Suppr超能文献

腹腔镜下精准腹膜后副神经节瘤切除术:一例报告

Precision retroperitoneal paraganglioma resection performed laparoscopically: A case report.

作者信息

Zhou Jia-Le, Xie Fei

机构信息

Department of Hepatobiliary and Pancreatic Surgery, Chengdu Medical College, Chengdu 610500, Sichuan Province, China.

Department of Hepatobiliary and Pancreatic Surgery, The Neijiang First People's Hospital, Neijiang 641000, Sichuan Province, China.

出版信息

World J Clin Cases. 2025 Apr 26;13(12):98721. doi: 10.12998/wjcc.v13.i12.98721.

Abstract

BACKGROUND

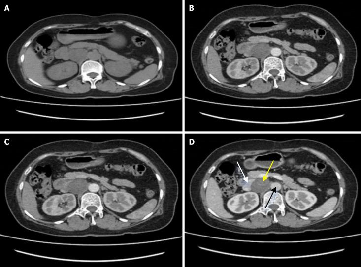
Phaeochromocytoma and paragangliomas (PPGL) are rare neuroendocrine tumors usually caused by parasympathetic or sympathetic nerves, with an overall incidence of approximately 0.66 cases per 100000 people per year. Most PPGLs are asymptomatic, and a few develop symptoms, such as elevated blood pressure and rapid heart rate, because of the release of catecholamines. According to the literature, surgical resection is the mainstay of PPGL treatment. However, the choice between minimally invasive surgery and open surgery remains controversial, particularly in cases involving complex anatomical relationships. We successfully resected a tumor located between the inferior vena cava and abdominal aorta using a minimally invasive approach with the assistance of computed tomography (CT) angiography and three-dimensional reconstruction, resulting in a favorable outcome.

CASE SUMMARY

A 56-year-old woman was admitted to the hospital with right upper abdominal discomfort for more than 6 months, experiencing occasional pins and needles sensation and radiation from the right shoulder and back. Prehospital CT of the upper abdomen revealed a retroperitoneal mass suspected to be a retroperitoneal ganglioneuroma. Surgery was recommended, and an enhanced CT scan of the upper abdomen, along with preoperative three-dimensional reconstruction, was performed after admission. The imaging indicated that the mass, measuring approximately 4.1 cm × 3.8 cm × 4.8 cm, was situated between the abdominal aorta and the inferior vena cava, extending downward to the level of the left renal vein. After ruling out any contraindications to surgery, a minimally invasive laparoscopy was performed to excise the mass precisely. The surgery was successful without any postoperative complications, and the 2-month follow-up revealed no abnormal signs of recurrence.

CONCLUSION

This case report describes successful and precise laparoscopic resection of a retroperitoneal tumor. The patient recovered well during the 2-month follow-up, and postoperative pathology revealed a paraganglioma.

摘要

背景

嗜铬细胞瘤和副神经节瘤(PPGL)是罕见的神经内分泌肿瘤,通常由副交感神经或交感神经引起,每年每10万人中总体发病率约为0.66例。大多数PPGL无症状,少数因儿茶酚胺释放而出现症状,如血压升高和心率加快。根据文献,手术切除是PPGL治疗的主要方法。然而,微创手术和开放手术之间的选择仍存在争议,特别是在涉及复杂解剖关系的病例中。我们在计算机断层扫描(CT)血管造影和三维重建的辅助下,采用微创方法成功切除了位于下腔静脉和腹主动脉之间的肿瘤,取得了良好的效果。

病例摘要

一名56岁女性因右上腹不适6个月以上入院,偶尔有刺痛感,并伴有右肩和背部放射痛。院前上腹部CT显示腹膜后肿块,怀疑为腹膜后神经节瘤。建议手术治疗,入院后进行了上腹部增强CT扫描及术前三维重建。影像学检查显示,肿块大小约为4.1 cm×3.8 cm×4.8 cm,位于腹主动脉和下腔静脉之间,向下延伸至左肾静脉水平。排除手术禁忌证后,进行了微创腹腔镜手术精确切除肿块。手术成功,无术后并发症,2个月随访未发现复发异常迹象。

