• 文献检索
  • 文档翻译
  • 深度研究
  • 学术资讯
  • Suppr Zotero 插件Zotero 插件
  • 邀请有礼
  • 套餐&价格
  • 历史记录
应用&插件
Suppr Zotero 插件Zotero 插件浏览器插件Mac 客户端Windows 客户端微信小程序
定价
高级版会员购买积分包购买API积分包
服务
文献检索文档翻译深度研究API 文档MCP 服务
关于我们
关于 Suppr公司介绍联系我们用户协议隐私条款
关注我们

Suppr 超能文献

核心技术专利:CN118964589B侵权必究
粤ICP备2023148730 号-1Suppr @ 2026

文献检索

告别复杂PubMed语法,用中文像聊天一样搜索,搜遍4000万医学文献。AI智能推荐,让科研检索更轻松。

立即免费搜索

文件翻译

保留排版,准确专业,支持PDF/Word/PPT等文件格式,支持 12+语言互译。

免费翻译文档

深度研究

AI帮你快速写综述,25分钟生成高质量综述,智能提取关键信息,辅助科研写作。

立即免费体验

小儿冠状突骨折的手术治疗:两例报告

Surgical Management of Pediatric Coronoid Process Fractures: A Report of Two Cases.

作者信息

Lamberti Anna Gabriella, Lőrincz Aba, Molnár Tibor, Kassai Tamás, Nudelman Hermann, Józsa Gergő

机构信息

Division of Surgery, Traumatology, Urology, and Otorhinolaryngology, Department of Pediatrics, Clinical Complex, University of Pécs, 7 József Atilla Street, 7623 Pécs, Hungary.

Department of Pediatric Traumatology, Péterfy Hospital, Manninger Jenő National Trauma Center, 17 Fiumei Street, 1081 Budapest, Hungary.

出版信息

Life (Basel). 2025 Apr 6;15(4):614. doi: 10.3390/life15040614.

DOI:10.3390/life15040614
PMID:40283169
原文链接:https://pmc.ncbi.nlm.nih.gov/articles/PMC12028689/
Abstract

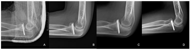
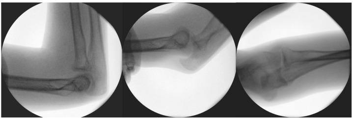
Coronoid process fractures in the pediatric population are rare and often misdiagnosed, leading to chronic elbow instability. We aim to evaluate the surgical management of two adolescent cases of inveterate coronoid fractures using autologous bone grafting. Both patients, with a history of recurrent elbow dislocations, presented with pseudoarthrosis and were initially misdiagnosed due to minor or subtle fractures. Comprehensive imaging, including computed tomography (CT) and magnetic resonance imaging (MRI), confirmed the presence of significant coronoid defects. The surgical intervention involved employing autografts from the iliac wing to reconstruct the coronoid process, followed by fixation with screws. Both patients underwent postoperative rehabilitation via physiotherapy, resulting in full functional recovery. At their one-year follow-ups, both patients regained full elbow function, achieving range-of-motion measurements of 0-0-130° flexion-extension and 90-0-90° pronation-supination; no recurrence of instability was reported, with no complications at the yearly follow-ups. This approach demonstrates the efficacy of autograft reconstruction in restoring elbow stability, particularly in cases with substantial bone loss or pseudoarthrosis. Our study highlights the importance of advanced imaging and individualized treatment strategies, emphasizing that early surgical intervention can prevent long-term disability in pediatric patients with chronic coronoid fractures.

摘要

小儿冠状突骨折较为罕见,且常被误诊,从而导致慢性肘关节不稳定。我们旨在评估两例青少年陈旧性冠状突骨折采用自体骨移植的手术治疗方法。两名患者均有复发性肘关节脱位病史,表现为假关节形成,最初因骨折轻微或不明显而被误诊。包括计算机断层扫描(CT)和磁共振成像(MRI)在内的综合影像学检查证实存在明显的冠状突缺损。手术干预包括采用来自髂骨翼的自体骨移植来重建冠状突,随后用螺钉固定。两名患者术后均通过物理治疗进行康复,最终实现了功能完全恢复。在一年的随访中,两名患者均恢复了完全的肘关节功能,屈伸活动度达到0-0-130°,旋前旋后活动度达到90-0-90°;未报告不稳定复发情况,年度随访也未出现并发症。这种方法证明了自体骨移植重建在恢复肘关节稳定性方面的有效性,特别是在存在大量骨质流失或假关节形成的病例中。我们的研究强调了先进影像学检查和个体化治疗策略的重要性,强调早期手术干预可以预防慢性冠状突骨折小儿患者的长期残疾。

