Sharma Harish, Nadir M Adnan, Steeds Richard P, Doshi Sagar N
Institute of Cardiovascular Sciences, University of Birmingham, Edgbaston, Birmingham B15 2TT, UK.
Department of Cardiology, Queen Elizabeth Hospital Birmingham, Mindelsohn Way, Birmingham B15 2TH, UK.
Eur Heart J Case Rep. 2022 Feb 1;6(2):ytac041. doi: 10.1093/ehjcr/ytac041. eCollection 2022 Feb.
Moderate or severe tricuspid regurgitation (TR) recurs in up to one-third of patients within 8 years of surgical annuloplasty repair. Reoperation often carries high risk with poor outcomes. Transcatheter valve-in-ring repair is an emerging alternative treatment. However, residual regurgitation is frequent and may necessitate further procedures.
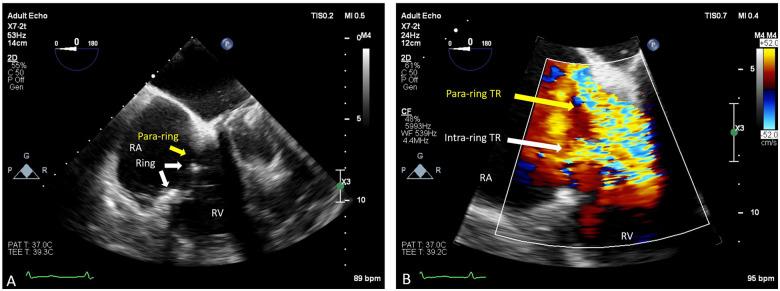
A 52-year-old female was diagnosed with severe rheumatic valvular heart disease. The patient underwent mechanical aortic and mitral valve replacement. Additionally, tricuspid repair was performed using a semi-rigid annuloplasty ring (28 mm Edwards Physio Tricuspid). Within 2 years, the patient developed recurrent, isolated severe symptomatic TR, with progressive right ventricular dilatation. The patient was considered prohibitive risk for redo surgery and unsuitable for cardiac transplantation. She underwent percutaneous valve-in-ring transcatheter heart valve (THV) implantation using a 29 mm Sapien S3 (Edwards Lifesciences, CA, USA) valve. Persistent severe residual para-ring TR warranted a further procedure to deploy vascular plugs, significantly reducing the TR to a mild jet with symptomatic improvement.
Valve-in-ring THV implantation for failed surgical tricuspid annuloplasty repair is a rare procedure reserved for symptomatic patients at high or prohibitive risk for reoperation. Significant residual TR is a commonly encountered problem with incomplete annuloplasty rings following valve-in-ring procedures and may occur either intra-ring between the THV and the ring or para-ring. Implantation of vascular occlusion devices can be used to successfully treat residual TR at either location with good outcomes at 6-month follow-up. Further work is required to determine the longevity of this treatment.
在接受手术瓣环成形术修复的患者中,高达三分之一的患者在8年内会出现中度或重度三尖瓣反流(TR)复发。再次手术往往风险高且预后不佳。经导管瓣中瓣修复是一种新兴的替代治疗方法。然而,残余反流很常见,可能需要进一步的治疗措施。
一名52岁女性被诊断为重度风湿性心脏瓣膜病。该患者接受了机械主动脉瓣和二尖瓣置换术。此外,使用半刚性瓣环成形环(28mm爱德华兹生理三尖瓣环)进行了三尖瓣修复。在2年内,患者出现复发性、孤立性重度有症状TR,并伴有进行性右心室扩张。该患者被认为再次手术风险极高且不适合心脏移植。她接受了经皮瓣中瓣经导管心脏瓣膜(THV)植入术,使用的是29mm Sapien S3(美国加利福尼亚州爱德华兹生命科学公司)瓣膜。持续性重度残余瓣环旁TR需要进一步采取措施植入血管封堵器,显著将TR降至轻度反流束,症状得到改善。
对于手术三尖瓣瓣环成形术修复失败的患者,进行瓣中瓣THV植入是一种罕见的手术,适用于有症状且再次手术风险高或极高的患者。严重残余TR是瓣中瓣手术后使用不完整瓣环成形环常见的问题,可能发生在THV与瓣环之间的瓣环内或瓣环旁。植入血管闭塞装置可成功治疗任一部位的残余TR,6个月随访结果良好。需要进一步研究来确定这种治疗方法的长期效果。