• 文献检索
  • 文档翻译
  • 深度研究
  • 学术资讯
  • Suppr Zotero 插件Zotero 插件
  • 邀请有礼
  • 套餐&价格
  • 历史记录
应用&插件
Suppr Zotero 插件Zotero 插件浏览器插件Mac 客户端Windows 客户端微信小程序
定价
高级版会员购买积分包购买API积分包
服务
文献检索文档翻译深度研究API 文档MCP 服务
关于我们
关于 Suppr公司介绍联系我们用户协议隐私条款
关注我们

Suppr 超能文献

核心技术专利:CN118964589B侵权必究
粤ICP备2023148730 号-1Suppr @ 2026

文献检索

告别复杂PubMed语法,用中文像聊天一样搜索,搜遍4000万医学文献。AI智能推荐,让科研检索更轻松。

立即免费搜索

文件翻译

保留排版,准确专业,支持PDF/Word/PPT等文件格式,支持 12+语言互译。

免费翻译文档

深度研究

AI帮你快速写综述,25分钟生成高质量综述,智能提取关键信息,辅助科研写作。

立即免费体验

黑色素增加通过诱导瘢痕疙瘩中的铁过载和铁死亡抗性,引发异常的角质形成细胞-黑素细胞-基底细胞-成纤维细胞通讯和成纤维作用。

Increased melanin induces aberrant keratinocyte - melanocyte - basal - fibroblast cell communication and fibrogenesis by inducing iron overload and ferroptosis resistance in keloids.

作者信息

Shi Xiangguang, Xia Xueyi, Xiao Yang, Zhang Ying, Gong Yiyi, Chen Yahui, Shi Chenyi, Wang Wei, Liu Jianlan, Huang Jia, Liu Mengguo, Xu Zhuoya, Ma Yanyun, Shi Mengkun, Wang Jiucun, Wu Wenyu

机构信息

Department of Dermatology, Huashan Hospital, Fudan University, Shanghai, China.

Department of Dermatology, State Key Laboratory of Molecular Engineering of Polymers, Shanghai Institute of Dermatology, Huashan Hospital, Jing'an District Central Hospital, Fudan University, Shanghai, China.

出版信息

Cell Commun Signal. 2025 Mar 18;23(1):141. doi: 10.1186/s12964-025-02116-z.

DOI:10.1186/s12964-025-02116-z
PMID:40102920
原文链接:https://pmc.ncbi.nlm.nih.gov/articles/PMC11917160/
Abstract

BACKGROUND

Keloid is a typical skin fibrotic disease with unclear mechanisms and limited therapeutic options. Fibroblast-induced fibrogenesis is a crucial cause of KD. However, the types of cells involved in fibroblast fibrogenesis in KD and the specific mechanisms are unclear. This study aimed to investigate the role of melanocyte-secreted melanin in promoting fibroblast fibrogenesis and its mechanism and to evaluate the potential therapeutic effect of intervening melanin in treating keloid.

METHODS

The activity of pigmentation-related pathways in KD melanocytes was examined using single-cell RNA-sequence (scRNA-seq) analysis. Masson-Fontana staining or isolated melanin quantification detected the melanin levels and distribution in the skin and cells. Collagen deposition, wounding healing, and proliferation analysis were employed to integratively assess fibroblast fibrogenesis. After melanin treatment, bulk-seq identified fibroblasts' differentially expressed genes (DEGs). The iron levels were detected by Perl's staining or isolated iron quantification. Cell viability, LipidROS, and malondialdehyde assay accessed the ferroptosis levels. The therapeutic potential of ML329 was evaluated in keloid-bearing mice.

