• 文献检索
  • 文档翻译
  • 深度研究
  • 学术资讯
  • Suppr Zotero 插件Zotero 插件
  • 邀请有礼
  • 套餐&价格
  • 历史记录
应用&插件
Suppr Zotero 插件Zotero 插件浏览器插件Mac 客户端Windows 客户端微信小程序
定价
高级版会员购买积分包购买API积分包
服务
文献检索文档翻译深度研究API 文档MCP 服务
关于我们
关于 Suppr公司介绍联系我们用户协议隐私条款
关注我们

Suppr 超能文献

核心技术专利:CN118964589B侵权必究
粤ICP备2023148730 号-1Suppr @ 2026

文献检索

告别复杂PubMed语法,用中文像聊天一样搜索,搜遍4000万医学文献。AI智能推荐,让科研检索更轻松。

立即免费搜索

文件翻译

保留排版,准确专业,支持PDF/Word/PPT等文件格式,支持 12+语言互译。

免费翻译文档

深度研究

AI帮你快速写综述,25分钟生成高质量综述,智能提取关键信息,辅助科研写作。

立即免费体验

TRIM25通过促进PIEZO1的K63连接泛素化和降解来促进卵巢癌的铁死亡。

TRIM25 facilitates ferroptosis in ovarian cancer through promoting PIEZO1 K63-linked ubiquitination and degradation.

作者信息

Li Ya, Zhou Fei, Xu Zhengmei

机构信息

Department of Gynecology, Affiliated Hengyang Hospital of Hunan Normal University & Hengyang Central Hospital, Hengyang, No.12 Yancheng Road, Hengyang city, Hunan province, 421000, PR China.

Department of Gynecology, Affiliated Hengyang Hospital of Hunan Normal University & Hengyang Central Hospital, Hengyang, No.12 Yancheng Road, Hengyang city, Hunan province, 421000, PR China.

出版信息

Transl Oncol. 2025 Jun;56:102386. doi: 10.1016/j.tranon.2025.102386. Epub 2025 Apr 18.

DOI:10.1016/j.tranon.2025.102386
PMID:40250035
原文链接:https://pmc.ncbi.nlm.nih.gov/articles/PMC12033990/
Abstract

BACKGROUND

Ovarian cancer represents a significant threat to women's health. and ferroptosis is recognized as a potential natural inhibitor in cancer therapy, the regulatory mechanism of TRIM25 in ovarian cancer and its potential for regulating ferroptosis as a treatment remain unclear.

METHODS

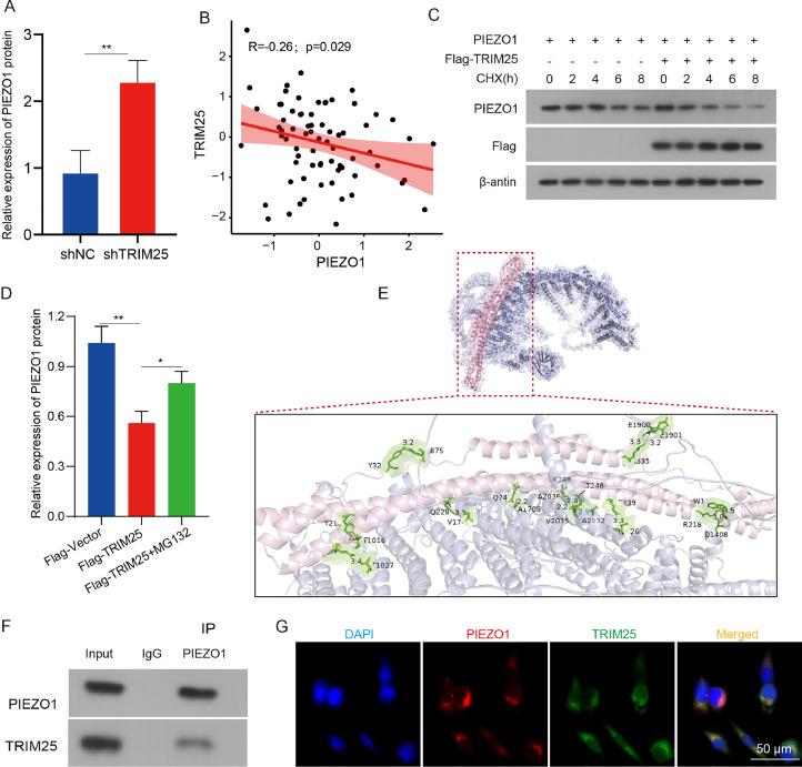
The role of TRIM25 in ovarian cancer was examined through functional gain- and loss-of-function assays both in vitro and in vivo, while its target genes were identified. The stability and ubiquitination sites of PIEZO1 were analyzed using protein docking and ubiquitination experiments.

