• 文献检索
  • 文档翻译
  • 深度研究
  • 学术资讯
  • Suppr Zotero 插件Zotero 插件
  • 邀请有礼
  • 套餐&价格
  • 历史记录
应用&插件
Suppr Zotero 插件Zotero 插件浏览器插件Mac 客户端Windows 客户端微信小程序
定价
高级版会员购买积分包购买API积分包
服务
文献检索文档翻译深度研究API 文档MCP 服务
关于我们
关于 Suppr公司介绍联系我们用户协议隐私条款
关注我们

Suppr 超能文献

核心技术专利:CN118964589B侵权必究
粤ICP备2023148730 号-1Suppr @ 2026

文献检索

告别复杂PubMed语法,用中文像聊天一样搜索,搜遍4000万医学文献。AI智能推荐,让科研检索更轻松。

立即免费搜索

文件翻译

保留排版,准确专业,支持PDF/Word/PPT等文件格式,支持 12+语言互译。

免费翻译文档

深度研究

AI帮你快速写综述,25分钟生成高质量综述,智能提取关键信息,辅助科研写作。

立即免费体验

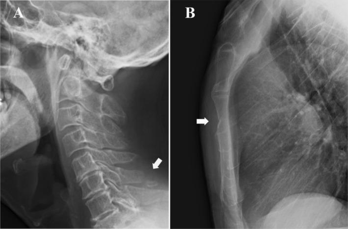
一例与颈椎骨折相关的胸骨骨折

A Sternal Fracture Associated With Cervical Spinal Fracture.

作者信息

Yamaguchi Toshiyuki

机构信息

Division of Breast Disease, Department of Surgery Asama Nanroku Komoro Medical Center Nagano Japan.

出版信息

Clin Case Rep. 2025 Feb 19;13(2):e70233. doi: 10.1002/ccr3.70233. eCollection 2025 Feb.

DOI:10.1002/ccr3.70233
PMID:39980889
原文链接:https://pmc.ncbi.nlm.nih.gov/articles/PMC11840083/
Abstract

Sternal injuries are caused by two mechanisms: direct and indirect forces on the sternum. An indirect sternum fracture is usually caused by a forcible anteflexion of the spine. When a patient with back bruising complains of anterior chest pain, a sternal fracture should be considered in the differential diagnosis.

摘要

胸骨损伤由两种机制引起

胸骨上的直接和间接作用力。间接性胸骨骨折通常由脊柱的强力前屈所致。当伴有背部瘀伤的患者主诉前胸疼痛时,鉴别诊断应考虑胸骨骨折。

https://cdn.ncbi.nlm.nih.gov/pmc/blobs/26aa/11840083/99c533e68a0e/CCR3-13-e70233-g001.jpg
https://cdn.ncbi.nlm.nih.gov/pmc/blobs/26aa/11840083/99c533e68a0e/CCR3-13-e70233-g001.jpg
https://cdn.ncbi.nlm.nih.gov/pmc/blobs/26aa/11840083/99c533e68a0e/CCR3-13-e70233-g001.jpg

相似文献

1
A Sternal Fracture Associated With Cervical Spinal Fracture.一例与颈椎骨折相关的胸骨骨折
Clin Case Rep. 2025 Feb 19;13(2):e70233. doi: 10.1002/ccr3.70233. eCollection 2025 Feb.
2
Do low profile implants provide reliable stability in fixing the sternal fractures as a "fourth vertebral column" in sternovertebral injuries?低轮廓植入物在将胸骨骨折固定为胸骨椎体损伤中的“第四脊柱柱”时能否提供可靠的稳定性?
J Thorac Dis. 2017 Apr;9(4):1054-1064. doi: 10.21037/jtd.2017.03.37.
3
Flexible intramedullary nailing of a displaced transverse sternal fracture associated with a flexion-compression injury of the thoracic spine.弹性髓内钉固定移位性胸骨横断骨折合并胸腰椎屈曲-压缩性损伤。
Spine (Phila Pa 1976). 2010 May 20;35(12):E553-8. doi: 10.1097/BRS.0b013e3181cf6b93.
4
Sternal fractures associated with spinal injury.与脊柱损伤相关的胸骨骨折。
J Trauma. 1989 Mar;29(3):360-4. doi: 10.1097/00005373-198903000-00014.
5
Fractures of the sternum associated with spinal injury.与脊柱损伤相关的胸骨骨折。
J Bone Joint Surg Br. 1986 Mar;68(2):178-81. doi: 10.1302/0301-620X.68B2.3957997.
6
Fracture of the sternum in children.儿童胸骨骨折
Emerg Med J. 2003 Nov;20(6):518-20. doi: 10.1136/emj.20.6.518.
7
Isolated sternal fracture--a swing-related injury in two children.孤立性胸骨骨折——两名儿童与秋千相关的损伤。
Pediatr Radiol. 2001 Mar;31(3):200-2. doi: 10.1007/s002470000397.
8
The unstable thoracic cage injury: The concomitant sternal fracture indicates a severe thoracic spine fracture.不稳定型胸廓损伤:合并胸骨骨折提示存在严重的胸椎骨折。
Injury. 2016 Nov;47(11):2465-2472. doi: 10.1016/j.injury.2016.08.026. Epub 2016 Aug 29.
9
[Early Sternum Fixation with a Locking Plate for Traumatic Sternal Fracture].
Kyobu Geka. 2019 Dec;72(13):1076-1079.
10
Missed manubriosternal dislocation in patient with thoracolumbar fracture, a case report.胸腰椎骨折患者漏诊的胸骨柄体关节脱位:一例报告
BMC Surg. 2019 Jul 29;19(1):101. doi: 10.1186/s12893-019-0564-y.

本文引用的文献

1
No Need for Sternal Fixation in Traumatic Sternovertebral Fractures: Outcomes of a 10-Year Retrospective Cohort Study.创伤性胸骨椎骨骨折无需胸骨固定:一项10年回顾性队列研究的结果
Global Spine J. 2021 Apr;11(3):283-291. doi: 10.1177/2192568220902413. Epub 2020 Feb 11.
2
Vertebral fractures and concomitant fractures of the sternum.脊椎骨折及胸骨伴发骨折。
Int Orthop. 2005 Dec;29(6):339-42. doi: 10.1007/s00264-005-0001-y. Epub 2005 Aug 5.
3
Sternal fractures associated with spinal injury.与脊柱损伤相关的胸骨骨折。
J Trauma. 1989 Mar;29(3):360-4. doi: 10.1097/00005373-198903000-00014.