• 文献检索
  • 文档翻译
  • 深度研究
  • 学术资讯
  • Suppr Zotero 插件Zotero 插件
  • 邀请有礼
  • 套餐&价格
  • 历史记录
应用&插件
Suppr Zotero 插件Zotero 插件浏览器插件Mac 客户端Windows 客户端微信小程序
定价
高级版会员购买积分包购买API积分包
服务
文献检索文档翻译深度研究API 文档MCP 服务
关于我们
关于 Suppr公司介绍联系我们用户协议隐私条款
关注我们

Suppr 超能文献

核心技术专利:CN118964589B侵权必究
粤ICP备2023148730 号-1Suppr @ 2026

文献检索

告别复杂PubMed语法,用中文像聊天一样搜索,搜遍4000万医学文献。AI智能推荐,让科研检索更轻松。

立即免费搜索

文件翻译

保留排版,准确专业,支持PDF/Word/PPT等文件格式,支持 12+语言互译。

免费翻译文档

深度研究

AI帮你快速写综述,25分钟生成高质量综述,智能提取关键信息,辅助科研写作。

立即免费体验

源自肾透明细胞癌(ccRCC)细胞的外泌体通过下调PANK3,通过瓦伯格效应赋予成纤维细胞激活以促进肿瘤进展。

Exosomes derived from ccRCC cells confers fibroblasts activation to foster tumor progression through Warburg effect by downregulating PANK3.

作者信息

Yang Yang, Qiang Cheng, Jie Zhu, Ce Han, Yan Huang, Xiu-Bin Li, Wen-Mei Fan, Xu Zhang, Yu Gao

机构信息

Department of Urology, the third Medical Centre, Chinese PLA General Hospital, Beijing, China.

Medical School of Chinese PLA, Beijing, China.

出版信息

Cell Death Discov. 2025 Apr 25;11(1):198. doi: 10.1038/s41420-025-02434-8.

DOI:10.1038/s41420-025-02434-8
PMID:40280913
原文链接:https://pmc.ncbi.nlm.nih.gov/articles/PMC12032068/
Abstract