RESULTS

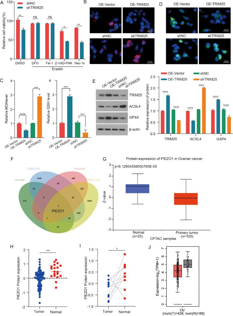
TRIM25 is highly expressed in ovarian cancer and promotes the growth and metastasis of ovarian cancer cells both in vivo and in vitro. Mechanistically, it facilitates PIEZO1 degradation through ubiquitination-dependent proteasome activity, inhibits ferroptosis, and stimulates ovarian cancer cell growth.

CONCLUSION

Our study clearly shows that TRIM25 stimulates ovarian cancer by inducing K63-linked ubiquitination of PIEZO1, which suppresses ferroptosis and promotes excessive proliferation of ovarian cancer cells. Further research identified the ubiquitination modification site on PIEZO1, providing insights for ovarian cancer treatment.

摘要

背景

卵巢癌对女性健康构成重大威胁。铁死亡被认为是癌症治疗中一种潜在的天然抑制剂,TRIM25在卵巢癌中的调控机制及其作为治疗手段调节铁死亡的潜力仍不清楚。

方法

通过体外和体内的功能获得和功能丧失试验研究TRIM25在卵巢癌中的作用,同时鉴定其靶基因。利用蛋白质对接和泛素化实验分析PIEZO1的稳定性和泛素化位点。

结果

TRIM25在卵巢癌中高表达,在体内和体外均促进卵巢癌细胞的生长和转移。机制上,它通过泛素化依赖性蛋白酶体活性促进PIEZO1降解,抑制铁死亡,并刺激卵巢癌细胞生长。

结论

我们的研究清楚地表明,TRIM25通过诱导PIEZO1的K63连接泛素化来刺激卵巢癌,这抑制了铁死亡并促进了卵巢癌细胞的过度增殖。进一步的研究确定了PIEZO1上的泛素化修饰位点,为卵巢癌治疗提供了思路。

https://cdn.ncbi.nlm.nih.gov/pmc/blobs/f97d/12033990/8bab542f83d6/gr6.jpg
https://cdn.ncbi.nlm.nih.gov/pmc/blobs/f97d/12033990/6884b2d5afa8/gr1.jpg
https://cdn.ncbi.nlm.nih.gov/pmc/blobs/f97d/12033990/dd76035c75a4/gr2.jpg
https://cdn.ncbi.nlm.nih.gov/pmc/blobs/f97d/12033990/083782702d27/gr3.jpg
https://cdn.ncbi.nlm.nih.gov/pmc/blobs/f97d/12033990/39ef4192dc7a/gr4.jpg
https://cdn.ncbi.nlm.nih.gov/pmc/blobs/f97d/12033990/83de77a5dcd4/gr5.jpg
https://cdn.ncbi.nlm.nih.gov/pmc/blobs/f97d/12033990/8bab542f83d6/gr6.jpg
https://cdn.ncbi.nlm.nih.gov/pmc/blobs/f97d/12033990/6884b2d5afa8/gr1.jpg
https://cdn.ncbi.nlm.nih.gov/pmc/blobs/f97d/12033990/dd76035c75a4/gr2.jpg
https://cdn.ncbi.nlm.nih.gov/pmc/blobs/f97d/12033990/083782702d27/gr3.jpg
https://cdn.ncbi.nlm.nih.gov/pmc/blobs/f97d/12033990/39ef4192dc7a/gr4.jpg
https://cdn.ncbi.nlm.nih.gov/pmc/blobs/f97d/12033990/83de77a5dcd4/gr5.jpg
https://cdn.ncbi.nlm.nih.gov/pmc/blobs/f97d/12033990/8bab542f83d6/gr6.jpg