RESULTS

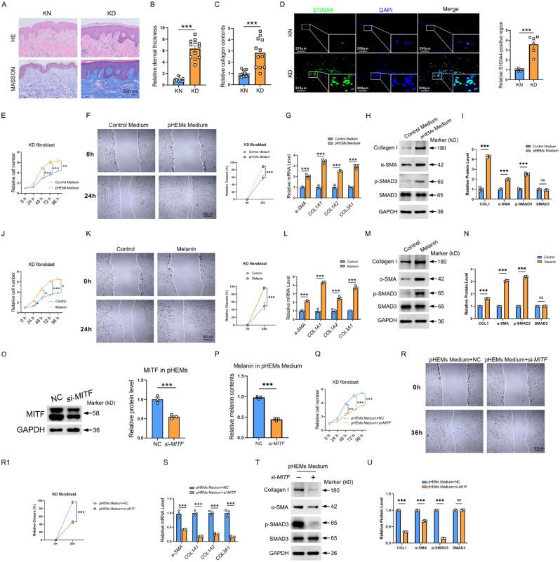
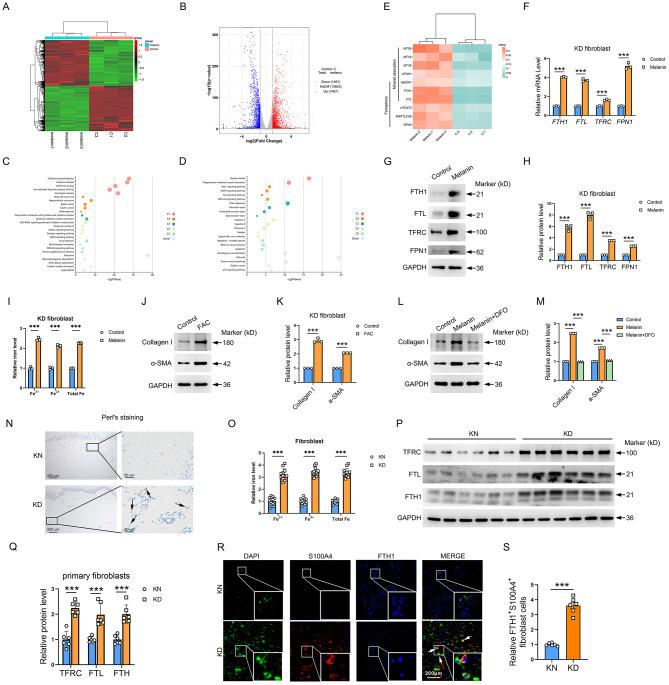
We found the enriched skin pigmentation-related pathways in the melanocytes of keloid by single-cell RNA-sequence (scRNA-seq) analysis. We further validated increased melanin levels in keloid patients. Additionally, melanin positively correlated with the Keloid Area and Severity Index in keloid. Furthermore, melanocyte-secreted melanin significantly promoted fibroblast proliferation, migration, and collagen synthesis. Mechanically, melanin increased basal cell permeability and inflammation to facilitate its transfer to the dermis, where it further activated fibroblasts by evoking iron overload and ferroptosis resistance. Consistently, iron overload and ferroptosis resistance were validated in primary fibroblasts and skin tissues of keloid patients. Inhibition of iron overload and ferroptosis resistance effectively diminish melanin-induced fibrogenesis. Interestingly, melanin induced iron overload and ferroptosis resistance in melanocytes in an autocrine manner and further stimulated keratinocytes to take up melanin to deepen skin color by upregulating the F2R-like trypsin receptor 1 (F2RL1). In vivo, the delivery of ML329, a microphthalmia-associated transcription factor (MITF) inhibitor, could suppress melanogenesis and alleviate keloid in human keloid-bearing nude mice. Meanwhile, ML329 decreased the iron content and restored the sensitivities of ferroptosis.

CONCLUSION

Collectively, melanin-lowing strategies may appear as a potential new therapeutic target for keloid.

摘要

背景

瘢痕疙瘩是一种典型的皮肤纤维化疾病,其发病机制尚不清楚,治疗选择有限。成纤维细胞诱导的纤维化是瘢痕疙瘩的一个关键病因。然而,瘢痕疙瘩中成纤维细胞纤维化过程中涉及的细胞类型及具体机制尚不清楚。本研究旨在探讨黑素细胞分泌的黑色素在促进成纤维细胞纤维化中的作用及其机制,并评估干预黑色素在治疗瘢痕疙瘩中的潜在治疗效果。