结论

本病例报告描述了成功且精确的腹腔镜切除腹膜后肿瘤。患者在2个月随访期间恢复良好,术后病理显示为副神经节瘤。

https://cdn.ncbi.nlm.nih.gov/pmc/blobs/df11/11718567/9afe96dfee76/98721-g001.jpg

相似文献

1
Precision retroperitoneal paraganglioma resection performed laparoscopically: A case report.
World J Clin Cases. 2025 Apr 26;13(12):98721. doi: 10.12998/wjcc.v13.i12.98721.
2
Successful laparoscopic resection of a paraganglioma immediately behind the inferior vena cava and bilateral renal veins.
IJU Case Rep. 2019 Jun 22;2(5):261-264. doi: 10.1002/iju5.12097. eCollection 2019 Sep.
3
Laparoscopic removal of retroperitoneal tumor with maneuver of hanging inferior vena cava.
Surg Endosc. 2018 Jul;32(7):3401. doi: 10.1007/s00464-017-5969-z. Epub 2017 Dec 7.
4
Removal of pediatric stage IV neuroblastoma by robot-assisted laparoscopy: A case report and literature review.
World J Clin Cases. 2019 Jun 26;7(12):1499-1507. doi: 10.12998/wjcc.v7.i12.1499.
6
Giant Paraganglioma Complicated With Catecholamine Crisis and Catecholamine Cardiomyopathy: A Case Report and Review of the Literature.
Front Endocrinol (Lausanne). 2022 Feb 3;12:790080. doi: 10.3389/fendo.2021.790080. eCollection 2021.
7
Functional retroperitoneal paraganglioma invading the inferior vena cava in the elderly, a case report and literature review.
Int J Surg Case Rep. 2023 Aug;109:108547. doi: 10.1016/j.ijscr.2023.108547. Epub 2023 Jul 21.
8
Laparoscopic resection of retroperitoneal paraganglioma close to caudal vena cava in a dog.
Vet Med Sci. 2021 Nov;7(6):2191-2197. doi: 10.1002/vms3.588. Epub 2021 Jul 26.
9
Laparoscopic Resection of An Extragastrointestinal Stromal Tumor in the Presacral Area.
J Minim Invasive Gynecol. 2019 Jul-Aug;26(5):812-813. doi: 10.1016/j.jmig.2018.10.023. Epub 2018 Nov 2.
10
Unclear retroperitoneal tumors, an interdisciplinary challenge - A case report and review of the literature.
Int J Surg Case Rep. 2021 Dec;89:106634. doi: 10.1016/j.ijscr.2021.106634. Epub 2021 Nov 25.

本文引用的文献

1
Diagnosis and Management of Pheochromocytomas and Paragangliomas: A Guide for the Clinician.
Endocr Pract. 2023 Dec;29(12):999-1006. doi: 10.1016/j.eprac.2023.07.027. Epub 2023 Aug 15.
2
Surgical and postsurgical management of abdominal paragangliomas and pheochromocytomas.
Actas Urol Esp (Engl Ed). 2023 Mar;47(2):68-77. doi: 10.1016/j.acuroe.2022.08.008. Epub 2022 Aug 5.
3
Retroperitoneal paraganglioma.
Clin Case Rep. 2022 Dec 5;10(12):e6674. doi: 10.1002/ccr3.6674. eCollection 2022 Dec.
4
Giant retroperitoneal paraganglioma: Challenges of misdiagnosis and high surgical risks, a case report.
Int J Surg Case Rep. 2021 Jul;84:106081. doi: 10.1016/j.ijscr.2021.106081. Epub 2021 Jun 9.
5
Pheochromocytoma and Paraganglioma: From Treatment to Follow-up.
Sisli Etfal Hastan Tıp Bul. 2020 Dec 11;54(4):391-398. doi: 10.14744/SEMB.2020.58998. eCollection 2020.
6
Surgical treatment of abdominal paragangliomas.
Endokrynol Pol. 2019;70(6):469-472. doi: 10.5603/EP.a2019.0038. Epub 2019 Sep 17.
7
Surgical approaches and results of treatment for hereditary paragangliomas.
Best Pract Res Clin Endocrinol Metab. 2019 Oct;33(5):101298. doi: 10.1016/j.beem.2019.101298. Epub 2019 Jul 27.
8
Laparoscopic resection of paraaortic/paracaval neurogenic tumors: surgical outcomes and technical tips.
Surg Endosc. 2016 Oct;30(10):4640-5. doi: 10.1007/s00464-015-4740-6. Epub 2015 Dec 29.
9
Laparoscopic Resection of Retroperitoneal Paragangliomas: A Comparison with Conventional Open Surgical Procedures.
J Endourol. 2016 Jan;30(1):69-74. doi: 10.1089/end.2015.0399. Epub 2015 Sep 14.
10
Pheochromocytoma and paraganglioma: an endocrine society clinical practice guideline.
J Clin Endocrinol Metab. 2014 Jun;99(6):1915-42. doi: 10.1210/jc.2014-1498.

文献AI研究员

20分钟写一篇综述,助力文献阅读效率提升50倍。

立即体验

用中文搜PubMed

大模型驱动的PubMed中文搜索引擎

马上搜索

文档翻译

学术文献翻译模型,支持多种主流文档格式。

立即体验