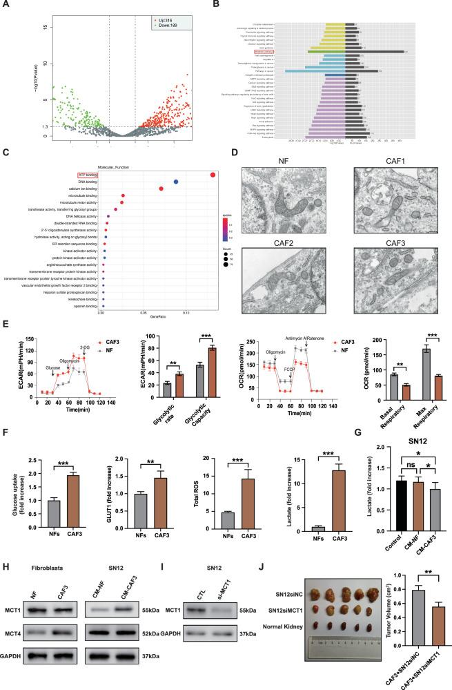
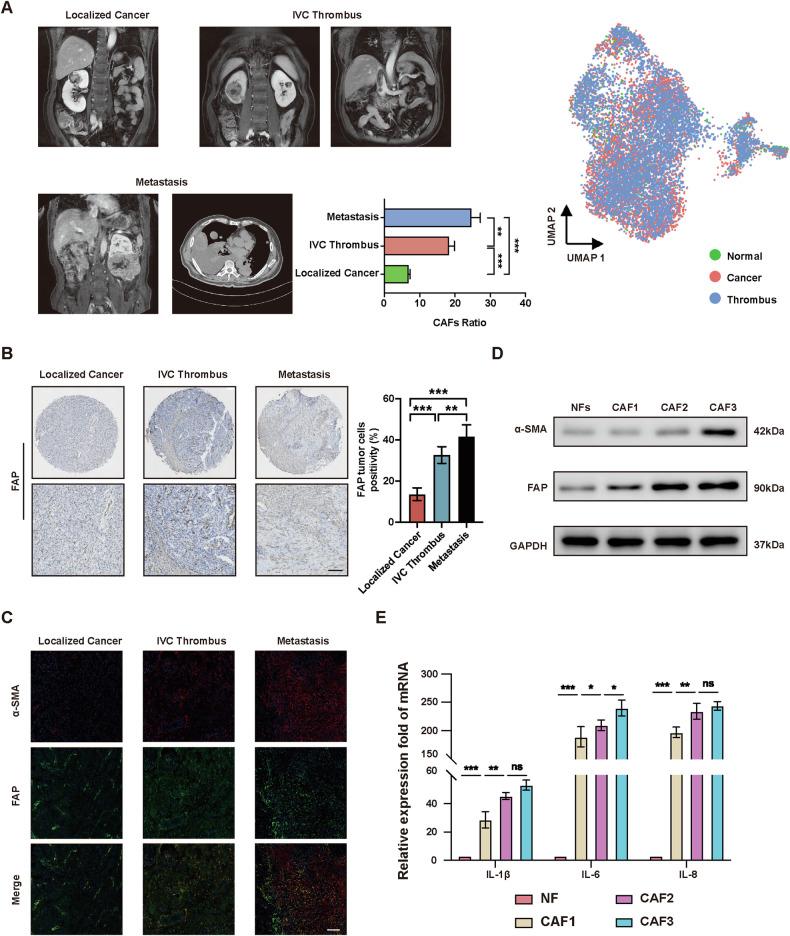
The interaction between tumor-derived exosomes and stroma plays a crucial role in tumor progression. However, the mechanisms through which tumor cells influence stromal changes are not yet fully understood. In our study, through single-cell sequencing analysis of clear cell renal cell carcinoma tissues at varying stages of progression, we determined that the proportion of cancer-associated fibroblasts (CAFs) in advanced renal cell carcinoma tissues was notably higher compared to localized renal cell carcinoma tissues. Comparison of transcriptome sequencing and energy metabolism tests between CAFs primarily isolated from advanced renal cell carcinoma tissues and normal fibroblasts (NFs) revealed the occurrence of the Warburg effect during the fibroblast activation process. Additionally, we observed an increase in glucose transporter GLUT1 expression, total reactive oxygen species (ROS) levels, lactic acid production, and subsequent excretion of excess lactic acid through monocarboxylate transporter-4 (MCT4) in CAFs. Interestingly, renal cancer cells were found to uptake lactic acid via MCT1 upon interaction with CAFs, thereby enhancing their malignant phenotypes. Furthermore, the down-regulation of PANK3 induced by exosomes derived from renal cancer cells was identified as a crucial step in fibroblast activation. These findings indicate that exosomes play a role in facilitating intercellular communication between renal cancer cells and fibroblasts. Targeting this communication pathway could potentially offer new strategies for the prevention and treatment of advanced renal cell carcinoma.

摘要

肿瘤来源的外泌体与基质之间的相互作用在肿瘤进展中起着至关重要的作用。然而,肿瘤细胞影响基质变化的机制尚未完全阐明。在我们的研究中,通过对不同进展阶段的透明细胞肾细胞癌组织进行单细胞测序分析,我们确定晚期肾细胞癌组织中癌相关成纤维细胞(CAFs)的比例明显高于局限性肾细胞癌组织。对主要从晚期肾细胞癌组织中分离出的CAFs与正常成纤维细胞(NFs)之间的转录组测序和能量代谢测试的比较显示,在成纤维细胞激活过程中发生了瓦伯格效应。此外,我们观察到CAFs中葡萄糖转运蛋白GLUT1的表达增加、总活性氧(ROS)水平升高、乳酸产生增加,随后通过单羧酸转运蛋白-4(MCT4)排出过量乳酸。有趣的是,发现肾癌细胞在与CAFs相互作用时通过MCT1摄取乳酸,从而增强其恶性表型。此外,由肾癌细胞衍生的外泌体诱导的PANK3下调被确定为成纤维细胞激活的关键步骤。这些发现表明外泌体在促进肾癌细胞与成纤维细胞之间的细胞间通讯中发挥作用。靶向这一通讯途径可能为晚期肾细胞癌的预防和治疗提供新策略。

