Suppr超能文献

在实验感染杜氏利什曼原虫的仓鼠中,系膜增生性肾小球肾炎与进行性淀粉样沉积相关。

Mesangial proliferative glomerulonephritis associated with progressive amyloid deposition in hamsters experimentally infected with Leishmania donovani.

作者信息

Oliveira A V, Roque-Barreira M C, Sartori A, Campos-Neto A, Rossi M A

出版信息

Am J Pathol. 1985 Aug;120(2):256-62.

Abstract

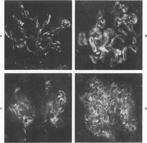
In the present work, 42 golden hamsters (Mesocricetus auratus) were infected by intracardiac injection of 5 X 10(6) amastigote forms of Leishmania donovani. Another group of 28 animals served as uninfected controls. Six hamsters of the infected group and four hamsters of the control group were selected randomly and sacrificed at Days 7, 14, 21, 28, 35, 42, and 49 after inoculation. The kidneys were studied by light microscopy, immunofluorescence and electron microscopy. The levels of serum and urinary immunoglobulins were determined. None of the control hamsters had kidney lesions. Light-microscopically the kidneys of infected hamsters showed a marked mesangial proliferation from Day 7 after infection. These changes were more pronounced at Day 21, when a discrete infiltration of mononuclear cells was frequent. These glomerular changes diminished after Day 28 and were replaced by deposits of amyloid. In the beginning these deposits were in the mesangium and progressively became more extensive, involving capillary loops, Bowman's capsule, and interstitium. The immunofluorescence study showed L donovani antigens and hamster immunoglobulins, primarily in the mesangial areas, by Days 7-14 after infection. These deposits extended into contiguous loops from Day 21 to Day 28. In the last 2 weeks the fluorescent staining for L donovani antigens remained intensely positive, whereas the staining for hamster immunoglobulins became moderate to slightly positive. The ultrastructural study revealed mesangial proliferation, mesangial and paramesangial electron-dense deposits, and amyloidosis in the glomeruli of infected animals. The serum immunoglobulins increased from Day 7 after infection, reaching a peak at Day 21 and falling thereafter until Day 49 to near control values. Immunoglobulins were detected in the urine of infected hamsters at day 21, increasing in amount thereafter. Since L donovani antigens and immunoglobulins were identified in the glomerular lesions, it is likely that they are implicated in the pathogenesis of the mesangial proliferative glomerulonephritis in hamsters experimentally infected with L donovani. The glomerular changes may also explain the loss of immunoglobulins in the urine and the consequent lowering of serum immunoglobulin levels.

摘要

在本研究中,通过心内注射5×10⁶个杜氏利什曼原虫无鞭毛体感染了42只金黄仓鼠(Mesocricetus auratus)。另一组28只动物作为未感染对照。感染组的6只仓鼠和对照组的4只仓鼠在接种后第7、14、21、28、35、42和49天被随机挑选并处死。通过光学显微镜、免疫荧光和电子显微镜对肾脏进行研究。测定血清和尿液免疫球蛋白水平。对照仓鼠均无肾脏病变。光学显微镜下,感染仓鼠的肾脏在感染后第7天即显示出明显的系膜增生。这些变化在第21天更为明显,此时单核细胞的离散浸润较为常见。这些肾小球变化在第28天后逐渐减轻,并被淀粉样沉积物取代。起初这些沉积物位于系膜区,随后逐渐变得更加广泛,累及毛细血管袢、鲍曼囊和间质。免疫荧光研究显示,在感染后第7 - 14天,杜氏利什曼原虫抗原和仓鼠免疫球蛋白主要存在于系膜区。这些沉积物从第21天到第28天延伸至相邻的袢。在最后2周,杜氏利什曼原虫抗原的荧光染色仍呈强阳性,而仓鼠免疫球蛋白的染色则变为中度至轻度阳性。超微结构研究显示感染动物的肾小球存在系膜增生、系膜和副系膜电子致密沉积物以及淀粉样变。血清免疫球蛋白从感染后第7天开始增加,在第21天达到峰值,此后下降直至第49天接近对照值。感染仓鼠在第21天尿液中检测到免疫球蛋白,此后含量增加。由于在肾小球病变中鉴定出杜氏利什曼原虫抗原和免疫球蛋白,它们可能与实验感染杜氏利什曼原虫的仓鼠系膜增生性肾小球肾炎的发病机制有关。肾小球的变化也可能解释尿液中免疫球蛋白的丢失以及随之而来的血清免疫球蛋白水平降低。

https://cdn.ncbi.nlm.nih.gov/pmc/blobs/5c01/1887832/ec1d14c14087/amjpathol00167-0095-a.jpg

相似文献

2
Immune complex glomerulonephritis in experimental kala-azar.
Parasite Immunol. 1987 Jan;9(1):93-103. doi: 10.1111/j.1365-3024.1987.tb00491.x.
10
Leishmania (Leishmania) chagasi-infected mice as a model for the study of glomerular lesions in visceral leishmaniasis.
Braz J Med Biol Res. 2007 Jun;40(6):819-23. doi: 10.1590/s0100-879x2007000600011.

引用本文的文献

2
Anti- Antibody-Producing Plasma Cells in the Spleen in Canine Visceral Leishmaniasis.
Pathogens. 2021 Dec 17;10(12):1635. doi: 10.3390/pathogens10121635.
3
Kidney involvement in leishmaniasis--a review.
Braz J Infect Dis. 2014 Jul-Aug;18(4):434-40. doi: 10.1016/j.bjid.2013.11.013. Epub 2014 Mar 29.

本文引用的文献

3
[The histopathology of kalazar].
Ergeb Allg Pathol Pathol Anat. 1960;39:1-52.
5
Proliferative glomerulonephritis in experimental Leishmania donovani infection of the golden hamster.
Comp Immunol Microbiol Infect Dis. 1981;4(3-4):353-68. doi: 10.1016/0147-9571(81)90021-7.
6
Polyclonal B cell activation in hamsters infected with parasites of the genus Leishmania.
Infect Immun. 1982 Dec;38(3):871-6. doi: 10.1128/iai.38.3.871-876.1982.
7
Interstitial nephritis in human kala-azar.
Trans R Soc Trop Med Hyg. 1983;77(4):531-7. doi: 10.1016/0035-9203(83)90131-1.
9
The pathogenesis of glomerulonephritis.
Am J Med. 1968 Apr;44(4):493-8. doi: 10.1016/0002-9343(68)90050-8.

文献AI研究员

20分钟写一篇综述,助力文献阅读效率提升50倍。

立即体验

用中文搜PubMed

大模型驱动的PubMed中文搜索引擎

马上搜索

文档翻译

学术文献翻译模型,支持多种主流文档格式。

立即体验