• 文献检索
  • 文档翻译
  • 深度研究
  • 学术资讯
  • Suppr Zotero 插件Zotero 插件
  • 邀请有礼
  • 套餐&价格
  • 历史记录
应用&插件
Suppr Zotero 插件Zotero 插件浏览器插件Mac 客户端Windows 客户端微信小程序
定价
高级版会员购买积分包购买API积分包
服务
文献检索文档翻译深度研究API 文档MCP 服务
关于我们
关于 Suppr公司介绍联系我们用户协议隐私条款
关注我们

Suppr 超能文献

核心技术专利:CN118964589B侵权必究
粤ICP备2023148730 号-1Suppr @ 2026

文献检索

告别复杂PubMed语法,用中文像聊天一样搜索,搜遍4000万医学文献。AI智能推荐,让科研检索更轻松。

立即免费搜索

文件翻译

保留排版,准确专业,支持PDF/Word/PPT等文件格式,支持 12+语言互译。

免费翻译文档

深度研究

AI帮你快速写综述,25分钟生成高质量综述,智能提取关键信息,辅助科研写作。

立即免费体验

一名年轻患者的伴有指间关节脱位的重度1型拇指纽扣指畸形:病例报告

Severe Type 1 Thumb Boutonniere Deformity with Interphalangeal Joint Dislocation in a Young Patient: A Case Report.

作者信息

Aggarwal Sarthak, Stepan Jeffrey G

机构信息

University of Chicago, Pritzker School of Medicine, Chicago, Illinois, United States.

Department of Orthopaedic Surgery and Rehabilitation Medicine, University of Chicago, Chicago, Illinois, United States.

出版信息

J Orthop Case Rep. 2025 Apr;15(4):21-25. doi: 10.13107/jocr.2025.v15.i04.5430.

DOI:10.13107/jocr.2025.v15.i04.5430
PMID:40212480
原文链接:https://pmc.ncbi.nlm.nih.gov/articles/PMC11981501/
Abstract

INTRODUCTION

Thumb boutonniere deformity, commonly associated with autoimmune arthropathies, presents as metacarpophalangeal (MCP) joint flexion and interphalangeal (IP) joint hyperextension. Literature guiding management remains incomplete and out-of-date, and it largely addresses low-demand populations. IP joint dislocation is a particularly severe presentation that notably has only been reported once before.

CASE REPORT

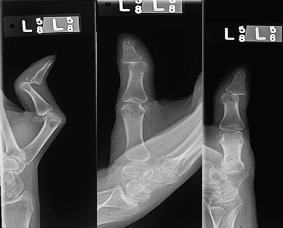
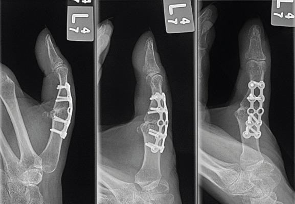
We report a rare case of severe Type 1 thumb boutonniere deformity with IP joint dislocation in a 42-year-old, high-demand female patient with a history of autoimmune diseases. We describe the successful treatment of this severe thumb deformity using MCP arthrodesis and temporary IP joint pinning, which resulted in preserved function and stability. At 1-year follow-up, the patient reported good function of the thumb with no instances of IP joint dislocation.

CONCLUSION

In prior literature, MCP arthroplasty with IP arthrodesis has been recommended in severe thumb boutonniere deformities, but this may be inappropriate for younger, higher-demand patients. Surgeons should obtain a comprehensive understanding of each patient's anatomy and functional goals to best develop treatment strategies. The success of MCP arthrodesis and temporary IP joint pinning in this population is evidenced by the maintained IP joint range of motion and lack of dislocation with pinch and grip activities at 1 year follow-up.

