Suppr超能文献

使用先前植入的近距离放射治疗种子作为基准标记,对局部复发性前列腺癌进行近距离放射治疗后,采用实时自适应运动管理的挽救性放射外科治疗。

Salvage Radiosurgery After Brachytherapy for Locally Recurrent Prostate Cancer With Real-Time Adaptive Motion Management Using Previously Implanted Brachytherapy Seeds as Fiducial Markers.

作者信息

Yu James B, Grew David J, Singh Charu, Sculley Erin, Jones Aaron, Munbodh Reshma

机构信息

Radiation Oncology, Dartmouth Hitchcock Medical Center, Lebanon, USA.

Radiation Oncology, St. Francis Hospital, Hartford, USA.

出版信息

Cureus. 2025 Mar 28;17(3):e81373. doi: 10.7759/cureus.81373. eCollection 2025 Mar.

Abstract

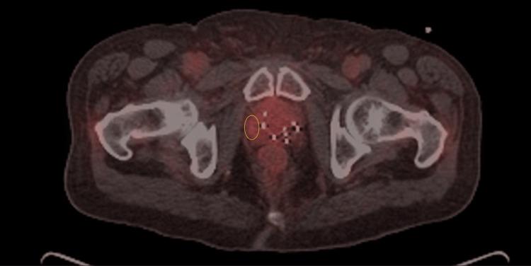
Locally recurrent prostate cancer after radiotherapy is a difficult clinical scenario. Focal therapy with stereotactic body radiation therapy (SBRT) is a promising treatment option. In this case report, we present the case of a male patient who underwent low dose rate (LDR) brachytherapy many years ago and experienced a prostate-specific membrane antigen positron emission tomography (PSMA PET) avid local recurrence of prostate cancer with rising prostate-specific antigen (PSA). He was able to undergo salvage CyberKnife (Accuray, Madison, WI) robotic radiosurgery without the need for additional fiducial marker placement by tracking previously implanted brachytherapy seeds. Treatment of 40 Gy in five fractions to the PET avid tumor gross tumor volume (GTV) and 35 Gy in five fractions to the planning target volume (PTV) was successfully delivered with minimal toxicity. The patient tolerated therapy well with excellent urinary and sexual functioning and declining PSA at the last follow-up.

摘要

放疗后局部复发性前列腺癌是一种棘手的临床情况。立体定向体部放射治疗(SBRT)聚焦治疗是一种有前景的治疗选择。在本病例报告中,我们介绍了一名男性患者的病例,该患者多年前接受了低剂量率(LDR)近距离放射治疗,现出现前列腺特异性膜抗原正电子发射断层扫描(PSMA PET)显示前列腺癌局部复发且前列腺特异性抗原(PSA)升高。通过追踪先前植入的近距离放射治疗种子,他能够接受挽救性射波刀(Accuray,麦迪逊,威斯康星州)机器人放射外科手术,而无需额外放置基准标记物。以最小的毒性成功地对PET显示的肿瘤大体肿瘤体积(GTV)分五次于每次8 Gy给予40 Gy的治疗,对计划靶体积(PTV)分五次于每次7 Gy给予35 Gy的治疗。患者对治疗耐受性良好,泌尿和性功能良好,在最后一次随访时PSA下降。

https://cdn.ncbi.nlm.nih.gov/pmc/blobs/aeda/12034341/6988d4574234/cureus-0017-00000081373-i01.jpg

文献检索

告别复杂PubMed语法,用中文像聊天一样搜索,搜遍4000万医学文献。AI智能推荐,让科研检索更轻松。

立即免费搜索

文件翻译

保留排版,准确专业,支持PDF/Word/PPT等文件格式,支持 12+语言互译。

免费翻译文档

深度研究

AI帮你快速写综述,25分钟生成高质量综述,智能提取关键信息,辅助科研写作。

立即免费体验