• 文献检索
  • 文档翻译
  • 深度研究
  • 学术资讯
  • Suppr Zotero 插件Zotero 插件
  • 邀请有礼
  • 套餐&价格
  • 历史记录
应用&插件
Suppr Zotero 插件Zotero 插件浏览器插件Mac 客户端Windows 客户端微信小程序
定价
高级版会员购买积分包购买API积分包
服务
文献检索文档翻译深度研究API 文档MCP 服务
关于我们
关于 Suppr公司介绍联系我们用户协议隐私条款
关注我们

Suppr 超能文献

核心技术专利:CN118964589B侵权必究
粤ICP备2023148730 号-1Suppr @ 2026

文献检索

告别复杂PubMed语法,用中文像聊天一样搜索,搜遍4000万医学文献。AI智能推荐,让科研检索更轻松。

立即免费搜索

文件翻译

保留排版,准确专业,支持PDF/Word/PPT等文件格式,支持 12+语言互译。

免费翻译文档

深度研究

AI帮你快速写综述,25分钟生成高质量综述,智能提取关键信息,辅助科研写作。

立即免费体验

急性护理环境中软骨发育不全性侏儒症的气道问题与麻醉困境:一例报告

Problematic Airway and Anesthetic Dilemmas for Achondroplastic Dwarfism in the Acute Care Setting: A Case Report.

作者信息

Dang Son H, Samra Ara, Patel Bansi V, Sanchez-Luege Sebastian

机构信息

Anesthesiology, Jackson South Medical Center - University of Miami Miller School of Medicine, Miami, USA.

出版信息

Cureus. 2022 May 25;14(5):e25336. doi: 10.7759/cureus.25336. eCollection 2022 May.

DOI:10.7759/cureus.25336
PMID:35774675
原文链接:https://pmc.ncbi.nlm.nih.gov/articles/PMC9236628/
Abstract

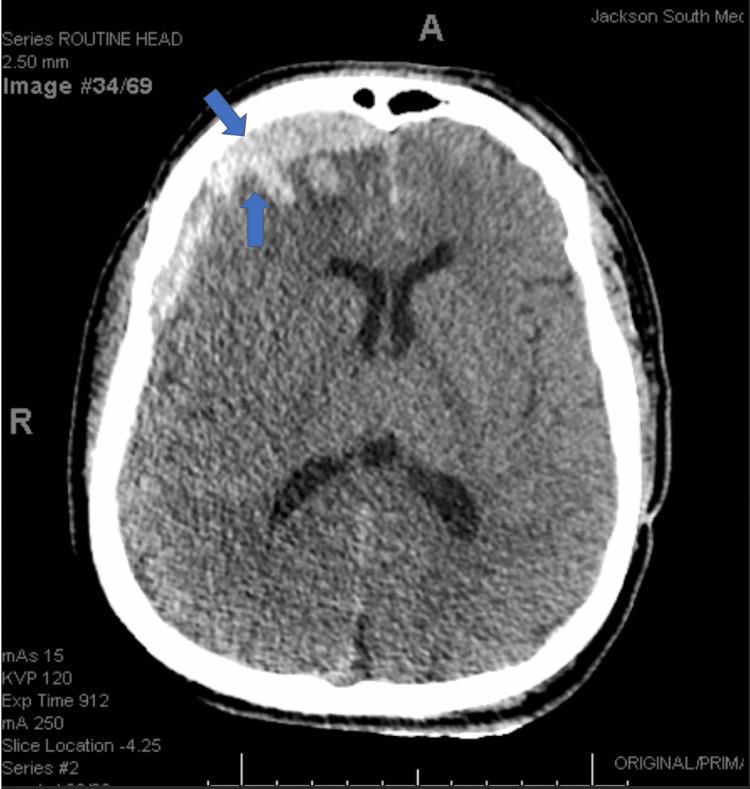
Patients with achondroplasia often present with anatomical abnormalities and altered cardiopulmonary physiology that significantly increase their perioperative risk for cardiovascular and respiratory complications (e.g., worsening ventilation-perfusion mismatch, imminent desaturation, difficult airway). We describe a 34-year-old achondroplastic male presenting with altered mentation following a traumatic subdural hematoma that necessitated emergent craniotomy evacuation. Initial attempt at intubation was complicated by rapid desaturation and bradyarrhythmia. Subsequently, the patient went into cardiac arrest requiring cardiopulmonary resuscitation. A laryngeal mask airway (LMA) was secured and fiberoptic intubation was achieved in succession. Following return of spontaneous circulation (ROSC), a repeat CT scan showed the subdural hematoma to be stable in size and neurosurgery opted to delay his surgery for conservative management and close monitoring. This case highlights the unique airway challenges and anesthetic considerations in management of achondroplastic patients.