https://cdn.ncbi.nlm.nih.gov/pmc/blobs/0d8c/12032068/ab556ba2bc70/41420_2025_2434_Fig6_HTML.jpg
https://cdn.ncbi.nlm.nih.gov/pmc/blobs/0d8c/12032068/d54d14afae4f/41420_2025_2434_Fig1_HTML.jpg
https://cdn.ncbi.nlm.nih.gov/pmc/blobs/0d8c/12032068/3af0df2401b4/41420_2025_2434_Fig2_HTML.jpg
https://cdn.ncbi.nlm.nih.gov/pmc/blobs/0d8c/12032068/9a027a9bb484/41420_2025_2434_Fig3_HTML.jpg
https://cdn.ncbi.nlm.nih.gov/pmc/blobs/0d8c/12032068/f38eb8271cb7/41420_2025_2434_Fig4_HTML.jpg
https://cdn.ncbi.nlm.nih.gov/pmc/blobs/0d8c/12032068/70cb060865a0/41420_2025_2434_Fig5_HTML.jpg
https://cdn.ncbi.nlm.nih.gov/pmc/blobs/0d8c/12032068/ab556ba2bc70/41420_2025_2434_Fig6_HTML.jpg
https://cdn.ncbi.nlm.nih.gov/pmc/blobs/0d8c/12032068/d54d14afae4f/41420_2025_2434_Fig1_HTML.jpg
https://cdn.ncbi.nlm.nih.gov/pmc/blobs/0d8c/12032068/3af0df2401b4/41420_2025_2434_Fig2_HTML.jpg
https://cdn.ncbi.nlm.nih.gov/pmc/blobs/0d8c/12032068/9a027a9bb484/41420_2025_2434_Fig3_HTML.jpg
https://cdn.ncbi.nlm.nih.gov/pmc/blobs/0d8c/12032068/f38eb8271cb7/41420_2025_2434_Fig4_HTML.jpg
https://cdn.ncbi.nlm.nih.gov/pmc/blobs/0d8c/12032068/70cb060865a0/41420_2025_2434_Fig5_HTML.jpg
https://cdn.ncbi.nlm.nih.gov/pmc/blobs/0d8c/12032068/ab556ba2bc70/41420_2025_2434_Fig6_HTML.jpg

相似文献

1
Exosomes derived from ccRCC cells confers fibroblasts activation to foster tumor progression through Warburg effect by downregulating PANK3.源自肾透明细胞癌(ccRCC)细胞的外泌体通过下调PANK3,通过瓦伯格效应赋予成纤维细胞激活以促进肿瘤进展。
Cell Death Discov. 2025 Apr 25;11(1):198. doi: 10.1038/s41420-025-02434-8.
2
Extracellular vesicle packaged LMP1-activated fibroblasts promote tumor progression via autophagy and stroma-tumor metabolism coupling.细胞外囊泡包裹的 LMP1 激活的成纤维细胞通过自噬和基质-肿瘤代谢偶联促进肿瘤进展。
Cancer Lett. 2020 May 28;478:93-106. doi: 10.1016/j.canlet.2020.03.004. Epub 2020 Mar 8.
3
Delivery of miR-224-5p by Exosomes from Cancer-Associated Fibroblasts Potentiates Progression of Clear Cell Renal Cell Carcinoma.肿瘤相关成纤维细胞来源的外泌体递送 miR-224-5p 促进肾透明细胞癌进展。
Comput Math Methods Med. 2021 May 24;2021:5517747. doi: 10.1155/2021/5517747. eCollection 2021.
4
Shikonin reverses cancer-associated fibroblast-induced gemcitabine resistance in pancreatic cancer cells by suppressing monocarboxylate transporter 4-mediated reverse Warburg effect.紫草素通过抑制单羧酸转运蛋白 4 介导的反向瓦博格效应逆转癌症相关成纤维细胞诱导的胰腺癌细胞对吉西他滨的耐药性。
Phytomedicine. 2024 Jan;123:155214. doi: 10.1016/j.phymed.2023.155214. Epub 2023 Nov 23.
5
Reciprocal metabolic reprogramming through lactate shuttle coordinately influences tumor-stroma interplay.通过乳酸穿梭实现的代谢互惠重编程协调影响肿瘤-基质相互作用。
Cancer Res. 2012 Oct 1;72(19):5130-40. doi: 10.1158/0008-5472.CAN-12-1949. Epub 2012 Jul 31.
6
Exosomes Derived from Cancer-Associated Fibroblasts Regulate Cell Progression in Clear-Cell Renal-Cell Carcinoma.肿瘤相关成纤维细胞来源的外泌体调控肾透明细胞癌的细胞进展。
Nephron. 2022;146(4):383-392. doi: 10.1159/000520304. Epub 2021 Dec 13.
7
Cancer-Associated Fibroblasts Boost Tumorigenesis of Clear Cell Renal Cell Carcinoma via Exosome-Mediated Paracrine SNHG1.癌相关成纤维细胞通过外泌体介导的旁分泌 SNHG1 促进透明细胞肾细胞癌的肿瘤发生。
Biochem Genet. 2024 Jun;62(3):2033-2048. doi: 10.1007/s10528-023-10512-8. Epub 2023 Oct 10.
8
Nuclear factor E2-related factor-2 has a differential impact on MCT1 and MCT4 lactate carrier expression in colonic epithelial cells: a condition favoring metabolic symbiosis between colorectal cancer and stromal cells.核因子 E2 相关因子 2 对结肠上皮细胞中 MCT1 和 MCT4 乳酸载体表达的影响不同:有利于结直肠癌细胞与基质细胞之间代谢共生的条件。
Oncogene. 2018 Jan 4;37(1):39-51. doi: 10.1038/onc.2017.299. Epub 2017 Aug 28.
9
Monocarboxylate Transporter 4 in Cancer-Associated Fibroblasts Is a Driver of Aggressiveness in Aerodigestive Tract Cancers.癌症相关成纤维细胞中的单羧酸转运蛋白4是气消化道癌症侵袭性的驱动因素。
Front Oncol. 2022 Jun 22;12:906494. doi: 10.3389/fonc.2022.906494. eCollection 2022.
10
TGF-β1 induced autophagy in cancer associated fibroblasts during hypoxia contributes EMT and glycolysis via MCT4 upregulation.缺氧条件下转化生长因子-β1(TGF-β1)诱导肿瘤相关成纤维细胞自噬,通过上调 MCT4 促进上皮间质转化(EMT)和糖酵解。
Exp Cell Res. 2022 Aug 1;417(1):113195. doi: 10.1016/j.yexcr.2022.113195. Epub 2022 May 11.

