• 文献检索
  • 文档翻译
  • 深度研究
  • 学术资讯
  • Suppr Zotero 插件Zotero 插件
  • 邀请有礼
  • 套餐&价格
  • 历史记录
应用&插件
Suppr Zotero 插件Zotero 插件浏览器插件Mac 客户端Windows 客户端微信小程序
定价
高级版会员购买积分包购买API积分包
服务
文献检索文档翻译深度研究API 文档MCP 服务
关于我们
关于 Suppr公司介绍联系我们用户协议隐私条款
关注我们

Suppr 超能文献

核心技术专利:CN118964589B侵权必究
粤ICP备2023148730 号-1Suppr @ 2026

文献检索

告别复杂PubMed语法,用中文像聊天一样搜索,搜遍4000万医学文献。AI智能推荐,让科研检索更轻松。

立即免费搜索

文件翻译

保留排版,准确专业,支持PDF/Word/PPT等文件格式,支持 12+语言互译。

免费翻译文档

深度研究

AI帮你快速写综述,25分钟生成高质量综述,智能提取关键信息,辅助科研写作。

立即免费体验

抑制CD53可减少活性氧诱导的中性粒细胞胞外陷阱的形成,并预防急性胰腺炎中的炎症性损伤。

Inhibition of CD53 Reduces the Formation of ROS-Induced Neutrophil Extracellular Traps and Protects Against Inflammatory Injury in Acute Pancreatitis.

作者信息

Xia Tianqi, Han Fei, Wang Yaning, Xie Xinyue, Yuan Chenchen, Lu Guotao, Xiao Weiming, Tu Bo, Ren Hongbo, Gong Weijuan, Wang Yaodong

机构信息

Pancreatic Center, Department of Gastroenterology, the Affiliated Hospital of Yangzhou University, Yangzhou University, Yangzhou, 225000, People's Republic of China.

Yangzhou Key Laboratory of Pancreatic Disease, the Affiliated Hospital of Yangzhou University, Yangzhou University, Yangzhou, 225000, People's Republic of China.

出版信息

J Inflamm Res. 2025 Mar 13;18:3725-3739. doi: 10.2147/JIR.S507886. eCollection 2025.

DOI:10.2147/JIR.S507886
PMID:40098997
原文链接:https://pmc.ncbi.nlm.nih.gov/articles/PMC11913036/
Abstract

BACKGROUND

The tetraspanin CD53 transmembrane protein is vital in immune cells like B cells and T cells, playing a crucial role in various inflammatory conditions. However, its involvement in neutrophils regarding inflammation remains uncertain. This study aims to examine the impact of CD53 on neutrophil extracellular traps (NETs) formation.

METHODS

Phorbol 12-myristate 13-acetate (PMA) was utilized to establish an in vitro classical NETs model to investigate the influence of CD53 on NETs formation and its regulatory mechanisms. Subsequently, the link between CD53 and acute pancreatitis (AP), a model of aseptic inflammatory responses connected to NETs, was verified. Peripheral blood neutrophils from clinical AP patients were collected to explore the role of CD53 in AP, while an AP mouse model induced by caerulein was employed to confirm the impact of CD53 inhibition on AP mice pancreatic tissue.