摘要

引言

拇指纽扣畸形通常与自身免疫性关节病相关,表现为掌指(MCP)关节屈曲和指间(IP)关节过伸。指导治疗的文献仍然不完整且过时,并且主要针对需求较低的人群。IP关节脱位是一种特别严重的表现,此前仅被报道过一次。

病例报告

我们报告了一例罕见的1型拇指纽扣畸形伴IP关节脱位的病例,患者为一名42岁、需求较高且有自身免疫性疾病病史的女性。我们描述了使用MCP关节融合术和临时IP关节穿针固定成功治疗这种严重拇指畸形的过程,该治疗方法保留了拇指的功能和稳定性。在1年的随访中,患者报告拇指功能良好,未出现IP关节脱位的情况。

结论

在先前的文献中,对于严重的拇指纽扣畸形,推荐采用MCP关节成形术联合IP关节融合术,但这可能不适用于年轻、需求较高的患者。外科医生应全面了解每位患者的解剖结构和功能目标,以制定最佳的治疗策略。在该患者群体中,MCP关节融合术和临时IP关节穿针固定的成功体现在随访1年时IP关节活动范围得以维持,且在捏取和抓握活动中未出现脱位。

https://cdn.ncbi.nlm.nih.gov/pmc/blobs/1db4/11981501/66d8715322d0/JOCR-15-21-g006.jpg
https://cdn.ncbi.nlm.nih.gov/pmc/blobs/1db4/11981501/d30abbac097c/JOCR-15-21-g001.jpg
https://cdn.ncbi.nlm.nih.gov/pmc/blobs/1db4/11981501/c720ab81489f/JOCR-15-21-g002.jpg
https://cdn.ncbi.nlm.nih.gov/pmc/blobs/1db4/11981501/46ab1f848760/JOCR-15-21-g003.jpg
https://cdn.ncbi.nlm.nih.gov/pmc/blobs/1db4/11981501/cffea4a59b9e/JOCR-15-21-g004.jpg
https://cdn.ncbi.nlm.nih.gov/pmc/blobs/1db4/11981501/c3b7355ecf61/JOCR-15-21-g005.jpg
https://cdn.ncbi.nlm.nih.gov/pmc/blobs/1db4/11981501/66d8715322d0/JOCR-15-21-g006.jpg
https://cdn.ncbi.nlm.nih.gov/pmc/blobs/1db4/11981501/d30abbac097c/JOCR-15-21-g001.jpg
https://cdn.ncbi.nlm.nih.gov/pmc/blobs/1db4/11981501/c720ab81489f/JOCR-15-21-g002.jpg
https://cdn.ncbi.nlm.nih.gov/pmc/blobs/1db4/11981501/46ab1f848760/JOCR-15-21-g003.jpg
https://cdn.ncbi.nlm.nih.gov/pmc/blobs/1db4/11981501/cffea4a59b9e/JOCR-15-21-g004.jpg
https://cdn.ncbi.nlm.nih.gov/pmc/blobs/1db4/11981501/c3b7355ecf61/JOCR-15-21-g005.jpg
https://cdn.ncbi.nlm.nih.gov/pmc/blobs/1db4/11981501/66d8715322d0/JOCR-15-21-g006.jpg

