• 文献检索
  • 文档翻译
  • 深度研究
  • 学术资讯
  • Suppr Zotero 插件Zotero 插件
  • 邀请有礼
  • 套餐&价格
  • 历史记录
应用&插件
Suppr Zotero 插件Zotero 插件浏览器插件Mac 客户端Windows 客户端微信小程序
定价
高级版会员购买积分包购买API积分包
服务
文献检索文档翻译深度研究API 文档MCP 服务
关于我们
关于 Suppr公司介绍联系我们用户协议隐私条款
关注我们

Suppr 超能文献

核心技术专利:CN118964589B侵权必究
粤ICP备2023148730 号-1Suppr @ 2026

文献检索

告别复杂PubMed语法,用中文像聊天一样搜索,搜遍4000万医学文献。AI智能推荐,让科研检索更轻松。

立即免费搜索

文件翻译

保留排版,准确专业,支持PDF/Word/PPT等文件格式,支持 12+语言互译。

免费翻译文档

深度研究

AI帮你快速写综述,25分钟生成高质量综述,智能提取关键信息,辅助科研写作。

立即免费体验

腹壁巨大硬纤维瘤:一例报告

Giant desmoid tumor of the abdominal wall: a case report.

作者信息

Tormane Mohamed Amine, Laamiri Ghazi, Jbir Ichraf, Ltifi Nada, Bouassida Mahdi, Touinsi Hassen

机构信息

Department of General Surgery, Hospital Mohamed Taher Maamouri, Nabeul, Tunisia; University Tunis El Manar, Faculty of Medicine of Tunis, Tunisia.

Department of General Surgery, Hospital Mohamed Taher Maamouri, Nabeul, Tunisia; University Tunis El Manar, Faculty of Medicine of Tunis, Tunisia.

出版信息

Int J Surg Case Rep. 2025 May;130:111304. doi: 10.1016/j.ijscr.2025.111304. Epub 2025 Apr 15.

DOI:10.1016/j.ijscr.2025.111304
PMID:40239369
原文链接:https://pmc.ncbi.nlm.nih.gov/articles/PMC12019195/
Abstract

INTRODUCTION AND IMPORTANCE

Desmoid tumors are a rare type of benign fibromatosis. Patients often present with a painless abdominal mass. Here, we report a case of a giant desmoid tumor of the abdominal wall that was successfully treated with wide local excision.

CASE PRESENTATION

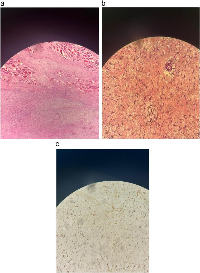
We present the case of a 48-year-old female who developed an abdominal mass over the past year. Imaging revealed a well-circumscribed mass on the left side of the abdomen, which was treated with wide local excision. Immunohistochemical analysis of the specimen confirmed the diagnosis of a desmoid tumor. The patient had an uneventful postoperative recovery and remained in remission during an 18-month follow-up period.

DISCUSSION

Desmoid tumors are very rare benign lesions that typically affect young women. Abdominal wall localization is more common in individuals with Gardner syndrome. Surgery remains the primary treatment, with the approach depending on the size and location of the lesion. Radiotherapy is considered an alternative for tumors that are unresectable or incompletely excised. The definitive diagnosis requires immunohistochemical analysis of the specimen.

CONCLUSION

Desmoid tumors are benign fibromatoses that can occur in the abdominal wall. Symptoms are typically non-specific. Surgery is the main treatment, always aiming for radical resection with free margins. Histological analysis of the surgical specimen is crucial for confirming the diagnosis.

