• 文献检索
  • 文档翻译
  • 深度研究
  • 学术资讯
  • Suppr Zotero 插件Zotero 插件
  • 邀请有礼
  • 套餐&价格
  • 历史记录
应用&插件
Suppr Zotero 插件Zotero 插件浏览器插件Mac 客户端Windows 客户端微信小程序
定价
高级版会员购买积分包购买API积分包
服务
文献检索文档翻译深度研究API 文档MCP 服务
关于我们
关于 Suppr公司介绍联系我们用户协议隐私条款
关注我们

Suppr 超能文献

核心技术专利:CN118964589B侵权必究
粤ICP备2023148730 号-1Suppr @ 2026

文献检索

告别复杂PubMed语法,用中文像聊天一样搜索,搜遍4000万医学文献。AI智能推荐,让科研检索更轻松。

立即免费搜索

文件翻译

保留排版,准确专业,支持PDF/Word/PPT等文件格式,支持 12+语言互译。

免费翻译文档

深度研究

AI帮你快速写综述,25分钟生成高质量综述,智能提取关键信息,辅助科研写作。

立即免费体验

揭示甾体皂苷洋地黄皂苷在胃癌中的新型抗肿瘤潜力:一项网络药理学及实验验证研究

Unveiling the Novel Anti - Tumor Potential of Digitonin, a Steroidal Saponin, in Gastric Cancer: A Network Pharmacology and Experimental Validation Study.

作者信息

Lu Dongdong, Huang Leijie, Weng Chunyan

机构信息

Department of Gastroenterology, Ningbo No. 2 Hospital, Ningbo, Zhejiang Province, 315000, People's Republic of China.

Department of Gastroenterology, The First Affiliated Hospital of Zhejiang Chinese Medical University (Zhejiang Provincial Hospital of Chinese Medicine), Hangzhou, Zhejiang Province, 310000, People's Republic of China.

出版信息

Drug Des Devel Ther. 2025 Apr 5;19:2653-2666. doi: 10.2147/DDDT.S504671. eCollection 2025.

DOI:10.2147/DDDT.S504671
PMID:40206492
原文链接:https://pmc.ncbi.nlm.nih.gov/articles/PMC11980797/
Abstract

BACKGROUND

Gastric cancer (GC) remains a leading cause of cancer-related mortality, with limited effective treatment options for advanced stages. As a steroidal saponin with documented anti-neoplastic properties in multiple cancers, digitonin's mode of action in GC pathogenesis has yet to be fully elucidated. This research focused on exploring the potential of Digitonin in GC treatment using a combination of network pharmacology and experimental validation.

METHODS

The inhibitory effects of Digitonin on the proliferation, invasion, and migration of gastric cancer cells were evaluated using CCK-8, colony formation, wound healing, and transwell assays. Key targets of Digitonin were identified through network pharmacology. Molecular docking and various experiments, including Western blot, immunofluorescence, and a subcutaneous xenograft model, were used for validation.

RESULTS

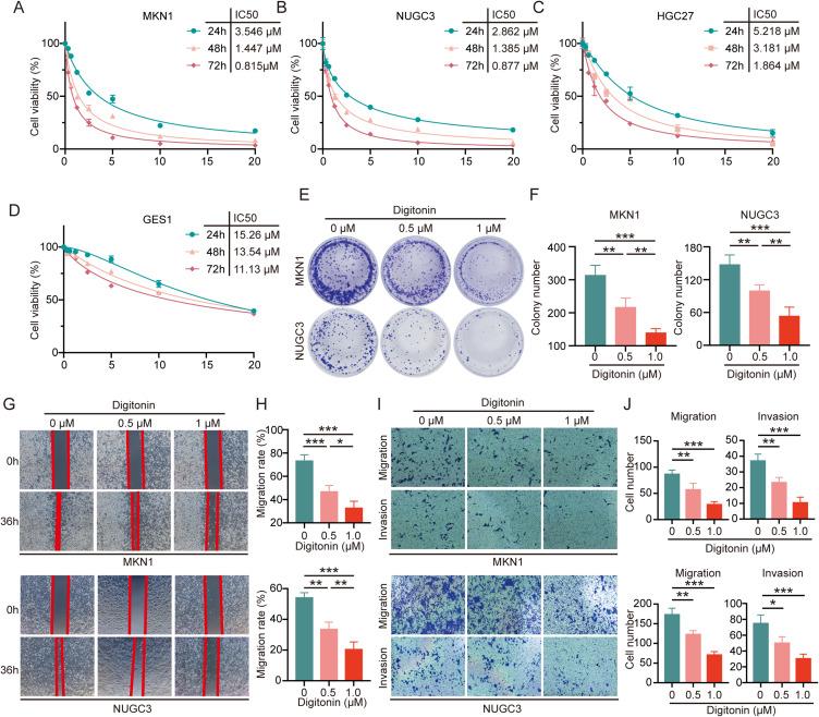
Digitonin exhibited stronger cytotoxicity against GC cells and significantly inhibited GC cell proliferation, migration, and invasion. Network pharmacology analysis revealed that the core targets of Digitonin are involved in key cancer-related signaling pathways, including HIF-1α, Ras, and PI3K-Akt pathways, with HSP90AA1 and NFKB1 identified as central targets. Further molecular docking, Western blotting, and immunofluorescence experiments confirmed that Digitonin significantly suppressed the expression of HSP90AA1 and inhibited the nuclear translocation of NFKB1, inducing cell apoptosis. Additionally, a subcutaneous xenograft model of GC further validated that Digitonin effectively inhibited tumor growth.

