• 文献检索
  • 文档翻译
  • 深度研究
  • 学术资讯
  • Suppr Zotero 插件Zotero 插件
  • 邀请有礼
  • 套餐&价格
  • 历史记录
应用&插件
Suppr Zotero 插件Zotero 插件浏览器插件Mac 客户端Windows 客户端微信小程序
定价
高级版会员购买积分包购买API积分包
服务
文献检索文档翻译深度研究API 文档MCP 服务
关于我们
关于 Suppr公司介绍联系我们用户协议隐私条款
关注我们

Suppr 超能文献

核心技术专利:CN118964589B侵权必究
粤ICP备2023148730 号-1Suppr @ 2026

文献检索

告别复杂PubMed语法,用中文像聊天一样搜索,搜遍4000万医学文献。AI智能推荐,让科研检索更轻松。

立即免费搜索

文件翻译

保留排版,准确专业,支持PDF/Word/PPT等文件格式,支持 12+语言互译。

免费翻译文档

深度研究

AI帮你快速写综述,25分钟生成高质量综述,智能提取关键信息,辅助科研写作。

立即免费体验

细胞表面硫酸乙酰肝素是草鱼呼肠孤病毒的附着受体。

Cell surface heparan sulfate is an attachment receptor for grass carp reovirus.

作者信息

Wang Qian, Wang Hanyue, Wang Xuyang, Yang Cheng, Li Yongming, Liao Lanjie, Zhu Zuoyan, Wang Yaping, He Libo

机构信息

State Key Laboratory of Breeding Biotechnology and Sustainable Aquaculture, Institute of Hydrobiology, Chinese Academy of Sciences, Wuhan 430072, China.

University of Chinese Academy of Sciences, Beijing 100049, China.

出版信息

iScience. 2025 Feb 15;28(3):112033. doi: 10.1016/j.isci.2025.112033. eCollection 2025 Mar 21.

DOI:10.1016/j.isci.2025.112033
PMID:40104073
原文链接:https://pmc.ncbi.nlm.nih.gov/articles/PMC11914516/
Abstract

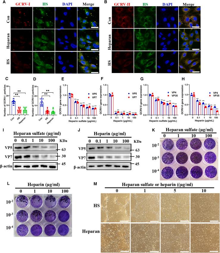
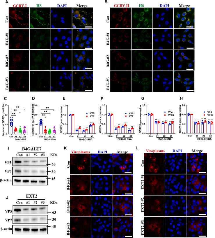
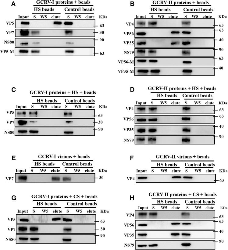
Grass carp reovirus (GCRV) causes hemorrhagic disease in grass carp, leading to significant economic losses in China's aquaculture. However, the cellular receptors responsible for the initiation of GCRV infection remain unclear. This study reveals that cell surface heparan sulfate (HS) acts as a crucial attachment receptor for GCRV. Removing HS with heparinase significantly reduces GCRV attachment and infection. Both HS and its homologue, heparin, inhibit the attachment of GCRV to cells. Altering HS levels in cells affects GCRV attachment and infection accordingly. GCRV outer capsid proteins VP5, VP56, and VP35, as well as purified GCRV virions, directly bind to HS. Pretreating GCRV with heparin or feeding grass carp with feed containing heparin significantly reduces mortality caused by GCRV infection. Collectively, these results highlight the crucial role of HS as an attachment receptor for GCRV and therefore provide a promising target for the prevention and control of this virus.

摘要

草鱼呼肠孤病毒(GCRV)可引发草鱼出血性疾病,给中国水产养殖业造成重大经济损失。然而,负责启动GCRV感染的细胞受体仍不清楚。本研究表明,细胞表面硫酸乙酰肝素(HS)是GCRV的关键附着受体。用肝素酶去除HS可显著降低GCRV的附着和感染。HS及其同系物肝素均可抑制GCRV与细胞的附着。改变细胞内HS水平会相应地影响GCRV的附着和感染。GCRV外 capsid蛋白VP5、VP56和VP35以及纯化的GCRV病毒粒子可直接与HS结合。用肝素预处理GCRV或用含肝素的饲料喂养草鱼可显著降低GCRV感染导致的死亡率。综上所述,这些结果突出了HS作为GCRV附着受体的关键作用,因此为该病毒的防控提供了一个有前景的靶点。