RESULTS

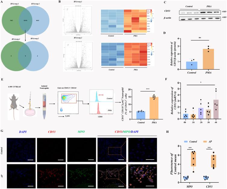
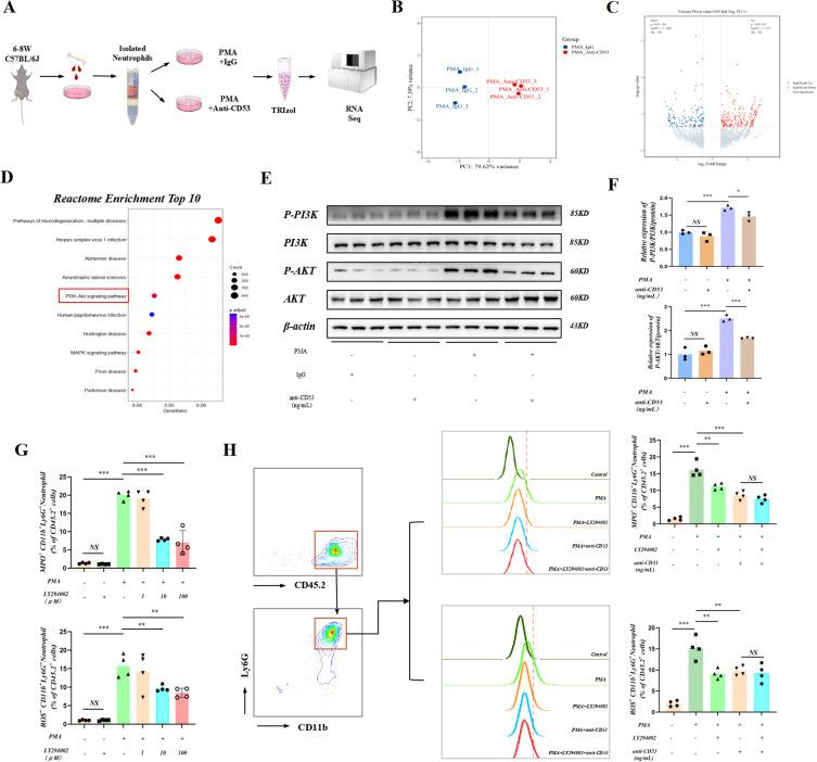
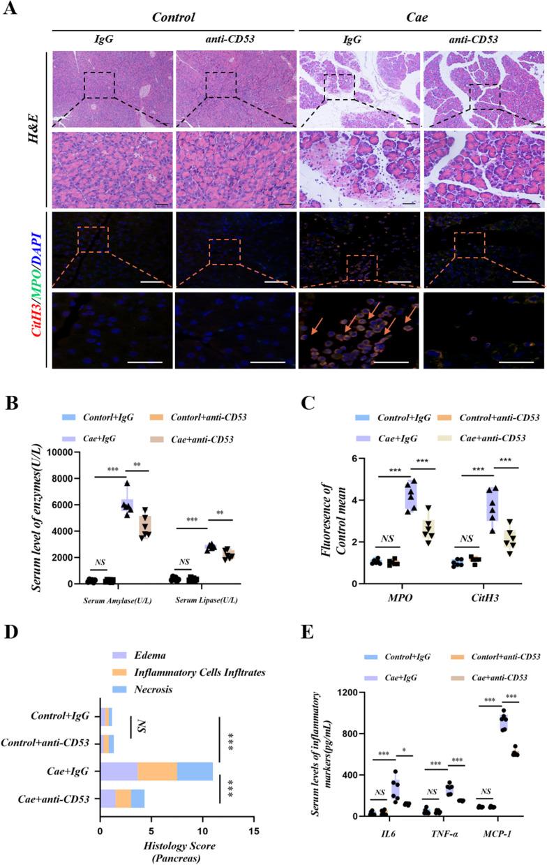
Our study has shown that CD53 is significantly elevated in in vitro NETs models and neutrophils from AP patients. The expression of CD53 is closely related to the clinical prognosis of AP patients. At the same time, CD53 neutralizing antibody (Anti-CD53) can significantly inhibit the formation of NETs in vitro, inflammatory injury in AP mice and the formation of NETs in damaged tissues. Mechanistically, CD53 can modulate the PI3K/AKT pathway and promote the formation of NETs. Finally, targeted regulation of CD53 can effectively reduce inflammatory injury and NETs formation in damaged tissues of AP mice.

CONCLUSION

The results of this study mark the first confirmation that CD53 plays a crucial role in NETs formation. Targeting CD53 inhibition could potentially serve as a novel therapeutic approach for the treatment of AP.

摘要

背景

四跨膜蛋白CD53跨膜蛋白在B细胞和T细胞等免疫细胞中至关重要,在各种炎症状态中发挥关键作用。然而,其在中性粒细胞炎症方面的作用仍不明确。本研究旨在探讨CD53对中性粒细胞胞外诱捕网(NETs)形成的影响。

方法

利用佛波酯12 -肉豆蔻酸酯13 -乙酸酯(PMA)建立体外经典NETs模型,以研究CD53对NETs形成的影响及其调控机制。随后,验证了CD53与急性胰腺炎(AP)(一种与NETs相关的无菌性炎症反应模型)之间的联系。收集临床AP患者的外周血中性粒细胞以探讨CD53在AP中的作用,同时采用雨蛙肽诱导的AP小鼠模型来证实CD53抑制对AP小鼠胰腺组织的影响。

结果

我们的研究表明,在体外NETs模型和AP患者的中性粒细胞中,CD53显著升高。CD53的表达与AP患者的临床预后密切相关。同时,CD53中和抗体(抗CD53)可显著抑制体外NETs的形成、AP小鼠的炎症损伤以及受损组织中NETs的形成。机制上,CD53可调节PI3K/AKT通路并促进NETs的形成。最后,对CD53的靶向调控可有效减轻AP小鼠受损组织中的炎症损伤和NETs形成。