相似文献

1
Severe Type 1 Thumb Boutonniere Deformity with Interphalangeal Joint Dislocation in a Young Patient: A Case Report.一名年轻患者的伴有指间关节脱位的重度1型拇指纽扣指畸形:病例报告
J Orthop Case Rep. 2025 Apr;15(4):21-25. doi: 10.13107/jocr.2025.v15.i04.5430.
2
Modified Extensor Pollicis Longus Rerouting Technique for Boutonniere Deformity of the Thumb in Rheumatoid Arthritis.改良拇长伸肌转位技术治疗类风湿关节炎拇指纽扣花样畸形
J Hand Surg Am. 2016 Jun;41(6):e129-34. doi: 10.1016/j.jhsa.2016.04.002. Epub 2016 Apr 23.
3
Metacarpophalangeal Joint Arthroplasty Using Flexible Hinge Toe Implant with Grommets for Boutonnière Deformity of Rheumatoid Thumb.使用带索环的柔性铰链足趾植入物治疗类风湿性拇指纽扣畸形的掌指关节置换术。
J Hand Surg Asian Pac Vol. 2018 Mar;23(1):66-70. doi: 10.1142/S242483551850008X.
4
Boutonniere rheumatoid thumb deformity.纽扣花样类风湿性拇指畸形。
J Hand Surg Am. 1990 Nov;15(6):999-1003. doi: 10.1016/0363-5023(90)90032-m.
5
Traumatic boutonniere deformity of the second toe caused by sumo wrestling: A case report.相扑摔跤导致的第二趾创伤性纽扣畸形:一例报告
Int J Surg Case Rep. 2020;76:338-340. doi: 10.1016/j.ijscr.2020.09.190. Epub 2020 Sep 30.
6
Changes in the Functional Range of Motion of the Thumb Metacarpophalangeal Joint After Trapeziometacarpal Arthrodesis for Patients With Advanced Trapeziometacarpal Osteoarthritis.晚期大多角骨-第一掌骨关节骨关节炎患者行大多角骨-第一掌骨关节融合术后拇指掌指关节功能活动度的变化
J Hand Surg Am. 2023 Jan;48(1):83.e1-83.e8. doi: 10.1016/j.jhsa.2021.09.018. Epub 2021 Nov 9.
7
Hand Function Following Simulated Fusion of Thumb Metacarpophalangeal and Interphalangeal Joints.模拟拇指掌指和指间关节融合后的手功能。
Hand (N Y). 2022 Jan;17(1):74-78. doi: 10.1177/1558944720906495. Epub 2020 Feb 26.
8
Treatment of Severe Ulnar Instability of the MCP Joint Improves Function in LRTI Arthroplasty for Osteoarthritis of the Thumb CMC Joint.治疗掌指关节严重尺侧不稳可改善拇指腕掌关节骨关节炎的小关节置换术功能。
J Wrist Surg. 2020 Apr;9(2):105-115. doi: 10.1055/s-0039-1697650. Epub 2019 Dec 31.
9
Surgical treatment of the boutonniere rheumatoid thumb deformity.类风湿性拇指纽扣畸形的手术治疗
Hand Clin. 1989 May;5(2):239-48.
10
Reconstruction of the rheumatoid thumb.类风湿性拇指的重建。
Hand Clin. 1992 Feb;8(1):121-9.

本文引用的文献

1
Case report: Joint deformity associated with systemic lupus erythematosus.病例报告:与系统性红斑狼疮相关的关节畸形。
Immun Inflamm Dis. 2022 Oct;10(10):e717. doi: 10.1002/iid3.717.
2
A New Approach for the Correction of Type I Thumb Deformity Owing to Rheumatoid Arthritis.一种矫正类风湿性关节炎所致Ⅰ型拇指畸形的新方法。
J Hand Surg Glob Online. 2019 Oct 25;2(1):55-60. doi: 10.1016/j.jhsg.2019.09.002. eCollection 2020 Jan.
3
Anatomic Repair of the Central Slip with Anchor Suture Augmentation for Treatment of Established Boutonniere Deformity.
锚线缝合增强体解剖修复中央束治疗陈旧性纽扣畸形。
Clin Orthop Surg. 2021 Jun;13(2):243-251. doi: 10.4055/cios20170. Epub 2021 Mar 9.
4
Surgical Management of Rheumatoid Arthritis of the Hand.
R I Med J (2013). 2020 May 1;103(4):32-36.
5
Applying evidence in the care of patients with rheumatoid hand and wrist deformities.将证据应用于类风湿性手部和腕部畸形患者的护理中。
Plast Reconstr Surg. 2013 Oct;132(4):885-897. doi: 10.1097/PRS.0b013e31829fe5e1.
6
Operative correction of swan-neck and boutonniere deformities in the rheumatoid hand.类风湿性手部鹅颈畸形和纽扣花样畸形的手术矫正
J Am Acad Orthop Surg. 1999 Mar-Apr;7(2):92-100. doi: 10.5435/00124635-199903000-00002.
7
Surgical treatment of the boutonniere rheumatoid thumb deformity.类风湿性拇指纽扣畸形的手术治疗
Hand Clin. 1989 May;5(2):239-48.
8
Boutonniere rheumatoid thumb deformity.纽扣花样类风湿性拇指畸形。
J Hand Surg Am. 1990 Nov;15(6):999-1003. doi: 10.1016/0363-5023(90)90032-m.
9
Surgical treatment of the boutonniere deformity in rheumatoid arthritis.类风湿关节炎纽扣指畸形的手术治疗
Orthop Clin North Am. 1975 Jul;6(3):753-63.