Suppr超能文献

以麻醉策略为重点的软骨发育不全婴儿急性四肢轻瘫的多学科管理:一例报告

Multidisciplinary Management of Acute Tetraparesis in an Infant with Achondroplasia, with a Focus on Anesthetic Strategies: A Case Report.

作者信息

Nedomová Barbora, Chrenko Robert, Jakešová Salome, Zahradníková Petra, Hanko Martin, Tichá Ľubica

机构信息

Department of Pediatric Anesthesiology and Intensive Care, Faculty of Medicine, Comenius University, Faculty of Medicine, Slovak Medical University and National Institute of Children's Diseases, 833 40 Bratislava, Slovakia.

Faculty of Medicine, Slovak Medical University, 831 01 Bratislava, Slovakia.

出版信息

Children (Basel). 2025 Jan 29;12(2):164. doi: 10.3390/children12020164.

Abstract

BACKGROUND/OBJECTIVES: This report details a rare instance of an infant with achondroplasia developing acute tetraparesis after a cervical whiplash injury, highlighting key multidisciplinary management considerations and specific anesthetic strategies to mitigate potential risks.

CASE PRESENTATION

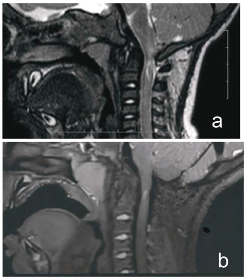
A 1-year-old boy with achondroplasia presented with acute tetraparesis after a whiplash injury. Initial craniocervical computed tomography demonstrated a reduced volume of the posterior fossa, foramen magnum stenosis, and ventriculomegaly, without any fractures or dislocations. Moreover, magnetic resonance imaging (MRI) revealed pathological signal changes in the medulla oblongata, cervical spinal cord in segments C1 and C2, and the posterior atlantoaxial ligament. After initial conservative therapy and head immobilization using a soft cervical collar, partial remission of the tetraparesis was achieved. Two weeks post-injury, microsurgical posterior fossa decompression extending to the foramen magnum and C1 laminectomy was performed under general anesthesia with intraoperative neuromonitoring. Following an unsuccessful intubation attempt using a fiberoptic bronchoscope, successful airway management was achieved using a combined technique incorporating video laryngoscopy. Venous access was secured under ultrasound guidance. The patient exhibited complete remission of neurological symptoms by the third postoperative month during follow-up.

CONCLUSIONS

This case report underscores the crucial need for a multidisciplinary approach in managing children with achondroplasia, especially with foramen magnum stenosis and complex cervical spine injuries. Anesthetic management required meticulously planned airway strategies using advanced techniques like video laryngoscopy and fiberoptic bronchoscopy to reduce airway risks. It also highlights the importance of conservative therapy paired with timely neurosurgical intervention, resulting in the patient's full recovery.

摘要

背景/目的:本报告详细介绍了一例罕见的软骨发育不全婴儿在颈椎挥鞭样损伤后发生急性四肢瘫的病例,强调了关键的多学科管理考量因素以及减轻潜在风险的具体麻醉策略。

病例介绍

一名1岁软骨发育不全男孩在挥鞭样损伤后出现急性四肢瘫。最初的颅颈计算机断层扫描显示后颅窝容积减小、枕大孔狭窄和脑室扩大,无任何骨折或脱位。此外,磁共振成像(MRI)显示延髓、C1和C2节段的颈脊髓以及寰枢后韧带存在病理信号改变。在最初采用保守治疗并使用软颈托固定头部后,四肢瘫部分缓解。受伤两周后,在术中神经监测下于全身麻醉下行后颅窝减压术,范围延伸至枕大孔并进行C1椎板切除术。在使用纤维支气管镜插管尝试失败后,采用视频喉镜联合技术成功实现气道管理。在超声引导下确保了静脉通路。在随访期间,患者术后第三个月神经症状完全缓解。

结论

本病例报告强调了对软骨发育不全儿童,尤其是伴有枕大孔狭窄和复杂颈椎损伤的儿童进行多学科治疗的迫切需求。麻醉管理需要精心规划气道策略,采用视频喉镜和纤维支气管镜等先进技术以降低气道风险。它还强调了保守治疗与及时的神经外科干预相结合的重要性,从而使患者完全康复。

https://cdn.ncbi.nlm.nih.gov/pmc/blobs/5e74/11854683/895e97b7581b/children-12-00164-g001.jpg

文献AI研究员

20分钟写一篇综述,助力文献阅读效率提升50倍。

立即体验

用中文搜PubMed

大模型驱动的PubMed中文搜索引擎

马上搜索

文档翻译

学术文献翻译模型,支持多种主流文档格式。

立即体验