Suppr超能文献

分次给药的钬微球在非肿瘤性人体肝脏组织中的空间分布:肝脏如何在经动脉放射性栓塞治疗中存活

Spatial distribution of fractionally administered holmium microspheres in non-tumorous human liver tissue: how livers survive transarterial radioembolisation.

作者信息

van den Brekel Anne, Snoeijink Tess J, de Meijer Vincent E, Boswinkel Milou, de Jong Koert P, Roosen Joey, Arranja Alexandra G, Fütterer Jurgen J, Ruiter Simeon J S, Nijsen J Frank W

机构信息

Minimally Invasive Image-Guided Intervention Center (MAGIC), Department of Medical Imaging, Radboud University Medical Center, Nijmegen, The Netherlands.

Nuclear Medicine (NucMed), Department of Medical Imaging, Radboud University Medical Center, Nijmegen, The Netherlands.

出版信息

EJNMMI Res. 2025 Apr 28;15(1):49. doi: 10.1186/s13550-025-01240-8.

Abstract

BACKGROUND

Relatively high mean absorbed doses to the non-tumorous liver tissue (NTLT) are generally well tolerated in transarterial radioembolisation (TARE), potentially due to a heterogeneous dose distribution. This study investigates the macroscopic and microscopic distribution of fractionally administered TARE holmium microspheres in NTLT using an experimental setup of ex vivo perfused human donor livers under magnetic resonance imaging (MRI), and validates these findings through a comparison with MRI data from TARE-treated patients.

RESULTS

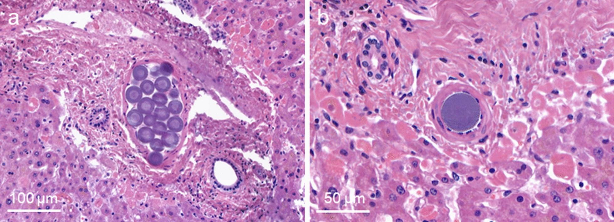
MRI-based dose maps of the TARE-treated ex vivo livers and patients revealed a heterogeneous dose distribution pattern throughout the NTLT (heterogeneity index (HI) range 2.96-10.11). Microscopic analysis confirmed this, as a wide variation in the percentage of tissue within 2.1 mm of microspheres (5.4%-84.3%) was observed. Microspheres administered in consecutive fractions decreased the heterogeneity, which was observed macroscopically by a decreased HI, and microscopically by the formation of new microsphere clusters. However, this HI decrease appeared finite, and new clusters formed near existing clusters, maintaining the overall distribution pattern.

CONCLUSIONS

TARE induces a heterogeneous dose distribution pattern in human NTLT. This heterogeneous dose distribution pattern persists across additional microsphere fractions, leaving parts of the NTLT unexposed to lethal doses of ionising radiation. Combined with the regenerative capacity of the liver, this may explain why relatively high mean absorbed doses to the NTLT are generally well tolerated in TARE.

REGISTRATION

For validation purposes, clinical data from patients who participated in a previous study (ClinicalTrials.gov, identifier NCT04269499, registered on February 13, 2020) was analysed in the current study.

摘要

背景

在经动脉放射性栓塞术(TARE)中,非肿瘤性肝组织(NTLT)通常能很好地耐受相对较高的平均吸收剂量,这可能是由于剂量分布不均所致。本研究使用磁共振成像(MRI)下离体灌注人供肝的实验装置,研究分次给予TARE钬微球在NTLT中的宏观和微观分布,并通过与TARE治疗患者的MRI数据进行比较来验证这些发现。

结果

经TARE治疗的离体肝脏和患者的基于MRI的剂量图显示,整个NTLT中存在剂量分布不均的模式(异质性指数(HI)范围为2.96 - 10.11)。微观分析证实了这一点,因为观察到微球2.1毫米范围内组织百分比存在很大差异(5.4% - 84.3%)。连续分次给予的微球降低了异质性,从宏观上看HI降低,微观上则表现为形成新的微球簇。然而,这种HI降低似乎是有限的,并且在现有簇附近形成新的簇,维持了整体分布模式。

结论

TARE在人NTLT中诱导出剂量分布不均的模式。这种剂量分布不均的模式在额外的微球分次给药过程中持续存在,使得部分NTLT未暴露于致死剂量的电离辐射。结合肝脏的再生能力,这可能解释了为什么在TARE中NTLT相对较高的平均吸收剂量通常能被很好地耐受。

注册情况

为了进行验证,本研究分析了参与先前一项研究(ClinicalTrials.gov,标识符NCT04269499,于2020年2月13日注册)的患者的临床数据。

https://cdn.ncbi.nlm.nih.gov/pmc/blobs/01db/12034608/6e2d13f9fbc0/13550_2025_1240_Fig1_HTML.jpg

文献检索

告别复杂PubMed语法,用中文像聊天一样搜索,搜遍4000万医学文献。AI智能推荐,让科研检索更轻松。

立即免费搜索

文件翻译

保留排版,准确专业,支持PDF/Word/PPT等文件格式,支持 12+语言互译。

免费翻译文档

深度研究

AI帮你快速写综述,25分钟生成高质量综述,智能提取关键信息,辅助科研写作。

立即免费体验