• 文献检索
  • 文档翻译
  • 深度研究
  • 学术资讯
  • Suppr Zotero 插件Zotero 插件
  • 邀请有礼
  • 套餐&价格
  • 历史记录
应用&插件
Suppr Zotero 插件Zotero 插件浏览器插件Mac 客户端Windows 客户端微信小程序
定价
高级版会员购买积分包购买API积分包
服务
文献检索文档翻译深度研究API 文档MCP 服务
关于我们
关于 Suppr公司介绍联系我们用户协议隐私条款
关注我们

Suppr 超能文献

核心技术专利:CN118964589B侵权必究
粤ICP备2023148730 号-1Suppr @ 2026

文献检索

告别复杂PubMed语法,用中文像聊天一样搜索,搜遍4000万医学文献。AI智能推荐,让科研检索更轻松。

立即免费搜索

文件翻译

保留排版,准确专业,支持PDF/Word/PPT等文件格式,支持 12+语言互译。

免费翻译文档

深度研究

AI帮你快速写综述,25分钟生成高质量综述,智能提取关键信息,辅助科研写作。

立即免费体验

乳腺癌患者中与CDK4/6抑制剂相关的间质性肺疾病的发病率及临床特征:一项回顾性多中心研究

The Incidence and Clinical Characteristics of Interstitial Lung Disease Associated with CDK4/6 Inhibitors in Breast Cancer Patients: A Retrospective Multicenter Study.

作者信息

İlhan Nurullah, Doğan Akif, Erölmez Hande Nur, Atalah Fatih, Baş Süleyman, Yasar Servan, Odabaş Hatice, Gümüş Mahmut

机构信息

Department of Medical Oncology, Health Science University, Sancaktepe, Şehit Prof Dr. İlhan Varank Training Research Hospital, Istanbul 34785, Turkey.

Department of Family Medicine, Health Science University, Sancaktepe, Şehit Prof Dr. İlhan Varank Training Research Hospital, Istanbul 34785, Turkey.

出版信息

Medicina (Kaunas). 2025 Mar 20;61(3):549. doi: 10.3390/medicina61030549.

DOI:10.3390/medicina61030549
PMID:40142360
原文链接:https://pmc.ncbi.nlm.nih.gov/articles/PMC11944207/
Abstract

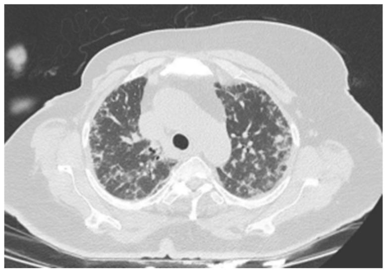
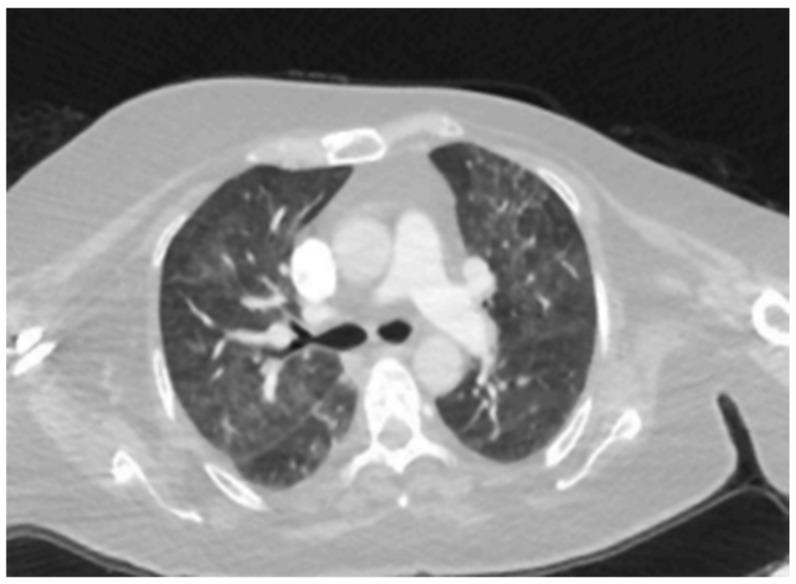
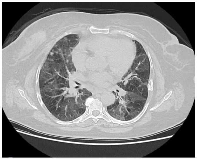
CDK4/6 inhibitors (CDK4/6i) have revolutionized the treatment of hormone receptor-positive HER2 negative (HR(+)/HER2(-)) breast cancer. Despite their efficacy, interstitial lung disease (ILD) remains a rare but potentially fatal adverse effect. This study aims to evaluate the incidence and clinical characteristics of ILD associated with CDK4/6 inhibitors in breast cancer patients in Turkey. : A retrospective multicenter analysis included 464 breast cancer patients treated with CDK4/6 inhibitors between January 2017 and April 2024. Patients receiving ribociclib or palbociclib were evaluated for the development of ILD. Radiological assessments were performed to confirm ILD and exclude other conditions. Clinical characteristics, treatment regimens, and outcomes were analyzed. : ILD was identified in 10 patients (2.1%). The average age of the affected patients was 62.5 ± 9.85 years. Hypersensitivity pneumonitis and nonspecific interstitial pneumonia (NSIP) were the most common radiological patterns. Palbociclib was implicated in six cases, while ribociclib was associated with four cases. Grade 3 pulmonary toxicity was observed in eight patients, and Grade 4 toxicity in two patients. One patient who was on palbociclib died due to ILD. No significant correlation was found between ILD and age, smoking status, lung metastases, or prior thoracic radiotherapy. : The incidence of CDK4/6 inhibitor-associated ILD in Turkish breast cancer patients appears higher than previously reported in clinical trials. More robust, long-term studies are necessary to identify potential risk factors and mitigate ILD-related mortality.