https://cdn.ncbi.nlm.nih.gov/pmc/blobs/1b0d/12028689/809593656a29/life-15-00614-g009.jpg
https://cdn.ncbi.nlm.nih.gov/pmc/blobs/1b0d/12028689/4aaec46b02cc/life-15-00614-g001.jpg
https://cdn.ncbi.nlm.nih.gov/pmc/blobs/1b0d/12028689/09b03c89cb43/life-15-00614-g002.jpg
https://cdn.ncbi.nlm.nih.gov/pmc/blobs/1b0d/12028689/ca986664bb36/life-15-00614-g003.jpg
https://cdn.ncbi.nlm.nih.gov/pmc/blobs/1b0d/12028689/606269853577/life-15-00614-g004.jpg
https://cdn.ncbi.nlm.nih.gov/pmc/blobs/1b0d/12028689/cb6271b22d39/life-15-00614-g005.jpg
https://cdn.ncbi.nlm.nih.gov/pmc/blobs/1b0d/12028689/dc8b10a5604c/life-15-00614-g006.jpg
https://cdn.ncbi.nlm.nih.gov/pmc/blobs/1b0d/12028689/03e19305f0b4/life-15-00614-g007.jpg
https://cdn.ncbi.nlm.nih.gov/pmc/blobs/1b0d/12028689/2bfd0f26e85a/life-15-00614-g008.jpg
https://cdn.ncbi.nlm.nih.gov/pmc/blobs/1b0d/12028689/809593656a29/life-15-00614-g009.jpg
https://cdn.ncbi.nlm.nih.gov/pmc/blobs/1b0d/12028689/4aaec46b02cc/life-15-00614-g001.jpg
https://cdn.ncbi.nlm.nih.gov/pmc/blobs/1b0d/12028689/09b03c89cb43/life-15-00614-g002.jpg
https://cdn.ncbi.nlm.nih.gov/pmc/blobs/1b0d/12028689/ca986664bb36/life-15-00614-g003.jpg
https://cdn.ncbi.nlm.nih.gov/pmc/blobs/1b0d/12028689/606269853577/life-15-00614-g004.jpg
https://cdn.ncbi.nlm.nih.gov/pmc/blobs/1b0d/12028689/cb6271b22d39/life-15-00614-g005.jpg
https://cdn.ncbi.nlm.nih.gov/pmc/blobs/1b0d/12028689/dc8b10a5604c/life-15-00614-g006.jpg
https://cdn.ncbi.nlm.nih.gov/pmc/blobs/1b0d/12028689/03e19305f0b4/life-15-00614-g007.jpg
https://cdn.ncbi.nlm.nih.gov/pmc/blobs/1b0d/12028689/2bfd0f26e85a/life-15-00614-g008.jpg
https://cdn.ncbi.nlm.nih.gov/pmc/blobs/1b0d/12028689/809593656a29/life-15-00614-g009.jpg

