• 文献检索
  • 文档翻译
  • 深度研究
  • 学术资讯
  • Suppr Zotero 插件Zotero 插件
  • 邀请有礼
  • 套餐&价格
  • 历史记录
应用&插件
Suppr Zotero 插件Zotero 插件浏览器插件Mac 客户端Windows 客户端微信小程序
定价
高级版会员购买积分包购买API积分包
服务
文献检索文档翻译深度研究API 文档MCP 服务
关于我们
关于 Suppr公司介绍联系我们用户协议隐私条款
关注我们

Suppr 超能文献

核心技术专利:CN118964589B侵权必究
粤ICP备2023148730 号-1Suppr @ 2026

文献检索

告别复杂PubMed语法,用中文像聊天一样搜索,搜遍4000万医学文献。AI智能推荐,让科研检索更轻松。

立即免费搜索

文件翻译

保留排版,准确专业,支持PDF/Word/PPT等文件格式,支持 12+语言互译。

免费翻译文档

深度研究

AI帮你快速写综述,25分钟生成高质量综述,智能提取关键信息,辅助科研写作。

立即免费体验

夏科-马里-图斯病患者的食管动力障碍:病例报告及文献综述

Oesophageal Dysmotility in a Patient with Charcot-Marie-Tooth Disease: Report and Literature Review.

作者信息

Kloub Mohammad, Abusalim Abdul-Rahman I, Eldesouki Mohamed, Abushanab Mohammad, Okwesili Byron, Atiyat Raed, Bains Yatinder

机构信息

Department of Internal Medicine, Saint Micheal's Medical Center, Newark, USA.

Department of Internal Medicine, Division of Hospital Medicine, University of Wisconsin School of Medicine and Public Health, Madison, USA.

出版信息

Eur J Case Rep Intern Med. 2025 Mar 17;12(4):005219. doi: 10.12890/2025_005219. eCollection 2025.

DOI:10.12890/2025_005219
PMID:40270660
原文链接:https://pmc.ncbi.nlm.nih.gov/articles/PMC12013217/
Abstract

UNLABELLED

Oesophageal dysmotility is a serious condition characterised by impaired coordination of oesophageal smooth muscle contractions, which can be secondary to a variety of causes including infection, inflammation and malignancy. The presenting symptoms are variable and include chest or epigastric pain, food regurgitation, heartburn or cough, making it difficult to distinguish. Diagnostic modalities and treatment strategies vary depending on the underlying cause. Once oesophageal dysmotility is suspected, a thorough evaluation is essential as the management strategies and prognosis of the condition differ significantly based on the underlying pathology. A multidisciplinary approach and clinical expertise are essential for optimal patient care and treatment. While neuromuscular disorders are associated with swallowing dysfunction due to oropharyngeal muscle involvement, oesophageal smooth muscles involvement is rare. This case highlights the importance of careful and frequent evaluation of both respiratory and gastrointestinal smooth muscle function, particularly in patients with chronic neurological disorders.

LEARNING POINTS

Charcot-Marie-Tooth disease has the potential to involve smooth muscles, including those of the diaphragm and gastrointestinal tract.Regular and detailed evaluation of respiratory and swallowing functions is advised for patients with neurological disorders to monitor for early signs of dysfunction.Aspiration pneumonia should always be in the differential in patients with recurrent pneumonia and warrants thorough evaluation to ensure appropriate diagnosis and management.

摘要

未标注

食管动力障碍是一种严重疾病,其特征为食管平滑肌收缩协调受损,可能继发于多种原因,包括感染、炎症和恶性肿瘤。临床表现多样,包括胸痛或上腹痛、食物反流、烧心或咳嗽,难以鉴别。诊断方法和治疗策略因潜在病因而异。一旦怀疑有食管动力障碍,进行全面评估至关重要,因为基于潜在病理情况,该病的管理策略和预后差异很大。多学科方法和临床专业知识对于优化患者护理和治疗至关重要。虽然神经肌肉疾病因口咽肌肉受累而与吞咽功能障碍相关,但食管平滑肌受累罕见。本病例强调了仔细且频繁评估呼吸和胃肠道平滑肌功能的重要性,尤其是在慢性神经疾病患者中。

学习要点

夏科-马里-图思病有可能累及平滑肌,包括膈肌和胃肠道的平滑肌。建议对神经疾病患者进行定期且详细的呼吸和吞咽功能评估,以监测功能障碍的早期迹象。对于反复发生肺炎的患者,应始终将吸入性肺炎列入鉴别诊断,需要进行全面评估以确保正确诊断和管理。

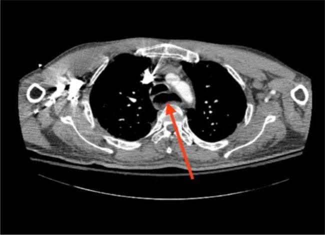
https://cdn.ncbi.nlm.nih.gov/pmc/blobs/a728/12013217/c192b865298b/5219_Fig2.jpg
https://cdn.ncbi.nlm.nih.gov/pmc/blobs/a728/12013217/92de4a74a87b/5219_Fig1.jpg
https://cdn.ncbi.nlm.nih.gov/pmc/blobs/a728/12013217/c192b865298b/5219_Fig2.jpg
https://cdn.ncbi.nlm.nih.gov/pmc/blobs/a728/12013217/92de4a74a87b/5219_Fig1.jpg
https://cdn.ncbi.nlm.nih.gov/pmc/blobs/a728/12013217/c192b865298b/5219_Fig2.jpg