方法

使用单细胞RNA测序(scRNA-seq)分析检测瘢痕疙瘩黑素细胞中色素沉着相关信号通路的活性。采用Masson-Fontana染色或分离的黑色素定量检测皮肤和细胞中的黑色素水平及分布。采用胶原沉积、伤口愈合及增殖分析综合评估成纤维细胞纤维化。黑色素处理后,批量测序鉴定成纤维细胞的差异表达基因(DEG)。通过Perl染色或分离的铁定量检测铁水平。通过细胞活力、脂质活性氧和丙二醛测定评估铁死亡水平。在瘢痕疙瘩小鼠中评估ML329的治疗潜力。

结果

通过单细胞RNA测序(scRNA-seq)分析,我们发现瘢痕疙瘩黑素细胞中存在丰富的皮肤色素沉着相关信号通路。我们进一步验证了瘢痕疙瘩患者黑色素水平升高。此外,黑色素与瘢痕疙瘩的瘢痕疙瘩面积和严重程度指数呈正相关。此外,黑素细胞分泌的黑色素显著促进成纤维细胞增殖、迁移和胶原合成。机制上,黑色素增加基底细胞通透性和炎症,以促进其转移至真皮,在真皮中它通过引发铁过载和铁死亡抗性进一步激活成纤维细胞。一致地,在瘢痕疙瘩患者的原代成纤维细胞和皮肤组织中验证了铁过载和铁死亡抗性。抑制铁过载和铁死亡抗性可有效减少黑色素诱导的纤维化。有趣的是,黑色素以自分泌方式诱导黑素细胞中的铁过载和铁死亡抗性,并通过上调F2R样胰蛋白酶受体1(F2RL1)进一步刺激角质形成细胞摄取黑色素以加深肤色。在体内,递送小眼畸形相关转录因子(MITF)抑制剂ML329可抑制黑色素生成并减轻人瘢痕疙瘩裸鼠的瘢痕疙瘩。同时,ML329降低铁含量并恢复铁死亡敏感性。

结论

总体而言,降低黑色素的策略可能成为瘢痕疙瘩潜在的新治疗靶点。

https://cdn.ncbi.nlm.nih.gov/pmc/blobs/8ba0/11917160/b7923810ec6e/12964_2025_2116_Fig7_HTML.jpg
https://cdn.ncbi.nlm.nih.gov/pmc/blobs/8ba0/11917160/591d2673f14c/12964_2025_2116_Fig1_HTML.jpg
https://cdn.ncbi.nlm.nih.gov/pmc/blobs/8ba0/11917160/5f5795943d3a/12964_2025_2116_Fig2_HTML.jpg
https://cdn.ncbi.nlm.nih.gov/pmc/blobs/8ba0/11917160/f586c6a2a796/12964_2025_2116_Fig3_HTML.jpg
https://cdn.ncbi.nlm.nih.gov/pmc/blobs/8ba0/11917160/3e76d161fac4/12964_2025_2116_Fig4_HTML.jpg
https://cdn.ncbi.nlm.nih.gov/pmc/blobs/8ba0/11917160/5739b0ef4276/12964_2025_2116_Fig5_HTML.jpg
https://cdn.ncbi.nlm.nih.gov/pmc/blobs/8ba0/11917160/1803d31ec0ae/12964_2025_2116_Fig6_HTML.jpg
https://cdn.ncbi.nlm.nih.gov/pmc/blobs/8ba0/11917160/b7923810ec6e/12964_2025_2116_Fig7_HTML.jpg
https://cdn.ncbi.nlm.nih.gov/pmc/blobs/8ba0/11917160/591d2673f14c/12964_2025_2116_Fig1_HTML.jpg
https://cdn.ncbi.nlm.nih.gov/pmc/blobs/8ba0/11917160/5f5795943d3a/12964_2025_2116_Fig2_HTML.jpg
https://cdn.ncbi.nlm.nih.gov/pmc/blobs/8ba0/11917160/f586c6a2a796/12964_2025_2116_Fig3_HTML.jpg
https://cdn.ncbi.nlm.nih.gov/pmc/blobs/8ba0/11917160/3e76d161fac4/12964_2025_2116_Fig4_HTML.jpg
https://cdn.ncbi.nlm.nih.gov/pmc/blobs/8ba0/11917160/5739b0ef4276/12964_2025_2116_Fig5_HTML.jpg
https://cdn.ncbi.nlm.nih.gov/pmc/blobs/8ba0/11917160/1803d31ec0ae/12964_2025_2116_Fig6_HTML.jpg
https://cdn.ncbi.nlm.nih.gov/pmc/blobs/8ba0/11917160/b7923810ec6e/12964_2025_2116_Fig7_HTML.jpg

