Suppr超能文献

在一家三级儿科中心对患有同型半胱氨酸再甲基化障碍的伊拉克患者进行的一项研究。

A study of Iraqi patients with homocysteine remethylation disorders in a tertiary pediatric centre.

作者信息

Al-Tai Mays R, Kareem Adel A, Saadi Nebal W, Omran Tawfig Ben, Abdul Majeed Ban A, Ibrahim Ibrahim F, Alattar Lamia A

机构信息

Metabolic Unit, Children Welfare Teaching Hospital, Baghdad, Iraq.

Pediatric Neurology Unit, Children Welfare Teaching Hospital, Baghdad, Iraq.

出版信息

Mol Genet Metab Rep. 2025 Apr 11;43:101217. doi: 10.1016/j.ymgmr.2025.101217. eCollection 2025 Jun.

Abstract

BACKGROUND

Hyperhomocysteinemia is a group of inherited homocysteine metabolism disorders characterised by elevated blood homocysteine levels (total homocysteine >15 μM). Homocystinuria is classified into two main homocysteine metabolism disorders. Classical Homocystinuria is caused by a deficiency of the pyridoxine-dependent enzyme cystathionine beta-synthase in the trans‑sulfuration pathway. Non-classical Homocystinuria is a group of disorders affecting the interconversion of methionine to homocysteine through the re-methylation pathway.

AIM

This study aims to describe the clinical, biochemical, and genetic profiles of patients with re-methylation disorders.

PATIENTS AND METHODS

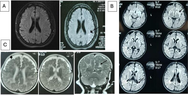
A cohort study was conducted at the metabolic clinic of Children Welfare Teaching Hospital in Baghdad from the 1st of December 2021 to the 1st of December 2022. The study included fifteen patients who met the following criteria: (1) elevated serum homocysteine levels (>15 μmol/L); (2) low or normal blood methionine levels (12-40 μmol/L). fourteen MTHFR patients underwent statistical analysis, and one CblC patient was assessed separately. MTHFR patients comprised nine females and five males. The mean age at presentation was 7.1 years ±4.5, ranging from 1 to 16 years. Consanguineous marriages were reported in 13 patients. A family history of a similar disorder was documented in 73 % of cases. Among the families, four had two affected siblings. The two main reported clinical manifestations were gait disturbance (10/14, 71.4 %) and cognitive impairment/intellectual disability (6/14, 42.8 %). Brain MRI was conducted for all studied patients, with leukodystrophy being the most common finding (8/14, 57.1 %). Molecular testing revealed variants in in 14 patients, and in one patient.

CONCLUSION

According to this study, individuals with homocysteine re-methylation disorders can manifest symptomatology such as neuroregression, psychomotor delay, and whiter matter changes earlier than anticipated. And these disorders are amenable to treatment. Genetic testing is crucial in identifying the specific mutation type and guiding definitive treatment.

摘要

背景

高同型半胱氨酸血症是一组遗传性同型半胱氨酸代谢紊乱疾病,其特征是血液中同型半胱氨酸水平升高(总同型半胱氨酸>15μM)。同型胱氨酸尿症分为两种主要的同型半胱氨酸代谢紊乱疾病。经典型同型胱氨酸尿症是由转硫途径中依赖吡哆醇的酶胱硫醚β-合酶缺乏引起的。非经典型同型胱氨酸尿症是一组通过再甲基化途径影响蛋氨酸向同型半胱氨酸相互转化的疾病。

目的

本研究旨在描述再甲基化紊乱患者的临床、生化和基因特征。

患者与方法

于2021年12月1日至2022年12月1日在巴格达儿童福利教学医院代谢门诊进行了一项队列研究。该研究纳入了15名符合以下标准的患者:(1)血清同型半胱氨酸水平升高(>15μmol/L);(2)血液蛋氨酸水平低或正常(12 - 40μmol/L)。对14名甲基四氢叶酸还原酶(MTHFR)患者进行了统计分析,对1名钴胺素C(CblC)患者进行了单独评估。MTHFR患者包括9名女性和5名男性。就诊时的平均年龄为7.1岁±4.5岁,范围为1至16岁。13名患者报告有近亲结婚情况。73%的病例有类似疾病的家族史。在这些家族中,有4个家族有两名患病的兄弟姐妹。报告的两个主要临床表现是步态障碍(10/14,71.4%)和认知障碍/智力残疾(6/14,42.8%)。对所有研究患者进行了脑部磁共振成像(MRI)检查,最常见的发现是脑白质营养不良(8/14,57.1%)。分子检测在14名患者中发现了变异,在1名患者中也发现了变异。

结论

根据本研究,同型半胱氨酸再甲基化紊乱患者可能比预期更早出现神经退行性变、精神运动发育迟缓及白质改变等症状。并且这些疾病是可治疗的。基因检测对于确定特定的突变类型和指导明确的治疗至关重要。

https://cdn.ncbi.nlm.nih.gov/pmc/blobs/b372/12011169/08da72058a9a/gr1.jpg

文献AI研究员

20分钟写一篇综述,助力文献阅读效率提升50倍。

立即体验

用中文搜PubMed

大模型驱动的PubMed中文搜索引擎

马上搜索

文档翻译

学术文献翻译模型,支持多种主流文档格式。

立即体验