Suppr超能文献

PDZK1抑制肝细胞癌中MRP2介导的奥沙利铂化疗敏感性。

PDZK1 inhibits MRP2-mediated oxaliplatin chemosensitivity in hepatocellular carcinoma.

作者信息

Duan Zeqi, Li Jinyu, Ren Chao, Chen Yi, Feng Duiping, Ma Yanbo, Zhao Chunjuan

机构信息

First Clinical Medical College, Shanxi Medical University, Taiyuan, 030001, Shanxi Province, People's Republic of China.

Department of Oncological and Vascular Intervention, First Hospital of Shanxi Medical University, Taiyuan, 030001, Shanxi Province, People's Republic of China.

出版信息

Sci Rep. 2025 Apr 18;15(1):13438. doi: 10.1038/s41598-025-98085-x.

Abstract

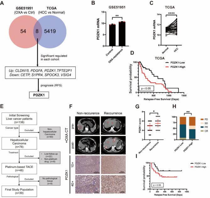
Recurrence after oxaliplatin chemotherapy is a major challenge in the treatment of advanced hepatocellular carcinoma patients. Differential expression gene analysis and Kaplan-Meier curves were screened biomarkers associated with OXA-treated recurrence in GSE51951, TCGA-LIHC, and Chinese Liver Cancer Atlas databases. We retrospectively collected 39 cases of HCC treated with platinum based drugs at the First Hospital of Shanxi Medical University. Immunohistochemistry was used to analyze the relationship between PDZK1 expression and patient recurrence of HCC. Cell model and subcutaneous transplant tumor model of HCC were established to detect the cell growth ability treated with OXA. Gene Set Enrichment Analysis analysis identified signaling pathways associated with high PDZK1. Co-Immunoprecipitation and immunofluorescence experiments were used to explore the potential interaction between PDZK1 and MRP2. We identified that high expression of PDZK1 was associated with OXA resistance and poor prognosis in HCC. PDZK1 promoted the cell viability, migration, and invasion of HCC after OXA treatment in vitro and vivo. MRP2-mediated ABC transporters pathway and bile acid metabolism were significantly activated in the PDZK1 overexpression group of HCC. PDZK1 interacted and co-localized with the carboxyl terminal PDZ binding motif of MRP2. Clinical specimen analysis have shown a positive correlation between the protein levels of PDZK1 and MRP2. Our study identified PDZK1 as a novel biomarker significantly associated with OXA chemosensitivity in HCC. Mechanistically, PDZK1 promoted the OXA sensitivity of HCC by activating the MRP2-mediated signaling pathway.

摘要

奥沙利铂化疗后的复发是晚期肝细胞癌患者治疗中的一项重大挑战。在GSE51951、TCGA-LIHC和中国肝癌图谱数据库中,通过差异表达基因分析和Kaplan-Meier曲线筛选出与奥沙利铂治疗后复发相关的生物标志物。我们回顾性收集了山西医科大学第一医院39例接受铂类药物治疗的肝癌患者。采用免疫组织化学方法分析PDZK1表达与肝癌患者复发之间的关系。建立肝癌细胞模型和皮下移植瘤模型,检测奥沙利铂处理后的细胞生长能力。基因集富集分析确定了与高PDZK1相关的信号通路。采用免疫共沉淀和免疫荧光实验探讨PDZK1与MRP2之间的潜在相互作用。我们发现,PDZK1高表达与肝癌患者对奥沙利铂耐药及预后不良相关。在体外和体内,奥沙利铂处理后,PDZK1促进了肝癌细胞的活力、迁移和侵袭。在肝癌PDZK1过表达组中,MRP2介导的ABC转运蛋白途径和胆汁酸代谢显著激活。PDZK1与MRP2的羧基末端PDZ结合基序相互作用并共定位。临床标本分析显示,PDZK1和MRP2的蛋白水平呈正相关。我们的研究确定PDZK1是一种与肝癌对奥沙利铂化疗敏感性显著相关的新型生物标志物。从机制上讲,PDZK1通过激活MRP2介导的信号通路促进肝癌对奥沙利铂的敏感性。

https://cdn.ncbi.nlm.nih.gov/pmc/blobs/c006/12008203/8cd259bcd834/41598_2025_98085_Fig1_HTML.jpg

文献AI研究员

20分钟写一篇综述,助力文献阅读效率提升50倍。

立即体验

用中文搜PubMed

大模型驱动的PubMed中文搜索引擎

马上搜索

文档翻译

学术文献翻译模型,支持多种主流文档格式。

立即体验