摘要

引言与重要性

硬纤维瘤是一种罕见的良性纤维瘤病。患者常表现为无痛性腹部肿块。在此,我们报告一例腹壁巨大硬纤维瘤,经广泛局部切除成功治疗。

病例介绍

我们呈现一例48岁女性病例,该患者在过去一年中出现腹部肿块。影像学检查显示腹部左侧有一个边界清晰的肿块,经广泛局部切除进行治疗。对标本进行免疫组织化学分析确诊为硬纤维瘤。患者术后恢复顺利,在18个月的随访期内保持缓解状态。

讨论

硬纤维瘤是非常罕见的良性病变,通常影响年轻女性。腹壁定位在患有加德纳综合征的个体中更为常见。手术仍然是主要治疗方法,治疗方式取决于病变的大小和位置。对于不可切除或切除不完全的肿瘤,放疗被认为是一种替代方法。明确诊断需要对标本进行免疫组织化学分析。

结论

硬纤维瘤是可发生于腹壁的良性纤维瘤病。症状通常不具有特异性。手术是主要治疗方法,始终旨在进行切缘阴性的根治性切除。手术标本的组织学分析对于确诊至关重要。

https://cdn.ncbi.nlm.nih.gov/pmc/blobs/a21c/12019195/0340cfd9bed8/gr4.jpg
https://cdn.ncbi.nlm.nih.gov/pmc/blobs/a21c/12019195/c5ea854843cd/gr1.jpg
https://cdn.ncbi.nlm.nih.gov/pmc/blobs/a21c/12019195/20fad0099fd9/gr2.jpg
https://cdn.ncbi.nlm.nih.gov/pmc/blobs/a21c/12019195/78eda3179baa/gr3.jpg
https://cdn.ncbi.nlm.nih.gov/pmc/blobs/a21c/12019195/0340cfd9bed8/gr4.jpg
https://cdn.ncbi.nlm.nih.gov/pmc/blobs/a21c/12019195/c5ea854843cd/gr1.jpg
https://cdn.ncbi.nlm.nih.gov/pmc/blobs/a21c/12019195/20fad0099fd9/gr2.jpg
https://cdn.ncbi.nlm.nih.gov/pmc/blobs/a21c/12019195/78eda3179baa/gr3.jpg
https://cdn.ncbi.nlm.nih.gov/pmc/blobs/a21c/12019195/0340cfd9bed8/gr4.jpg

相似文献

1
Giant desmoid tumor of the abdominal wall: a case report.腹壁巨大硬纤维瘤:一例报告
Int J Surg Case Rep. 2025 May;130:111304. doi: 10.1016/j.ijscr.2025.111304. Epub 2025 Apr 15.
2
Desmoid tumor of the anterolateral abdominal wall: A rare case report.腹壁前外侧硬纤维瘤:一例罕见病例报告。
Ann Med Surg (Lond). 2021 Sep 8;70:102804. doi: 10.1016/j.amsu.2021.102804. eCollection 2021 Oct.
3
Reconstruction of an abdominal wall defect with biologic mesh after resection of a desmoid tumor in a patient with a Gardner's syndrome.一名患有加德纳综合征的患者在切除硬纤维瘤后,使用生物补片重建腹壁缺损。
Acta Chir Belg. 2017 Feb;117(1):55-60. doi: 10.1080/00015458.2016.1212499. Epub 2016 Aug 18.
4
An unusual finding in a desmoid-type fibromatosis of the pancreas: a case report and review of the literature.胰腺韧带样型纤维瘤病的一项罕见发现:病例报告及文献复习
J Med Case Rep. 2018 May 12;12(1):123. doi: 10.1186/s13256-018-1635-x.
5
Gardner syndrome with giant abdominal desmoid tumor during pregnancy: a case report.妊娠期伴有巨大腹部硬纤维瘤的 Gardner 综合征:一例报告。
BMC Surg. 2020 Nov 12;20(1):282. doi: 10.1186/s12893-020-00944-z.
6
Desmoid Tumor of the Rectus Abdominis with Urinary Bladder Involvement: A Case Report and Review of Literature.腹直肌内侵袭性纤维瘤病:附 1 例报告并文献复习
Gulf J Oncolog. 2023 Jan;1(41):100-106.
7
Giant Intra-Abdominal Desmoid Tumor in a Young Man: A Case Report and Literature Review.一名青年男性的巨大腹腔内硬纤维瘤:病例报告及文献综述
Surg Case Rep. 2025;11(1). doi: 10.70352/scrj.cr.24-0019. Epub 2025 Mar 15.
8
Abdominal wall reconstruction for desmoid tumour surgery: Case report.腹壁重建用于硬纤维瘤手术:病例报告。
Int J Surg Case Rep. 2019;64:6-9. doi: 10.1016/j.ijscr.2019.09.010. Epub 2019 Sep 20.
9
An intra-abdominal desmoid tumour: Case report.一例腹内硬纤维瘤:病例报告。
Int J Surg Case Rep. 2025 Feb;127:110897. doi: 10.1016/j.ijscr.2025.110897. Epub 2025 Jan 15.
10
Sporadic Abdominal Wall Desmoid type Fibromatosis: treatment paradigm after thirty two years.散发性腹壁硬纤维瘤型纤维瘤病:32年的治疗模式
BMC Surg. 2018 Jun 7;18(1):37. doi: 10.1186/s12893-018-0367-6.