结论

本研究结果首次证实CD53在NETs形成中起关键作用。靶向抑制CD53可能成为治疗AP的一种新的治疗方法。

https://cdn.ncbi.nlm.nih.gov/pmc/blobs/3c8a/11913036/66c570d45906/JIR-18-3725-g0006.jpg
https://cdn.ncbi.nlm.nih.gov/pmc/blobs/3c8a/11913036/e37162a832a8/JIR-18-3725-g0001.jpg
https://cdn.ncbi.nlm.nih.gov/pmc/blobs/3c8a/11913036/b6e93c617a32/JIR-18-3725-g0002.jpg
https://cdn.ncbi.nlm.nih.gov/pmc/blobs/3c8a/11913036/85753304311c/JIR-18-3725-g0003.jpg
https://cdn.ncbi.nlm.nih.gov/pmc/blobs/3c8a/11913036/5bf5d9964ad8/JIR-18-3725-g0004.jpg
https://cdn.ncbi.nlm.nih.gov/pmc/blobs/3c8a/11913036/7d517f099867/JIR-18-3725-g0005.jpg
https://cdn.ncbi.nlm.nih.gov/pmc/blobs/3c8a/11913036/66c570d45906/JIR-18-3725-g0006.jpg
https://cdn.ncbi.nlm.nih.gov/pmc/blobs/3c8a/11913036/e37162a832a8/JIR-18-3725-g0001.jpg
https://cdn.ncbi.nlm.nih.gov/pmc/blobs/3c8a/11913036/b6e93c617a32/JIR-18-3725-g0002.jpg
https://cdn.ncbi.nlm.nih.gov/pmc/blobs/3c8a/11913036/85753304311c/JIR-18-3725-g0003.jpg
https://cdn.ncbi.nlm.nih.gov/pmc/blobs/3c8a/11913036/5bf5d9964ad8/JIR-18-3725-g0004.jpg
https://cdn.ncbi.nlm.nih.gov/pmc/blobs/3c8a/11913036/7d517f099867/JIR-18-3725-g0005.jpg
https://cdn.ncbi.nlm.nih.gov/pmc/blobs/3c8a/11913036/66c570d45906/JIR-18-3725-g0006.jpg

相似文献

1
Inhibition of CD53 Reduces the Formation of ROS-Induced Neutrophil Extracellular Traps and Protects Against Inflammatory Injury in Acute Pancreatitis.抑制CD53可减少活性氧诱导的中性粒细胞胞外陷阱的形成,并预防急性胰腺炎中的炎症性损伤。
J Inflamm Res. 2025 Mar 13;18:3725-3739. doi: 10.2147/JIR.S507886. eCollection 2025.
2
Irisin inhibits neutrophil extracellular traps formation and protects against acute pancreatitis in mice.鸢尾素抑制中性粒细胞胞外诱捕网的形成,并保护小鼠免受急性胰腺炎的影响。
Redox Biol. 2023 Aug;64:102787. doi: 10.1016/j.redox.2023.102787. Epub 2023 Jun 23.
3
Neutrophil Extracellular Traps Induce Trypsin Activation, Inflammation, and Tissue Damage in Mice With Severe Acute Pancreatitis.中性粒细胞胞外诱捕网诱导重症急性胰腺炎小鼠的胰酶激活、炎症和组织损伤。
Gastroenterology. 2015 Dec;149(7):1920-1931.e8. doi: 10.1053/j.gastro.2015.08.026. Epub 2015 Aug 22.
4
Inhibition of Gasdermin D blocks the formation of NETs and protects acute pancreatitis in mice.抑制Gasdermin D可阻止中性粒细胞胞外陷阱的形成,并保护小鼠免受急性胰腺炎的侵害。
Biochem Biophys Res Commun. 2023 Apr 30;654:26-33. doi: 10.1016/j.bbrc.2023.02.082. Epub 2023 Mar 1.
5
Gene Regulation of Neutrophils Mediated Liver and Lung Injury through NETosis in Acute Pancreatitis.急性胰腺炎中基因调控的中性粒细胞通过中性粒细胞胞外诱捕网形成介导肝肺损伤
Inflammation. 2025 Feb;48(1):393-411. doi: 10.1007/s10753-024-02071-w. Epub 2024 Jun 17.
6
LASP1 inhibits the formation of NETs and alleviates acute pancreatitis by stabilizing F-actin polymerization in neutrophils.LASP1通过稳定中性粒细胞中的F-肌动蛋白聚合来抑制中性粒细胞胞外陷阱的形成并减轻急性胰腺炎。
Biochem Biophys Res Commun. 2025 Jan;744:151134. doi: 10.1016/j.bbrc.2024.151134. Epub 2024 Dec 13.
7
High expression of P-selectin induces neutrophil extracellular traps via the PSGL-1/Syk/Ca/PAD4 pathway to exacerbate acute pancreatitis.高表达的 P 选择素通过 PSGL-1/Syk/Ca/PAD4 途径诱导中性粒细胞胞外诱捕网形成,从而加重急性胰腺炎。
Front Immunol. 2023 Sep 28;14:1265344. doi: 10.3389/fimmu.2023.1265344. eCollection 2023.
8
Timing, initiation and function: An in-depth exploration of the interaction network among neutrophil extracellular traps related genes in acute pancreatitis.时机、启动和功能:急性胰腺炎中性粒细胞胞外陷阱相关基因相互作用网络的深入探讨。
Int Immunopharmacol. 2024 Nov 15;141:112923. doi: 10.1016/j.intimp.2024.112923. Epub 2024 Aug 12.
9
PSTPIP2 ameliorates aristolochic acid nephropathy by suppressing interleukin-19-mediated neutrophil extracellular trap formation.PSTPIP2 通过抑制白细胞介素-19 介导的中性粒细胞胞外诱捕网形成来改善马兜铃酸肾病。
Elife. 2024 Feb 5;13:e89740. doi: 10.7554/eLife.89740.
10
The crucial role of neutrophil extracellular traps and IL-17 signaling in indomethacin-induced gastric injury in mice.中性粒细胞胞外诱捕网和IL-17信号通路在吲哚美辛诱导的小鼠胃损伤中的关键作用。
Sci Rep. 2025 Apr 9;15(1):12109. doi: 10.1038/s41598-025-95880-4.