https://cdn.ncbi.nlm.nih.gov/pmc/blobs/5811/11914516/91869fd9c249/gr7.jpg
https://cdn.ncbi.nlm.nih.gov/pmc/blobs/5811/11914516/1c470d016430/fx1.jpg
https://cdn.ncbi.nlm.nih.gov/pmc/blobs/5811/11914516/6afbd9a13095/gr1.jpg
https://cdn.ncbi.nlm.nih.gov/pmc/blobs/5811/11914516/2fb302c5b094/gr2.jpg
https://cdn.ncbi.nlm.nih.gov/pmc/blobs/5811/11914516/14bbf0432cf2/gr3.jpg
https://cdn.ncbi.nlm.nih.gov/pmc/blobs/5811/11914516/3d910102b129/gr4.jpg
https://cdn.ncbi.nlm.nih.gov/pmc/blobs/5811/11914516/e20210f5584b/gr5.jpg
https://cdn.ncbi.nlm.nih.gov/pmc/blobs/5811/11914516/c9441afb9745/gr6.jpg
https://cdn.ncbi.nlm.nih.gov/pmc/blobs/5811/11914516/91869fd9c249/gr7.jpg
https://cdn.ncbi.nlm.nih.gov/pmc/blobs/5811/11914516/1c470d016430/fx1.jpg
https://cdn.ncbi.nlm.nih.gov/pmc/blobs/5811/11914516/6afbd9a13095/gr1.jpg
https://cdn.ncbi.nlm.nih.gov/pmc/blobs/5811/11914516/2fb302c5b094/gr2.jpg
https://cdn.ncbi.nlm.nih.gov/pmc/blobs/5811/11914516/14bbf0432cf2/gr3.jpg
https://cdn.ncbi.nlm.nih.gov/pmc/blobs/5811/11914516/3d910102b129/gr4.jpg
https://cdn.ncbi.nlm.nih.gov/pmc/blobs/5811/11914516/e20210f5584b/gr5.jpg
https://cdn.ncbi.nlm.nih.gov/pmc/blobs/5811/11914516/c9441afb9745/gr6.jpg
https://cdn.ncbi.nlm.nih.gov/pmc/blobs/5811/11914516/91869fd9c249/gr7.jpg

相似文献

1
Cell surface heparan sulfate is an attachment receptor for grass carp reovirus.细胞表面硫酸乙酰肝素是草鱼呼肠孤病毒的附着受体。
iScience. 2025 Feb 15;28(3):112033. doi: 10.1016/j.isci.2025.112033. eCollection 2025 Mar 21.
2
Grass Carp Reovirus VP56 Allies VP4, Recruits, Blocks, and Degrades RIG-I to More Effectively Attenuate IFN Responses and Facilitate Viral Evasion.草鱼呼肠孤病毒 VP56 与 VP4 结盟,招募、阻断和降解 RIG-I,从而更有效地抑制 IFN 反应并促进病毒逃逸。
Microbiol Spectr. 2021 Oct 31;9(2):e0100021. doi: 10.1128/Spectrum.01000-21. Epub 2021 Sep 15.
3
Hsp90 Regulates GCRV-II Proliferation by Interacting with VP35 as Its Receptor and Chaperone.热休克蛋白 90 通过与其受体和伴侣 VP35 相互作用来调节 GCRV-II 的增殖。
J Virol. 2022 Oct 12;96(19):e0117522. doi: 10.1128/jvi.01175-22. Epub 2022 Sep 14.
4
An Oral Microencapsulated Vaccine Loaded by Sodium Alginate Effectively Enhances Protection Against GCRV Infection in Grass Carp ().口服微囊化疫苗负载海藻酸钠可有效增强草鱼对 GCRV 感染的保护作用。
Front Immunol. 2022 Mar 24;13:848958. doi: 10.3389/fimmu.2022.848958. eCollection 2022.
5
Laminin receptor is an interacting partner for viral outer capsid protein VP5 in grass carp reovirus infection.层粘连蛋白受体是草鱼呼肠孤病毒感染中病毒外衣壳蛋白VP5的相互作用伴侣。
Virology. 2016 Mar;490:59-68. doi: 10.1016/j.virol.2016.01.011. Epub 2016 Feb 2.
6
A Novel Subunit Vaccine Based on Outer Capsid Proteins of Grass Carp Reovirus (GCRV) Provides Protective Immunity against GCRV Infection in Rare Minnow ().一种基于草鱼呼肠孤病毒(GCRV)外衣壳蛋白的新型亚单位疫苗对稀有鮈鲫GCRV感染提供保护性免疫。
Pathogens. 2020 Nov 13;9(11):945. doi: 10.3390/pathogens9110945.
7
Oral Vaccination of Grass Carp () with Baculovirus-Expressed Grass Carp Reovirus (GCRV) Proteins Induces Protective Immunity against GCRV Infection.用杆状病毒表达的草鱼呼肠孤病毒(GCRV)蛋白对草鱼进行口服疫苗接种可诱导对GCRV感染的保护性免疫。
Vaccines (Basel). 2021 Jan 12;9(1):41. doi: 10.3390/vaccines9010041.
8
Novel subunit vaccine based on grass carp reovirus VP35 protein provides protective immunity against grass carp hemorrhagic disease.新型草鱼呼肠孤病毒 VP35 亚单位疫苗为草鱼出血病提供保护免疫。
Fish Shellfish Immunol. 2018 Apr;75:91-98. doi: 10.1016/j.fsi.2018.01.050. Epub 2018 Feb 3.
9
Oral Administration of Subunit Vaccine Significantly Enhances the Immune Protection of Grass Carp against GCRV-II Infection.口服亚单位疫苗显著增强了草鱼对 GCRV-II 感染的免疫保护。
Viruses. 2021 Dec 24;14(1):30. doi: 10.3390/v14010030.
10
A developed subunit vaccine based on fiber protein VP56 of grass carp reovirus providing immune protection against grass carp hemorrhagic disease.基于草鱼出血病病毒纤维蛋白 VP56 研制的亚单位疫苗对草鱼出血病提供免疫保护。
Fish Shellfish Immunol. 2019 Jul;90:12-19. doi: 10.1016/j.fsi.2019.04.055. Epub 2019 Apr 20.