相似文献

1
Oesophageal Dysmotility in a Patient with Charcot-Marie-Tooth Disease: Report and Literature Review.夏科-马里-图斯病患者的食管动力障碍:病例报告及文献综述
Eur J Case Rep Intern Med. 2025 Mar 17;12(4):005219. doi: 10.12890/2025_005219. eCollection 2025.
2
[Dysphagia or dysphagias during neuroleptic medication?].[使用抗精神病药物期间的吞咽困难?]
Encephale. 2012 Sep;38(4):351-5. doi: 10.1016/j.encep.2011.07.002. Epub 2011 Oct 11.
3
Gastrointestinal involvement in neurologic disorders: Stiff-man and Charcot-Marie-Tooth syndromes.
Am J Med Sci. 1997 Jan;313(1):70-3. doi: 10.1097/00000441-199701000-00012.
4
Patients with symptoms of delayed gastric emptying have a high prevalence of oesophageal dysmotility, irrespective of scintigraphic evidence of gastroparesis.有胃排空延迟症状的患者,无论是否有胃轻瘫的闪烁扫描证据,食管运动障碍的患病率都很高。
BMJ Open Gastroenterol. 2017 Sep 14;4(1):e000169. doi: 10.1136/bmjgast-2017-000169. eCollection 2017.
5
MRI biomarker assessment of neuromuscular disease progression: a prospective observational cohort study.神经肌肉疾病进展的MRI生物标志物评估:一项前瞻性观察性队列研究。
Lancet Neurol. 2016 Jan;15(1):65-77. doi: 10.1016/S1474-4422(15)00242-2. Epub 2015 Nov 6.
6
Predictive value of symptom profiles in patients with suspected oesophageal dysmotility.
Scand J Gastroenterol. 1994 May;29(5):392-7. doi: 10.3109/00365529409096828.
7
Phrenic nerve involvement and respiratory muscle weakness in patients with Charcot-Marie-Tooth disease 1A.腓骨肌萎缩症 1A 患者的膈神经受累和呼吸肌无力。
J Peripher Nerv Syst. 2019 Sep;24(3):283-293. doi: 10.1111/jns.12341. Epub 2019 Aug 29.
8
[Chinese expert consensus on the diagnosis and treatment of pneumonia in the elderly (2024 Edition)].《中国老年肺炎诊断与治疗专家共识(2024年版)》
Zhonghua Jie He He Hu Xi Za Zhi. 2025 Jan 12;48(1):18-34. doi: 10.3760/cma.j.cn112147-20240611-00328.
9
Esophageal achalasia presenting as recurrent pneumonia in children: A case series.儿童食管失弛缓症表现为复发性肺炎:病例系列研究。
Medicine (Baltimore). 2024 Nov 1;103(44):e40402. doi: 10.1097/MD.0000000000040402.
10
[The laryngological and neurological aspects of dysphagia].吞咽困难的喉科学与神经学方面
Przegl Lek. 2006;63(2):77-80.

本文引用的文献

1
Esophageal Motility Disorders.食管动力障碍。
Am Fam Physician. 2020 Sep 1;102(5):291-296.
2
Interchangeable Use of Proton Pump Inhibitors Based on Relative Potency.基于相对效力的质子泵抑制剂的可互换使用。
Clin Gastroenterol Hepatol. 2018 Jun;16(6):800-808.e7. doi: 10.1016/j.cgh.2017.09.033. Epub 2017 Sep 28.
3
Diagnosis, natural history, and management of Charcot-Marie-Tooth disease.夏科-马里-图思病的诊断、自然病史及治疗
Lancet Neurol. 2009 Jul;8(7):654-67. doi: 10.1016/S1474-4422(09)70110-3.
4
Charcot-Marie-Tooth neuropathies: diagnosis and management.夏科-马里-图思神经病变:诊断与管理
Semin Neurol. 2008 Apr;28(2):185-94. doi: 10.1055/s-2008-1062264.
5
Autonomic and respiratory dysfunction in Charcot-Marie-Tooth disease due to Thr124Met mutation in the myelin protein zero gene.髓鞘蛋白零基因中Thr124Met突变所致夏科-马里-图斯病的自主神经和呼吸功能障碍
Clin Neurophysiol. 2003 Sep;114(9):1609-14. doi: 10.1016/s1388-2457(03)00159-7.
6
American gastroenterological association medical position statement on treatment of patients with dysphagia caused by benign disorders of the distal esophagus.美国胃肠病学会关于远端食管良性疾病所致吞咽困难患者治疗的医学立场声明。
Gastroenterology. 1999 Jul;117(1):229-33. doi: 10.1016/s0016-5085(99)70572-x.
7
American Gastroenterological Association medical position statement on management of oropharyngeal dysphagia.美国胃肠病学会关于口咽吞咽困难管理的医学立场声明。
Gastroenterology. 1999 Feb;116(2):452-4. doi: 10.1016/s0016-5085(99)70143-5.
8
Gastrointestinal involvement in neurologic disorders: Stiff-man and Charcot-Marie-Tooth syndromes.
Am J Med Sci. 1997 Jan;313(1):70-3. doi: 10.1097/00000441-199701000-00012.
9
Diaphragmatic dysfunction in siblings with hereditary motor and sensory neuropathy (Charcot-Marie-Tooth disease).遗传性运动和感觉神经病(夏科-马里-图斯病)患儿同胞的膈肌功能障碍
Chest. 1987 Apr;91(4):567-70. doi: 10.1378/chest.91.4.567.