Suppr超能文献

原发性卵巢神经内分泌肿瘤合并巨大上皮性卵巢交界性肿瘤,并存非恶性胸腔积液和多发性子宫肌瘤:一例报告并文献复习

Primary ovarian neuroendocrine neoplasia with concurrent large epithelial borderline ovarian tumor, coexistent with non-malignant pleural effusion and multiple uterine fibroids: a case report and review of the literature.

作者信息

Mohsin Mariam, Dube Rajani, Hamza Dina, Ali Mavra, Garg Heena

机构信息

Department of Obstetrics and Gynecology, Dubai Health Authority, Dubai, United Arab Emirates.

Department of Obstetrics and Gynecology, RAK Medical and Health Sciences University, RAK Medical & Health Science University, Ras Al Khaimah, United Arab Emirates.

出版信息

J Med Case Rep. 2025 Mar 19;19(1):125. doi: 10.1186/s13256-025-05170-w.

Abstract

BACKGROUND

Neuroendocrine neoplasms are a group of neoplasms often originating from the neuroendocrine cells in the gastrointestinal tract, pancreas, and respiratory tract. Neuroendocrine neoplasms rarely occur in female reproductive organs and less than a hundred cases of ovarian high-grade lesions have been reported in the literature so far. Fewer still are cases reported in the literature associated with a borderline epithelial tumor in the same ovary. Owing to the rarity of the condition, there is a lack of specific guidelines for staging, and optimal management of these tumors.

CASE PRESENTATION

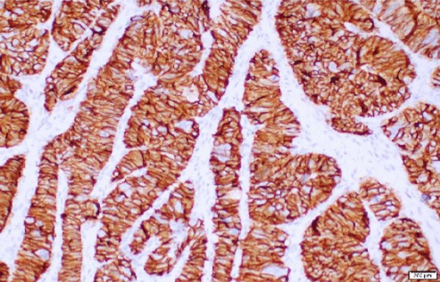
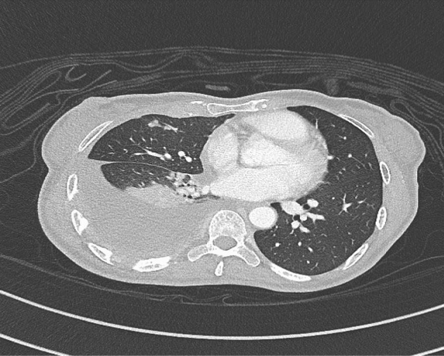
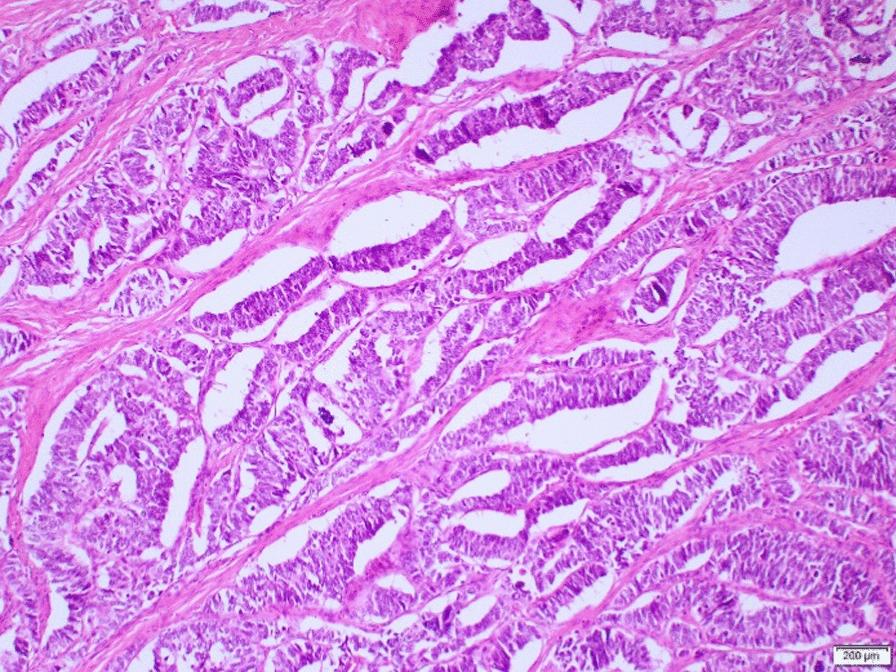
We are reporting a case of primary ovarian neuroendocrine neoplasm in association with an epithelial borderline tumor. She is a 50-year-old Filipino woman who presented with nonspecific symptoms. Initial imaging revealed a large mass with suspicion of widespread metastasis. However, further imaging and laparotomy revealed early-stage neuroendocrine neoplasm, a large borderline epithelial tumor, with no evidence of pulmonary metastasis, despite having pleural effusion. She was lost to follow-up, presented again after a year with evidence of residual disease/metastasis, and was treated with chemotherapy.

DISCUSSION AND CONCLUSION

The case posed significant difficulty owing to a lack of typical symptoms at presentation, nonmalignant changes in lungs in imaging, and therapeutic challenges due to the noncompliance of the patient. This report highlights the importance of considering the combination of borderline tumors of the ovary with neuroendocrine carcinoma as a possible differential diagnosis in ovarian tumors, the use of imaging and specific bio-markers for early identification, timely treatment, and follow-ups.

摘要

背景

神经内分泌肿瘤是一组通常起源于胃肠道、胰腺和呼吸道神经内分泌细胞的肿瘤。神经内分泌肿瘤很少发生于女性生殖器官,迄今为止,文献报道的卵巢高级别病变病例不足100例。文献报道中,与同一卵巢中的交界性上皮性肿瘤相关的病例更少。由于这种情况罕见,缺乏针对这些肿瘤分期和最佳治疗的具体指南。

病例介绍

我们报告一例原发性卵巢神经内分泌肿瘤合并上皮性交界性肿瘤的病例。患者为一名50岁的菲律宾女性,出现非特异性症状。初始影像学检查发现一个大肿块,怀疑有广泛转移。然而,进一步的影像学检查和剖腹手术显示为早期神经内分泌肿瘤,一个大的交界性上皮性肿瘤,尽管有胸腔积液,但无肺转移证据。她失访了,一年后再次就诊,有残留疾病/转移的证据,并接受了化疗。

讨论与结论

该病例因就诊时缺乏典型症状、影像学检查肺部无恶性改变以及患者不配合导致治疗困难。本报告强调了将卵巢交界性肿瘤与神经内分泌癌合并考虑作为卵巢肿瘤可能的鉴别诊断、利用影像学和特定生物标志物进行早期识别、及时治疗和随访的重要性。

https://cdn.ncbi.nlm.nih.gov/pmc/blobs/4928/11921653/c5b81a9f4f79/13256_2025_5170_Fig1_HTML.jpg

文献检索

告别复杂PubMed语法,用中文像聊天一样搜索,搜遍4000万医学文献。AI智能推荐,让科研检索更轻松。

立即免费搜索

文件翻译

保留排版,准确专业,支持PDF/Word/PPT等文件格式,支持 12+语言互译。

免费翻译文档

深度研究

AI帮你快速写综述,25分钟生成高质量综述,智能提取关键信息,辅助科研写作。

立即免费体验