Suppr超能文献

墨西哥犬类牙周病:最常受影响牙齿及相关因素的描述

Periodontal Disease in Dogs From Mexico: Description of Most Commonly Affected Teeth and Associated Factors.

作者信息

Villegas-Ferre Ana G, Gutierrez-Blanco Eduardo, Martínez-Aguilar Víctor M, Hernandez-Chan Gandhi S, Jiménez-Coello Matilde, Ortega-Pacheco Antonio

机构信息

Department of Animal Health and Preventive Medicine, Faculty of Veterinary Medicine, Autonomous University of Yucatan, Km 15.5 Carretera Merida-Xmatkuil, Apdo. Postal 4-116 Itzimna, Merida, Yucatan, Mexico.

Department of Periodontics, Faculty of Odontology, Autonomous University of Yucatan, C.61A x Av. Itzaes, Merida, Yucatan, Mexico.

出版信息

Vet Med Int. 2025 Feb 28;2025:6628061. doi: 10.1155/vmi/6628061. eCollection 2025.

Abstract

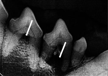
With the objective to evaluate the prevalence of periodontal disease (PD) and monitor the most affected teeth in dogs under the subtropical conditions in Mexico, 184 randomly selected dogs underwent a periodontal examination. Of the evaluated dogs, 78.8% showed some degree of gingivitis most of them (76.6%) with a moderate index, and 30.4% presented some degree of PD being most of them of a mild degree. Old age and small size dogs were more prone to develop PD as reported elsewhere. Higher mobility index and furcation were seen in maxillary teeth 108 and 208 and mandibular teeth 308 and 408, but some other teeth were involved in less proportion. On probing, bleeding was observed in maxillary teeth 202, 11, 102, and 202 and mandibular teeth 309 and 409. Dental plaque and calculus were more frequent in maxillary teeth 202 and 102 and mandibular teeth 309, 310, and 409. Finally, dental loss was observed with more frequency in all maxillary incisors (102, 201, and 202) and molars 109 and 209; mandibular molars 411 and 311 were more prompt to be losed. This study demonstrates the high prevalence of gingivitis and development of PD in dogs in subtropics in Mexico and reveals the predisposition of some maxillary and mandibular teeth to develop PD and consequently their loss. The clinical implications of the study indicate that special attention should be paid to these teeth to be checked when the dogs come for consultation, during brushing and in dental prophylaxis.

摘要

为评估墨西哥亚热带条件下犬牙周病(PD)的患病率并监测受影响最严重的牙齿,对184只随机挑选的犬进行了牙周检查。在接受评估的犬中,78.8%表现出一定程度的牙龈炎,其中大多数(76.6%)指数为中度,30.4%表现出一定程度的PD,其中大多数为轻度。如其他地方所报道,老年犬和小型犬更容易患PD。在上颌108和208牙齿以及下颌308和408牙齿中观察到更高的松动指数和根分叉,但其他一些牙齿受累比例较低。探诊时,在上颌202、11、102和202牙齿以及下颌309和409牙齿中观察到出血。牙菌斑和牙结石在上颌202和102牙齿以及下颌3(此处原文有误,应为309)、310和409牙齿中更为常见。最后,在上颌所有切牙(102、201和202)以及磨牙109和209中观察到牙齿脱落的频率更高;下颌磨牙411和311更容易脱落。本研究表明墨西哥亚热带地区犬牙龈炎的高患病率和PD的发生,并揭示了一些上颌和下颌牙齿患PD并因此脱落的易感性。该研究的临床意义表明,当犬前来咨询、刷牙和进行牙齿预防时,应特别注意检查这些牙齿。

https://cdn.ncbi.nlm.nih.gov/pmc/blobs/8c84/11986946/62fce2fd4cfb/VMI2025-6628061.001.jpg

文献AI研究员

20分钟写一篇综述,助力文献阅读效率提升50倍。

立即体验

用中文搜PubMed

大模型驱动的PubMed中文搜索引擎

马上搜索

文档翻译

学术文献翻译模型,支持多种主流文档格式。

立即体验