摘要

软骨发育不全患者常伴有解剖结构异常和心肺生理改变,这显著增加了他们围手术期发生心血管和呼吸并发症的风险(如通气/血流不匹配加重、即将出现的血氧饱和度下降、气道困难)。我们描述了一名34岁的软骨发育不全男性患者,因创伤性硬膜下血肿导致意识改变,需要紧急开颅血肿清除术。初次插管尝试因血氧饱和度迅速下降和心律失常而变得复杂。随后,患者发生心脏骤停,需要进行心肺复苏。成功置入喉罩气道(LMA)并相继完成纤维支气管镜插管。自主循环恢复(ROSC)后,重复CT扫描显示硬膜下血肿大小稳定,神经外科选择推迟手术,进行保守治疗和密切监测。该病例突出了软骨发育不全患者气道管理中独特的挑战和麻醉注意事项。

https://cdn.ncbi.nlm.nih.gov/pmc/blobs/6d27/9236628/b612d464f0ca/cureus-0014-00000025336-i02.jpg
https://cdn.ncbi.nlm.nih.gov/pmc/blobs/6d27/9236628/32e27b9dc3ea/cureus-0014-00000025336-i01.jpg
https://cdn.ncbi.nlm.nih.gov/pmc/blobs/6d27/9236628/b612d464f0ca/cureus-0014-00000025336-i02.jpg
https://cdn.ncbi.nlm.nih.gov/pmc/blobs/6d27/9236628/32e27b9dc3ea/cureus-0014-00000025336-i01.jpg
https://cdn.ncbi.nlm.nih.gov/pmc/blobs/6d27/9236628/b612d464f0ca/cureus-0014-00000025336-i02.jpg

相似文献

1
Problematic Airway and Anesthetic Dilemmas for Achondroplastic Dwarfism in the Acute Care Setting: A Case Report.急性护理环境中软骨发育不全性侏儒症的气道问题与麻醉困境:一例报告
Cureus. 2022 May 25;14(5):e25336. doi: 10.7759/cureus.25336. eCollection 2022 May.
2
Anesthetic management of achondroplastic dwarf undergoing cesarean section--a case report.软骨发育不全性侏儒症患者剖宫产的麻醉管理——病例报告
Middle East J Anaesthesiol. 2010 Oct;20(6):907-10.
3
[Difficult Ventilation Requiring Emergency Endotracheal Intubation during Awake Craniotomy Managed by Laryngeal Mask Airway].[清醒开颅手术中使用喉罩气道管理时需要紧急气管插管的困难通气]
Masui. 2016 Apr;65(4):380-3.
4
Anesthetic management of parturients with achondroplasia: a case series.软骨发育不全产妇的麻醉管理:病例系列
Proc (Bayl Univ Med Cent). 2023 Dec 20;37(1):63-68. doi: 10.1080/08998280.2023.2261084. eCollection 2024.
5
Is management of anesthesia in achondroplastic dwarfs really a challenge?
J Clin Anesth. 1997 May;9(3):208-12. doi: 10.1016/s0952-8180(97)00033-0.
6
Anesthetic Considerations in Patients With Achondroplasia.软骨发育不全患者的麻醉注意事项
Cureus. 2021 Jun 22;13(6):e15832. doi: 10.7759/cureus.15832. eCollection 2021 Jun.
7
Anesthetic dilemmas in an achondroplastic patient undergoing elective cesarean section.
J Biomed Res. 2024 Jun 4;38(5):512-515. doi: 10.7555/JBR.37.20230301.
8
Anesthetic Management of a Super Morbidly Obese Obstetric Patient With a Body Mass Index of 109 kg/m2 Presenting for Her Fourth Caesarean Delivery.一位体重指数为109kg/m²的超级病态肥胖产科患者行第四次剖宫产的麻醉管理
Cureus. 2020 Nov 30;12(11):e11803. doi: 10.7759/cureus.11803.
9
The laryngeal mask airway: anesthetic gas leakage and fiberoptic control of positioning.喉罩气道:麻醉气体泄漏与纤维光学定位控制
J Clin Anesth. 1993 Sep-Oct;5(5):357-63. doi: 10.1016/0952-8180(93)90097-x.
10
Anesthesia for cesarean delivery in an achondroplastic dwarf: a case report.一例软骨发育不全性侏儒剖宫产的麻醉:病例报告
AANA J. 2008 Dec;76(6):435-6.

