Elife. 2021 Oct 12;10:e72619. doi: 10.7554/eLife.72619.
6
Bispecific antibodies provide broad neutralization of emerging beta-coronaviruses by targeting ACE2 and viral spikes.双特异性抗体通过靶向 ACE2 和病毒刺突提供对新兴的β冠状病毒的广泛中和作用。
Emerg Microbes Infect. 2024 Dec;13(1):2404166. doi: 10.1080/22221751.2024.2404166. Epub 2024 Sep 22.
7
Fc-engineered antibody therapeutics with improved anti-SARS-CoV-2 efficacy.具有提高的抗SARS-CoV-2疗效的Fc工程化抗体疗法。
Nature. 2021 Nov;599(7885):465-470. doi: 10.1038/s41586-021-04017-w. Epub 2021 Sep 21.
8
mRNA vaccine-induced SARS-CoV-2 spike-specific IFN-γ and IL-2 T-cell responses are predictive of serological neutralization and are transiently enhanced by pre-existing cross-reactive immunity.信使核糖核酸疫苗诱导的严重急性呼吸综合征冠状病毒2刺突蛋白特异性γ干扰素和白细胞介素-2 T细胞反应可预测血清中和作用,并被预先存在的交叉反应性免疫短暂增强。
J Virol. 2025 Mar 18;99(3):e0168524. doi: 10.1128/jvi.01685-24. Epub 2025 Jan 31.
9
Ipsilateral or contralateral boosting of mice with mRNA vaccines confers equivalent immunity and protection against a SARS-CoV-2 Omicron strain.mRNA 疫苗对小鼠进行同侧或对侧增强免疫可提供针对 SARS-CoV-2 奥密克戎株的等效免疫和保护。
J Virol. 2024 Sep 17;98(9):e0057424. doi: 10.1128/jvi.00574-24. Epub 2024 Aug 28.
10
Combination of a Sindbis-SARS-CoV-2 Spike Vaccine and αOX40 Antibody Elicits Protective Immunity Against SARS-CoV-2 Induced Disease and Potentiates Long-Term SARS-CoV-2-Specific Humoral and T-Cell Immunity.辛德毕斯-严重急性呼吸综合征冠状病毒 2 刺突疫苗与 αOX40 抗体联合使用可针对严重急性呼吸综合征冠状病毒 2 诱导的疾病产生保护免疫,并增强长期的严重急性呼吸综合征冠状病毒 2 特异性体液和 T 细胞免疫。
Front Immunol. 2021 Jul 29;12:719077. doi: 10.3389/fimmu.2021.719077. eCollection 2021.

本文引用的文献

1
The T-cell response to SARS-CoV-2: kinetic and quantitative aspects and the case for their protective role.T细胞对严重急性呼吸综合征冠状病毒2(SARS-CoV-2)的反应:动力学和定量方面及其保护作用的实例
Oxf Open Immunol. 2021 Feb 23;2(1):iqab006. doi: 10.1093/oxfimm/iqab006. eCollection 2021.
2
Insufficient epitope-specific T cell clones are responsible for impaired cellular immunity to inactivated SARS-CoV-2 vaccine in older adults.老年人对灭活 SARS-CoV-2 疫苗的细胞免疫受损,原因是缺乏针对表位的 T 细胞克隆。
Nat Aging. 2023 Apr;3(4):418-435. doi: 10.1038/s43587-023-00379-0. Epub 2023 Mar 13.
3
Genomic Surveillance for SARS-CoV-2 - China, September 26, 2022 to January 29, 2023.
2022年9月26日至2023年1月29日中国新型冠状病毒基因组监测
China CDC Wkly. 2023 Feb 17;5(7):143-151. doi: 10.46234/ccdcw2023.026.
4
Substantial Neutralization Escape by SARS-CoV-2 Omicron Variants BQ.1.1 and XBB.1.严重急性呼吸综合征冠状病毒2(SARS-CoV-2)奥密克戎变种BQ.1.1和XBB.1的显著中和逃逸
N Engl J Med. 2023 Feb 16;388(7):662-664. doi: 10.1056/NEJMc2214314. Epub 2023 Jan 18.
5
Alarming antibody evasion properties of rising SARS-CoV-2 BQ and XBB subvariants.令人担忧的 SARS-CoV-2 BQ 和 XBB 亚型不断出现的抗体逃逸特性。
Cell. 2023 Jan 19;186(2):279-286.e8. doi: 10.1016/j.cell.2022.12.018. Epub 2022 Dec 14.
6
IgG-like bispecific antibodies with potent and synergistic neutralization against circulating SARS-CoV-2 variants of concern.具有针对流行 SARS-CoV-2 关切变异株的强大协同中和作用的 IgG 样双特异性抗体。
Nat Commun. 2022 Oct 3;13(1):5814. doi: 10.1038/s41467-022-33030-4.
7
Molecular basis of receptor binding and antibody neutralization of Omicron.奥密克戎受体结合与抗体中和的分子基础。
Nature. 2022 Apr;604(7906):546-552. doi: 10.1038/s41586-022-04581-9. Epub 2022 Feb 28.
8
The T cell immune response against SARS-CoV-2.针对 SARS-CoV-2 的 T 细胞免疫应答。
Nat Immunol. 2022 Feb;23(2):186-193. doi: 10.1038/s41590-021-01122-w. Epub 2022 Feb 1.
9
Spike-Dependent Opsonization Indicates Both Dose-Dependent Inhibition of Phagocytosis and That Non-Neutralizing Antibodies Can Confer Protection to SARS-CoV-2.刺突依赖性调理表明,非中和抗体既能剂量依赖性抑制吞噬作用,又能为 SARS-CoV-2 提供保护。
Front Immunol. 2022 Jan 14;12:808932. doi: 10.3389/fimmu.2021.808932. eCollection 2021.
10
Monoclonal antibodies targeting two immunodominant epitopes on the Spike protein neutralize emerging SARS-CoV-2 variants of concern.靶向刺突蛋白上两个免疫优势表位的单克隆抗体可中和新型 SARS-CoV-2 关切变异株。
EBioMedicine. 2022 Feb;76:103818. doi: 10.1016/j.ebiom.2022.103818. Epub 2022 Jan 22.