本文引用的文献

1
Surgery Outcomes for Pulmonary Metastases from Renal Cell Carcinoma.肾细胞癌肺转移的手术治疗结果
Acta Med Okayama. 2022 Oct;76(5):585-591. doi: 10.18926/AMO/64040.
2
Exosome-Mediated Immunosuppression in Tumor Microenvironments.外泌体介导的肿瘤微环境中的免疫抑制。
Cells. 2022 Jun 16;11(12):1946. doi: 10.3390/cells11121946.
3
Exosome-mediated remodeling of the tumor microenvironment: From local to distant intercellular communication.外泌体介导的肿瘤微环境重塑:从局部到远处细胞间通讯。
Cancer Lett. 2022 Sep 1;543:215796. doi: 10.1016/j.canlet.2022.215796. Epub 2022 Jun 18.
4
Molecular Mechanisms of Resistance to Immunotherapy and Antiangiogenic Treatments in Clear Cell Renal Cell Carcinoma.透明细胞肾细胞癌对免疫治疗和抗血管生成治疗耐药的分子机制
Cancers (Basel). 2021 Nov 28;13(23):5981. doi: 10.3390/cancers13235981.
5
Expression of miR-92a in colon cancer tissues and its correlation with clinicopathologic features and prognosis.miR-92a在结肠癌组织中的表达及其与临床病理特征和预后的相关性。
Am J Transl Res. 2021 Aug 15;13(8):9627-9632. eCollection 2021.
6
Novel strategies to improve tumour therapy by targeting the proteins MCT1, MCT4 and LAT1.通过靶向 MCT1、MCT4 和 LAT1 蛋白提高肿瘤治疗的新策略。
Eur J Med Chem. 2021 Dec 15;226:113806. doi: 10.1016/j.ejmech.2021.113806. Epub 2021 Aug 26.
7
Expression, regulation, and function of exosome-derived miRNAs in cancer progression and therapy.外泌体衍生 miRNA 在癌症进展和治疗中的表达、调控及功能。
FASEB J. 2021 Oct;35(10):e21916. doi: 10.1096/fj.202100294RR.
8
Fibroblast Activation Protein (FAP)-Targeted CAR-T Cells: Launching an Attack on Tumor Stroma.成纤维细胞活化蛋白(FAP)靶向嵌合抗原受体T细胞(CAR-T):对肿瘤基质发起攻击
Immunotargets Ther. 2021 Aug 5;10:313-323. doi: 10.2147/ITT.S291767. eCollection 2021.
9
MicroRNA: A signature for cancer progression.MicroRNA:癌症进展的特征。
Biomed Pharmacother. 2021 Jun;138:111528. doi: 10.1016/j.biopha.2021.111528. Epub 2021 Mar 23.
10
Cell-free microRNA-1246 in different body fluids as a diagnostic biomarker for esophageal squamous cell carcinoma.不同体液中的无细胞 microRNA-1246 作为食管鳞癌的诊断生物标志物。
PLoS One. 2021 Mar 10;16(3):e0248016. doi: 10.1371/journal.pone.0248016. eCollection 2021.