Chen Lu, Liu Haoran, Jiang Linlin, Wang Zihang, Chang Yong, Li Na, Feng Shiqing
Orthopaedic Research Center of Shandong University, Department of orthopaedics, Qilu Hospital of Shandong University, #107 Wenhua West Road 250012, Jinan, Shandong, China.
School of Basic Medical Sciences, Shandong University, #44 Wenhua West Road 250012, Jinan, Shandong, China.
Adv Sci (Weinh). 2025 Apr;12(16):e2417326. doi: 10.1002/advs.202417326. Epub 2025 Feb 25.
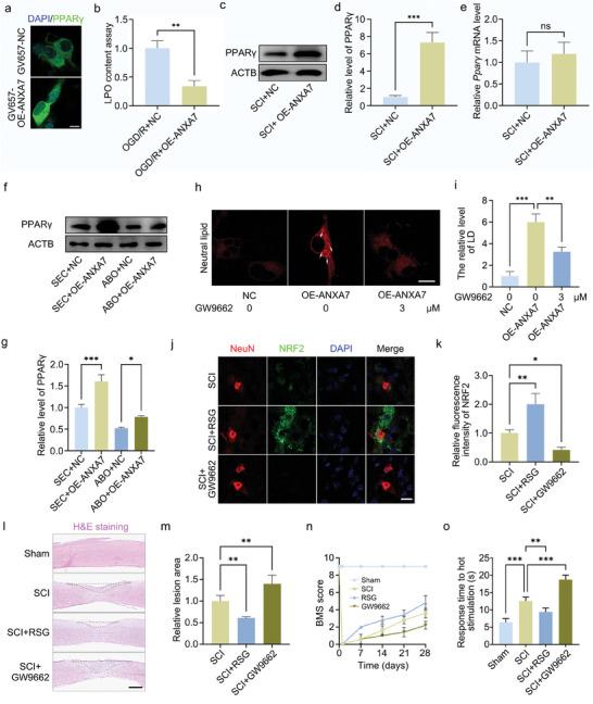
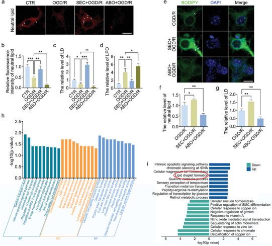
Spinal cord injury is characterized by high incidence and high disability, and the specific targets and drugs have not yet been explored. Lipid droplet is a type of organelles that regulates lipid metabolism and oxidative stress. And the regulatory mechanisms of lipid droplets on spinal cord injury remain unclear. Herein, it is found that GTPase activation of Annexin A7 (ANXA7) promotes the up-regulation of genes related to lipid droplet formation. ANXA7 can interact with peroxisome proliferator-activated receptor gamma (PPARγ) to enhance the stability of PPARγ, and promote lipid droplet formation and interaction with mitochondria through promoting Perilipin 5 expression. Then, oxidative stress and lipid peroxidation are inhibited due to the promotion of nuclear factor erythroid 2-related factor 2 (NRF2) nuclear translocation and expression of glutathione peroxidase 4 (GPX4). ANXA7 activation promotes lipid droplet formation and mitochondria-lipid droplet interaction by enhancing nuclear translocation of PPARγ, which contributes to inhibiting lipid peroxidation and neuron damage. Furthermore, activation of PPARγ can promote neural function recovery and spinal cord repair in mice. The focus of this study is to investigate the effects of lipid droplets regulated by ANXA7/PPARγ, providing new targets and strategies for spinal cord injury.
脊髓损伤具有高发病率和高致残率的特点,且尚未探索出具体的靶点和药物。脂滴是一种调节脂质代谢和氧化应激的细胞器。脂滴对脊髓损伤的调控机制仍不清楚。在此研究中,发现膜联蛋白A7(ANXA7)的GTP酶激活促进了与脂滴形成相关基因的上调。ANXA7可与过氧化物酶体增殖物激活受体γ(PPARγ)相互作用,增强PPARγ的稳定性,并通过促进脂滴包被蛋白5的表达促进脂滴形成及与线粒体的相互作用。然后,由于促进了核因子红细胞2相关因子2(NRF2)的核转位和谷胱甘肽过氧化物酶4(GPX4)的表达,氧化应激和脂质过氧化受到抑制。ANXA7激活通过增强PPARγ的核转位促进脂滴形成和线粒体-脂滴相互作用,这有助于抑制脂质过氧化和神经元损伤。此外,激活PPARγ可促进小鼠神经功能恢复和脊髓修复。本研究的重点是探究由ANXA7/PPARγ调节的脂滴的作用,为脊髓损伤提供新的靶点和策略。