Suppr超能文献

圈套技术对于严重右心房扩张患者的无导线起搏器植入是有用的。

Snare technique is useful for leadless pacemaker implantation in a patient with severe right atrial dilatation.

作者信息

Hirose Kosuke, Fukui Tomoki, Miyoshi Miwa, Ogasawara Nobuyuki

机构信息

Department of Cardiology Japan Community Healthcare Organization (JCHO) Osaka Hospital Osaka Japan.

出版信息

J Arrhythm. 2025 Apr 23;41(2):e70075. doi: 10.1002/joa3.70075. eCollection 2025 Apr.

Abstract

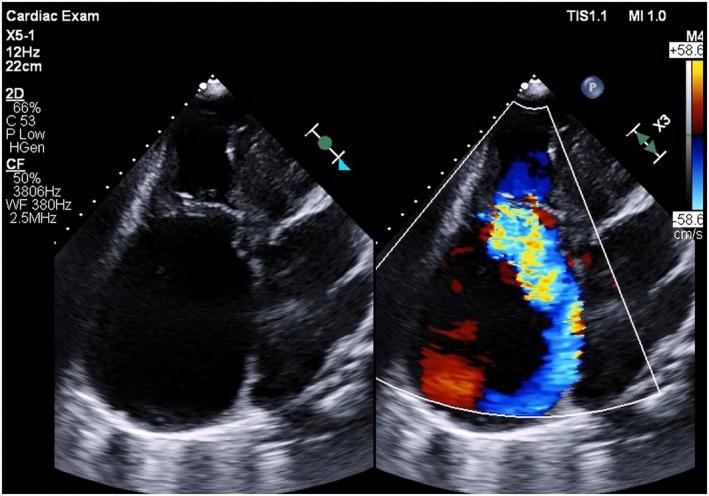
Leadless pacemaker implantation in a patient with severe right atrium dilation was unsuccessful using the conventional approach. The delivery system failed to gain sufficient backup force from the atrial wall and moved upward within the dilated atrium. To overcome this, the snare technique was employed. By securing the slightly distal portion of the top of the shaft curve, the pushing force was effectively transmitted to the tip of the system, creating a stable gooseneck shape for successful implantation.

摘要

对于一名患有严重右心房扩张的患者,采用传统方法进行无导线起搏器植入未成功。输送系统未能从心房壁获得足够的支撑力,在扩张的心房内向上移动。为克服这一问题,采用了圈套技术。通过固定轴曲线顶部稍远的部分,推力有效地传递到系统尖端,形成稳定的鹅颈形状,从而成功植入。

https://cdn.ncbi.nlm.nih.gov/pmc/blobs/8894/12017081/2c34aaa9904a/JOA3-41-e70075-g001.jpg

文献AI研究员

20分钟写一篇综述,助力文献阅读效率提升50倍。

立即体验

用中文搜PubMed

大模型驱动的PubMed中文搜索引擎

马上搜索

文档翻译

学术文献翻译模型,支持多种主流文档格式。

立即体验