CONCLUSION

Digitonin serves as a promising multi-target therapeutic agent for GC. This study underscores the potential of combining network pharmacology with traditional Chinese medicine to identify novel therapeutic targets and develop effective anti-cancer strategies. In addition, these findings suggest that digitonin could be a promising candidate for future clinical trials in GC treatment.

摘要

背景

胃癌(GC)仍然是癌症相关死亡的主要原因,晚期胃癌的有效治疗选择有限。洋地黄皂苷作为一种在多种癌症中具有抗肿瘤特性的甾体皂苷,其在胃癌发病机制中的作用模式尚未完全阐明。本研究聚焦于通过网络药理学和实验验证相结合的方法,探索洋地黄皂苷在胃癌治疗中的潜力。

方法

使用CCK-8、集落形成、伤口愈合和Transwell实验评估洋地黄皂苷对胃癌细胞增殖、侵袭和迁移的抑制作用。通过网络药理学确定洋地黄皂苷的关键靶点。分子对接以及包括蛋白质免疫印迹法、免疫荧光和皮下异种移植模型在内的各种实验用于验证。

结果

洋地黄皂苷对胃癌细胞表现出更强的细胞毒性,并显著抑制胃癌细胞的增殖、迁移和侵袭。网络药理学分析表明,洋地黄皂苷的核心靶点参与关键的癌症相关信号通路,包括HIF-1α、Ras和PI3K-Akt通路,其中HSP90AA1和NFKB1被确定为核心靶点。进一步的分子对接、蛋白质免疫印迹法和免疫荧光实验证实,洋地黄皂苷显著抑制HSP90AA1的表达并抑制NFKB1的核转位,诱导细胞凋亡。此外,胃癌皮下异种移植模型进一步验证了洋地黄皂苷能有效抑制肿瘤生长。

结论

洋地黄皂苷是一种有前景的胃癌多靶点治疗药物。本研究强调了将网络药理学与中药相结合以确定新的治疗靶点和制定有效的抗癌策略的潜力。此外,这些发现表明洋地黄皂苷可能是未来胃癌治疗临床试验的有前景的候选药物。

https://cdn.ncbi.nlm.nih.gov/pmc/blobs/fb3c/11980797/d5583aa888fd/DDDT-19-2653-g0006.jpg
https://cdn.ncbi.nlm.nih.gov/pmc/blobs/fb3c/11980797/024d093b6a11/DDDT-19-2653-g0001.jpg
https://cdn.ncbi.nlm.nih.gov/pmc/blobs/fb3c/11980797/f562ed7bbef7/DDDT-19-2653-g0002.jpg
https://cdn.ncbi.nlm.nih.gov/pmc/blobs/fb3c/11980797/e44adc29d281/DDDT-19-2653-g0003.jpg
https://cdn.ncbi.nlm.nih.gov/pmc/blobs/fb3c/11980797/a88107828fec/DDDT-19-2653-g0004.jpg
https://cdn.ncbi.nlm.nih.gov/pmc/blobs/fb3c/11980797/cf919d30b5f7/DDDT-19-2653-g0005.jpg
https://cdn.ncbi.nlm.nih.gov/pmc/blobs/fb3c/11980797/d5583aa888fd/DDDT-19-2653-g0006.jpg
https://cdn.ncbi.nlm.nih.gov/pmc/blobs/fb3c/11980797/024d093b6a11/DDDT-19-2653-g0001.jpg
https://cdn.ncbi.nlm.nih.gov/pmc/blobs/fb3c/11980797/f562ed7bbef7/DDDT-19-2653-g0002.jpg
https://cdn.ncbi.nlm.nih.gov/pmc/blobs/fb3c/11980797/e44adc29d281/DDDT-19-2653-g0003.jpg
https://cdn.ncbi.nlm.nih.gov/pmc/blobs/fb3c/11980797/a88107828fec/DDDT-19-2653-g0004.jpg
https://cdn.ncbi.nlm.nih.gov/pmc/blobs/fb3c/11980797/cf919d30b5f7/DDDT-19-2653-g0005.jpg
https://cdn.ncbi.nlm.nih.gov/pmc/blobs/fb3c/11980797/d5583aa888fd/DDDT-19-2653-g0006.jpg

