Suppr超能文献

被半胱天冬酶-11/4切割的VgrG2b片段通过抑制NLRP3炎性小体促进感染。

A VgrG2b fragment cleaved by caspase-11/4 promotes infection through suppressing the NLRP3 inflammasome.

作者信息

Qian Yan, Liu Qiannv, Cheng Xiangyun, Wang Chunlei, Kong Chun, Li Mengqian, Ren Chao, Jiang Dong, Wang Shuo, Xia Pengyan

机构信息

Department of Immunology, School of Basic Medical Sciences, Peking University, Beijing, China.

NHC Key Laboratory of Medical Immunology, Peking University, Beijing, China.

出版信息

Elife. 2025 Feb 25;13:RP99939. doi: 10.7554/eLife.99939.

Abstract

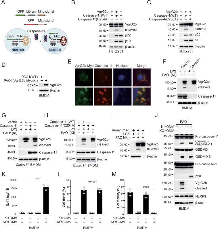
The T6SS of plays an essential role in the establishment of chronic infections. Inflammasome-mediated inflammatory cytokines are crucial for host defense against bacterial infections. We found that infection activates the non-canonical inflammasome in macrophages, yet it inhibits the downstream activation of the NLRP3 inflammasome. The VgrG2b of is recognized and cleaved by caspase-11, generating a free C-terminal fragment. The VgrG2b C-terminus can bind to NLRP3, inhibiting the activation of the NLRP3 inflammasome by rejecting NEK7 binding to NLRP3. Administration of a specific peptide that inhibits caspase-11 cleavage of VgrG2b significantly improves mouse survival during infection. Our discovery elucidates a mechanism by which inhibits host immune response, providing a new approach for the future clinical treatment of infections.

摘要

[细菌名称]的VI型分泌系统(T6SS)在慢性感染的建立中起着至关重要的作用。炎性小体介导的炎性细胞因子对于宿主抵御细菌感染至关重要。我们发现,[细菌名称]感染可激活巨噬细胞中的非经典炎性小体,但它会抑制NLRP3炎性小体的下游激活。[细菌名称]的VgrG2b被caspase-11识别并切割,产生一个游离的C末端片段。VgrG2b的C末端可与NLRP3结合,通过阻止NEK7与NLRP3结合来抑制NLRP3炎性小体的激活。给予一种抑制caspase-11对VgrG2b切割的特异性肽可显著提高感染期间小鼠的存活率。我们的发现阐明了[细菌名称]抑制宿主免疫反应的机制,为未来[细菌名称]感染的临床治疗提供了新方法。

https://cdn.ncbi.nlm.nih.gov/pmc/blobs/d806/11856931/f2b77480d418/elife-99939-fig1.jpg

文献检索

告别复杂PubMed语法,用中文像聊天一样搜索,搜遍4000万医学文献。AI智能推荐,让科研检索更轻松。

立即免费搜索

文件翻译

保留排版,准确专业,支持PDF/Word/PPT等文件格式,支持 12+语言互译。

免费翻译文档

深度研究

AI帮你快速写综述,25分钟生成高质量综述,智能提取关键信息,辅助科研写作。

立即免费体验