Suppr超能文献

Juxtapapillary congenital hypertrophy of the retinal pigment epithelium: A report of two cases.

作者信息

Alshalan Hanan A, Alsalamah Abrar K, Nowilaty Sawsan R

机构信息

Vitreoretinal Division, King Khaled Eye Specialist Hospital, Riyadh, Saudi Arabia.

出版信息

Saudi J Ophthalmol. 2024 Aug 20;39(1):100-103. doi: 10.4103/sjopt.sjopt_285_23. eCollection 2025 Jan-Mar.

Abstract

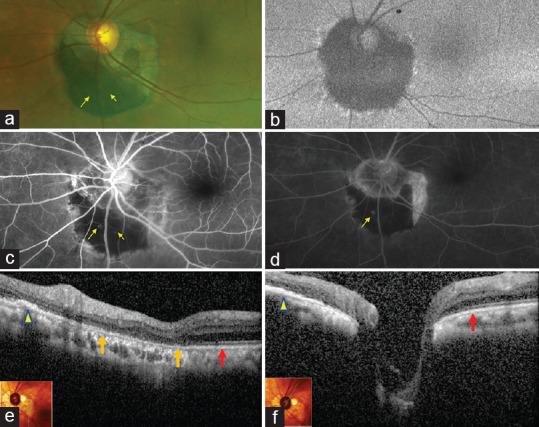
Congenital hypertrophy of the retinal pigment epithelium (CHRPE) occurring in the juxtapapillary location is extremely rare. In this report, we describe two cases of juxtapapillary CHRPEs discovered incidentally in two patients and highlight their clinical and multimodal retinal imaging features that helped establish the diagnosis and differentiate the lesions from other juxtapapillary solitary pigmented lesions.

摘要
https://cdn.ncbi.nlm.nih.gov/pmc/blobs/6087/11964350/cefeab33b7d6/SJO-39-100-g001.jpg

文献检索

告别复杂PubMed语法,用中文像聊天一样搜索,搜遍4000万医学文献。AI智能推荐,让科研检索更轻松。

立即免费搜索

文件翻译

保留排版,准确专业,支持PDF/Word/PPT等文件格式,支持 12+语言互译。

免费翻译文档

深度研究

AI帮你快速写综述,25分钟生成高质量综述,智能提取关键信息,辅助科研写作。

立即免费体验