相似文献

1
Unveiling the Novel Anti - Tumor Potential of Digitonin, a Steroidal Saponin, in Gastric Cancer: A Network Pharmacology and Experimental Validation Study.揭示甾体皂苷洋地黄皂苷在胃癌中的新型抗肿瘤潜力:一项网络药理学及实验验证研究
Drug Des Devel Ther. 2025 Apr 5;19:2653-2666. doi: 10.2147/DDDT.S504671. eCollection 2025.
2
The Mechanism of Sijunzi Decoction Suppresses Gastric Cancer Metastasis via the m6A Methyltransferase METTL14 Based on Untargeted Metabolomics Studies and Network Pharmacology Analysis.基于非靶向代谢组学研究和网络药理学分析探讨四君子汤通过m6A甲基转移酶METTL14抑制胃癌转移的机制
Drug Des Devel Ther. 2025 Mar 31;19:2369-2392. doi: 10.2147/DDDT.S506702. eCollection 2025.
3
Ginkgolide B Inhibits EMT and Promotes Pyroptosis in Gastric Cancer via AKT/mTOR Pathway.银杏内酯B通过AKT/mTOR信号通路抑制胃癌细胞的上皮-间质转化并促进细胞焦亡
Drug Des Devel Ther. 2025 Apr 2;19:2491-2502. doi: 10.2147/DDDT.S485240. eCollection 2025.
4
Exploring the active ingredients of Banzhilian and its mechanism of action on diabetic Gastric cancer based on network pharmacology.基于网络药理学探究半枝莲治疗糖尿病性胃癌的活性成分及其作用机制
Sci Rep. 2025 Apr 28;15(1):14808. doi: 10.1038/s41598-025-98214-6.
5
Potential anti-gastric cancer properties of modified Lichong decoction based on metabolomics, network pharmacology, and pharmacological verification.基于代谢组学、网络药理学及药理验证的加味理中汤潜在抗胃癌特性
J Ethnopharmacol. 2025 May 12;347:119806. doi: 10.1016/j.jep.2025.119806. Epub 2025 Apr 14.
6
Exploration of the pharmacological substance basis and efficacy evaluation of fufang she-she-cao (Hedyotis diffusa formula) in repressing gastric cancer.复方蛇舌草(白花蛇舌草配方)抑制胃癌的药理物质基础及药效评价探索
J Ethnopharmacol. 2025 May 12;347:119711. doi: 10.1016/j.jep.2025.119711. Epub 2025 Apr 2.
7
Pterostilbene suppresses gastric cancer proliferation and metastasis by inhibiting oncogenic JAK2/STAT3 signaling: In vitro and in vivo therapeutic intervention.紫檀芪通过抑制致癌性 JAK2/STAT3 信号通路抑制胃癌增殖和转移:体外和体内治疗干预。
Phytomedicine. 2024 Jun;128:155316. doi: 10.1016/j.phymed.2023.155316. Epub 2023 Dec 25.
8
Mulberrin suppresses gastric cancer progression and enhances chemosensitivity to oxaliplatin through HSP90AA1/PI3K/AKT axis.桑色素通过HSP90AA1/PI3K/AKT轴抑制胃癌进展并增强对奥沙利铂的化疗敏感性。
Phytomedicine. 2025 Apr;139:156441. doi: 10.1016/j.phymed.2025.156441. Epub 2025 Jan 28.
9
Zuojin Pill Alleviates Precancerous Lesions of Gastric Cancer by Modulating the MEK/ERK/c-Myc Pathway: An Integrated Approach of Network Pharmacology, Molecular Dynamics Simulation, and Experimental Validation.左金丸通过调节MEK/ERK/c-Myc信号通路减轻胃癌癌前病变:网络药理学、分子动力学模拟与实验验证的综合方法
Drug Des Devel Ther. 2024 Dec 11;18:5905-5929. doi: 10.2147/DDDT.S487371. eCollection 2024.
10
The anti-tumor effect of OP-B on ovarian cancer in vitro and in vivo, and its mechanism: An investigation using network pharmacology-based analysis.基于网络药理学分析的 OP-B 对卵巢癌的体内外抗肿瘤作用及其机制研究。
J Ethnopharmacol. 2022 Jan 30;283:114706. doi: 10.1016/j.jep.2021.114706. Epub 2021 Oct 3.