相似文献

1
Increased melanin induces aberrant keratinocyte - melanocyte - basal - fibroblast cell communication and fibrogenesis by inducing iron overload and ferroptosis resistance in keloids.黑色素增加通过诱导瘢痕疙瘩中的铁过载和铁死亡抗性,引发异常的角质形成细胞-黑素细胞-基底细胞-成纤维细胞通讯和成纤维作用。
Cell Commun Signal. 2025 Mar 18;23(1):141. doi: 10.1186/s12964-025-02116-z.
2
BMP1 Promotes Keloid by Inducing Fibroblast Inflammation and Fibrogenesis.BMP1 通过诱导成纤维细胞炎症和纤维化促进瘢痕疙瘩形成。
J Cell Biochem. 2024 Jul;125(7):e30609. doi: 10.1002/jcb.30609. Epub 2024 Jun 11.
3
Ferrostatin-1 inhibits fibroblast fibrosis in keloid by inhibiting ferroptosis.铁抑素-1 通过抑制铁死亡抑制瘢痕疙瘩成纤维细胞纤维化。
PeerJ. 2024 Jun 14;12:e17551. doi: 10.7717/peerj.17551. eCollection 2024.
4
Identification of novel immune-related signatures for keloid diagnosis and treatment: insights from integrated bulk RNA-seq and scRNA-seq analysis.瘢痕疙瘩诊断与治疗新免疫相关特征的鉴定:来自综合批量RNA测序和单细胞RNA测序分析的见解
Hum Genomics. 2024 Jul 16;18(1):80. doi: 10.1186/s40246-024-00647-z.
5
The role of JPX in regulating FUS/SLC7A11 signaling pathway mediated ferroptosis in keloid fibroblasts and its potential in scar repair.JPX在调节瘢痕疙瘩成纤维细胞中FUS/SLC7A11信号通路介导的铁死亡中的作用及其在瘢痕修复中的潜力。
Biochem Biophys Res Commun. 2025 May 12;763:151770. doi: 10.1016/j.bbrc.2025.151770. Epub 2025 Apr 9.
6
Iron-laden macrophage-mediated paracrine profibrotic signaling induces lung fibroblast activation.铁负荷巨噬细胞介导的旁分泌促纤维化信号诱导肺成纤维细胞激活。
Am J Physiol Cell Physiol. 2024 Oct 1;327(4):C979-C993. doi: 10.1152/ajpcell.00675.2023. Epub 2024 Aug 26.
7
Exosomes released by melanocytes modulate fibroblasts to promote keloid formation: a pilot study.黑素细胞分泌的外泌体可调节成纤维细胞促进瘢痕疙瘩形成:一项初步研究。
J Zhejiang Univ Sci B. 2022 Aug 15;23(8):699-704. doi: 10.1631/jzus.B2200036.
8
Increased KGF expression promotes fibroblast activation in a double paracrine manner resulting in cutaneous fibrosis.KGF 表达增加以双重旁分泌方式促进成纤维细胞活化,导致皮肤纤维化。
J Invest Dermatol. 2013 Mar;133(3):647-657. doi: 10.1038/jid.2012.389. Epub 2012 Oct 25.
9
Human adipose mesenchymal stem cell-derived exosomes alleviate fibrosis by restraining ferroptosis in keloids.人脂肪间充质干细胞来源的外泌体通过抑制瘢痕疙瘩中的铁死亡来减轻纤维化。
Front Pharmacol. 2024 Aug 16;15:1431846. doi: 10.3389/fphar.2024.1431846. eCollection 2024.
10
Adiponectin Is Involved in Connective Tissue Growth Factor-Induced Proliferation, Migration and Overproduction of the Extracellular Matrix in Keloid Fibroblasts.脂联素参与瘢痕疙瘩成纤维细胞中结缔组织生长因子诱导的增殖、迁移及细胞外基质过度产生。
Int J Mol Sci. 2017 May 12;18(5):1044. doi: 10.3390/ijms18051044.

