Suppr超能文献

肾造瘘导管移位的预测因素:一项回顾性分析的见解

Predictors of Nephrostomy Catheter Dislodgement: Insights from a Retrospective Analysis.

作者信息

Dablan Ali, Okur Zöhre, Cingöz Mehmet, Erdim Çağrı, Arslan Mustafa Fatih, Türksayar Oğuzhan, Özgül Hamit, Güzelbey Tevfik, Mutlu İlhan Nahit

机构信息

Department of Radiology, Basaksehir Cam and Sakura City Hospital, 34488, Istanbul, Turkey.

出版信息

Cardiovasc Intervent Radiol. 2025 May;48(5):633-642. doi: 10.1007/s00270-025-04020-y. Epub 2025 Apr 9.

Abstract

PURPOSE

To identify the anatomical and technical factors associated with unintended nephrostomy catheter dislodgement (NCD).

MATERIALS AND METHODS

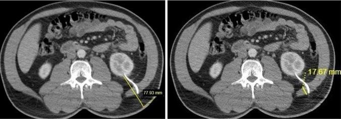
A retrospective review of 742 percutaneous nephrostomy (PCN) procedures carried out between June 2020 and June 2024 was conducted. Thirty-eight patients with spontaneous NCD were assigned to the dislodgement group, and 38 matched controls were selected using propensity score matching.. Key measurements included cortex-to-skin distance, paravertebral muscle area, psoas muscle area, subcutaneous fat thickness, and renal parenchymal thickness.

RESULTS

Patients with NCD were similar in age and sex. No significant differences were observed in subcutaneous fat thickness, muscle thickness, or renal parenchymal thickness between the groups. However, cortex-to-skin distance was significantly shorter in the NCD group (p = 0.001). ROC analysis identified an optimal threshold of 46.65 mm for cortex-to-skin distance, with a sensitivity of 92.1%, specificity of 39.5%, and a positive predictive value of 60.3% (AUC = 0.67).

CONCLUSION

Shorter cortex-to-skin distance is a key predictor of NCD. Patients with shorter cortex-to-skin distances, may benefit from closer monitoring and targeted preventive measures to reduce the risk of dislodgement.

摘要

目的

确定与意外肾造瘘导管移位(NCD)相关的解剖学和技术因素。

材料与方法

对2020年6月至2024年6月期间进行的742例经皮肾造瘘术(PCN)进行回顾性研究。38例发生自发性NCD的患者被分配到移位组,并使用倾向得分匹配法选择38例匹配对照。关键测量指标包括皮质到皮肤的距离、椎旁肌面积、腰大肌面积、皮下脂肪厚度和肾实质厚度。

结果

NCD患者在年龄和性别上相似。两组之间在皮下脂肪厚度、肌肉厚度或肾实质厚度方面未观察到显著差异。然而,NCD组的皮质到皮肤的距离明显更短(p = 0.001)。ROC分析确定皮质到皮肤距离的最佳阈值为46.65毫米,灵敏度为92.1%,特异性为39.5%,阳性预测值为60.3%(AUC = 0.67)。

结论

较短的皮质到皮肤距离是NCD的关键预测因素。皮质到皮肤距离较短的患者可能受益于更密切的监测和针对性的预防措施,以降低移位风险。

https://cdn.ncbi.nlm.nih.gov/pmc/blobs/3eb7/12052929/ee102362a741/270_2025_4020_Fig1_HTML.jpg

文献AI研究员

20分钟写一篇综述,助力文献阅读效率提升50倍。

立即体验

用中文搜PubMed

大模型驱动的PubMed中文搜索引擎

马上搜索

文档翻译

学术文献翻译模型,支持多种主流文档格式。

立即体验