摘要

细胞周期蛋白依赖性激酶4/6抑制剂(CDK4/6i)彻底改变了激素受体阳性、人表皮生长因子受体2阴性(HR(+)/HER2(-))乳腺癌的治疗方式。尽管其疗效显著,但间质性肺疾病(ILD)仍然是一种罕见但可能致命的不良反应。本研究旨在评估土耳其乳腺癌患者中与CDK4/6抑制剂相关的ILD的发生率和临床特征。:一项回顾性多中心分析纳入了2017年1月至2024年4月期间接受CDK4/6抑制剂治疗的464例乳腺癌患者。对接受瑞博西尼或哌柏西利治疗的患者进行ILD发生情况评估。进行影像学评估以确诊ILD并排除其他疾病。分析临床特征、治疗方案和结局。:10例患者(2.1%)被确诊为ILD。受影响患者的平均年龄为62.5±9.85岁。过敏性肺炎和非特异性间质性肺炎(NSIP)是最常见的影像学表现。哌柏西利涉及6例,而瑞博西尼与4例相关。8例患者出现3级肺部毒性,2例患者出现4级毒性。1例接受哌柏西利治疗的患者因ILD死亡。未发现ILD与年龄、吸烟状况、肺转移或既往胸部放疗之间存在显著相关性。:土耳其乳腺癌患者中与CDK4/6抑制剂相关的ILD发生率似乎高于先前临床试验报告的发生率。需要更有力的长期研究来确定潜在风险因素并降低与ILD相关的死亡率。