引用本文的文献

1
Natural protection against oxidative stress in human skin melanocytes.人类皮肤黑素细胞对氧化应激的天然保护作用。
Commun Biol. 2025 Aug 26;8(1):1283. doi: 10.1038/s42003-025-08725-1.
2
Molecular Insights into Oxidative-Stress-Mediated Cardiomyopathy and Potential Therapeutic Strategies.氧化应激介导的心肌病的分子见解及潜在治疗策略
Biomolecules. 2025 May 6;15(5):670. doi: 10.3390/biom15050670.

本文引用的文献

1
miR-3606-3p alleviates skin fibrosis by integratively suppressing the integrin/FAK, p-AKT/p-ERK, and TGF-β signaling cascades.微小RNA-3606-3p通过综合抑制整合素/黏着斑激酶、磷酸化蛋白激酶B/磷酸化细胞外信号调节激酶以及转化生长因子-β信号级联反应来减轻皮肤纤维化。
J Adv Res. 2024 Nov 20. doi: 10.1016/j.jare.2024.11.027.
2
O-GlcNAcylation of MITF regulates its activity and CDK4/6 inhibitor resistance in breast cancer.MITF 的 O-GlcNAcylation 调节其在乳腺癌中的活性和 CDK4/6 抑制剂耐药性。
Nat Commun. 2024 Jul 3;15(1):5597. doi: 10.1038/s41467-024-49875-w.
3
Ferrostatin-1 inhibits fibroblast fibrosis in keloid by inhibiting ferroptosis.
铁抑素-1 通过抑制铁死亡抑制瘢痕疙瘩成纤维细胞纤维化。
PeerJ. 2024 Jun 14;12:e17551. doi: 10.7717/peerj.17551. eCollection 2024.
4
Nutrient-delivery and metabolism reactivation therapy for melanoma.营养输送和代谢激活疗法治疗黑色素瘤。
Nat Nanotechnol. 2024 Sep;19(9):1399-1408. doi: 10.1038/s41565-024-01690-6. Epub 2024 Jun 11.
5
BMP1 Promotes Keloid by Inducing Fibroblast Inflammation and Fibrogenesis.BMP1 通过诱导成纤维细胞炎症和纤维化促进瘢痕疙瘩形成。
J Cell Biochem. 2024 Jul;125(7):e30609. doi: 10.1002/jcb.30609. Epub 2024 Jun 11.
6
Upregulation of GPX4 drives ferroptosis resistance in scleroderma skin fibroblasts.GPX4 的上调驱动硬皮病成纤维细胞对铁死亡的抗性。
Free Radic Biol Med. 2024 Aug 20;221:23-30. doi: 10.1016/j.freeradbiomed.2024.05.013. Epub 2024 May 11.
7
Ferritin heavy chain supports stability and function of the regulatory T cell lineage.铁蛋白重链支持调节性 T 细胞谱系的稳定性和功能。
EMBO J. 2024 Apr;43(8):1445-1483. doi: 10.1038/s44318-024-00064-x. Epub 2024 Mar 18.
8
Emerging roles of MITF as a crucial regulator of immunity.MITF 作为免疫关键调节因子的新作用。
Exp Mol Med. 2024 Feb;56(2):311-318. doi: 10.1038/s12276-024-01175-5. Epub 2024 Feb 13.
9
Iron Metabolism of the Skin: Recycling versus Release.皮肤的铁代谢:再循环与释放
Metabolites. 2023 Sep 12;13(9):1005. doi: 10.3390/metabo13091005.
10
Uterine leiomyomata and keloids fibrosis origins: a mini-review of fibroproliferative diseases.子宫肌瘤和瘢痕疙瘩纤维化的起源:纤维增殖性疾病的小型综述。
Am J Physiol Cell Physiol. 2023 Oct 1;325(4):C817-C822. doi: 10.1152/ajpcell.00181.2023. Epub 2023 Aug 29.