Suppr超能文献

经导管三尖瓣环中置入瓣膜期间的临时上腔静脉植入术

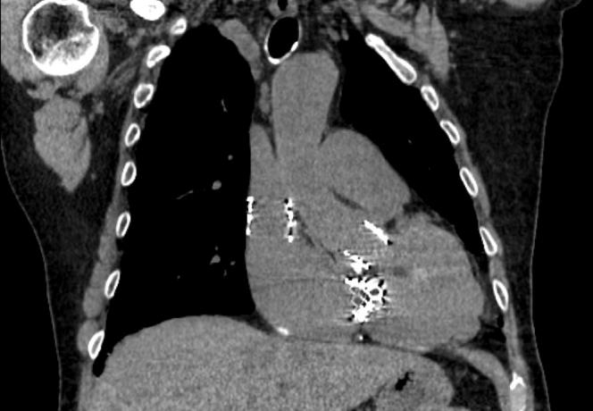
Impromptu SVC Caval Implantation During Tricuspid Transcatheter Valve-in-Ring.

作者信息

Alrayes Hussayn, Chakfeh Eyas, Lai Leo Kar Lok, Fram Georgi, Zweig Brian, Lee James C, O'Neill Brian, Frisoli Tiberio, O'Neill William, Villablanca Pedro, Engel Gonzalez Pedro

机构信息

Center for Structural Heart Disease, Henry Ford Health System, Detroit, Michigan, USA.

Division of Hospitalist Medicine, Henry Ford Health System, Detroit, Michigan, USA.

出版信息

JACC Case Rep. 2025 Apr 16;30(8):103237. doi: 10.1016/j.jaccas.2025.103237. Epub 2025 Feb 26.

Abstract

An 84-year-old man with a history of tricuspid valve regurgitation after repair with an incomplete annuloplasty band presented with worsening tricuspid regurgitation. He underwent a transcatheter valve-in-ring procedure, which was complicated by proximal valve embolization. The procedure was salvaged by performing an ad hoc caval implantation, followed by an additional valve implantation within the tricuspid band, with an excellent result.

摘要

一名84岁男性,既往因三尖瓣环成形带修复不完全后出现三尖瓣反流,此次因三尖瓣反流加重就诊。他接受了经导管瓣膜置入环内手术,术后出现近端瓣膜栓塞并发症。通过临时腔静脉植入术挽救了该手术,随后在三尖瓣环内额外植入了一个瓣膜,效果极佳。

https://cdn.ncbi.nlm.nih.gov/pmc/blobs/c2d2/12046998/848851401999/ga1.jpg

文献AI研究员

20分钟写一篇综述,助力文献阅读效率提升50倍。

立即体验

用中文搜PubMed

大模型驱动的PubMed中文搜索引擎

马上搜索

文档翻译

学术文献翻译模型,支持多种主流文档格式。

立即体验