相似文献

1
TRIM25 facilitates ferroptosis in ovarian cancer through promoting PIEZO1 K63-linked ubiquitination and degradation.TRIM25通过促进PIEZO1的K63连接泛素化和降解来促进卵巢癌的铁死亡。
Transl Oncol. 2025 Jun;56:102386. doi: 10.1016/j.tranon.2025.102386. Epub 2025 Apr 18.
2
TFEB promotes Ginkgetin-induced ferroptosis via TRIM25 mediated GPX4 lysosomal degradation in EGFR wide-type lung adenocarcinoma.在表皮生长因子受体(EGFR)野生型肺腺癌中,转录因子EB(TFEB)通过TRIM25介导的谷胱甘肽过氧化物酶4(GPX4)溶酶体降解促进白果素诱导的铁死亡。
Theranostics. 2025 Feb 10;15(7):2991-3012. doi: 10.7150/thno.106469. eCollection 2025.
3
ANKRD1 aggravates renal ischaemia‒reperfusion injury via promoting TRIM25-mediated ubiquitination of ACSL3.ANKRD1 通过促进 TRIM25 介导的 ACSL3 泛素化加重肾缺血再灌注损伤。
Clin Transl Med. 2024 Sep;14(9):e70024. doi: 10.1002/ctm2.70024.
4
Identification of a novel ferroptosis-inducing micropeptide in bladder cancer.鉴定膀胱癌中新型的铁死亡诱导微肽。
Cancer Lett. 2024 Feb 1;582:216515. doi: 10.1016/j.canlet.2023.216515. Epub 2023 Dec 5.
5
STUB1 promotes the degradation of HSPB1 and induces ferroptosis in lung cancer cells.STUB1促进HSPB1的降解并诱导肺癌细胞发生铁死亡。
Environ Toxicol. 2024 Aug;39(8):4156-4170. doi: 10.1002/tox.24296. Epub 2024 Apr 25.
6
Tripartite motif 25 inhibits protein aggregate degradation during PRRSV infection by suppressing p62-mediated autophagy.三结构域蛋白 25 通过抑制 p62 介导的自噬来抑制 PRRSV 感染期间的蛋白质聚集体降解。
J Virol. 2024 Nov 19;98(11):e0143724. doi: 10.1128/jvi.01437-24. Epub 2024 Oct 31.
7
TRIM32 promotes neuronal ferroptosis by enhancing K63-linked ubiquitination and subsequent p62-selective autophagic degradation of GPX4.TRIM32通过增强K63连接的泛素化以及随后p62对GPX4的选择性自噬降解来促进神经元铁死亡。
Int J Biol Sci. 2025 Jan 20;21(3):1259-1274. doi: 10.7150/ijbs.106690. eCollection 2025.
8
The deubiquitinase USP10 restores PTEN activity and inhibits non-small cell lung cancer cell proliferation.去泛素化酶 USP10 可恢复 PTEN 的活性并抑制非小细胞肺癌细胞的增殖。
J Biol Chem. 2021 Sep;297(3):101088. doi: 10.1016/j.jbc.2021.101088. Epub 2021 Aug 18.
9
TRIM33 enhances the ubiquitination of TFRC to enhance the susceptibility of liver cancer cells to ferroptosis.TRIM33 通过增强 TFRC 的泛素化来增强肝癌细胞对铁死亡的易感性。
Cell Signal. 2024 Sep;121:111268. doi: 10.1016/j.cellsig.2024.111268. Epub 2024 Jun 21.
10
TRIM25 promotes glioblastoma cell growth and invasion via regulation of the PRMT1/c-MYC pathway by targeting the splicing factor NONO.TRIM25通过靶向剪接因子NONO调控PRMT1/c-MYC途径,促进胶质母细胞瘤细胞的生长和侵袭。
J Exp Clin Cancer Res. 2024 Feb 2;43(1):39. doi: 10.1186/s13046-024-02964-6.