引用本文的文献

1
Complicated Extra-Abdominal Desmoid Tumor Associated With Pregnancy in a Patient With a History of Bilateral Mastectomy: A Case Report.双侧乳房切除术后妊娠合并复杂腹外硬纤维瘤病例报告
Cureus. 2025 Jul 19;17(7):e88308. doi: 10.7759/cureus.88308. eCollection 2025 Jul.

本文引用的文献

1
Desmoid tumors of rectus abdominis: A case report and literature review.腹直肌的韧带样瘤:一例病例报告及文献复习。
Medicine (Baltimore). 2024 Jul 26;103(30):e39089. doi: 10.1097/MD.0000000000039089.
2
The SCARE 2023 guideline: updating consensus Surgical CAse REport (SCARE) guidelines.SCARE 2023 指南:更新共识外科病例报告(SCARE)指南。
Int J Surg. 2023 May 1;109(5):1136-1140. doi: 10.1097/JS9.0000000000000373.
3
Surgical Management of a Giant Desmoid Fibromatosis of Abdominal Wall With Vessels Invasion in a Young Man: A Case Report and Review of the Literature.
一名青年男性腹壁巨大侵袭血管性硬纤维瘤的外科治疗:病例报告及文献复习
Front Surg. 2022 Apr 11;9:851164. doi: 10.3389/fsurg.2022.851164. eCollection 2022.
4
Clinical outcomes of medical treatments for progressive desmoid tumors following active surveillance: a systematic review.主动监测后进行医学治疗的侵袭性硬纤维瘤的临床结果:一项系统综述
Musculoskelet Surg. 2023 Mar;107(1):7-18. doi: 10.1007/s12306-022-00738-x. Epub 2022 Feb 12.
5
Desmoid tumor of the anterolateral abdominal wall: A rare case report.腹壁前外侧硬纤维瘤:一例罕见病例报告。
Ann Med Surg (Lond). 2021 Sep 8;70:102804. doi: 10.1016/j.amsu.2021.102804. eCollection 2021 Oct.
6
Multimodality imaging features of desmoid tumors: a head-to-toe spectrum.硬纤维瘤的多模态成像特征:从头到脚的图谱
Insights Imaging. 2020 Sep 25;11(1):103. doi: 10.1186/s13244-020-00908-0.
7
Abdominal wall reconstruction after desmoid type fibromatosis radical resection: Case series from a single institution and review of the literature.韧带样型纤维瘤病根治性切除术后的腹壁重建:单机构病例系列及文献综述
Int J Surg Case Rep. 2017;33:167-172. doi: 10.1016/j.ijscr.2017.02.050. Epub 2017 Mar 1.
8
Abdominal wall desmoid tumors: A case report.腹壁硬纤维瘤:一例报告。
Oncol Lett. 2013 Jun;5(6):1976-1978. doi: 10.3892/ol.2013.1297. Epub 2013 Apr 10.
9
Local recurrence after surgery for primary extra-abdominal desmoid-type fibromatosis.原发性腹外型纤维瘤病手术后局部复发。
Br J Surg. 2013 Aug;100(9):1214-9. doi: 10.1002/bjs.9194. Epub 2013 Jun 27.
10
Desmoid tumor of the abdominal wall: a case report.腹壁硬纤维瘤:一例报告
J Med Case Rep. 2011 Jul 25;5:326. doi: 10.1186/1752-1947-5-326.