Suppr超能文献

微创单孔电视辅助胸腔镜手术治疗同步性胸腺瘤与食管癌:1例报告

Synchronous Thymoma and Esophageal Cancer Treated With Minimally Invasive Unilateral Video-Assisted Thoracoscopic Surgery: A Case Report.

作者信息

Okamoto Kazuya, Kikunaga Shinichiro, Karasaki Takahiro, Ogawa Yusuke, Ohkura Yu, Honda Aya, Fujimori Sakashi, Ueno Masaki, Udagawa Harushi

机构信息

Department of Thoracic Surgery, Respiratory Center, Toranomon Hospital, Tokyo, JPN.

Department of Gastroenterological Surgery, Toranomon Hospital, Tokyo, JPN.

出版信息

Cureus. 2025 Feb 14;17(2):e79020. doi: 10.7759/cureus.79020. eCollection 2025 Feb.

Abstract

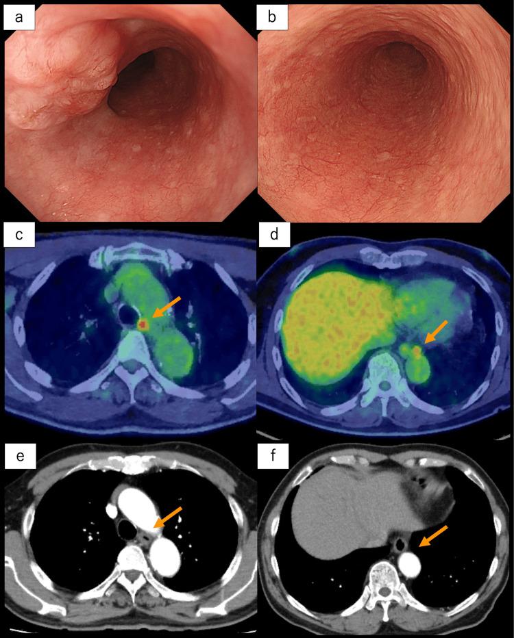
The treatment of multi-organ synchronous neoplasms requires a customized strategy for each case. Here, we present our treatment strategy for synchronous double neoplasms involving thymoma and esophageal cancer, which is a rare occurrence in clinical practice. A 68-year-old man was diagnosed with thymoma and advanced esophageal cancer in the middle thoracic esophagus. Following neoadjuvant chemotherapy for esophageal cancer, a concurrent resection of both lesions was performed using minimally invasive unilateral video-assisted thoracoscopic surgery and laparoscopic surgery with gastric conduit reconstruction via the posterior mediastinal route. The patient was discharged on the 14th postoperative day without any adverse events. Minimally invasive, video-assisted unilateral simultaneous surgery for thymoma and esophageal cancer represents a viable therapeutic approach, offering both curative potential and decreased invasiveness. Furthermore, reconstructing the gastric conduit via the posterior mediastinal route was deemed appropriate, as it may help minimize the risk of invasion of the gastric conduit and radiation exposure in the event of thymoma disease progression. Additionally, we propose a treatment strategy flow for synchronous neoplasms located in adjacent multi-organs. This strategy can be applied to various tumor types and may benefit other complex cases.

摘要

多器官同步性肿瘤的治疗需要针对每个病例制定个性化策略。在此,我们展示了针对同时发生的胸腺瘤和食管癌这一临床实践中罕见情况的治疗策略。一名68岁男性被诊断患有胸腺瘤和胸段食管中段的晚期食管癌。在对食管癌进行新辅助化疗后,采用微创单侧电视辅助胸腔镜手术和腹腔镜手术经后纵隔途径重建胃管道,同时切除两个病灶。患者术后第14天出院,无任何不良事件。微创、电视辅助单侧同步手术治疗胸腺瘤和食管癌是一种可行的治疗方法,具有治愈潜力且侵袭性降低。此外,经后纵隔途径重建胃管道被认为是合适的,因为在胸腺瘤疾病进展时,这可能有助于将胃管道受侵犯的风险和辐射暴露降至最低。此外,我们提出了一种针对位于相邻多器官的同步性肿瘤的治疗策略流程。该策略可应用于各种肿瘤类型,可能使其他复杂病例受益。

https://cdn.ncbi.nlm.nih.gov/pmc/blobs/02da/11911115/bc1fb46066ae/cureus-0017-00000079020-i01.jpg

文献检索

告别复杂PubMed语法,用中文像聊天一样搜索,搜遍4000万医学文献。AI智能推荐,让科研检索更轻松。

立即免费搜索

文件翻译

保留排版,准确专业,支持PDF/Word/PPT等文件格式,支持 12+语言互译。

免费翻译文档

深度研究

AI帮你快速写综述,25分钟生成高质量综述,智能提取关键信息,辅助科研写作。

立即免费体验