• 文献检索
  • 文档翻译
  • 深度研究
  • 学术资讯
  • Suppr Zotero 插件Zotero 插件
  • 邀请有礼
  • 套餐&价格
  • 历史记录
应用&插件
Suppr Zotero 插件Zotero 插件浏览器插件Mac 客户端Windows 客户端微信小程序
定价
高级版会员购买积分包购买API积分包
服务
文献检索文档翻译深度研究API 文档MCP 服务
关于我们
关于 Suppr公司介绍联系我们用户协议隐私条款
关注我们

Suppr 超能文献

核心技术专利:CN118964589B侵权必究
粤ICP备2023148730 号-1Suppr @ 2026

文献检索

告别复杂PubMed语法,用中文像聊天一样搜索,搜遍4000万医学文献。AI智能推荐,让科研检索更轻松。

立即免费搜索

文件翻译

保留排版,准确专业,支持PDF/Word/PPT等文件格式,支持 12+语言互译。

免费翻译文档

深度研究

AI帮你快速写综述,25分钟生成高质量综述,智能提取关键信息,辅助科研写作。

立即免费体验

跨膜蛋白9(TMED9)协调错误折叠的糖基磷脂酰肌醇(GPI)锚定蛋白从内质网清除并进入高尔基体的过程。

TMED9 coordinates the clearance of misfolded GPI-anchored proteins out of the ER and into the Golgi.

作者信息

Ronzier Elsa, Satpute-Krishnan Prasanna

机构信息

Department of Biochemistry and Molecular Biology, Uniformed Services University of the Health Sciences, Bethesda, Maryland, United States of America.

出版信息

PLoS Biol. 2025 Apr 9;23(4):e3003084. doi: 10.1371/journal.pbio.3003084. eCollection 2025 Apr.

DOI:10.1371/journal.pbio.3003084
PMID:40203033
原文链接:https://pmc.ncbi.nlm.nih.gov/articles/PMC12052135/
Abstract

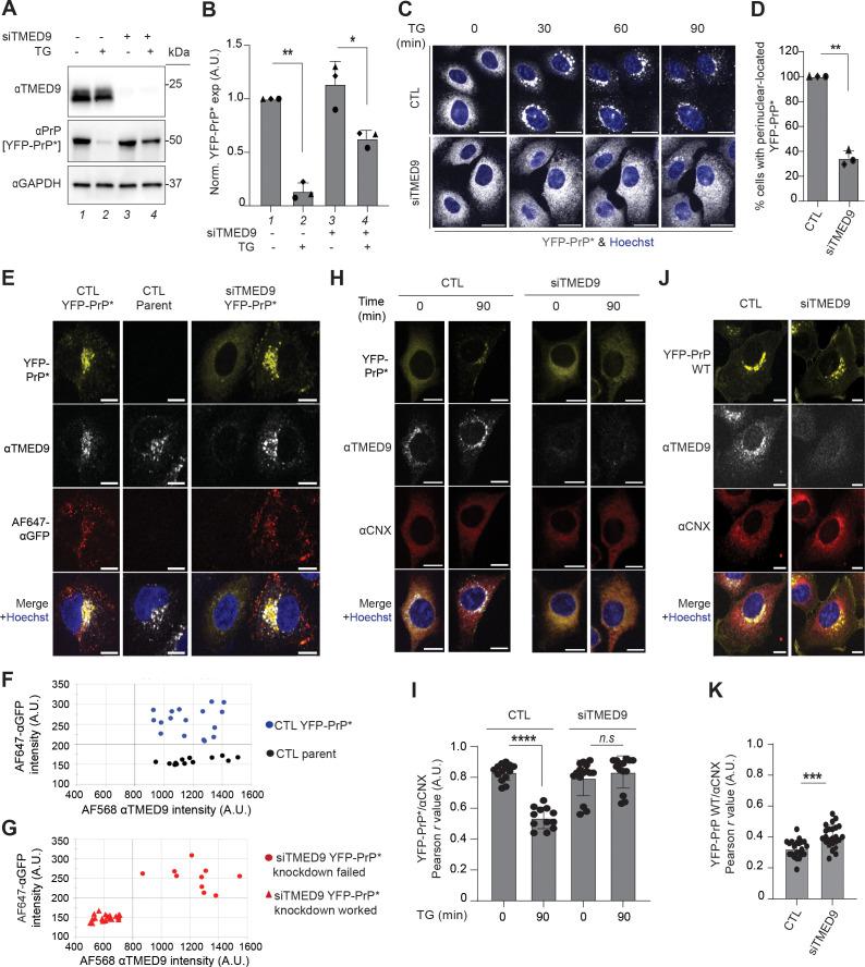
The p24-family member, TMED9, has recently emerged as a player in secretory pathway protein quality control (PQC) that influences the trafficking and degradation of misfolded proteins. Here, we show that TMED9 plays a central role in the PQC of GPI-anchored proteins (GPI-APs). Typically, upon release from the endoplasmic reticulum (ER)-resident chaperone calnexin, misfolded GPI-APs traffic to the Golgi by an ER-export pathway called Rapid ER stress-induced Export (RESET). From the Golgi, they access the plasma membrane where they are rapidly internalized for lysosomal degradation. We used biochemical and imaging approaches in cultured cells to demonstrate that at steady-state, the majority of misfolded GPI-APs reside in the ER in association with calnexin and TMED9. During RESET, they dissociate from calnexin and increase their association with TMED9. Inhibition of TMED9's function through siRNA-induced depletion or chemical inhibitor, BRD4780, blocked ER-export of misfolded GPI-APs. In contrast, TMED9-inhibition did not prevent ER-export of wild-type GPI-APs, indicating a specific role for TMED9 in GPI-AP PQC. Intriguingly, we discovered that acute treatment with BRD4780 induced a shift in TMED9 localization away from the ER to the downstream Golgi cisternae and blocked the RESET pathway. Upon removal of BRD4780 following acute treatment, TMED9 regained access to the ER where TMED9 was able to associate with the RESET substrate and restore the RESET pathway. These results suggest that TMED9 plays a requisite role in RESET by capturing misfolded GPI-APs that are released by calnexin within the ER and conveying them to the Golgi.