引用本文的文献

1
Sialic acid serves as a functional receptor for grass carp reovirus.唾液酸作为草鱼呼肠孤病毒的功能性受体。
PLoS Pathog. 2025 Sep 5;21(9):e1013481. doi: 10.1371/journal.ppat.1013481. eCollection 2025 Sep.

本文引用的文献

1
NRP1 is a receptor for mammalian orthoreovirus engaged by distinct capsid subunits.NRP1 是一种哺乳动物正呼肠孤病毒的受体,由不同的衣壳亚基结合。
Cell Host Microbe. 2024 Jun 12;32(6):980-995.e9. doi: 10.1016/j.chom.2024.04.014. Epub 2024 May 9.
2
Cellular receptors for mammalian viruses.哺乳动物病毒的细胞受体。
PLoS Pathog. 2024 Feb 20;20(2):e1012021. doi: 10.1371/journal.ppat.1012021. eCollection 2024 Feb.
3
VP4/VP56/VP35 Virus-like Particles Effectively Protect Grass Carp () against GCRV-II Infection.VP4/VP56/VP35病毒样颗粒有效保护草鱼抵抗GCRV-II感染。
Vaccines (Basel). 2023 Aug 16;11(8):1373. doi: 10.3390/vaccines11081373.
4
NgR1 binding to reovirus reveals an unusual bivalent interaction and a new viral attachment protein.NgR1 与呼肠孤病毒结合揭示了一种不寻常的二价相互作用和一种新的病毒附着蛋白。
Proc Natl Acad Sci U S A. 2023 Jun 13;120(24):e2219404120. doi: 10.1073/pnas.2219404120. Epub 2023 Jun 5.
5
An Aquareovirus Exploits Membrane-Anchored HSP70 To Promote Viral Entry.一种水生病毒利用膜锚定 HSP70 促进病毒进入。
Microbiol Spectr. 2023 Jun 15;11(3):e0405522. doi: 10.1128/spectrum.04055-22. Epub 2023 May 9.
6
Paired immunoglobulin-like receptor B is an entry receptor for mammalian orthoreovirus.配对免疫球蛋白样受体 B 是哺乳动物正呼肠孤病毒的进入受体。
Nat Commun. 2023 May 5;14(1):2615. doi: 10.1038/s41467-023-38327-6.
7
Pteropine orthoreoviruses use cell surface heparan sulphate as an attachment receptor.食虫蝙蝠正呼肠孤病毒利用细胞表面的肝素硫酸盐作为附着受体。
Emerg Microbes Infect. 2023 Dec;12(1):2208683. doi: 10.1080/22221751.2023.2208683.
8
Grass Carp Reovirus Induces Formation of Lipid Droplets as Sites for Its Replication and Assembly.草鱼呼肠孤病毒诱导形成脂滴作为其复制和组装的场所。
mBio. 2022 Dec 20;13(6):e0229722. doi: 10.1128/mbio.02297-22. Epub 2022 Nov 29.
9
ICTV Virus Taxonomy Profile: 2022.ICTV 病毒分类学简介:2022 年。
J Gen Virol. 2022 Nov;103(11). doi: 10.1099/jgv.0.001781.
10
Inhalation of Low Molecular Weight Heparins as Prophylaxis against SARS-CoV-2.吸入低分子量肝素作为预防 SARS-CoV-2 的措施。
mBio. 2022 Dec 20;13(6):e0255822. doi: 10.1128/mbio.02558-22. Epub 2022 Nov 3.