Suppr超能文献

鉴定二花脸猪肌内脂肪沉积中的特定脂质生物标志物及新型候选物LYPLA1。

Identifying the specific lipid biomarkers and LYPLA1 as a novel candidate in intramuscular fat deposition of Erhualian pigs.

作者信息

Meng Wenjing, Yan JiaYu, Zhao Yuelei, Ye Zijian, Ma Xiangfei, Wei Wei, Chen Jie, Zhang Lifan

机构信息

College of Animal Science and Technology, Nanjing Agricultural University, Nanjing, 210095, China.

出版信息

BMC Genomics. 2025 Apr 25;26(1):407. doi: 10.1186/s12864-025-11611-z.

Abstract

BACKGROUND

Intramuscular fat (IMF) is a key determinant of meat quality enhancement in pigs. However, its correlation with subcutaneous fat (SCF) deposition presents a challenge. The precise regulation of IMF lipogenesis, without impacting SCF deposition, is a critical issue in the pig industry. To investigate this, our study examined the lipid profiles of longissimus dorsi (LD) muscle and subcutaneous adipose tissue in high IMF (IMFH) and low IMF (IMFL) Chinese Erhualian pigs using lipidomics techniques.

RESULTS

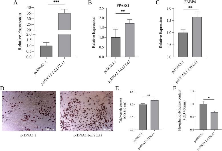
We identified 112 differentially abundant lipids (DALs) in the muscle and 101 DALs in the adipose tissue. Notably, 105 specific DALs associated with IMF, including various candidate markers like upregulated lipids of PS (19:2/18:1), TG (14:2/4:0/4:0), PS (17:1/18:2), FA(10:0) + COOH:(s), CL (20:4/18:2/18:2/18:2), and downregulated lipids of FA (20:4), SM (d43:5), TG (38:1/22:6), PC (22:3/20:3), and PC (18:2/24:8), were identified. These specific DALs were implicated in the regulation of linoleic, arachidonic, and alpha-linolenic acid metabolism, and choline metabolism in cancer. We further discovered that the lysophosphlipase 1 (LYPLA1) gene promotes differentiation and lipid deposition of intramuscular pre-adipocytes by affecting the phosphatidylcholine (PC) content.

CONCLUSIONS

Our findings identify specific lipids associated with IMF accumulation in both skeletal muscle and subcutaneous adipose depots, thereby offering valuable insights into the lipid composition of porcine IMF and new avenues for targeted IMF deposition.

摘要

背景

肌内脂肪(IMF)是猪肌肉品质提升的关键决定因素。然而,其与皮下脂肪(SCF)沉积的相关性带来了挑战。在不影响SCF沉积的情况下精确调控IMF脂肪生成,是养猪业中的一个关键问题。为了对此进行研究,我们的研究使用脂质组学技术检测了高IMF(IMFH)和低IMF(IMFL)的中国二花脸猪背最长肌(LD)和皮下脂肪组织的脂质谱。

结果

我们在肌肉中鉴定出112种差异丰度脂质(DALs),在脂肪组织中鉴定出101种DALs。值得注意的是,鉴定出了105种与IMF相关的特异性DALs,包括各种候选标志物,如PS(19:2/18:1)、TG(14:2/4:0/4:0)、PS(17:1/18:2)、FA(10:0) + COOH:(s)、CL(20:4/18:2/18:2/18:2)等上调脂质,以及FA(20:4)、SM(d43:5)、TG(38:1/22:6)、PC(22:3/20:3)和PC(18:2/24:8)等下调脂质。这些特异性DALs参与了亚油酸、花生四烯酸和α-亚麻酸代谢以及癌症中的胆碱代谢调控。我们进一步发现,溶血磷脂酶1(LYPLA1)基因通过影响磷脂酰胆碱(PC)含量促进肌内前脂肪细胞的分化和脂质沉积。

结论

我们的研究结果确定了与骨骼肌和皮下脂肪库中IMF积累相关的特异性脂质,从而为猪IMF的脂质组成提供了有价值的见解,并为靶向IMF沉积提供了新途径。

https://cdn.ncbi.nlm.nih.gov/pmc/blobs/cb50/12032779/0bbea0d2044e/12864_2025_11611_Fig1_HTML.jpg

文献AI研究员

20分钟写一篇综述,助力文献阅读效率提升50倍。

立即体验

用中文搜PubMed

大模型驱动的PubMed中文搜索引擎

马上搜索

文档翻译

学术文献翻译模型,支持多种主流文档格式。

立即体验