摘要

p24家族成员TMED9最近已成为分泌途径蛋白质质量控制(PQC)中的一个参与者,它会影响错误折叠蛋白质的运输和降解。在此,我们表明TMED9在糖基磷脂酰肌醇锚定蛋白(GPI-APs)的PQC中起核心作用。通常,错误折叠的GPI-APs从内质网(ER)驻留伴侣钙联蛋白释放后,通过一种称为快速内质网应激诱导输出(RESET)的ER输出途径运输到高尔基体。从高尔基体,它们进入质膜,在那里它们迅速被内化以便溶酶体降解。我们在培养细胞中使用生化和成像方法来证明,在稳态下,大多数错误折叠的GPI-APs与钙联蛋白和TMED9结合存在于内质网中。在RESET过程中,它们与钙联蛋白解离并增加与TMED9的结合。通过siRNA诱导的消耗或化学抑制剂BRD4780抑制TMED9的功能,会阻断错误折叠的GPI-APs的内质网输出。相比之下,抑制TMED9并不会阻止野生型GPI-APs的内质网输出,这表明TMED9在GPI-AP PQC中具有特定作用。有趣的是,我们发现用BRD4780进行急性处理会导致TMED9的定位从内质网转移到下游高尔基体池,并阻断RESET途径。急性处理后去除BRD4780,TMED9重新进入内质网,在那里TMED9能够与RESET底物结合并恢复RESET途径。这些结果表明,TMED9通过捕获在内质网中由钙联蛋白释放的错误折叠的GPI-APs并将它们运输到高尔基体,在RESET中发挥必要作用。

