Suppr超能文献

垂耳宠物兔外耳道疾病的手术治疗选择——外侧耳道切除术(LECA)的评估()

Evaluation of Lateral Ear Canal Ablation (LECA) as a Surgical Treatment Option for External Ear Canal Disease in Lop-Eared Pet Rabbits ().

作者信息

Willems Anne, Hetterich Johannes, Thöle Milena, Pees Michael, Fehr Michael, Reuschel Maximilian

机构信息

Department of Small Mammal, Reptile and Avian Medicine and Surgery, University of Veterinary Medicine Hannover, Bünteweg 2, 30559 Hannover, Germany.

Veterinary Clinic Posthausen, Rothlaker Straße 1, 28870 Posthausen, Germany.

出版信息

Animals (Basel). 2025 Apr 16;15(8):1142. doi: 10.3390/ani15081142.

Abstract

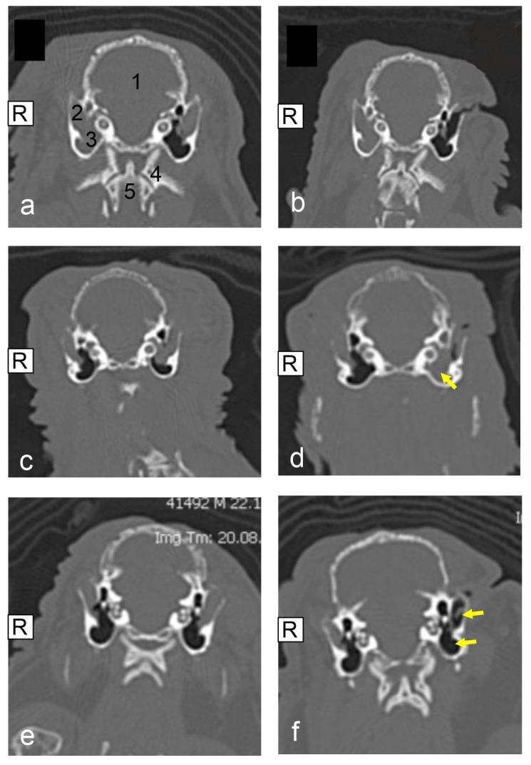
A soft tissue-filled external ear canal, sometimes also referred to as otitis externa in the veterinary literature, is a prevalent disease in pet rabbits, especially in lop-eared pet rabbits. The authors describe the clinical findings, diagnostic workup, therapy, and outcome of pet rabbits treated surgically for a lateral ear canal ablation (LECA). For the time period between 2015 and 2023, the medical records of two veterinary clinics were evaluated retrospectively. A total of 25 pet rabbits, diagnosed via computed tomography (CT) scans with a soft tissue-filled external ear canal and (if present) middle ear, were identified. All the pet rabbits were evaluated as lop-eared pet rabbits and all were treated surgically using the same surgical technique, LECA. In accordance with Richardson et al., we categorized the different ear filling levels by using the grading system that was established in 2019. The mean follow-up period was 19 days, and in one case complete wound healing was not reached within 131 days after surgery. A total of 7/25 of the pet rabbits were evaluated with wound healing issues. Of the cases, 18/25 did not develop any recurrent ear diseases. Loss to follow-up was observed in 5/25 of the cases and recurrent ear diseases were identified in 2/25 of the pet rabbits. Progression of the ear disease was detected in four cases. CT post-operative images were acquired for 14/25 of the pet rabbits. Based on this study, LECA can be considered a safe surgical method to treat soft tissue-filled external ear canals, especially in lop-eared pet rabbits. Nonetheless, thorough post-surgical management including wound control is critical for therapy success.

摘要

外耳道软组织填充,在兽医文献中有时也被称为外耳炎,是宠物兔中一种常见的疾病,尤其是在垂耳宠物兔中。作者描述了接受外侧耳道切除术(LECA)手术治疗的宠物兔的临床发现、诊断检查、治疗方法及结果。对2015年至2023年期间两家兽医诊所的病历进行了回顾性评估。通过计算机断层扫描(CT)扫描,共确定了25只外耳道有软组织填充且(如有)中耳也有病变的宠物兔。所有宠物兔均被评估为垂耳宠物兔,且均采用相同的手术技术LECA进行手术治疗。根据理查森等人的方法,我们使用2019年建立的分级系统对外耳道不同的填充程度进行分类。平均随访期为19天,有1例在术后131天内未实现伤口完全愈合。共有7/25的宠物兔存在伤口愈合问题。其中,18/25的病例未出现任何耳部疾病复发。25例中有5例失访,2/25的宠物兔发现耳部疾病复发。在4例中检测到耳部疾病进展。对25只宠物兔中的14只进行了术后CT图像采集。基于这项研究,LECA可被认为是治疗外耳道软组织填充的一种安全手术方法,尤其是在垂耳宠物兔中。尽管如此,包括伤口控制在内的全面术后管理对于治疗成功至关重要。

https://cdn.ncbi.nlm.nih.gov/pmc/blobs/bc2e/12024415/7b97587df2ad/animals-15-01142-g001.jpg

文献AI研究员

20分钟写一篇综述,助力文献阅读效率提升50倍。

立即体验

用中文搜PubMed

大模型驱动的PubMed中文搜索引擎

马上搜索

文档翻译

学术文献翻译模型,支持多种主流文档格式。

立即体验