https://cdn.ncbi.nlm.nih.gov/pmc/blobs/012e/11944207/60c4b39fe931/medicina-61-00549-g005.jpg
https://cdn.ncbi.nlm.nih.gov/pmc/blobs/012e/11944207/46ec91845f00/medicina-61-00549-g001.jpg
https://cdn.ncbi.nlm.nih.gov/pmc/blobs/012e/11944207/5eea78ea8a4c/medicina-61-00549-g002.jpg
https://cdn.ncbi.nlm.nih.gov/pmc/blobs/012e/11944207/a58888f7c0fd/medicina-61-00549-g003.jpg
https://cdn.ncbi.nlm.nih.gov/pmc/blobs/012e/11944207/8606c707dbdf/medicina-61-00549-g004.jpg
https://cdn.ncbi.nlm.nih.gov/pmc/blobs/012e/11944207/60c4b39fe931/medicina-61-00549-g005.jpg
https://cdn.ncbi.nlm.nih.gov/pmc/blobs/012e/11944207/46ec91845f00/medicina-61-00549-g001.jpg
https://cdn.ncbi.nlm.nih.gov/pmc/blobs/012e/11944207/5eea78ea8a4c/medicina-61-00549-g002.jpg
https://cdn.ncbi.nlm.nih.gov/pmc/blobs/012e/11944207/a58888f7c0fd/medicina-61-00549-g003.jpg
https://cdn.ncbi.nlm.nih.gov/pmc/blobs/012e/11944207/8606c707dbdf/medicina-61-00549-g004.jpg
https://cdn.ncbi.nlm.nih.gov/pmc/blobs/012e/11944207/60c4b39fe931/medicina-61-00549-g005.jpg

相似文献

1
The Incidence and Clinical Characteristics of Interstitial Lung Disease Associated with CDK4/6 Inhibitors in Breast Cancer Patients: A Retrospective Multicenter Study.乳腺癌患者中与CDK4/6抑制剂相关的间质性肺疾病的发病率及临床特征:一项回顾性多中心研究
Medicina (Kaunas). 2025 Mar 20;61(3):549. doi: 10.3390/medicina61030549.
2
Clinical benefit and safety profile of cross-line therapy with CDK4/6 inhibitors: a retrospective study of HR+/HER2- advanced breast cancer.CDK4/6 抑制剂跨线治疗的临床获益和安全性特征:HR+/HER2- 晚期乳腺癌的回顾性研究。
Cancer Biol Med. 2024 Sep 11;21(10):934-50. doi: 10.20892/j.issn.2095-3941.2024.0204.
3
Comparative overall survival of CDK4/6 inhibitors plus an aromatase inhibitor in HR+/HER2- metastatic breast cancer in the US real-world setting.美国真实世界中CDK4/6抑制剂联合芳香化酶抑制剂用于HR+/HER2-转移性乳腺癌的总生存比较
ESMO Open. 2025 Jan;10(1):104103. doi: 10.1016/j.esmoop.2024.104103. Epub 2025 Jan 3.
4
Activity of CDK4/6 inhibitors and parameters affecting survival in elderly patients in age-subgroups: Turkish Oncology Group (TOG) retrospective study.CDK4/6抑制剂活性及影响老年亚组患者生存的参数:土耳其肿瘤学组(TOG)回顾性研究
BMC Cancer. 2024 Dec 30;24(1):1592. doi: 10.1186/s12885-024-13357-5.
5
Real-World Experience with CDK4/6 Inhibitors in the First-Line Palliative Setting for HR+/HER2- Advanced Breast Cancer.CDK4/6抑制剂用于HR+/HER2-晚期乳腺癌一线姑息治疗的真实世界经验
Curr Oncol. 2025 Jan 20;32(1):52. doi: 10.3390/curroncol32010052.
6
Safety and quality of life of CDK4/6 inhibitors therapy for hormone receptor-positive, human epidermal growth factor receptor 2-negative advanced breast cancer: a multicenter cross-sectional survey in China.CDK4/6抑制剂治疗激素受体阳性、人表皮生长因子受体2阴性晚期乳腺癌的安全性及生活质量:一项中国多中心横断面调查
BMC Cancer. 2025 May 27;25(1):951. doi: 10.1186/s12885-025-14223-8.
7
Advancing treatment choices: CDK4/6 inhibitor switching in HR+/HER2- metastatic breast cancer.推进治疗选择:HR+/HER2-转移性乳腺癌中的CDK4/6抑制剂转换
Breast. 2025 Feb;79:103875. doi: 10.1016/j.breast.2025.103875. Epub 2025 Jan 10.
8
Comparative analysis of adverse events associated with CDK4/6 inhibitors based on FDA's adverse event reporting system: a case control pharmacovigilance study.基于 FDA 的不良事件报告系统的 CDK4/6 抑制剂相关不良事件的对比分析:一项病例对照药物警戒研究。
BMC Pharmacol Toxicol. 2024 Aug 9;25(1):47. doi: 10.1186/s40360-024-00770-6.
9
Real-world experience with CDK4/6 inhibitors in hormone receptor-positive metastatic and recurrent breast cancer: findings from an Asian population.亚洲人群中激素受体阳性转移性和复发性乳腺癌中 CDK4/6 抑制剂的真实世界经验:来自亚洲人群的研究结果。
Clin Exp Med. 2024 Aug 12;24(1):185. doi: 10.1007/s10238-024-01458-1.
10
QTc prolongation across CDK4/6 inhibitors: a systematic review and meta-analysis of randomized controlled trials.CDK4/6 抑制剂致 QTc 延长:一项随机对照试验的系统评价和荟萃分析。
JNCI Cancer Spectr. 2024 Sep 2;8(5). doi: 10.1093/jncics/pkae078.