https://cdn.ncbi.nlm.nih.gov/pmc/blobs/87e5/12052135/d9ad90a499bc/pbio.3003084.g007.jpg
https://cdn.ncbi.nlm.nih.gov/pmc/blobs/87e5/12052135/1201fd118f49/pbio.3003084.g001.jpg
https://cdn.ncbi.nlm.nih.gov/pmc/blobs/87e5/12052135/5949cc3c58a1/pbio.3003084.g002.jpg
https://cdn.ncbi.nlm.nih.gov/pmc/blobs/87e5/12052135/fd49551e4957/pbio.3003084.g003.jpg
https://cdn.ncbi.nlm.nih.gov/pmc/blobs/87e5/12052135/e0beb650e40e/pbio.3003084.g004.jpg
https://cdn.ncbi.nlm.nih.gov/pmc/blobs/87e5/12052135/c5855282fbe8/pbio.3003084.g005.jpg
https://cdn.ncbi.nlm.nih.gov/pmc/blobs/87e5/12052135/b6aa33c5a267/pbio.3003084.g006.jpg
https://cdn.ncbi.nlm.nih.gov/pmc/blobs/87e5/12052135/d9ad90a499bc/pbio.3003084.g007.jpg
https://cdn.ncbi.nlm.nih.gov/pmc/blobs/87e5/12052135/1201fd118f49/pbio.3003084.g001.jpg
https://cdn.ncbi.nlm.nih.gov/pmc/blobs/87e5/12052135/5949cc3c58a1/pbio.3003084.g002.jpg
https://cdn.ncbi.nlm.nih.gov/pmc/blobs/87e5/12052135/fd49551e4957/pbio.3003084.g003.jpg
https://cdn.ncbi.nlm.nih.gov/pmc/blobs/87e5/12052135/e0beb650e40e/pbio.3003084.g004.jpg
https://cdn.ncbi.nlm.nih.gov/pmc/blobs/87e5/12052135/c5855282fbe8/pbio.3003084.g005.jpg
https://cdn.ncbi.nlm.nih.gov/pmc/blobs/87e5/12052135/b6aa33c5a267/pbio.3003084.g006.jpg
https://cdn.ncbi.nlm.nih.gov/pmc/blobs/87e5/12052135/d9ad90a499bc/pbio.3003084.g007.jpg

相似文献

1
TMED9 coordinates the clearance of misfolded GPI-anchored proteins out of the ER and into the Golgi.跨膜蛋白9(TMED9)协调错误折叠的糖基磷脂酰肌醇(GPI)锚定蛋白从内质网清除并进入高尔基体的过程。
PLoS Biol. 2025 Apr 9;23(4):e3003084. doi: 10.1371/journal.pbio.3003084. eCollection 2025 Apr.
2
TMED9 coordinates the clearance of misfolded GPI-anchored proteins out of the endoplasmic reticulum and into the Golgi.跨膜蛋白9(TMED9)协调错误折叠的糖基磷脂酰肌醇(GPI)锚定蛋白从内质网转运至高尔基体并进行清除。
bioRxiv. 2025 Feb 4:2024.09.27.615420. doi: 10.1101/2024.09.27.615420.
3
Competition for calnexin binding regulates secretion and turnover of misfolded GPI-anchored proteins.钙联蛋白结合竞争调节错误折叠的 GPI 锚定蛋白的分泌和周转。
J Cell Biol. 2023 Oct 2;222(10). doi: 10.1083/jcb.202108160. Epub 2023 Sep 13.
4
Calnexin mediates the maturation of GPI-anchors through ER retention.钙连蛋白通过内质网滞留介导 GPI-锚的成熟。
J Biol Chem. 2020 Nov 27;295(48):16393-16410. doi: 10.1074/jbc.RA120.015577. Epub 2020 Sep 23.
5
Trafficking of glycosylphosphatidylinositol anchored proteins from the endoplasmic reticulum to the cell surface.糖基磷脂酰肌醇锚定蛋白从内质网到细胞表面的运输。
J Lipid Res. 2016 Mar;57(3):352-60. doi: 10.1194/jlr.R062760. Epub 2015 Oct 8.
6
Abnormal ER quality control of neural GPI-anchored proteins via dysfunction in ER export processing in the frontal cortex of elderly subjects with schizophrenia.异常的内质网质量控制通过神经 GPI-锚定蛋白在老年精神分裂症患者额皮质中的内质网输出加工功能障碍。
Transl Psychiatry. 2019 Jan 16;9(1):6. doi: 10.1038/s41398-018-0359-4.
7
-Glycan-dependent protein folding and endoplasmic reticulum retention regulate GPI-anchor processing.糖基化依赖的蛋白质折叠和内质网滞留调节 GPI-锚的加工。
J Cell Biol. 2018 Feb 5;217(2):585-599. doi: 10.1083/jcb.201706135. Epub 2017 Dec 18.
8
Misfolded GPI-anchored proteins are escorted through the secretory pathway by ER-derived factors.错误折叠的 GPI-锚定蛋白通过内质网衍生的因子被护送穿过分泌途径。
Elife. 2019 May 16;8:e46740. doi: 10.7554/eLife.46740.
9
Selective export of human GPI-anchored proteins from the endoplasmic reticulum.从内质网中选择性输出人 GPI-锚定蛋白。
J Cell Sci. 2010 May 15;123(Pt 10):1705-15. doi: 10.1242/jcs.062950. Epub 2010 Apr 27.
10
p24 Family Proteins Are Involved in Transport to the Plasma Membrane of GPI-Anchored Proteins in Plants.p24 家族蛋白参与植物 GPI 锚定蛋白向质膜的运输。
Plant Physiol. 2020 Nov;184(3):1333-1347. doi: 10.1104/pp.20.00880. Epub 2020 Sep 8.