相似文献

1
Surgical Management of Pediatric Coronoid Process Fractures: A Report of Two Cases.小儿冠状突骨折的手术治疗:两例报告
Life (Basel). 2025 Apr 6;15(4):614. doi: 10.3390/life15040614.
2
Lasso plate - An original implant for fixation of type I and II Regan-Morrey coronoid fractures.套索钢板——一种用于固定I型和II型雷根-莫里冠状突骨折的原创植入物。
Orthop Traumatol Surg Res. 2017 May;103(3):447-451. doi: 10.1016/j.otsr.2016.12.017. Epub 2017 Feb 7.
3
Most coronoid fractures and fracture-dislocations with no radial head involvement can be treated nonsurgically with elbow immobilization.大多数无桡骨头累及的冠状突骨折和骨折脱位可以通过肘部固定进行非手术治疗。
J Shoulder Elbow Surg. 2019 Jul;28(7):1395-1405. doi: 10.1016/j.jse.2019.01.005. Epub 2019 Apr 5.
4
[Effectiveness of improved elbow anteromedial approach in treatment of ulna coronoid process fracture].改良肘前内侧入路治疗尺骨冠状突骨折的疗效观察
Zhongguo Xiu Fu Chong Jian Wai Ke Za Zhi. 2017 Dec 15;31(12):1409-1413. doi: 10.7507/1002-1892.201701091.
5
Surgical treatment and outcomes of trans-ulnar basal coronoid fracture-dislocations.经尺骨的基底冠突骨折-脱位的手术治疗及结果。
J Shoulder Elbow Surg. 2024 Nov;33(11):e610-e615. doi: 10.1016/j.jse.2024.05.024. Epub 2024 Jul 15.
6
The pronator teres and the flexor carpi radialis interval approach for operative fixation of ulna coronoid process fractures.旋前圆肌与桡侧腕屈肌间隙入路用于尺骨冠状突骨折的手术固定
Orthop Traumatol Surg Res. 2021 Apr;107(2):102610. doi: 10.1016/j.otsr.2020.04.004. Epub 2020 May 14.
7
[Extensor digitorum communis split approach combined with loop-plate technique for treatment of ulnar coronoid fracture in terrible triad of elbow].[伸指总肌劈开入路联合环扎钢板技术治疗肘关节恐怖三联征中的尺骨冠状突骨折]
Zhongguo Xiu Fu Chong Jian Wai Ke Za Zhi. 2021 Apr 15;35(4):420-425. doi: 10.7507/1002-1892.202010081.
8
Selected anteromedial coronoid fractures can be treated nonoperatively.部分选定的冠状突前内侧骨折可采用非手术治疗。
J Shoulder Elbow Surg. 2016 Aug;25(8):1251-7. doi: 10.1016/j.jse.2016.02.025. Epub 2016 May 24.
9
Influence of Coronoid fixation on the functional outcome and rate of complications in surgically treated acute complex elbow instability.冠状突固定对手术治疗急性复杂肘不稳定功能结果和并发症发生率的影响。
Injury. 2023 Dec;54 Suppl 7:110892. doi: 10.1016/j.injury.2023.110892. Epub 2024 Jan 13.
10
A novel anterior approach for the fixation of ulnar coronoid process fractures.一种用于固定尺骨冠状突骨折的新型前路入路。
Orthop Traumatol Surg Res. 2017 Oct;103(6):899-904. doi: 10.1016/j.otsr.2017.05.020. Epub 2017 Jun 24.

本文引用的文献

1
Diagnosis and Treatment of Varus Posteromedial Rotational Instability of the Elbow Joint in Children: Re-Understanding of the Injury Mechanism Associated With Coronoid Process Fractures.儿童肘后内侧旋转不稳定的诊断与治疗:对与冠突骨折相关损伤机制的再认识。
J Pediatr Orthop. 2024 Sep 1;44(8):e698-e704. doi: 10.1097/BPO.0000000000002738. Epub 2024 May 31.
2
Humeral trochlear morphology does not influence coronoid fractures in elbow dislocation.肱骨滑车形态不影响肘关节脱位时的冠状突骨折。
J Exp Orthop. 2023 Mar 15;10(1):25. doi: 10.1186/s40634-023-00571-6.
3
Reconstruction of the coronoid process with the olecranon tip for chronic elbow dislocation in children: A rare case report and literature review.
用鹰嘴尖重建儿童慢性肘关节脱位的冠突:1例罕见病例报告及文献复习
Front Pediatr. 2022 Nov 24;10:977866. doi: 10.3389/fped.2022.977866. eCollection 2022.
4
A Modified Anteromedial Approach for Exposure of Coronoid Fractures: An Anatomical Cadaver Study.改良前内侧入路显露冠状突骨折:解剖尸体研究。
Biomed Res Int. 2019 Mar 4;2019:6872948. doi: 10.1155/2019/6872948. eCollection 2019.
5
Management of the Posttraumatic Coronoid-Deficient Elbow.创伤后冠状突缺损性肘关节的治疗
J Hand Surg Am. 2019 May;44(5):400-410. doi: 10.1016/j.jhsa.2018.08.001. Epub 2018 Oct 2.
6
A case report of children's divergent dislocation of the elbow and review of literature.儿童肘关节分离性脱位一例报告及文献复习
Medicine (Baltimore). 2016 Nov;95(44):e4772. doi: 10.1097/MD.0000000000004772.
7
Pediatric terrible triad elbow fracture dislocations: report of 2 cases.小儿严重三联征肘关节骨折脱位:2例报告
J Hand Surg Am. 2013 Sep;38(9):1774-8. doi: 10.1016/j.jhsa.2013.05.030. Epub 2013 Jul 23.
8
Pediatric complex divergent elbow dislocation.小儿复杂型肘分离性脱位。
J Orthop Trauma. 2011 Jan;25(1):e5-8. doi: 10.1097/BOT.0b013e3181f8d9a8.
9
Coronoid fixation using suture anchors.使用缝线锚钉固定冠状突
Hand (N Y). 2009 Jun;4(2):156-60. doi: 10.1007/s11552-008-9142-y. Epub 2008 Oct 31.
10
Dislocations of the elbow in children.儿童肘部脱位
J Bone Joint Surg Br. 2004 Sep;86(7):1050-8. doi: 10.1302/0301-620x.86b7.14505.