本文引用的文献

1
Cyclin-dependent kinase 4 and 6 inhibitors (CDK4/6i): Mechanisms of resistance and where to find them.细胞周期蛋白依赖性激酶4和6抑制剂(CDK4/6i):耐药机制及发现途径
Breast. 2025 Feb;79:103863. doi: 10.1016/j.breast.2024.103863. Epub 2024 Dec 16.
2
Updates in Drug-Related Pneumonitis Due to Targeted Oncologic Therapies.靶向肿瘤治疗所致药物相关性肺炎的进展
J Immunother Precis Oncol. 2024 Nov 1;7(4):272-282. doi: 10.36401/JIPO-24-12. eCollection 2024 Nov.
3
Smoking-related interstitial lung disease: A narrative review.与吸烟相关的间质性肺疾病:一篇叙述性综述。
Chron Respir Dis. 2024 Jan-Dec;21:14799731241291538. doi: 10.1177/14799731241291538.
4
Cancer therapy-related interstitial lung disease.癌症治疗相关的间质性肺疾病。
Chin Med J (Engl). 2025 Feb 5;138(3):264-277. doi: 10.1097/CM9.0000000000003149. Epub 2024 Oct 11.
5
CDK4/6 inhibitors in the treatment of metastatic breast cancer: Focus on toxicity and safety.CDK4/6 抑制剂在转移性乳腺癌治疗中的应用:关注毒性和安全性。
Semin Oncol. 2023 Dec;50(6):131-139. doi: 10.1053/j.seminoncol.2024.01.002. Epub 2024 Jan 13.
6
Incidence of interstitial lung disease in patients with breast cancer: a nationwide database study in Japan.日本全国数据库研究:乳腺癌患者间质性肺病的发病率。
Future Oncol. 2024 Apr;20(11):679-690. doi: 10.2217/fon-2023-0666. Epub 2023 Dec 22.
7
The CDK4/6 inhibitor revolution - a game-changing era for breast cancer treatment.CDK4/6 抑制剂革命——乳腺癌治疗的变革时代。
Nat Rev Clin Oncol. 2024 Feb;21(2):89-105. doi: 10.1038/s41571-023-00840-4. Epub 2023 Dec 11.
8
CDK4/6 inhibitors in metastatic breast cancer, a comparison of toxicity and efficacy across agents in a real-world dataset.转移性乳腺癌中的 CDK4/6 抑制剂:真实世界数据集中介导药物的毒性与疗效比较。
J Oncol Pharm Pract. 2023 Dec;29(8):1825-1835. doi: 10.1177/10781552231163121. Epub 2023 Mar 22.
9
Cancer statistics, 2023.癌症统计数据,2023 年。
CA Cancer J Clin. 2023 Jan;73(1):17-48. doi: 10.3322/caac.21763.
10
CDK4/6 initiates Rb inactivation and CDK2 activity coordinates cell-cycle commitment and G1/S transition.CDK4/6 引发 Rb 失活,而 CDK2 的活性则协调细胞周期的启动和 G1/S 期的转化。
Sci Rep. 2022 Oct 7;12(1):16810. doi: 10.1038/s41598-022-20769-5.