本文引用的文献

1
ER export via SURF4 uses diverse mechanisms of both client and coat engagement.内质网通过 SURF4 的输出利用了客户和外套结合的多种机制。
J Cell Biol. 2025 Jan 6;224(1). doi: 10.1083/jcb.202406103. Epub 2024 Nov 12.
2
Molecular basis of TMED9 oligomerization and entrapment of misfolded protein cargo in the early secretory pathway.TMED9 寡聚化和错误折叠蛋白货物在内质网早期分泌途径中捕获的分子基础。
Sci Adv. 2024 Sep 20;10(38):eadp2221. doi: 10.1126/sciadv.adp2221.
3
The p24-family and COPII subunit SEC24C facilitate the clearance of alpha1-antitrypsin Z from the endoplasmic reticulum to lysosomes.
p24 家族和 COPII 亚基 SEC24C 有助于将α1-抗胰蛋白酶 Z 从内质网清除到溶酶体。
Mol Biol Cell. 2024 Mar 1;35(3):ar45. doi: 10.1091/mbc.E23-06-0257. Epub 2024 Jan 31.
4
Competition for calnexin binding regulates secretion and turnover of misfolded GPI-anchored proteins.钙联蛋白结合竞争调节错误折叠的 GPI 锚定蛋白的分泌和周转。
J Cell Biol. 2023 Oct 2;222(10). doi: 10.1083/jcb.202108160. Epub 2023 Sep 13.
5
The many hats of transmembrane emp24 domain protein TMED9 in secretory pathway homeostasis.跨膜emp24结构域蛋白TMED9在分泌途径稳态中的多重作用。
Front Cell Dev Biol. 2023 Jan 16;10:1096899. doi: 10.3389/fcell.2022.1096899. eCollection 2022.
6
ER-Golgi-localized proteins TMED2 and TMED10 control the formation of plasma membrane lipid nanodomains.内质网-高尔基体驻留蛋白 TMED2 和 TMED10 控制质膜脂质纳米区的形成。
Dev Cell. 2022 Oct 10;57(19):2334-2346.e8. doi: 10.1016/j.devcel.2022.09.004. Epub 2022 Sep 28.
7
Structural Diversity within the Endoplasmic Reticulum-From the Microscale to the Nanoscale.内质网中的结构多样性。从微观尺度到纳米尺度。
Cold Spring Harb Perspect Biol. 2023 Jun 1;15(6):a041259. doi: 10.1101/cshperspect.a041259.
8
Endosomal sorting drives the formation of axonal prion protein endoggresomes.内体分选驱动轴突朊蛋白内吞体的形成。
Sci Adv. 2021 Dec 24;7(52):eabg3693. doi: 10.1126/sciadv.abg3693. Epub 2021 Dec 22.
9
Differential use of p24 family members as cargo receptors for the transport of glycosylphosphatidylinositol-anchored proteins and Wnt1.作为糖基磷脂酰肌醇锚定蛋白和 Wnt1 运输的货物受体,p24 家族成员的差异使用。
J Biochem. 2022 Jan 7;171(1):75-83. doi: 10.1093/jb/mvab108.
10
ER-phagy responses in yeast, plants, and mammalian cells and their crosstalk with UPR and ERAD.酵母、植物和哺乳动物细胞中的内质网自噬反应及其与 UPR 和 ERAD 的串扰。
Dev Cell. 2021 Apr 5;56(7):949-966. doi: 10.1016/j.devcel.2021.03.005. Epub 2021 Mar 24.