本文引用的文献

1
Tetraspanin CD53 Promotes Inflammation but Restrains Mucus Production in a Mouse Model of Allergic Airway Inflammation.四跨膜蛋白CD53在变应性气道炎症小鼠模型中促进炎症但抑制黏液产生。
Allergy. 2025 Apr;80(4):1127-1131. doi: 10.1111/all.16426. Epub 2024 Dec 9.
2
Neutrophil diversity and function in health and disease.中性粒细胞在健康与疾病中的多样性及功能。
Signal Transduct Target Ther. 2024 Dec 6;9(1):343. doi: 10.1038/s41392-024-02049-y.
3
Immune markers of severe acute pancreatitis.严重急性胰腺炎的免疫标志物。
Curr Opin Gastroenterol. 2024 Sep 1;40(5):389-395. doi: 10.1097/MOG.0000000000001053. Epub 2024 Jun 28.
4
The TRIM28/miR133a/CD47 axis acts as a potential therapeutic target in pancreatic necrosis by impairing efferocytosis.TRIM28/miR133a/CD47 轴通过损害细胞吞噬作用在胰腺坏死中充当潜在的治疗靶点。
Mol Ther. 2024 Sep 4;32(9):3025-3041. doi: 10.1016/j.ymthe.2024.06.005. Epub 2024 Jun 12.
5
Toll-like receptor 4 in pancreatic damage and immune infiltration in acute pancreatitis.Toll 样受体 4 在急性胰腺炎中的胰腺损伤和免疫浸润中的作用。
Front Immunol. 2024 Mar 22;15:1362727. doi: 10.3389/fimmu.2024.1362727. eCollection 2024.
6
The Interaction of Microbiome and Pancreas in Acute Pancreatitis.微生物组与胰腺在急性胰腺炎中的相互作用。
Biomolecules. 2023 Dec 31;14(1):59. doi: 10.3390/biom14010059.
7
Bile acid metabolomics identifies chenodeoxycholic acid as a therapeutic agent for pancreatic necrosis.胆汁酸代谢组学鉴定出鹅去氧胆酸是治疗胰腺坏死的一种治疗剂。
Cell Rep Med. 2023 Dec 19;4(12):101304. doi: 10.1016/j.xcrm.2023.101304. Epub 2023 Nov 29.
8
Neutrophil Function Conversion Driven by Immune Switchpoint Regulator against Diabetes-Related Biofilm Infections.免疫转换点调节因子驱动的中性粒细胞功能转换对抗糖尿病相关生物膜感染
Adv Mater. 2024 Feb;36(8):e2310320. doi: 10.1002/adma.202310320. Epub 2023 Dec 14.
9
Single-cell transcriptome analysis reveals the key genes associated with macrophage polarization in liver cancer.单细胞转录组分析揭示了与肝癌中巨噬细胞极化相关的关键基因。
Hepatol Commun. 2023 Oct 27;7(11). doi: 10.1097/HC9.0000000000000304. eCollection 2023 Nov 1.
10
Immune response mechanisms in acute and chronic pancreatitis: strategies for therapeutic intervention.急慢性胰腺炎的免疫反应机制:治疗干预策略。
Front Immunol. 2023 Oct 10;14:1279539. doi: 10.3389/fimmu.2023.1279539. eCollection 2023.