本文引用的文献

1
Selenium-SelK-GPX4 axis protects nucleus pulposus cells against mechanical overloading-induced ferroptosis and attenuates senescence of intervertebral disc.硒- SelK-GPX4 轴保护髓核细胞免受机械超负荷诱导的铁死亡,并减轻椎间盘衰老。
Cell Mol Life Sci. 2024 Jan 22;81(1):49. doi: 10.1007/s00018-023-05067-1.
2
Identification of a novel ferroptosis-inducing micropeptide in bladder cancer.鉴定膀胱癌中新型的铁死亡诱导微肽。
Cancer Lett. 2024 Feb 1;582:216515. doi: 10.1016/j.canlet.2023.216515. Epub 2023 Dec 5.
3
Matrine induces ferroptosis in cervical cancer through activation of piezo1 channel.
苦参碱通过激活Piezo1通道诱导宫颈癌铁死亡。
Phytomedicine. 2024 Jan;122:155165. doi: 10.1016/j.phymed.2023.155165. Epub 2023 Oct 29.
4
Tumor-specific GPX4 degradation enhances ferroptosis-initiated antitumor immune response in mouse models of pancreatic cancer.肿瘤特异性 GPX4 降解增强了胰腺癌小鼠模型中由铁死亡引发的抗肿瘤免疫反应。
Sci Transl Med. 2023 Nov;15(720):eadg3049. doi: 10.1126/scitranslmed.adg3049. Epub 2023 Nov 1.
5
The role of TRIM25 in the occurrence and development of cancers and inflammatory diseases.TRIM25 在癌症和炎症性疾病发生发展中的作用。
Biochim Biophys Acta Rev Cancer. 2023 Sep;1878(5):188954. doi: 10.1016/j.bbcan.2023.188954. Epub 2023 Jul 11.
6
TRIM25 promotes temozolomide resistance in glioma by regulating oxidative stress and ferroptotic cell death via the ubiquitination of keap1.TRIM25 通过泛素化 keap1 调节氧化应激和铁死亡来促进脑胶质瘤对替莫唑胺的耐药性。
Oncogene. 2023 Jun;42(26):2103-2112. doi: 10.1038/s41388-023-02717-3. Epub 2023 May 15.
7
Suppression of USP8 sensitizes cells to ferroptosis via SQSTM1/p62-mediated ferritinophagy.USP8的抑制通过SQSTM1/p62介导的铁自噬使细胞对铁死亡敏感。
Protein Cell. 2023 Apr 13;14(3):230-234. doi: 10.1093/procel/pwac004.
8
Lipid peroxidation increases membrane tension, Piezo1 gating, and cation permeability to execute ferroptosis.脂质过氧化作用会增加膜张力,开启 Piezo1 通道,并增加阳离子通透性,从而执行铁死亡。
Curr Biol. 2023 Apr 10;33(7):1282-1294.e5. doi: 10.1016/j.cub.2023.02.060. Epub 2023 Mar 9.
9
ACSL1-induced ferroptosis and platinum resistance in ovarian cancer by increasing FSP1 N-myristylation and stability.ACSL1通过增加FSP1的N-肉豆蔻酰化和稳定性诱导卵巢癌中的铁死亡和铂耐药。
Cell Death Discov. 2023 Mar 8;9(1):83. doi: 10.1038/s41420-023-01385-2.
10
CST1 inhibits ferroptosis and promotes gastric cancer metastasis by regulating GPX4 protein stability via OTUB1.CST1 通过调节 OTUB1 稳定 GPX4 蛋白来抑制铁死亡并促进胃癌转移。
Oncogene. 2023 Jan;42(2):83-98. doi: 10.1038/s41388-022-02537-x. Epub 2022 Nov 12.