引用本文的文献

1
Supraglottic airway devices in neuroanesthesia practice: A narrative review.神经麻醉实践中的声门上气道装置:一项叙述性综述。
J Anaesthesiol Clin Pharmacol. 2025 Jul-Sep;41(3):410-417. doi: 10.4103/joacp.joacp_317_24. Epub 2025 Jun 19.
2
A Single-Center Retrospective Analysis of a Standardized Sedation Protocol for MRI in Children with Achondroplasia: Minimal Complications and Excellent Imaging Quality.一项关于软骨发育不全儿童MRI标准化镇静方案的单中心回顾性分析:并发症极少且影像质量极佳。
Children (Basel). 2025 May 22;12(6):662. doi: 10.3390/children12060662.
3
Multidisciplinary Management of Acute Tetraparesis in an Infant with Achondroplasia, with a Focus on Anesthetic Strategies: A Case Report.

本文引用的文献

1
Emergent Surgical Airway Skills: Time to Re-evaluate the Competencies.紧急手术气道技能:是时候重新评估其能力了。
Cureus. 2022 Mar 17;14(3):e23260. doi: 10.7759/cureus.23260. eCollection 2022 Mar.
2
2022 American Society of Anesthesiologists Practice Guidelines for Management of the Difficult Airway.2022 年美国麻醉医师学会困难气道管理实践指南。
Anesthesiology. 2022 Jan 1;136(1):31-81. doi: 10.1097/ALN.0000000000004002.
3
Anesthetic Considerations in Patients With Achondroplasia.软骨发育不全患者的麻醉注意事项
以麻醉策略为重点的软骨发育不全婴儿急性四肢轻瘫的多学科管理:一例报告
Children (Basel). 2025 Jan 29;12(2):164. doi: 10.3390/children12020164.
4
Anesthetic management of parturients with achondroplasia: a case series.软骨发育不全产妇的麻醉管理:病例系列
Proc (Bayl Univ Med Cent). 2023 Dec 20;37(1):63-68. doi: 10.1080/08998280.2023.2261084. eCollection 2024.
Cureus. 2021 Jun 22;13(6):e15832. doi: 10.7759/cureus.15832. eCollection 2021 Jun.
4
Achondroplasia: a comprehensive clinical review.软骨发育不全症:全面的临床综述。
Orphanet J Rare Dis. 2019 Jan 3;14(1):1. doi: 10.1186/s13023-018-0972-6.
5
Fibreoptic intubation in airway management: a review article.纤维光学插管在气道管理中的应用:一篇综述文章。
Singapore Med J. 2019 Mar;60(3):110-118. doi: 10.11622/smedj.2018081. Epub 2018 Jul 16.
6
Surgical airway.外科气道。
Int J Crit Illn Inj Sci. 2014 Jan;4(1):71-6. doi: 10.4103/2229-5151.128016.
7
Failed rapid sequence induction in an achondroplastic dwarf.一名软骨发育不全侏儒患者快速顺序诱导失败。
Indian J Anaesth. 2011 May;55(3):296-8. doi: 10.4103/0019-5049.82691.
8
In brief: Achondroplasia.
Pediatr Rev. 2009 Mar;30(3):114-5. doi: 10.1542/pir.30-3-114.
9
Intractable hypotension and bradycardia during surgical positioning in atlantoaxial dislocation.寰枢椎脱位手术体位摆放过程中出现的顽固性低血压和心动过缓。
J Neurosurg Anesthesiol. 2008 Jan;20(1):71. doi: 10.1097/ANA.0b013e31815b48c2.
10
Cervicomedullary compression in young patients with achondroplasia: value of comprehensive neurologic and respiratory evaluation.
J Pediatr. 1987 Apr;110(4):522-30. doi: 10.1016/s0022-3476(87)80542-5.