本文引用的文献

1
HSP90AA1 is an unfavorable prognostic factor for hepatocellular carcinoma and contributes to tumorigenesis and chemotherapy resistance.热休克蛋白90α家族成员1(HSP90AA1)是肝细胞癌的不良预后因素,且与肿瘤发生及化疗耐药有关。
Transl Oncol. 2024 Dec;50:102148. doi: 10.1016/j.tranon.2024.102148. Epub 2024 Oct 10.
2
Exploring the potential of Huangqin Tang in breast cancer treatment using network pharmacological analysis and experimental verification.运用网络药理学分析和实验验证探索黄芩汤治疗乳腺癌的潜力。
BMC Complement Med Ther. 2024 Jun 7;24(1):221. doi: 10.1186/s12906-024-04523-0.
3
Trastuzumab deruxtecan in HER2-positive advanced gastric cancer: exploratory biomarker analysis of the randomized, phase 2 DESTINY-Gastric01 trial.
曲妥珠单抗-deruxtecan 用于 HER2 阳性晚期胃癌:随机、Ⅱ 期 DESTINY-Gastric01 试验的探索性生物标志物分析。
Nat Med. 2024 Jul;30(7):1933-1942. doi: 10.1038/s41591-024-02992-x. Epub 2024 May 14.
4
Global cancer statistics 2022: GLOBOCAN estimates of incidence and mortality worldwide for 36 cancers in 185 countries.2022 年全球癌症统计数据:全球 185 个国家和地区 36 种癌症的发病率和死亡率全球估计数。
CA Cancer J Clin. 2024 May-Jun;74(3):229-263. doi: 10.3322/caac.21834. Epub 2024 Apr 4.
5
Claudin 18.2 as a novel therapeutic target.Claudin 18.2 作为一个新的治疗靶点。
Nat Rev Clin Oncol. 2024 May;21(5):354-369. doi: 10.1038/s41571-024-00874-2. Epub 2024 Mar 19.
6
The Chinese Society of Clinical Oncology (CSCO): Clinical guidelines for the diagnosis and treatment of gastric cancer, 2023.中国临床肿瘤学会(CSCO):胃癌诊断与治疗临床实践指南,2023 年版。
Cancer Commun (Lond). 2024 Jan;44(1):127-172. doi: 10.1002/cac2.12516. Epub 2023 Dec 31.
7
Pembrolizumab plus trastuzumab and chemotherapy for HER2-positive gastric or gastro-oesophageal junction adenocarcinoma: interim analyses from the phase 3 KEYNOTE-811 randomised placebo-controlled trial.帕博利珠单抗联合曲妥珠单抗和化疗治疗 HER2 阳性胃或胃食管交界腺癌:来自 3 期 KEYNOTE-811 随机安慰剂对照试验的中期分析。
Lancet. 2023 Dec 9;402(10418):2197-2208. doi: 10.1016/S0140-6736(23)02033-0. Epub 2023 Oct 20.
8
Gastric cancer treatment: recent progress and future perspectives.胃癌治疗:最新进展与未来展望。
J Hematol Oncol. 2023 May 27;16(1):57. doi: 10.1186/s13045-023-01451-3.
9
Molecular targets of metformin against ovarian cancer based on network pharmacology.基于网络药理学的二甲双胍治疗卵巢癌的分子靶点。
Chem Biol Drug Des. 2023 Jul;102(1):88-100. doi: 10.1111/cbdd.14234. Epub 2023 Mar 28.
10
Literature-based translation from synthetic lethality screening into therapeutics targets: CD82 is a novel target for mutation in colon cancer.基于文献的从合成致死筛选到治疗靶点的翻译:CD82是结肠癌中的一个新的突变靶点。
Comput Struct Biotechnol J. 2022 Sep 21;20:5287-5295. doi: 10.1016/j.csbj.2022.09.025. eCollection 2022.