Suppr超能文献

ST段抬高型心肌梗死伴血栓栓塞并发症的延迟就诊患者:治疗挑战:一例病例报告

Late presenters with ST-elevation myocardial infarction and thromboembolic complications: a treatment challenge: a case report.

作者信息

Wojciechowska Małgorzata, Momot Karol, Tomaszewski Jakub, Walkowski Bartosz, Gralak-Łachowska Dagmara, Wróbel Krzysztof, Zieliński Dariusz, Czub Paweł, Zieliński Jakub, Zarębiński Maciej

机构信息

Chair and Department of Experimental and Clinical Physiology, Laboratory of the Centre for Preclinical Research Medical, University of Warsaw, Warsaw, Poland.

Department of Invasive Cardiology, Independent Public Specialist Western Hospital John Paul II, Lazarski University, 05-825, Grodzisk Mazowiecki, Poland.

出版信息

J Med Case Rep. 2025 Apr 18;19(1):178. doi: 10.1186/s13256-025-05195-1.

Abstract

BACKGROUND

Late presenters with ST-elevation myocardial infarction pose a considerable challenge in the field of cardiovascular medicine. These individuals, who delay seeking medical attention after the onset of ST-elevation myocardial infarction symptoms, often face substantial difficulties in treatment. The coronavirus disease 2019 pandemic led to a significant increase in the number of late presenters. By increasing the frequency of complications such as thromboembolic events in the course of left ventricular thrombus, the pandemic necessitated the refinement of existing management strategies.

CASE PRESENTATION

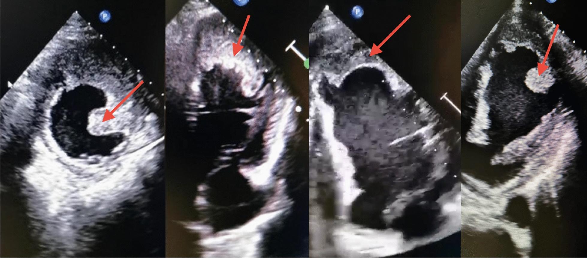
In this paper, we present two White male patients of Central European (Polish) descent (50 and 64 years old) who, although reported to have had acute ST-elevation myocardial infarction, turned out to be ST-elevation myocardial infarction latecomers. In both cases, we were dealing with the presence of left ventricular thrombus and complications related to the central nervous system. On the basis of these two patients, we discuss the role of revascularization in latecomer ST-elevation myocardial infarction patients. We present the position of direct oral anticoagulants in the left ventricular thrombus treatment and show that, in limited cases of a huge thrombus, cardiac surgery is a treatment of choice.

CONCLUSIONS

As left ventricular thrombus is still relatively common in ST-elevation myocardial infarction latecomers, we present the current state of knowledge on this topic, emphasizing the need for further research in this area.

摘要

背景

ST段抬高型心肌梗死的延迟就诊患者给心血管医学领域带来了巨大挑战。这些在ST段抬高型心肌梗死症状发作后延迟就医的患者,在治疗中往往面临诸多困难。2019年冠状病毒病大流行导致延迟就诊患者数量显著增加。由于大流行增加了左心室血栓形成过程中血栓栓塞事件等并发症的发生频率,因此有必要完善现有的管理策略。

病例报告

在本文中,我们介绍了两名中欧(波兰)血统的白人男性患者(分别为50岁和64岁),他们虽被报告患有急性ST段抬高型心肌梗死,但实际上是ST段抬高型心肌梗死的延迟就诊者。在这两个病例中,均存在左心室血栓以及与中枢神经系统相关的并发症。基于这两名患者,我们讨论了血运重建在延迟就诊的ST段抬高型心肌梗死患者中的作用。我们阐述了直接口服抗凝剂在左心室血栓治疗中的地位,并表明在巨大血栓的有限病例中,心脏手术是首选治疗方法。

结论

由于左心室血栓在ST段抬高型心肌梗死延迟就诊者中仍然相对常见,我们介绍了该主题的当前知识状态,强调了该领域进一步研究的必要性。

https://cdn.ncbi.nlm.nih.gov/pmc/blobs/9941/12007224/ee83d82e6792/13256_2025_5195_Fig1_HTML.jpg

文献AI研究员

20分钟写一篇综述,助力文献阅读效率提升50倍。

立即体验

用中文搜PubMed

大模型驱动的PubMed中文搜索引擎

马上搜索

文档翻译

学术文献翻译模型,支持多种主流文档格式。

立即体验